罕见的汇合:继发于闭环阻塞的坏疽性肠炎,尿淀粉酶水平升高--一份全面的病例报告。

Q3 Nursing
Malaysian Family Physician Pub Date : 2024-08-21 eCollection Date: 2024-01-01 DOI:10.51866/cr.624
Hassan Ahmed Abrizan, Sani Mohamad Ikhwan, Wan Mokhter Wan Mokhzani, Hashim Merican Isa Siti Rahmah, Maya Mazuwin Yahya, Syed Abd Aziz Syed Hassan
{"title":"罕见的汇合:继发于闭环阻塞的坏疽性肠炎,尿淀粉酶水平升高--一份全面的病例报告。","authors":"Hassan Ahmed Abrizan, Sani Mohamad Ikhwan, Wan Mokhter Wan Mokhzani, Hashim Merican Isa Siti Rahmah, Maya Mazuwin Yahya, Syed Abd Aziz Syed Hassan","doi":"10.51866/cr.624","DOIUrl":null,"url":null,"abstract":"<p><p>Urine amylase levels are usually used to diagnose acute pancreatitis. However, there are reported cases where urine amylase levels are slightly increased in individuals without pancreatitis. Herein, we report the case of a young lady who presented with acute abdominal pain for 3 days. Her urine amylase level was 1717 U/L upon admission, and her condition was initially treated as acute pancreatitis. Unfortunately, the patient demonstrated abdominal guarding after 24 h; thus, urgent computed tomography (CT) was performed. CT revealed the presence of a dilated small bowel. She underwent emergency laparotomy, wherein a gangrenous small bowel with no evidence of saponification at the lesser sac was noted. Due to the non-specific nature of hyperamylasaemia, an alternative diagnosis other than acute pancreatitis should be considered if the clinical symptoms are not suggestive of pancreatitis or the condition worsens despite conservative management.</p>","PeriodicalId":40017,"journal":{"name":"Malaysian Family Physician","volume":"19 ","pages":"50"},"PeriodicalIF":0.0000,"publicationDate":"2024-08-21","publicationTypes":"Journal Article","fieldsOfStudy":null,"isOpenAccess":false,"openAccessPdf":"https://www.ncbi.nlm.nih.gov/pmc/articles/PMC11366275/pdf/","citationCount":"0","resultStr":"{\"title\":\"A rare convergence: Gangrenous bowel secondary to closed-loop obstruction with elevated urine amylase levels - A comprehensive case report.\",\"authors\":\"Hassan Ahmed Abrizan, Sani Mohamad Ikhwan, Wan Mokhter Wan Mokhzani, Hashim Merican Isa Siti Rahmah, Maya Mazuwin Yahya, Syed Abd Aziz Syed Hassan\",\"doi\":\"10.51866/cr.624\",\"DOIUrl\":null,\"url\":null,\"abstract\":\"<p><p>Urine amylase levels are usually used to diagnose acute pancreatitis. However, there are reported cases where urine amylase levels are slightly increased in individuals without pancreatitis. Herein, we report the case of a young lady who presented with acute abdominal pain for 3 days. Her urine amylase level was 1717 U/L upon admission, and her condition was initially treated as acute pancreatitis. Unfortunately, the patient demonstrated abdominal guarding after 24 h; thus, urgent computed tomography (CT) was performed. CT revealed the presence of a dilated small bowel. She underwent emergency laparotomy, wherein a gangrenous small bowel with no evidence of saponification at the lesser sac was noted. Due to the non-specific nature of hyperamylasaemia, an alternative diagnosis other than acute pancreatitis should be considered if the clinical symptoms are not suggestive of pancreatitis or the condition worsens despite conservative management.</p>\",\"PeriodicalId\":40017,\"journal\":{\"name\":\"Malaysian Family Physician\",\"volume\":\"19 \",\"pages\":\"50\"},\"PeriodicalIF\":0.0000,\"publicationDate\":\"2024-08-21\",\"publicationTypes\":\"Journal Article\",\"fieldsOfStudy\":null,\"isOpenAccess\":false,\"openAccessPdf\":\"https://www.ncbi.nlm.nih.gov/pmc/articles/PMC11366275/pdf/\",\"citationCount\":\"0\",\"resultStr\":null,\"platform\":\"Semanticscholar\",\"paperid\":null,\"PeriodicalName\":\"Malaysian Family Physician\",\"FirstCategoryId\":\"1085\",\"ListUrlMain\":\"https://doi.org/10.51866/cr.624\",\"RegionNum\":0,\"RegionCategory\":null,\"ArticlePicture\":[],\"TitleCN\":null,\"AbstractTextCN\":null,\"PMCID\":null,\"EPubDate\":\"2024/1/1 0:00:00\",\"PubModel\":\"eCollection\",\"JCR\":\"Q3\",\"JCRName\":\"Nursing\",\"Score\":null,\"Total\":0}","platform":"Semanticscholar","paperid":null,"PeriodicalName":"Malaysian Family Physician","FirstCategoryId":"1085","ListUrlMain":"https://doi.org/10.51866/cr.624","RegionNum":0,"RegionCategory":null,"ArticlePicture":[],"TitleCN":null,"AbstractTextCN":null,"PMCID":null,"EPubDate":"2024/1/1 0:00:00","PubModel":"eCollection","JCR":"Q3","JCRName":"Nursing","Score":null,"Total":0}
引用次数: 0

摘要

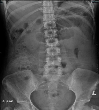
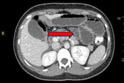
尿淀粉酶水平通常用于诊断急性胰腺炎。不过,也有报告称,没有胰腺炎的人尿淀粉酶水平也会轻微升高。在此,我们报告了一位年轻女士的病例,她因急性腹痛 3 天而就诊。入院时她的尿淀粉酶水平为 1717 U/L,她的病情最初被当作急性胰腺炎治疗。不幸的是,24 小时后患者出现腹部不适,因此紧急进行了计算机断层扫描(CT)检查。CT 显示小肠扩张。她接受了急诊开腹手术,术中发现小肠坏疽,小囊处无皂化迹象。由于高淀粉血症的非特异性,如果临床症状不能提示胰腺炎,或者尽管采取了保守治疗但病情仍恶化,则应考虑急性胰腺炎以外的其他诊断。
本文章由计算机程序翻译,如有差异,请以英文原文为准。

A rare convergence: Gangrenous bowel secondary to closed-loop obstruction with elevated urine amylase levels - A comprehensive case report.

A rare convergence: Gangrenous bowel secondary to closed-loop obstruction with elevated urine amylase levels - A comprehensive case report.

A rare convergence: Gangrenous bowel secondary to closed-loop obstruction with elevated urine amylase levels - A comprehensive case report.

A rare convergence: Gangrenous bowel secondary to closed-loop obstruction with elevated urine amylase levels - A comprehensive case report.

Urine amylase levels are usually used to diagnose acute pancreatitis. However, there are reported cases where urine amylase levels are slightly increased in individuals without pancreatitis. Herein, we report the case of a young lady who presented with acute abdominal pain for 3 days. Her urine amylase level was 1717 U/L upon admission, and her condition was initially treated as acute pancreatitis. Unfortunately, the patient demonstrated abdominal guarding after 24 h; thus, urgent computed tomography (CT) was performed. CT revealed the presence of a dilated small bowel. She underwent emergency laparotomy, wherein a gangrenous small bowel with no evidence of saponification at the lesser sac was noted. Due to the non-specific nature of hyperamylasaemia, an alternative diagnosis other than acute pancreatitis should be considered if the clinical symptoms are not suggestive of pancreatitis or the condition worsens despite conservative management.

求助全文
通过发布文献求助,成功后即可免费获取论文全文。 去求助
来源期刊
Malaysian Family Physician
Malaysian Family Physician Medicine-Family Practice
CiteScore
1.20
自引率
0.00%
发文量
41
审稿时长
24 weeks
期刊介绍: The Malaysian Family Physician is the official journal of the Academy of Family Physicians of Malaysia. It is published three times a year. Circulation: The journal is distributed free of charge to all members of the Academy of Family Physicians of Malaysia. Complimentary copies are also sent to other organizations that are members of the World Organization of Family Doctors (WONCA).
×
引用
GB/T 7714-2015
复制
MLA
复制
APA
复制
导出至
BibTeX EndNote RefMan NoteFirst NoteExpress
×
提示
您的信息不完整,为了账户安全,请先补充。
现在去补充
×
提示
您因"违规操作"
具体请查看互助需知
我知道了
×
提示
确定
请完成安全验证×
copy
已复制链接
快去分享给好友吧!
我知道了
右上角分享
点击右上角分享
0
联系我们:info@booksci.cn Book学术提供免费学术资源搜索服务,方便国内外学者检索中英文文献。致力于提供最便捷和优质的服务体验。 Copyright © 2023 布克学术 All rights reserved.
京ICP备2023020795号-1
ghs 京公网安备 11010802042870号
Book学术文献互助
Book学术文献互助群
群 号:604180095
Book学术官方微信