用头髓内钉治疗髋关节转子间骨折后股深动脉分支的外伤性中断。

IF 0.6 Q4 ORTHOPEDICS
Case Reports in Orthopedics Pub Date : 2024-08-21 eCollection Date: 2024-01-01 DOI:10.1155/2024/5590091
Nathan C Beckett, Jack Haglin, Paul Van Schuyver, Mark J Spangehl, Maziyar A Kalani, Mark K Lyons, Abhijith R Bathinin, Joshua S Bingham
{"title":"用头髓内钉治疗髋关节转子间骨折后股深动脉分支的外伤性中断。","authors":"Nathan C Beckett, Jack Haglin, Paul Van Schuyver, Mark J Spangehl, Maziyar A Kalani, Mark K Lyons, Abhijith R Bathinin, Joshua S Bingham","doi":"10.1155/2024/5590091","DOIUrl":null,"url":null,"abstract":"<p><p><b>Introduction:</b> Surgical management of intertrochanteric hip fractures is a common surgery with low rates of intraoperative complications. Vascular injuries are exceptionally rare when placing an intramedullary nail without open reduction. There are very few reported cases of direct arterial injury and active bleed at the level of the distal interlocking screw following closed reduction and intramedullary nailing of a hip fracture. We report one such case. <b>Case Presentation:</b> An 88-year-old female presented to the emergency department with a left intertrochanteric hip fracture. Closed reduction with a cephalomedullary nail fixation of the left hip fracture occurred as planned without any obvious intraoperative technical issues. The patient remained stable intraoperatively. No open reduction was required. Postoperatively, the patient developed hemorrhagic shock and required massive transfusion protocol. Angiography demonstrated an intramuscular hematoma at the level of the distal intramedullary nail interlocking screw with active extravasation. The patient subsequently required embolization. Nine days following surgery, she began Eliquis for DVT prophylaxis and was ambulating independently with signs of hematoma resolution. <b>Discussion:</b> Profunda femoris artery injury can stem from various mechanisms during surgery. Atherosclerosis places patients at a higher risk of complication due to rigid vessels. In this case, it is believed that drilling beyond the medial femoral cortex led to the arterial injury. <b>Conclusion:</b> Care should be taken to prevent drills from plunging beyond the medial femoral cortex during surgery. Cautious observation of patient's vitals and clinical course can allow for early detection of vascular complication.</p>","PeriodicalId":30287,"journal":{"name":"Case Reports in Orthopedics","volume":"2024 ","pages":"5590091"},"PeriodicalIF":0.6000,"publicationDate":"2024-08-21","publicationTypes":"Journal Article","fieldsOfStudy":null,"isOpenAccess":false,"openAccessPdf":"https://www.ncbi.nlm.nih.gov/pmc/articles/PMC11357815/pdf/","citationCount":"0","resultStr":"{\"title\":\"Traumatic Disruption of Profunda Femoris Artery Branch Following Treatment of an Intertrochanteric Hip Fracture With a Cephalomedullary Nail.\",\"authors\":\"Nathan C Beckett, Jack Haglin, Paul Van Schuyver, Mark J Spangehl, Maziyar A Kalani, Mark K Lyons, Abhijith R Bathinin, Joshua S Bingham\",\"doi\":\"10.1155/2024/5590091\",\"DOIUrl\":null,\"url\":null,\"abstract\":\"<p><p><b>Introduction:</b> Surgical management of intertrochanteric hip fractures is a common surgery with low rates of intraoperative complications. Vascular injuries are exceptionally rare when placing an intramedullary nail without open reduction. There are very few reported cases of direct arterial injury and active bleed at the level of the distal interlocking screw following closed reduction and intramedullary nailing of a hip fracture. We report one such case. <b>Case Presentation:</b> An 88-year-old female presented to the emergency department with a left intertrochanteric hip fracture. Closed reduction with a cephalomedullary nail fixation of the left hip fracture occurred as planned without any obvious intraoperative technical issues. The patient remained stable intraoperatively. No open reduction was required. Postoperatively, the patient developed hemorrhagic shock and required massive transfusion protocol. Angiography demonstrated an intramuscular hematoma at the level of the distal intramedullary nail interlocking screw with active extravasation. The patient subsequently required embolization. Nine days following surgery, she began Eliquis for DVT prophylaxis and was ambulating independently with signs of hematoma resolution. <b>Discussion:</b> Profunda femoris artery injury can stem from various mechanisms during surgery. Atherosclerosis places patients at a higher risk of complication due to rigid vessels. In this case, it is believed that drilling beyond the medial femoral cortex led to the arterial injury. <b>Conclusion:</b> Care should be taken to prevent drills from plunging beyond the medial femoral cortex during surgery. Cautious observation of patient's vitals and clinical course can allow for early detection of vascular complication.</p>\",\"PeriodicalId\":30287,\"journal\":{\"name\":\"Case Reports in Orthopedics\",\"volume\":\"2024 \",\"pages\":\"5590091\"},\"PeriodicalIF\":0.6000,\"publicationDate\":\"2024-08-21\",\"publicationTypes\":\"Journal Article\",\"fieldsOfStudy\":null,\"isOpenAccess\":false,\"openAccessPdf\":\"https://www.ncbi.nlm.nih.gov/pmc/articles/PMC11357815/pdf/\",\"citationCount\":\"0\",\"resultStr\":null,\"platform\":\"Semanticscholar\",\"paperid\":null,\"PeriodicalName\":\"Case Reports in Orthopedics\",\"FirstCategoryId\":\"1085\",\"ListUrlMain\":\"https://doi.org/10.1155/2024/5590091\",\"RegionNum\":0,\"RegionCategory\":null,\"ArticlePicture\":[],\"TitleCN\":null,\"AbstractTextCN\":null,\"PMCID\":null,\"EPubDate\":\"2024/1/1 0:00:00\",\"PubModel\":\"eCollection\",\"JCR\":\"Q4\",\"JCRName\":\"ORTHOPEDICS\",\"Score\":null,\"Total\":0}","platform":"Semanticscholar","paperid":null,"PeriodicalName":"Case Reports in Orthopedics","FirstCategoryId":"1085","ListUrlMain":"https://doi.org/10.1155/2024/5590091","RegionNum":0,"RegionCategory":null,"ArticlePicture":[],"TitleCN":null,"AbstractTextCN":null,"PMCID":null,"EPubDate":"2024/1/1 0:00:00","PubModel":"eCollection","JCR":"Q4","JCRName":"ORTHOPEDICS","Score":null,"Total":0}
引用次数: 0

摘要

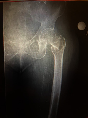
介绍:髋关节转子间骨折的手术治疗是一种常见手术,术中并发症发生率较低。在不切开复位的情况下放置髓内钉,血管损伤非常罕见。在髋部骨折闭合复位和髓内钉置入术后,远端联锁螺钉水平出现直接动脉损伤和活动性出血的病例极少见。我们报告了一例这样的病例。病例介绍:一名 88 岁的女性因左侧转子间髋部骨折到急诊科就诊。按计划对左侧髋部骨折进行了闭合复位并用头髓内钉固定,术中没有出现任何明显的技术问题。术中患者病情保持稳定。无需进行切开复位。术后,患者出现失血性休克,需要大量输血。血管造影显示,髓内钉远端锁定螺钉处出现肌肉内血肿,并伴有活动性外渗。患者随后需要进行栓塞治疗。术后九天,她开始服用伊利奎斯(Eliquis)预防深静脉血栓形成,目前已能独立行走,血肿也有消退迹象。讨论股深动脉损伤可能源于手术过程中的各种机制。动脉粥样硬化会使患者因血管僵硬而面临更高的并发症风险。在本病例中,钻孔超出股内侧皮质被认为是导致动脉损伤的原因。结论:在手术过程中应注意防止钻头陷入股内侧皮质之外。谨慎观察患者的生命体征和临床病程可及早发现血管并发症。
本文章由计算机程序翻译,如有差异,请以英文原文为准。

Traumatic Disruption of Profunda Femoris Artery Branch Following Treatment of an Intertrochanteric Hip Fracture With a Cephalomedullary Nail.

Traumatic Disruption of Profunda Femoris Artery Branch Following Treatment of an Intertrochanteric Hip Fracture With a Cephalomedullary Nail.

Traumatic Disruption of Profunda Femoris Artery Branch Following Treatment of an Intertrochanteric Hip Fracture With a Cephalomedullary Nail.

Traumatic Disruption of Profunda Femoris Artery Branch Following Treatment of an Intertrochanteric Hip Fracture With a Cephalomedullary Nail.

Introduction: Surgical management of intertrochanteric hip fractures is a common surgery with low rates of intraoperative complications. Vascular injuries are exceptionally rare when placing an intramedullary nail without open reduction. There are very few reported cases of direct arterial injury and active bleed at the level of the distal interlocking screw following closed reduction and intramedullary nailing of a hip fracture. We report one such case. Case Presentation: An 88-year-old female presented to the emergency department with a left intertrochanteric hip fracture. Closed reduction with a cephalomedullary nail fixation of the left hip fracture occurred as planned without any obvious intraoperative technical issues. The patient remained stable intraoperatively. No open reduction was required. Postoperatively, the patient developed hemorrhagic shock and required massive transfusion protocol. Angiography demonstrated an intramuscular hematoma at the level of the distal intramedullary nail interlocking screw with active extravasation. The patient subsequently required embolization. Nine days following surgery, she began Eliquis for DVT prophylaxis and was ambulating independently with signs of hematoma resolution. Discussion: Profunda femoris artery injury can stem from various mechanisms during surgery. Atherosclerosis places patients at a higher risk of complication due to rigid vessels. In this case, it is believed that drilling beyond the medial femoral cortex led to the arterial injury. Conclusion: Care should be taken to prevent drills from plunging beyond the medial femoral cortex during surgery. Cautious observation of patient's vitals and clinical course can allow for early detection of vascular complication.

求助全文
通过发布文献求助,成功后即可免费获取论文全文。 去求助
来源期刊
自引率
0.00%
发文量
55
审稿时长
14 weeks
×
引用
GB/T 7714-2015
复制
MLA
复制
APA
复制
导出至
BibTeX EndNote RefMan NoteFirst NoteExpress
×
提示
您的信息不完整,为了账户安全,请先补充。
现在去补充
×
提示
您因"违规操作"
具体请查看互助需知
我知道了
×
提示
确定
请完成安全验证×
copy
已复制链接
快去分享给好友吧!
我知道了
右上角分享
点击右上角分享
0
联系我们:info@booksci.cn Book学术提供免费学术资源搜索服务,方便国内外学者检索中英文文献。致力于提供最便捷和优质的服务体验。 Copyright © 2023 布克学术 All rights reserved.
京ICP备2023020795号-1
ghs 京公网安备 11010802042870号
Book学术文献互助
Book学术文献互助群
群 号:604180095
Book学术官方微信