儿童外伤性肾动脉闭塞:病例报告。

IF 1.4 Q3 PEDIATRICS
Global Pediatric Health Pub Date : 2024-08-30 eCollection Date: 2024-01-01 DOI:10.1177/2333794X241277597
Yacine Zouirech, Abir Manni, Badr Rouijel, Loubna Aqqaoui, Hicham Zerhouni, Houda Oubejja, Mounir Erraji, Fouad Ettayebi
{"title":"儿童外伤性肾动脉闭塞:病例报告。","authors":"Yacine Zouirech, Abir Manni, Badr Rouijel, Loubna Aqqaoui, Hicham Zerhouni, Houda Oubejja, Mounir Erraji, Fouad Ettayebi","doi":"10.1177/2333794X241277597","DOIUrl":null,"url":null,"abstract":"<p><p>Blunt trauma is a major cause of death in children, with renal arterial injuries occurring in less than 1% of cases. Traumatic renal artery occlusion (RAO) in children is rare and results in the loss of ipsilateral renal perfusion. Clinical signs are often nonspecific, and there is a lack of information on the exact incidence and management outcomes of these rare cases in children. We report a case of unilateral RAO in a 13-year-old boy with polytrauma. He was diagnosed with right RAO and hepatic laceration after a fall. A conservative approach yielded favorable outcomes despite the loss of function in the right kidney. In stable polytrauma patients, prompt diagnosis of RAO is crucial for treatment optimization and potential kidney salvage.</p>","PeriodicalId":12576,"journal":{"name":"Global Pediatric Health","volume":"11 ","pages":"2333794X241277597"},"PeriodicalIF":1.4000,"publicationDate":"2024-08-30","publicationTypes":"Journal Article","fieldsOfStudy":null,"isOpenAccess":false,"openAccessPdf":"https://www.ncbi.nlm.nih.gov/pmc/articles/PMC11366086/pdf/","citationCount":"0","resultStr":"{\"title\":\"Traumatic Renal Artery Occlusion in Children: A Case Report.\",\"authors\":\"Yacine Zouirech, Abir Manni, Badr Rouijel, Loubna Aqqaoui, Hicham Zerhouni, Houda Oubejja, Mounir Erraji, Fouad Ettayebi\",\"doi\":\"10.1177/2333794X241277597\",\"DOIUrl\":null,\"url\":null,\"abstract\":\"<p><p>Blunt trauma is a major cause of death in children, with renal arterial injuries occurring in less than 1% of cases. Traumatic renal artery occlusion (RAO) in children is rare and results in the loss of ipsilateral renal perfusion. Clinical signs are often nonspecific, and there is a lack of information on the exact incidence and management outcomes of these rare cases in children. We report a case of unilateral RAO in a 13-year-old boy with polytrauma. He was diagnosed with right RAO and hepatic laceration after a fall. A conservative approach yielded favorable outcomes despite the loss of function in the right kidney. In stable polytrauma patients, prompt diagnosis of RAO is crucial for treatment optimization and potential kidney salvage.</p>\",\"PeriodicalId\":12576,\"journal\":{\"name\":\"Global Pediatric Health\",\"volume\":\"11 \",\"pages\":\"2333794X241277597\"},\"PeriodicalIF\":1.4000,\"publicationDate\":\"2024-08-30\",\"publicationTypes\":\"Journal Article\",\"fieldsOfStudy\":null,\"isOpenAccess\":false,\"openAccessPdf\":\"https://www.ncbi.nlm.nih.gov/pmc/articles/PMC11366086/pdf/\",\"citationCount\":\"0\",\"resultStr\":null,\"platform\":\"Semanticscholar\",\"paperid\":null,\"PeriodicalName\":\"Global Pediatric Health\",\"FirstCategoryId\":\"1085\",\"ListUrlMain\":\"https://doi.org/10.1177/2333794X241277597\",\"RegionNum\":0,\"RegionCategory\":null,\"ArticlePicture\":[],\"TitleCN\":null,\"AbstractTextCN\":null,\"PMCID\":null,\"EPubDate\":\"2024/1/1 0:00:00\",\"PubModel\":\"eCollection\",\"JCR\":\"Q3\",\"JCRName\":\"PEDIATRICS\",\"Score\":null,\"Total\":0}","platform":"Semanticscholar","paperid":null,"PeriodicalName":"Global Pediatric Health","FirstCategoryId":"1085","ListUrlMain":"https://doi.org/10.1177/2333794X241277597","RegionNum":0,"RegionCategory":null,"ArticlePicture":[],"TitleCN":null,"AbstractTextCN":null,"PMCID":null,"EPubDate":"2024/1/1 0:00:00","PubModel":"eCollection","JCR":"Q3","JCRName":"PEDIATRICS","Score":null,"Total":0}
引用次数: 0

摘要

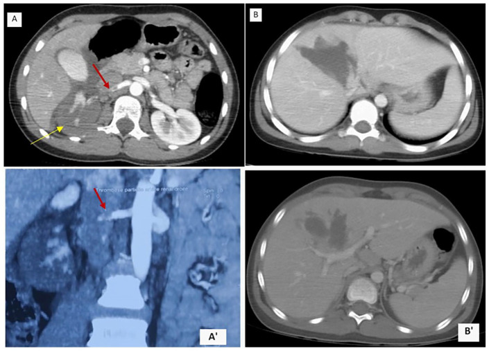
钝性外伤是儿童死亡的主要原因,而肾动脉损伤发生率不到 1%。儿童外伤性肾动脉闭塞(RAO)非常罕见,会导致同侧肾脏失去灌注。临床症状通常没有特异性,而且缺乏有关这些罕见病例在儿童中的确切发病率和治疗结果的信息。我们报告了一例单侧 RAO 病例,患者是一名 13 岁男孩,患有多发性创伤。他在一次摔倒后被诊断为右侧 RAO 和肝裂伤。尽管右肾功能丧失,但保守治疗取得了良好的效果。对于病情稳定的多发性创伤患者,及时诊断 RAO 对于优化治疗和潜在的肾脏挽救至关重要。
本文章由计算机程序翻译,如有差异,请以英文原文为准。

Traumatic Renal Artery Occlusion in Children: A Case Report.

Traumatic Renal Artery Occlusion in Children: A Case Report.

Traumatic Renal Artery Occlusion in Children: A Case Report.

Traumatic Renal Artery Occlusion in Children: A Case Report.

Blunt trauma is a major cause of death in children, with renal arterial injuries occurring in less than 1% of cases. Traumatic renal artery occlusion (RAO) in children is rare and results in the loss of ipsilateral renal perfusion. Clinical signs are often nonspecific, and there is a lack of information on the exact incidence and management outcomes of these rare cases in children. We report a case of unilateral RAO in a 13-year-old boy with polytrauma. He was diagnosed with right RAO and hepatic laceration after a fall. A conservative approach yielded favorable outcomes despite the loss of function in the right kidney. In stable polytrauma patients, prompt diagnosis of RAO is crucial for treatment optimization and potential kidney salvage.

求助全文
通过发布文献求助,成功后即可免费获取论文全文。 去求助
来源期刊
Global Pediatric Health
Global Pediatric Health Nursing-Pediatrics
CiteScore
2.20
自引率
0.00%
发文量
105
审稿时长
12 weeks
×
引用
GB/T 7714-2015
复制
MLA
复制
APA
复制
导出至
BibTeX EndNote RefMan NoteFirst NoteExpress
×
提示
您的信息不完整,为了账户安全,请先补充。
现在去补充
×
提示
您因"违规操作"
具体请查看互助需知
我知道了
×
提示
确定
请完成安全验证×
copy
已复制链接
快去分享给好友吧!
我知道了
右上角分享
点击右上角分享
0
联系我们:info@booksci.cn Book学术提供免费学术资源搜索服务,方便国内外学者检索中英文文献。致力于提供最便捷和优质的服务体验。 Copyright © 2023 布克学术 All rights reserved.
京ICP备2023020795号-1
ghs 京公网安备 11010802042870号
Book学术文献互助
Book学术文献互助群
群 号:604180095
Book学术官方微信