成功为一名心脏病患者进行清醒纤维支气管镜插管:病例报告。

IF 1.3 Q3 ANESTHESIOLOGY
Annals of Cardiac Anaesthesia Pub Date : 2024-10-01 Epub Date: 2024-08-28 DOI:10.4103/aca.aca_13_24
Qusai A Alsalah, Peter R Bael, Arein A M Abufara, Mohammad I Alsahouri, Yousef Abu Asbeh, Majde Hamamdh
{"title":"成功为一名心脏病患者进行清醒纤维支气管镜插管:病例报告。","authors":"Qusai A Alsalah, Peter R Bael, Arein A M Abufara, Mohammad I Alsahouri, Yousef Abu Asbeh, Majde Hamamdh","doi":"10.4103/aca.aca_13_24","DOIUrl":null,"url":null,"abstract":"<p><strong>Abstract: </strong>Bronchoscopy is a widely used technique for diagnostic and therapeutic purposes. Though it requires anesthesia, many options are available, depending on the patient's health status, the purpose of the procedure, and the type of bronchoscope used. One such health status is heart failure, a leading cause of death, and a common challenge of anesthesiology. We report a 60-year-old male patient who is a known case of heart failure with an ejection fraction of 15%, and an implanted cardioverter defibrillator, along with concurrent ischemic heart disease, diabetes mellitus, and hypertension, who presented complaining of dysphagia. This highly morbid patient was able to successfully undergo a bronchoscopic biopsy with nerve block anesthesia considering his inadequacy for conventional methods. This report aims to shed light on these challenging cases and alert anesthesiologists on how to manage such situations in patients with cardiac morbidities.</p>","PeriodicalId":7997,"journal":{"name":"Annals of Cardiac Anaesthesia","volume":" ","pages":"352-356"},"PeriodicalIF":1.3000,"publicationDate":"2024-10-01","publicationTypes":"Journal Article","fieldsOfStudy":null,"isOpenAccess":false,"openAccessPdf":"https://www.ncbi.nlm.nih.gov/pmc/articles/PMC11610786/pdf/","citationCount":"0","resultStr":"{\"title\":\"A Successful Awake Fiberoptic Bronchoscopy Intubation of a Cardiomorbid Patient: A Case Report.\",\"authors\":\"Qusai A Alsalah, Peter R Bael, Arein A M Abufara, Mohammad I Alsahouri, Yousef Abu Asbeh, Majde Hamamdh\",\"doi\":\"10.4103/aca.aca_13_24\",\"DOIUrl\":null,\"url\":null,\"abstract\":\"<p><strong>Abstract: </strong>Bronchoscopy is a widely used technique for diagnostic and therapeutic purposes. Though it requires anesthesia, many options are available, depending on the patient's health status, the purpose of the procedure, and the type of bronchoscope used. One such health status is heart failure, a leading cause of death, and a common challenge of anesthesiology. We report a 60-year-old male patient who is a known case of heart failure with an ejection fraction of 15%, and an implanted cardioverter defibrillator, along with concurrent ischemic heart disease, diabetes mellitus, and hypertension, who presented complaining of dysphagia. This highly morbid patient was able to successfully undergo a bronchoscopic biopsy with nerve block anesthesia considering his inadequacy for conventional methods. This report aims to shed light on these challenging cases and alert anesthesiologists on how to manage such situations in patients with cardiac morbidities.</p>\",\"PeriodicalId\":7997,\"journal\":{\"name\":\"Annals of Cardiac Anaesthesia\",\"volume\":\" \",\"pages\":\"352-356\"},\"PeriodicalIF\":1.3000,\"publicationDate\":\"2024-10-01\",\"publicationTypes\":\"Journal Article\",\"fieldsOfStudy\":null,\"isOpenAccess\":false,\"openAccessPdf\":\"https://www.ncbi.nlm.nih.gov/pmc/articles/PMC11610786/pdf/\",\"citationCount\":\"0\",\"resultStr\":null,\"platform\":\"Semanticscholar\",\"paperid\":null,\"PeriodicalName\":\"Annals of Cardiac Anaesthesia\",\"FirstCategoryId\":\"1085\",\"ListUrlMain\":\"https://doi.org/10.4103/aca.aca_13_24\",\"RegionNum\":0,\"RegionCategory\":null,\"ArticlePicture\":[],\"TitleCN\":null,\"AbstractTextCN\":null,\"PMCID\":null,\"EPubDate\":\"2024/8/28 0:00:00\",\"PubModel\":\"Epub\",\"JCR\":\"Q3\",\"JCRName\":\"ANESTHESIOLOGY\",\"Score\":null,\"Total\":0}","platform":"Semanticscholar","paperid":null,"PeriodicalName":"Annals of Cardiac Anaesthesia","FirstCategoryId":"1085","ListUrlMain":"https://doi.org/10.4103/aca.aca_13_24","RegionNum":0,"RegionCategory":null,"ArticlePicture":[],"TitleCN":null,"AbstractTextCN":null,"PMCID":null,"EPubDate":"2024/8/28 0:00:00","PubModel":"Epub","JCR":"Q3","JCRName":"ANESTHESIOLOGY","Score":null,"Total":0}
引用次数: 0

摘要

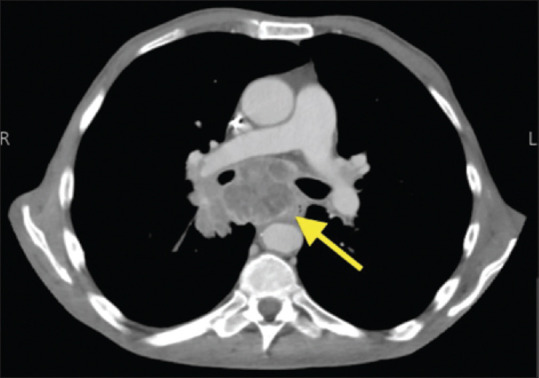
摘要:支气管镜检查是一种广泛用于诊断和治疗的技术。虽然它需要麻醉,但根据病人的健康状况、手术目的和所用支气管镜的类型,有许多选择。心力衰竭就是其中一种健康状况,它是导致死亡的主要原因,也是麻醉学的常见挑战。我们报告了一名 60 岁的男性患者,他已知患有射血分数为 15%的心力衰竭,植入了心脏除颤器,并同时患有缺血性心脏病、糖尿病和高血压,主诉吞咽困难。考虑到他无法使用传统方法,这名高度病态的患者在神经阻滞麻醉下成功接受了支气管镜活检。本报告旨在阐明这些具有挑战性的病例,并提醒麻醉医师如何处理心脏疾病患者的此类情况。
本文章由计算机程序翻译,如有差异,请以英文原文为准。

A Successful Awake Fiberoptic Bronchoscopy Intubation of a Cardiomorbid Patient: A Case Report.

A Successful Awake Fiberoptic Bronchoscopy Intubation of a Cardiomorbid Patient: A Case Report.

Abstract: Bronchoscopy is a widely used technique for diagnostic and therapeutic purposes. Though it requires anesthesia, many options are available, depending on the patient's health status, the purpose of the procedure, and the type of bronchoscope used. One such health status is heart failure, a leading cause of death, and a common challenge of anesthesiology. We report a 60-year-old male patient who is a known case of heart failure with an ejection fraction of 15%, and an implanted cardioverter defibrillator, along with concurrent ischemic heart disease, diabetes mellitus, and hypertension, who presented complaining of dysphagia. This highly morbid patient was able to successfully undergo a bronchoscopic biopsy with nerve block anesthesia considering his inadequacy for conventional methods. This report aims to shed light on these challenging cases and alert anesthesiologists on how to manage such situations in patients with cardiac morbidities.

求助全文
通过发布文献求助,成功后即可免费获取论文全文。 去求助
来源期刊
CiteScore
1.60
自引率
0.00%
发文量
147
审稿时长
26 weeks
期刊介绍: Annals of Cardiac Anaesthesia (ACA) is the official journal of the Indian Association of Cardiovascular Thoracic Anaesthesiologists. The journal is indexed with PubMed/MEDLINE, Excerpta Medica/EMBASE, IndMed and MedInd. The journal’s full text is online at www.annals.in. With the aim of faster and better dissemination of knowledge, we will be publishing articles ‘Ahead of Print’ immediately on acceptance. In addition, the journal would allow free access (Open Access) to its contents, which is likely to attract more readers and citations to articles published in ACA. Authors do not have to pay for submission, processing or publication of articles in ACA.
×
引用
GB/T 7714-2015
复制
MLA
复制
APA
复制
导出至
BibTeX EndNote RefMan NoteFirst NoteExpress
×
提示
您的信息不完整,为了账户安全,请先补充。
现在去补充
×
提示
您因"违规操作"
具体请查看互助需知
我知道了
×
提示
确定
请完成安全验证×
copy
已复制链接
快去分享给好友吧!
我知道了
右上角分享
点击右上角分享
0
联系我们:info@booksci.cn Book学术提供免费学术资源搜索服务,方便国内外学者检索中英文文献。致力于提供最便捷和优质的服务体验。 Copyright © 2023 布克学术 All rights reserved.
京ICP备2023020795号-1
ghs 京公网安备 11010802042870号
Book学术文献互助
Book学术文献互助群
群 号:604180095
Book学术官方微信