采用直接前路与分期双侧全髋关节置换术的并发症和疗效相似:比较研究。

IF 2.3 Q2 ORTHOPEDICS
SICOT-J Pub Date : 2024-01-01 Epub Date: 2024-08-22 DOI:10.1051/sicotj/2024028
Christos Koutserimpas, Edouard Rob, Elvire Servien, Sébastien Lustig, Cécile Batailler
{"title":"采用直接前路与分期双侧全髋关节置换术的并发症和疗效相似:比较研究。","authors":"Christos Koutserimpas, Edouard Rob, Elvire Servien, Sébastien Lustig, Cécile Batailler","doi":"10.1051/sicotj/2024028","DOIUrl":null,"url":null,"abstract":"<p><strong>Introduction: </strong>Simultaneous bilateral total hip arthroplasty (THA) has demonstrated similar clinical outcomes to staged bilateral THA. However, there is scarce data regarding the early postoperative complications. This study compares simultaneous to staged bilateral THA with the direct anterior approach (DAA) regarding early complications and revision surgeries.</p><p><strong>Methods: </strong>This retrospective case-control study included all bilateral THAs, performed by DAA between 2013 and 2021 with a minimum follow-up of 6 months. A total of 264 THAs (132 patients) were identified [simultaneous group (1T): 58 patients; staged group (2T): 74] with a mean follow-up of 54 months. Complications and revisions, clinical outcomes, and days off work were assessed at the last follow-up. Moreover, blood loss was evaluated by the modified method of Mercuriali and Inghilleri.</p><p><strong>Results: </strong>Blood loss was higher in the 1T group (1003 mL 1T vs. 740 mL 2T; p < 0.001) but there was no significant difference in transfusion rates (5% 1T vs. 3% 2T; p = 0.4). There were no complications in 1T, while the complication rate was 5.2% (n = 6) in 2T (p = 0.012). There were 5 revisions in the 2T group, including 2 debridements with polyethylene exchange and implant retention for early infections, 2 revisions for aseptic loosening in the same patient, and 1 revision due to fracture. Postoperative pain on D3 was equivalent in both groups (4.2 1T vs. 4.3 2T; p = 0.79). The improvement in function according to the HHS at 2 months was better in the 1T group, but not significant (36.8 1T vs. 32.9 2T; p = 0.05). The total number of days off work was significantly higher in the 2T group (82.6 days vs. 178.8; p = 0.025).</p><p><strong>Discussion: </strong>Simultaneous bilateral THA with the DAA seems to be a safe procedure, with no risk of increased early postoperative complications when compared to the staged procedure with similar functional outcomes and significantly fewer complications and days off work.</p>","PeriodicalId":46378,"journal":{"name":"SICOT-J","volume":"10 ","pages":"31"},"PeriodicalIF":2.3000,"publicationDate":"2024-01-01","publicationTypes":"Journal Article","fieldsOfStudy":null,"isOpenAccess":false,"openAccessPdf":"https://www.ncbi.nlm.nih.gov/pmc/articles/PMC11342850/pdf/","citationCount":"0","resultStr":"{\"title\":\"Similar complications and outcomes with simultaneous versus staged bilateral total hip arthroplasty with the direct anterior approach: A comparative study.\",\"authors\":\"Christos Koutserimpas, Edouard Rob, Elvire Servien, Sébastien Lustig, Cécile Batailler\",\"doi\":\"10.1051/sicotj/2024028\",\"DOIUrl\":null,\"url\":null,\"abstract\":\"<p><strong>Introduction: </strong>Simultaneous bilateral total hip arthroplasty (THA) has demonstrated similar clinical outcomes to staged bilateral THA. However, there is scarce data regarding the early postoperative complications. This study compares simultaneous to staged bilateral THA with the direct anterior approach (DAA) regarding early complications and revision surgeries.</p><p><strong>Methods: </strong>This retrospective case-control study included all bilateral THAs, performed by DAA between 2013 and 2021 with a minimum follow-up of 6 months. A total of 264 THAs (132 patients) were identified [simultaneous group (1T): 58 patients; staged group (2T): 74] with a mean follow-up of 54 months. Complications and revisions, clinical outcomes, and days off work were assessed at the last follow-up. Moreover, blood loss was evaluated by the modified method of Mercuriali and Inghilleri.</p><p><strong>Results: </strong>Blood loss was higher in the 1T group (1003 mL 1T vs. 740 mL 2T; p < 0.001) but there was no significant difference in transfusion rates (5% 1T vs. 3% 2T; p = 0.4). There were no complications in 1T, while the complication rate was 5.2% (n = 6) in 2T (p = 0.012). There were 5 revisions in the 2T group, including 2 debridements with polyethylene exchange and implant retention for early infections, 2 revisions for aseptic loosening in the same patient, and 1 revision due to fracture. Postoperative pain on D3 was equivalent in both groups (4.2 1T vs. 4.3 2T; p = 0.79). The improvement in function according to the HHS at 2 months was better in the 1T group, but not significant (36.8 1T vs. 32.9 2T; p = 0.05). The total number of days off work was significantly higher in the 2T group (82.6 days vs. 178.8; p = 0.025).</p><p><strong>Discussion: </strong>Simultaneous bilateral THA with the DAA seems to be a safe procedure, with no risk of increased early postoperative complications when compared to the staged procedure with similar functional outcomes and significantly fewer complications and days off work.</p>\",\"PeriodicalId\":46378,\"journal\":{\"name\":\"SICOT-J\",\"volume\":\"10 \",\"pages\":\"31\"},\"PeriodicalIF\":2.3000,\"publicationDate\":\"2024-01-01\",\"publicationTypes\":\"Journal Article\",\"fieldsOfStudy\":null,\"isOpenAccess\":false,\"openAccessPdf\":\"https://www.ncbi.nlm.nih.gov/pmc/articles/PMC11342850/pdf/\",\"citationCount\":\"0\",\"resultStr\":null,\"platform\":\"Semanticscholar\",\"paperid\":null,\"PeriodicalName\":\"SICOT-J\",\"FirstCategoryId\":\"1085\",\"ListUrlMain\":\"https://doi.org/10.1051/sicotj/2024028\",\"RegionNum\":0,\"RegionCategory\":null,\"ArticlePicture\":[],\"TitleCN\":null,\"AbstractTextCN\":null,\"PMCID\":null,\"EPubDate\":\"2024/8/22 0:00:00\",\"PubModel\":\"Epub\",\"JCR\":\"Q2\",\"JCRName\":\"ORTHOPEDICS\",\"Score\":null,\"Total\":0}","platform":"Semanticscholar","paperid":null,"PeriodicalName":"SICOT-J","FirstCategoryId":"1085","ListUrlMain":"https://doi.org/10.1051/sicotj/2024028","RegionNum":0,"RegionCategory":null,"ArticlePicture":[],"TitleCN":null,"AbstractTextCN":null,"PMCID":null,"EPubDate":"2024/8/22 0:00:00","PubModel":"Epub","JCR":"Q2","JCRName":"ORTHOPEDICS","Score":null,"Total":0}
引用次数: 0

摘要

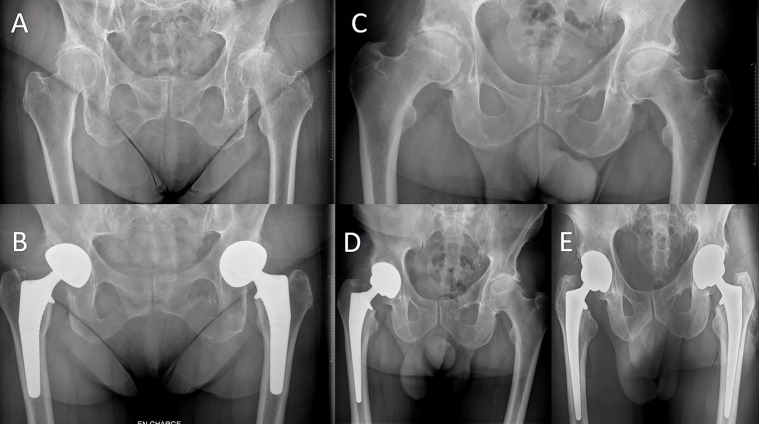
简介:同步双侧全髋关节置换术(THA)的临床效果与分期双侧THA相似。然而,有关术后早期并发症的数据却很少。本研究比较了同时双侧全髋关节置换术和直接前路(DAA)分期双侧全髋关节置换术在早期并发症和翻修手术方面的情况:这项回顾性病例对照研究纳入了2013年至2021年间所有采用DAA进行的双侧THA,随访时间至少6个月。共确定了 264 例 THAs(132 例患者)[同期组(1T):58 例患者;分期组(2T):74 例],平均随访 54 个月。在最后一次随访时对并发症和翻修、临床疗效和停工天数进行了评估。此外,还采用 Mercuriali 和 Inghilleri 的改良方法对失血量进行了评估:结果:1T 组的失血量更高(1T 组为 1003 毫升,2T 组为 740 毫升;P 讨论):使用 DAA 同时进行双侧 THA 似乎是一种安全的手术,与分期手术相比,术后早期并发症增加的风险不大,功能结果相似,并发症和停工天数明显减少。
本文章由计算机程序翻译,如有差异,请以英文原文为准。

Similar complications and outcomes with simultaneous versus staged bilateral total hip arthroplasty with the direct anterior approach: A comparative study.

Similar complications and outcomes with simultaneous versus staged bilateral total hip arthroplasty with the direct anterior approach: A comparative study.

Similar complications and outcomes with simultaneous versus staged bilateral total hip arthroplasty with the direct anterior approach: A comparative study.

Similar complications and outcomes with simultaneous versus staged bilateral total hip arthroplasty with the direct anterior approach: A comparative study.

Introduction: Simultaneous bilateral total hip arthroplasty (THA) has demonstrated similar clinical outcomes to staged bilateral THA. However, there is scarce data regarding the early postoperative complications. This study compares simultaneous to staged bilateral THA with the direct anterior approach (DAA) regarding early complications and revision surgeries.

Methods: This retrospective case-control study included all bilateral THAs, performed by DAA between 2013 and 2021 with a minimum follow-up of 6 months. A total of 264 THAs (132 patients) were identified [simultaneous group (1T): 58 patients; staged group (2T): 74] with a mean follow-up of 54 months. Complications and revisions, clinical outcomes, and days off work were assessed at the last follow-up. Moreover, blood loss was evaluated by the modified method of Mercuriali and Inghilleri.

Results: Blood loss was higher in the 1T group (1003 mL 1T vs. 740 mL 2T; p < 0.001) but there was no significant difference in transfusion rates (5% 1T vs. 3% 2T; p = 0.4). There were no complications in 1T, while the complication rate was 5.2% (n = 6) in 2T (p = 0.012). There were 5 revisions in the 2T group, including 2 debridements with polyethylene exchange and implant retention for early infections, 2 revisions for aseptic loosening in the same patient, and 1 revision due to fracture. Postoperative pain on D3 was equivalent in both groups (4.2 1T vs. 4.3 2T; p = 0.79). The improvement in function according to the HHS at 2 months was better in the 1T group, but not significant (36.8 1T vs. 32.9 2T; p = 0.05). The total number of days off work was significantly higher in the 2T group (82.6 days vs. 178.8; p = 0.025).

Discussion: Simultaneous bilateral THA with the DAA seems to be a safe procedure, with no risk of increased early postoperative complications when compared to the staged procedure with similar functional outcomes and significantly fewer complications and days off work.

求助全文
通过发布文献求助,成功后即可免费获取论文全文。 去求助
来源期刊
SICOT-J
SICOT-J ORTHOPEDICS-
CiteScore
3.20
自引率
12.50%
发文量
44
审稿时长
14 weeks
×
引用
GB/T 7714-2015
复制
MLA
复制
APA
复制
导出至
BibTeX EndNote RefMan NoteFirst NoteExpress
×
提示
您的信息不完整,为了账户安全,请先补充。
现在去补充
×
提示
您因"违规操作"
具体请查看互助需知
我知道了
×
提示
确定
请完成安全验证×
copy
已复制链接
快去分享给好友吧!
我知道了
右上角分享
点击右上角分享
0
联系我们:info@booksci.cn Book学术提供免费学术资源搜索服务,方便国内外学者检索中英文文献。致力于提供最便捷和优质的服务体验。 Copyright © 2023 布克学术 All rights reserved.
京ICP备2023020795号-1
ghs 京公网安备 11010802042870号
Book学术文献互助
Book学术文献互助群
群 号:604180095
Book学术官方微信