一名儿童同时患上脾脓肿和脑内脓肿

Jideofor Okechukwu Ugwu, Adaobi Chiazor Emegoakor, Sylvester Okwuchukwu Obiechina, Nwanneka Ogechukwu Ugwu, Sunday Patrick Nkwerem
{"title":"一名儿童同时患上脾脓肿和脑内脓肿","authors":"Jideofor Okechukwu Ugwu, Adaobi Chiazor Emegoakor, Sylvester Okwuchukwu Obiechina, Nwanneka Ogechukwu Ugwu, Sunday Patrick Nkwerem","doi":"10.4103/ajps.ajps_101_22","DOIUrl":null,"url":null,"abstract":"<p><strong>Abstract: </strong>Splenic abscess is a life-threatening condition, which is very rare in children. There is usually an infective focus or pre-disposing factors such as immunodeficiencies towards developing splenic abscesses. Only one case of splenic abscess with brain abscesses in an adult has been reported in the English literature. We, therefore, report a case of an 11-year-old boy who was otherwise healthy, but presented with fever and weight loss for 2 months, right upper abdominal pain, vomiting, hypochondrial tenderness for 1 week and later on developed a left hemiplegia and right facioparesis 2 days before presentation. Diagnosis of splenic abscess and right intracerebral abscesses was confirmed with abdominopelvic ultrasound scan and abdominal and cranial computerised tomographic scans. He subsequently had percutaneous ultrasound-guided drainage of the splenic abscess which was not successful necessitating splenectomy with aggressive antibiotics treatment to which the patient responded with resolution of the brain abscesses and recovery of power in affected limbs. This report aimed to highlight the need for increased suspicion of splenic abscesses in children who are apparently immunocompetent and to add to the knowledge of management of this rare condition in children. We conclude that splenic abscess with intracerebral abscess is a rare but life-threatening condition which is amenable to treatment with drainage of abscess and aggressive guided antimicrobial therapy.</p>","PeriodicalId":72123,"journal":{"name":"African journal of paediatric surgery : AJPS","volume":"21 3","pages":"194-197"},"PeriodicalIF":0.0000,"publicationDate":"2024-07-01","publicationTypes":"Journal Article","fieldsOfStudy":null,"isOpenAccess":false,"openAccessPdf":"https://www.ncbi.nlm.nih.gov/pmc/articles/PMC11379325/pdf/","citationCount":"0","resultStr":"{\"title\":\"Synchronous Splenic and Intracerebral Abscesses in a Child.\",\"authors\":\"Jideofor Okechukwu Ugwu, Adaobi Chiazor Emegoakor, Sylvester Okwuchukwu Obiechina, Nwanneka Ogechukwu Ugwu, Sunday Patrick Nkwerem\",\"doi\":\"10.4103/ajps.ajps_101_22\",\"DOIUrl\":null,\"url\":null,\"abstract\":\"<p><strong>Abstract: </strong>Splenic abscess is a life-threatening condition, which is very rare in children. There is usually an infective focus or pre-disposing factors such as immunodeficiencies towards developing splenic abscesses. Only one case of splenic abscess with brain abscesses in an adult has been reported in the English literature. We, therefore, report a case of an 11-year-old boy who was otherwise healthy, but presented with fever and weight loss for 2 months, right upper abdominal pain, vomiting, hypochondrial tenderness for 1 week and later on developed a left hemiplegia and right facioparesis 2 days before presentation. Diagnosis of splenic abscess and right intracerebral abscesses was confirmed with abdominopelvic ultrasound scan and abdominal and cranial computerised tomographic scans. He subsequently had percutaneous ultrasound-guided drainage of the splenic abscess which was not successful necessitating splenectomy with aggressive antibiotics treatment to which the patient responded with resolution of the brain abscesses and recovery of power in affected limbs. This report aimed to highlight the need for increased suspicion of splenic abscesses in children who are apparently immunocompetent and to add to the knowledge of management of this rare condition in children. We conclude that splenic abscess with intracerebral abscess is a rare but life-threatening condition which is amenable to treatment with drainage of abscess and aggressive guided antimicrobial therapy.</p>\",\"PeriodicalId\":72123,\"journal\":{\"name\":\"African journal of paediatric surgery : AJPS\",\"volume\":\"21 3\",\"pages\":\"194-197\"},\"PeriodicalIF\":0.0000,\"publicationDate\":\"2024-07-01\",\"publicationTypes\":\"Journal Article\",\"fieldsOfStudy\":null,\"isOpenAccess\":false,\"openAccessPdf\":\"https://www.ncbi.nlm.nih.gov/pmc/articles/PMC11379325/pdf/\",\"citationCount\":\"0\",\"resultStr\":null,\"platform\":\"Semanticscholar\",\"paperid\":null,\"PeriodicalName\":\"African journal of paediatric surgery : AJPS\",\"FirstCategoryId\":\"1085\",\"ListUrlMain\":\"https://doi.org/10.4103/ajps.ajps_101_22\",\"RegionNum\":0,\"RegionCategory\":null,\"ArticlePicture\":[],\"TitleCN\":null,\"AbstractTextCN\":null,\"PMCID\":null,\"EPubDate\":\"2023/4/10 0:00:00\",\"PubModel\":\"Epub\",\"JCR\":\"\",\"JCRName\":\"\",\"Score\":null,\"Total\":0}","platform":"Semanticscholar","paperid":null,"PeriodicalName":"African journal of paediatric surgery : AJPS","FirstCategoryId":"1085","ListUrlMain":"https://doi.org/10.4103/ajps.ajps_101_22","RegionNum":0,"RegionCategory":null,"ArticlePicture":[],"TitleCN":null,"AbstractTextCN":null,"PMCID":null,"EPubDate":"2023/4/10 0:00:00","PubModel":"Epub","JCR":"","JCRName":"","Score":null,"Total":0}
引用次数: 0

摘要

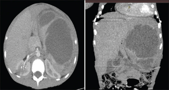
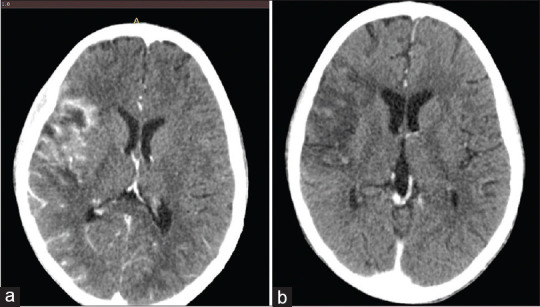
摘要:脾脓肿是一种危及生命的疾病,在儿童中非常罕见。患上脾脓肿通常有感染病灶或免疫缺陷等诱发因素。英文文献中仅报道过一例成人脾脓肿合并脑脓肿的病例。因此,我们报告了一例 11 岁男孩的病例,他原本身体健康,但出现发热和体重减轻 2 个月,右上腹痛、呕吐、下腹压痛 1 周,后来在就诊前 2 天出现左侧偏瘫和右侧面瘫。腹盆腔超声扫描、腹部和头颅计算机断层扫描证实了脾脓肿和右侧脑内脓肿的诊断。随后,他接受了经皮超声引导的脾脓肿引流术,但引流不成功,不得不进行脾切除术,并积极使用抗生素治疗。本报告旨在强调有必要加强对免疫力低下儿童脾脓肿的怀疑,并增加对这种罕见儿童疾病的管理知识。我们的结论是,脾脓肿并发脑内脓肿是一种罕见但危及生命的疾病,可通过脓肿引流和积极的抗菌治疗进行治疗。
本文章由计算机程序翻译,如有差异,请以英文原文为准。

Synchronous Splenic and Intracerebral Abscesses in a Child.

Synchronous Splenic and Intracerebral Abscesses in a Child.

Synchronous Splenic and Intracerebral Abscesses in a Child.

Abstract: Splenic abscess is a life-threatening condition, which is very rare in children. There is usually an infective focus or pre-disposing factors such as immunodeficiencies towards developing splenic abscesses. Only one case of splenic abscess with brain abscesses in an adult has been reported in the English literature. We, therefore, report a case of an 11-year-old boy who was otherwise healthy, but presented with fever and weight loss for 2 months, right upper abdominal pain, vomiting, hypochondrial tenderness for 1 week and later on developed a left hemiplegia and right facioparesis 2 days before presentation. Diagnosis of splenic abscess and right intracerebral abscesses was confirmed with abdominopelvic ultrasound scan and abdominal and cranial computerised tomographic scans. He subsequently had percutaneous ultrasound-guided drainage of the splenic abscess which was not successful necessitating splenectomy with aggressive antibiotics treatment to which the patient responded with resolution of the brain abscesses and recovery of power in affected limbs. This report aimed to highlight the need for increased suspicion of splenic abscesses in children who are apparently immunocompetent and to add to the knowledge of management of this rare condition in children. We conclude that splenic abscess with intracerebral abscess is a rare but life-threatening condition which is amenable to treatment with drainage of abscess and aggressive guided antimicrobial therapy.

求助全文
通过发布文献求助,成功后即可免费获取论文全文。 去求助
来源期刊
自引率
0.00%
发文量
0
×
引用
GB/T 7714-2015
复制
MLA
复制
APA
复制
导出至
BibTeX EndNote RefMan NoteFirst NoteExpress
×
提示
您的信息不完整,为了账户安全,请先补充。
现在去补充
×
提示
您因"违规操作"
具体请查看互助需知
我知道了
×
提示
确定
请完成安全验证×
copy
已复制链接
快去分享给好友吧!
我知道了
右上角分享
点击右上角分享
0
联系我们:info@booksci.cn Book学术提供免费学术资源搜索服务,方便国内外学者检索中英文文献。致力于提供最便捷和优质的服务体验。 Copyright © 2023 布克学术 All rights reserved.
京ICP备2023020795号-1
ghs 京公网安备 11010802042870号
Book学术文献互助
Book学术文献互助群
群 号:604180095
Book学术官方微信