俯卧位全身麻醉期间脑室腹腔分流术故障导致脑积水加重,麻醉后意识恢复延迟:病例报告。

IF 1 Q3 ANESTHESIOLOGY
Yosuke Miyamoto, Takashi Kawasaki, Shingo Nakamura, Naoyuki Hirata
{"title":"俯卧位全身麻醉期间脑室腹腔分流术故障导致脑积水加重,麻醉后意识恢复延迟:病例报告。","authors":"Yosuke Miyamoto, Takashi Kawasaki, Shingo Nakamura, Naoyuki Hirata","doi":"10.1186/s40981-024-00736-x","DOIUrl":null,"url":null,"abstract":"<p><strong>Background: </strong>Dysfunction of ventriculoperitoneal (VP) shunts can lead to decreased levels of consciousness. We report a case of delayed emergence from anesthesia due to the malfunction of a VP shunt during neurosurgery in the prone position.</p><p><strong>Case presentation: </strong>A 75-year-old male with a history of VP shunt for a fourth ventricle obstruction underwent cerebral vascular anastomosis in the prone position. His preoperative level of consciousness was clear. The surgery under general anesthesia was completed without any particular issues. After discontinuation of anesthesia, the patient did not awaken for over an hour. Postoperative CT revealed exacerbated hydrocephalus, likely from VP shunt occlusion. After pumping the reservoir of the VP shunt, the patient regained consciousness. He was extubated and discharged from ICU on the second postoperative day with no neurological issues.</p><p><strong>Conclusion: </strong>For surgical patients with a VP shunt, anesthesia management must consider the risk of shunt malfunction due to patient positioning.</p>","PeriodicalId":14635,"journal":{"name":"JA Clinical Reports","volume":"10 1","pages":"51"},"PeriodicalIF":1.0000,"publicationDate":"2024-08-20","publicationTypes":"Journal Article","fieldsOfStudy":null,"isOpenAccess":false,"openAccessPdf":"https://www.ncbi.nlm.nih.gov/pmc/articles/PMC11333776/pdf/","citationCount":"0","resultStr":"{\"title\":\"Delayed recovery of consciousness from anesthesia due to exacerbation of hydrocephalus caused by a ventriculoperitoneal shunt malfunction during general anesthesia in the prone position: a case report.\",\"authors\":\"Yosuke Miyamoto, Takashi Kawasaki, Shingo Nakamura, Naoyuki Hirata\",\"doi\":\"10.1186/s40981-024-00736-x\",\"DOIUrl\":null,\"url\":null,\"abstract\":\"<p><strong>Background: </strong>Dysfunction of ventriculoperitoneal (VP) shunts can lead to decreased levels of consciousness. We report a case of delayed emergence from anesthesia due to the malfunction of a VP shunt during neurosurgery in the prone position.</p><p><strong>Case presentation: </strong>A 75-year-old male with a history of VP shunt for a fourth ventricle obstruction underwent cerebral vascular anastomosis in the prone position. His preoperative level of consciousness was clear. The surgery under general anesthesia was completed without any particular issues. After discontinuation of anesthesia, the patient did not awaken for over an hour. Postoperative CT revealed exacerbated hydrocephalus, likely from VP shunt occlusion. After pumping the reservoir of the VP shunt, the patient regained consciousness. He was extubated and discharged from ICU on the second postoperative day with no neurological issues.</p><p><strong>Conclusion: </strong>For surgical patients with a VP shunt, anesthesia management must consider the risk of shunt malfunction due to patient positioning.</p>\",\"PeriodicalId\":14635,\"journal\":{\"name\":\"JA Clinical Reports\",\"volume\":\"10 1\",\"pages\":\"51\"},\"PeriodicalIF\":1.0000,\"publicationDate\":\"2024-08-20\",\"publicationTypes\":\"Journal Article\",\"fieldsOfStudy\":null,\"isOpenAccess\":false,\"openAccessPdf\":\"https://www.ncbi.nlm.nih.gov/pmc/articles/PMC11333776/pdf/\",\"citationCount\":\"0\",\"resultStr\":null,\"platform\":\"Semanticscholar\",\"paperid\":null,\"PeriodicalName\":\"JA Clinical Reports\",\"FirstCategoryId\":\"1085\",\"ListUrlMain\":\"https://doi.org/10.1186/s40981-024-00736-x\",\"RegionNum\":0,\"RegionCategory\":null,\"ArticlePicture\":[],\"TitleCN\":null,\"AbstractTextCN\":null,\"PMCID\":null,\"EPubDate\":\"\",\"PubModel\":\"\",\"JCR\":\"Q3\",\"JCRName\":\"ANESTHESIOLOGY\",\"Score\":null,\"Total\":0}","platform":"Semanticscholar","paperid":null,"PeriodicalName":"JA Clinical Reports","FirstCategoryId":"1085","ListUrlMain":"https://doi.org/10.1186/s40981-024-00736-x","RegionNum":0,"RegionCategory":null,"ArticlePicture":[],"TitleCN":null,"AbstractTextCN":null,"PMCID":null,"EPubDate":"","PubModel":"","JCR":"Q3","JCRName":"ANESTHESIOLOGY","Score":null,"Total":0}
引用次数: 0

摘要

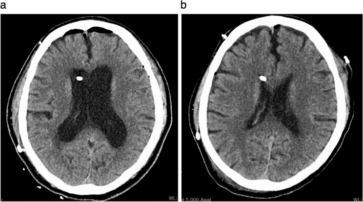
背景:脑室腹腔分流管(VP)功能障碍可导致意识水平下降。我们报告了一例在俯卧位进行神经外科手术时因 VP 分流功能失常而导致麻醉后延迟清醒的病例:病例介绍:一名 75 岁的男性因第四脑室阻塞而接受过 VP 分流术,并在俯卧位接受了脑血管吻合术。他术前意识清楚。手术在全身麻醉下完成,没有出现任何特殊问题。麻醉停止后,患者一个多小时没有醒来。术后 CT 显示脑积水加重,可能是 VP 分流闭塞造成的。在抽出 VP 分流器的储水池后,患者恢复了意识。他在术后第二天拔管并从重症监护室出院,没有出现任何神经系统问题:结论:对于使用 VP 分流器的手术患者,麻醉管理必须考虑到患者体位导致分流失灵的风险。
本文章由计算机程序翻译,如有差异,请以英文原文为准。

Delayed recovery of consciousness from anesthesia due to exacerbation of hydrocephalus caused by a ventriculoperitoneal shunt malfunction during general anesthesia in the prone position: a case report.

Delayed recovery of consciousness from anesthesia due to exacerbation of hydrocephalus caused by a ventriculoperitoneal shunt malfunction during general anesthesia in the prone position: a case report.

Delayed recovery of consciousness from anesthesia due to exacerbation of hydrocephalus caused by a ventriculoperitoneal shunt malfunction during general anesthesia in the prone position: a case report.

Background: Dysfunction of ventriculoperitoneal (VP) shunts can lead to decreased levels of consciousness. We report a case of delayed emergence from anesthesia due to the malfunction of a VP shunt during neurosurgery in the prone position.

Case presentation: A 75-year-old male with a history of VP shunt for a fourth ventricle obstruction underwent cerebral vascular anastomosis in the prone position. His preoperative level of consciousness was clear. The surgery under general anesthesia was completed without any particular issues. After discontinuation of anesthesia, the patient did not awaken for over an hour. Postoperative CT revealed exacerbated hydrocephalus, likely from VP shunt occlusion. After pumping the reservoir of the VP shunt, the patient regained consciousness. He was extubated and discharged from ICU on the second postoperative day with no neurological issues.

Conclusion: For surgical patients with a VP shunt, anesthesia management must consider the risk of shunt malfunction due to patient positioning.

求助全文
通过发布文献求助,成功后即可免费获取论文全文。 去求助
来源期刊
JA Clinical Reports
JA Clinical Reports ANESTHESIOLOGY-
CiteScore
1.30
自引率
0.00%
发文量
90
审稿时长
9 weeks
期刊介绍: JA Clinical Reports is a companion journal to the Journal of Anesthesia (JA), the official journal of the Japanese Society of Anesthesiologists (JSA). This journal is an open access, peer-reviewed, online journal related to clinical anesthesia practices such as anesthesia management, pain management and intensive care. Case reports are very important articles from the viewpoint of education and the cultivation of scientific thinking in the field of anesthesia. However, submissions of anesthesia research and clinical reports from Japan are notably decreasing in major anesthesia journals. Therefore, the JSA has decided to launch a new journal, JA Clinical Reports, to encourage JSA members, particularly junior Japanese anesthesiologists, to publish papers in English language.
×
引用
GB/T 7714-2015
复制
MLA
复制
APA
复制
导出至
BibTeX EndNote RefMan NoteFirst NoteExpress
×
提示
您的信息不完整,为了账户安全,请先补充。
现在去补充
×
提示
您因"违规操作"
具体请查看互助需知
我知道了
×
提示
确定
请完成安全验证×
copy
已复制链接
快去分享给好友吧!
我知道了
右上角分享
点击右上角分享
0
联系我们:info@booksci.cn Book学术提供免费学术资源搜索服务,方便国内外学者检索中英文文献。致力于提供最便捷和优质的服务体验。 Copyright © 2023 布克学术 All rights reserved.
京ICP备2023020795号-1
ghs 京公网安备 11010802042870号
Book学术文献互助
Book学术文献互助群
群 号:604180095
Book学术官方微信