同时患有子宫内膜癌和广泛性盆腔及外阴子宫内膜异位症的病例报告:病例报告。

Q2 Medicine
Soheila Aminimoghaddam, Nastaran Abolghasem, Niousha Jamshidnezhad
{"title":"同时患有子宫内膜癌和广泛性盆腔及外阴子宫内膜异位症的病例报告:病例报告。","authors":"Soheila Aminimoghaddam, Nastaran Abolghasem, Niousha Jamshidnezhad","doi":"10.18502/jri.v25i2.16011","DOIUrl":null,"url":null,"abstract":"<p><strong>Background: </strong>Endometrial cancer represents the most prevalent malignant genital tract neoplasm in high-income countries and is the second most common cancer worldwide following cervical cancer. Endometriosis is a benign condition wherein endometrial glands and stroma are found outside the uterine cavity.</p><p><strong>Case presentation: </strong>During a routine care and ultrasound examination of the uterus and adnexa of a 64-year-old woman, an increased endometrial thickness (22 <i>mm</i>) was noted. In 2023, according to ultrasound report, the patient underwent diagnostic curettage with immunohistochemistry, revealing a pathological diagnosis of endometrial cancer (endometrioid adenocarcinoma) with positive staining for p16, estrogen receptor (ER), and vimentin. Subsequently, after one week, she underwent complete surgical staging. Extensive superficial endometriosis disseminated in the pelvis and vulva was noted during surgery and preoperative examinations. Final pathology confirmed a well-differentiated typical endometrioid carcinoma (grade 1) with 40% myometrial invasion and positive lymphovascular invasion. The patient was considered to be at stage 1A.</p><p><strong>Conclusion: </strong>Despite some studies suggesting an unclear association between endometriosis and endometrioid or clear-cell ovarian cancers, the correlation between endometriosis and endometrial cancer and its prognosis remains ambiguous. Additionally, although infertility has been linked to both endometrial cancer and endometriosis in various studies, the presented case exhibited no signs of infertility. Extensive pelvic endometriosis with vulvar involvement was present, yet the patient did not exhibit any symptoms. This is in contrast to the typical initial manifestation of endometrial cancer, which is abnormal uterine bleeding. The patient's condition was incidentally detected through routine care due to an abnormal increase in endometrial thickness, prompting this presentation.</p>","PeriodicalId":38826,"journal":{"name":"Journal of Reproduction and Infertility","volume":"25 2","pages":"163-168"},"PeriodicalIF":0.0000,"publicationDate":"2024-04-01","publicationTypes":"Journal Article","fieldsOfStudy":null,"isOpenAccess":false,"openAccessPdf":"https://www.ncbi.nlm.nih.gov/pmc/articles/PMC11327419/pdf/","citationCount":"0","resultStr":"{\"title\":\"Simultaneous Endometrial Cancer with Extensive Pelvic and Vulvar Endometriosis: A Case Report.\",\"authors\":\"Soheila Aminimoghaddam, Nastaran Abolghasem, Niousha Jamshidnezhad\",\"doi\":\"10.18502/jri.v25i2.16011\",\"DOIUrl\":null,\"url\":null,\"abstract\":\"<p><strong>Background: </strong>Endometrial cancer represents the most prevalent malignant genital tract neoplasm in high-income countries and is the second most common cancer worldwide following cervical cancer. Endometriosis is a benign condition wherein endometrial glands and stroma are found outside the uterine cavity.</p><p><strong>Case presentation: </strong>During a routine care and ultrasound examination of the uterus and adnexa of a 64-year-old woman, an increased endometrial thickness (22 <i>mm</i>) was noted. In 2023, according to ultrasound report, the patient underwent diagnostic curettage with immunohistochemistry, revealing a pathological diagnosis of endometrial cancer (endometrioid adenocarcinoma) with positive staining for p16, estrogen receptor (ER), and vimentin. Subsequently, after one week, she underwent complete surgical staging. Extensive superficial endometriosis disseminated in the pelvis and vulva was noted during surgery and preoperative examinations. Final pathology confirmed a well-differentiated typical endometrioid carcinoma (grade 1) with 40% myometrial invasion and positive lymphovascular invasion. The patient was considered to be at stage 1A.</p><p><strong>Conclusion: </strong>Despite some studies suggesting an unclear association between endometriosis and endometrioid or clear-cell ovarian cancers, the correlation between endometriosis and endometrial cancer and its prognosis remains ambiguous. Additionally, although infertility has been linked to both endometrial cancer and endometriosis in various studies, the presented case exhibited no signs of infertility. Extensive pelvic endometriosis with vulvar involvement was present, yet the patient did not exhibit any symptoms. This is in contrast to the typical initial manifestation of endometrial cancer, which is abnormal uterine bleeding. The patient's condition was incidentally detected through routine care due to an abnormal increase in endometrial thickness, prompting this presentation.</p>\",\"PeriodicalId\":38826,\"journal\":{\"name\":\"Journal of Reproduction and Infertility\",\"volume\":\"25 2\",\"pages\":\"163-168\"},\"PeriodicalIF\":0.0000,\"publicationDate\":\"2024-04-01\",\"publicationTypes\":\"Journal Article\",\"fieldsOfStudy\":null,\"isOpenAccess\":false,\"openAccessPdf\":\"https://www.ncbi.nlm.nih.gov/pmc/articles/PMC11327419/pdf/\",\"citationCount\":\"0\",\"resultStr\":null,\"platform\":\"Semanticscholar\",\"paperid\":null,\"PeriodicalName\":\"Journal of Reproduction and Infertility\",\"FirstCategoryId\":\"1085\",\"ListUrlMain\":\"https://doi.org/10.18502/jri.v25i2.16011\",\"RegionNum\":0,\"RegionCategory\":null,\"ArticlePicture\":[],\"TitleCN\":null,\"AbstractTextCN\":null,\"PMCID\":null,\"EPubDate\":\"\",\"PubModel\":\"\",\"JCR\":\"Q2\",\"JCRName\":\"Medicine\",\"Score\":null,\"Total\":0}","platform":"Semanticscholar","paperid":null,"PeriodicalName":"Journal of Reproduction and Infertility","FirstCategoryId":"1085","ListUrlMain":"https://doi.org/10.18502/jri.v25i2.16011","RegionNum":0,"RegionCategory":null,"ArticlePicture":[],"TitleCN":null,"AbstractTextCN":null,"PMCID":null,"EPubDate":"","PubModel":"","JCR":"Q2","JCRName":"Medicine","Score":null,"Total":0}
引用次数: 0

摘要

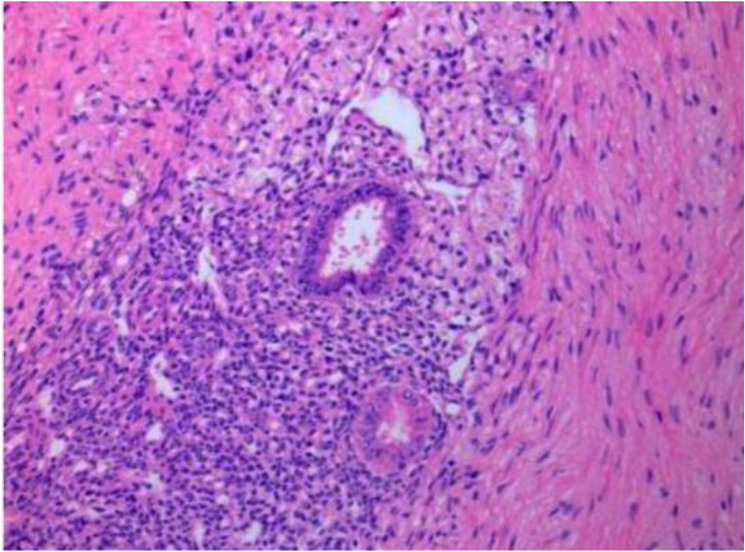
背景:子宫内膜癌是高收入国家最常见的生殖道恶性肿瘤,也是继宫颈癌之后全球第二大常见癌症。子宫内膜异位症是一种良性病变,子宫内膜腺体和基质位于子宫腔外:在对一名 64 岁妇女的子宫和附件进行常规护理和超声检查时,发现子宫内膜厚度增加(22 毫米)。2023 年,根据超声波报告,患者接受了诊断性刮宫术,并进行了免疫组化,病理诊断为子宫内膜癌(子宫内膜样腺癌),p16、雌激素受体(ER)和波形蛋白染色阳性。一周后,她接受了完整的手术分期。在手术和术前检查中,她被发现盆腔和外阴有广泛的浅表子宫内膜异位症。最终病理证实,这是一种分化良好的典型子宫内膜样癌(1级),子宫肌层浸润40%,淋巴管浸润阳性。该患者被认为处于 1A 期:尽管一些研究表明子宫内膜异位症与子宫内膜样癌或透明细胞卵巢癌之间的关系并不明确,但子宫内膜异位症与子宫内膜癌及其预后之间的相关性仍不明确。此外,虽然在多项研究中,不孕症与子宫内膜癌和子宫内膜异位症都有关联,但本病例并无不孕迹象。该患者存在广泛的盆腔子宫内膜异位症,并累及外阴,但却没有表现出任何症状。这与子宫内膜癌的典型初期表现--异常子宫出血--形成鲜明对比。由于子宫内膜厚度异常增加,该患者的病情是在常规护理中偶然发现的,因此才会出现这种情况。
本文章由计算机程序翻译,如有差异,请以英文原文为准。

Simultaneous Endometrial Cancer with Extensive Pelvic and Vulvar Endometriosis: A Case Report.

Simultaneous Endometrial Cancer with Extensive Pelvic and Vulvar Endometriosis: A Case Report.

Simultaneous Endometrial Cancer with Extensive Pelvic and Vulvar Endometriosis: A Case Report.

Simultaneous Endometrial Cancer with Extensive Pelvic and Vulvar Endometriosis: A Case Report.

Background: Endometrial cancer represents the most prevalent malignant genital tract neoplasm in high-income countries and is the second most common cancer worldwide following cervical cancer. Endometriosis is a benign condition wherein endometrial glands and stroma are found outside the uterine cavity.

Case presentation: During a routine care and ultrasound examination of the uterus and adnexa of a 64-year-old woman, an increased endometrial thickness (22 mm) was noted. In 2023, according to ultrasound report, the patient underwent diagnostic curettage with immunohistochemistry, revealing a pathological diagnosis of endometrial cancer (endometrioid adenocarcinoma) with positive staining for p16, estrogen receptor (ER), and vimentin. Subsequently, after one week, she underwent complete surgical staging. Extensive superficial endometriosis disseminated in the pelvis and vulva was noted during surgery and preoperative examinations. Final pathology confirmed a well-differentiated typical endometrioid carcinoma (grade 1) with 40% myometrial invasion and positive lymphovascular invasion. The patient was considered to be at stage 1A.

Conclusion: Despite some studies suggesting an unclear association between endometriosis and endometrioid or clear-cell ovarian cancers, the correlation between endometriosis and endometrial cancer and its prognosis remains ambiguous. Additionally, although infertility has been linked to both endometrial cancer and endometriosis in various studies, the presented case exhibited no signs of infertility. Extensive pelvic endometriosis with vulvar involvement was present, yet the patient did not exhibit any symptoms. This is in contrast to the typical initial manifestation of endometrial cancer, which is abnormal uterine bleeding. The patient's condition was incidentally detected through routine care due to an abnormal increase in endometrial thickness, prompting this presentation.

求助全文
通过发布文献求助,成功后即可免费获取论文全文。 去求助
来源期刊
Journal of Reproduction and Infertility
Journal of Reproduction and Infertility Medicine-Reproductive Medicine
CiteScore
2.70
自引率
0.00%
发文量
44
×
引用
GB/T 7714-2015
复制
MLA
复制
APA
复制
导出至
BibTeX EndNote RefMan NoteFirst NoteExpress
×
提示
您的信息不完整,为了账户安全,请先补充。
现在去补充
×
提示
您因"违规操作"
具体请查看互助需知
我知道了
×
提示
确定
请完成安全验证×
copy
已复制链接
快去分享给好友吧!
我知道了
右上角分享
点击右上角分享
0
联系我们:info@booksci.cn Book学术提供免费学术资源搜索服务,方便国内外学者检索中英文文献。致力于提供最便捷和优质的服务体验。 Copyright © 2023 布克学术 All rights reserved.
京ICP备2023020795号-1
ghs 京公网安备 11010802042870号
Book学术文献互助
Book学术文献互助群
群 号:604180095
Book学术官方微信