与利血平去甲肾上腺素(Lupron)相关的一过性滑膜炎。

IF 0.7 Q4 ENDOCRINOLOGY & METABOLISM
Erica A Steen, Susan A Phillips
{"title":"与利血平去甲肾上腺素(Lupron)相关的一过性滑膜炎。","authors":"Erica A Steen, Susan A Phillips","doi":"10.1530/EDM-24-0031","DOIUrl":null,"url":null,"abstract":"<p><strong>Summary: </strong>A 6.6-year-old female presented to endocrinology with precocious puberty for evaluation and management. Workup was initiated, and a diagnosis of central precocious puberty was confirmed. A decision was made to initiate pubertal blockade using gonadotropin-releasing hormone agonist (GnRHa) therapy with depot leuprolide acetate injections every 3 months. The patient received the first depot leuprolide acetate injection in the right ventrogluteal area. Six hours following the injection, the patient was reported to be inconsolable in pain, which was localized to the right hip site of the earlier injection and associated with a refusal to ambulate. The pain and discomfort continued to progress over the next 24 h despite an alternating regimen of Tylenol and ibuprofen prompting admission to the emergency department. Vital signs demonstrated a low-grade fever and elevated C-reactive protein. An ultrasound of the right hip demonstrated fluid accumulation within the joint. Over the next week, the patient was unable to walk independently and required assistance for activities of daily living. By 2 weeks after the injection, the pain began to remit, and the patient resumed activities of daily living. Following consultation with allergy, a decision was made to continue GnRHa suppressive therapy with an alternative analog (Triptodur). The patient tolerated subsequent treatment without reaction.</p><p><strong>Learning points: </strong>Although gonadotropin-releasing hormone agonists (GnRHa) have a generally good safety profile, there is a history of both local and systemic hypersensitivity reactions associated with their use. Despite the long-acting formulation of depot leuprolide acetate, the systemic reaction in this case appears to be self-limited. Discontinuation of therapy or a change to an alternative formulation of GnRHa analog should be considered based on the need for therapy versus the potential risk of rechallenge.</p>","PeriodicalId":37467,"journal":{"name":"Endocrinology, Diabetes and Metabolism Case Reports","volume":"2024 3","pages":""},"PeriodicalIF":0.7000,"publicationDate":"2024-08-16","publicationTypes":"Journal Article","fieldsOfStudy":null,"isOpenAccess":false,"openAccessPdf":"https://www.ncbi.nlm.nih.gov/pmc/articles/PMC11378123/pdf/","citationCount":"0","resultStr":"{\"title\":\"Transient synovitis associated with leuprolide depot (Lupron).\",\"authors\":\"Erica A Steen, Susan A Phillips\",\"doi\":\"10.1530/EDM-24-0031\",\"DOIUrl\":null,\"url\":null,\"abstract\":\"<p><strong>Summary: </strong>A 6.6-year-old female presented to endocrinology with precocious puberty for evaluation and management. Workup was initiated, and a diagnosis of central precocious puberty was confirmed. A decision was made to initiate pubertal blockade using gonadotropin-releasing hormone agonist (GnRHa) therapy with depot leuprolide acetate injections every 3 months. The patient received the first depot leuprolide acetate injection in the right ventrogluteal area. Six hours following the injection, the patient was reported to be inconsolable in pain, which was localized to the right hip site of the earlier injection and associated with a refusal to ambulate. The pain and discomfort continued to progress over the next 24 h despite an alternating regimen of Tylenol and ibuprofen prompting admission to the emergency department. Vital signs demonstrated a low-grade fever and elevated C-reactive protein. An ultrasound of the right hip demonstrated fluid accumulation within the joint. Over the next week, the patient was unable to walk independently and required assistance for activities of daily living. By 2 weeks after the injection, the pain began to remit, and the patient resumed activities of daily living. Following consultation with allergy, a decision was made to continue GnRHa suppressive therapy with an alternative analog (Triptodur). The patient tolerated subsequent treatment without reaction.</p><p><strong>Learning points: </strong>Although gonadotropin-releasing hormone agonists (GnRHa) have a generally good safety profile, there is a history of both local and systemic hypersensitivity reactions associated with their use. Despite the long-acting formulation of depot leuprolide acetate, the systemic reaction in this case appears to be self-limited. Discontinuation of therapy or a change to an alternative formulation of GnRHa analog should be considered based on the need for therapy versus the potential risk of rechallenge.</p>\",\"PeriodicalId\":37467,\"journal\":{\"name\":\"Endocrinology, Diabetes and Metabolism Case Reports\",\"volume\":\"2024 3\",\"pages\":\"\"},\"PeriodicalIF\":0.7000,\"publicationDate\":\"2024-08-16\",\"publicationTypes\":\"Journal Article\",\"fieldsOfStudy\":null,\"isOpenAccess\":false,\"openAccessPdf\":\"https://www.ncbi.nlm.nih.gov/pmc/articles/PMC11378123/pdf/\",\"citationCount\":\"0\",\"resultStr\":null,\"platform\":\"Semanticscholar\",\"paperid\":null,\"PeriodicalName\":\"Endocrinology, Diabetes and Metabolism Case Reports\",\"FirstCategoryId\":\"1085\",\"ListUrlMain\":\"https://doi.org/10.1530/EDM-24-0031\",\"RegionNum\":0,\"RegionCategory\":null,\"ArticlePicture\":[],\"TitleCN\":null,\"AbstractTextCN\":null,\"PMCID\":null,\"EPubDate\":\"2024/7/1 0:00:00\",\"PubModel\":\"Print\",\"JCR\":\"Q4\",\"JCRName\":\"ENDOCRINOLOGY & METABOLISM\",\"Score\":null,\"Total\":0}","platform":"Semanticscholar","paperid":null,"PeriodicalName":"Endocrinology, Diabetes and Metabolism Case Reports","FirstCategoryId":"1085","ListUrlMain":"https://doi.org/10.1530/EDM-24-0031","RegionNum":0,"RegionCategory":null,"ArticlePicture":[],"TitleCN":null,"AbstractTextCN":null,"PMCID":null,"EPubDate":"2024/7/1 0:00:00","PubModel":"Print","JCR":"Q4","JCRName":"ENDOCRINOLOGY & METABOLISM","Score":null,"Total":0}
引用次数: 0

摘要

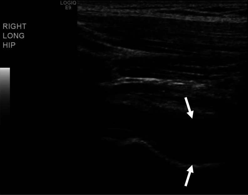
摘要:一名 6.6 岁的女性因性早熟来到内分泌科接受评估和治疗。经过检查,确诊为中枢性性早熟。医生决定开始使用促性腺激素释放激素激动剂(GnRHa)阻断青春期,每三个月注射一次醋酸亮丙瑞林。患者在右侧黄体部接受了第一次醋酸亮丙瑞林去势注射。注射后六小时,患者疼痛难忍,疼痛部位位于右臀部注射部位,并伴有拒绝行走的症状。在接下来的 24 小时内,尽管交替使用了泰诺和布洛芬,但疼痛和不适感仍持续加剧,因此患者被送入急诊科。生命体征显示有低烧和 C 反应蛋白升高。右髋关节超声检查显示关节内有积液。在接下来的一周里,患者无法独立行走,日常生活需要他人协助。注射两周后,疼痛开始缓解,患者恢复了日常生活。在咨询过敏问题后,医生决定继续使用另一种类似物(Triptodur)进行 GnRHa 抑制治疗。患者能够耐受后续治疗,未出现任何反应:学习要点:虽然促性腺激素释放激素激动剂(GnRHa)的安全性普遍较好,但在使用过程中也出现过局部和全身过敏反应。尽管醋酸亮丙瑞林是一种长效制剂,但本病例中的全身反应似乎是自限性的。应根据治疗需求与再次复发的潜在风险,考虑停止治疗或改用其他 GnRHa 类似物制剂。
本文章由计算机程序翻译,如有差异,请以英文原文为准。

Transient synovitis associated with leuprolide depot (Lupron).

Transient synovitis associated with leuprolide depot (Lupron).

Transient synovitis associated with leuprolide depot (Lupron).

Transient synovitis associated with leuprolide depot (Lupron).

Summary: A 6.6-year-old female presented to endocrinology with precocious puberty for evaluation and management. Workup was initiated, and a diagnosis of central precocious puberty was confirmed. A decision was made to initiate pubertal blockade using gonadotropin-releasing hormone agonist (GnRHa) therapy with depot leuprolide acetate injections every 3 months. The patient received the first depot leuprolide acetate injection in the right ventrogluteal area. Six hours following the injection, the patient was reported to be inconsolable in pain, which was localized to the right hip site of the earlier injection and associated with a refusal to ambulate. The pain and discomfort continued to progress over the next 24 h despite an alternating regimen of Tylenol and ibuprofen prompting admission to the emergency department. Vital signs demonstrated a low-grade fever and elevated C-reactive protein. An ultrasound of the right hip demonstrated fluid accumulation within the joint. Over the next week, the patient was unable to walk independently and required assistance for activities of daily living. By 2 weeks after the injection, the pain began to remit, and the patient resumed activities of daily living. Following consultation with allergy, a decision was made to continue GnRHa suppressive therapy with an alternative analog (Triptodur). The patient tolerated subsequent treatment without reaction.

Learning points: Although gonadotropin-releasing hormone agonists (GnRHa) have a generally good safety profile, there is a history of both local and systemic hypersensitivity reactions associated with their use. Despite the long-acting formulation of depot leuprolide acetate, the systemic reaction in this case appears to be self-limited. Discontinuation of therapy or a change to an alternative formulation of GnRHa analog should be considered based on the need for therapy versus the potential risk of rechallenge.

求助全文
通过发布文献求助,成功后即可免费获取论文全文。 去求助
来源期刊
CiteScore
1.50
自引率
0.00%
发文量
142
审稿时长
9 weeks
期刊介绍: Endocrinology, Diabetes & Metabolism Case Reports publishes case reports on common and rare conditions in all areas of clinical endocrinology, diabetes and metabolism. Articles should include clear learning points which readers can use to inform medical education or clinical practice. The types of cases of interest to Endocrinology, Diabetes & Metabolism Case Reports include: -Insight into disease pathogenesis or mechanism of therapy - Novel diagnostic procedure - Novel treatment - Unique/unexpected symptoms or presentations of a disease - New disease or syndrome: presentations/diagnosis/management - Unusual effects of medical treatment - Error in diagnosis/pitfalls and caveats
×
引用
GB/T 7714-2015
复制
MLA
复制
APA
复制
导出至
BibTeX EndNote RefMan NoteFirst NoteExpress
×
提示
您的信息不完整,为了账户安全,请先补充。
现在去补充
×
提示
您因"违规操作"
具体请查看互助需知
我知道了
×
提示
确定
请完成安全验证×
copy
已复制链接
快去分享给好友吧!
我知道了
右上角分享
点击右上角分享
0
联系我们:info@booksci.cn Book学术提供免费学术资源搜索服务,方便国内外学者检索中英文文献。致力于提供最便捷和优质的服务体验。 Copyright © 2023 布克学术 All rights reserved.
京ICP备2023020795号-1
ghs 京公网安备 11010802042870号
Book学术文献互助
Book学术文献互助群
群 号:604180095
Book学术官方微信