两姐妹的故事--遗传性高胰岛素血症低血糖的延迟诊断。

IF 0.7 Q4 ENDOCRINOLOGY & METABOLISM
F Stringer, C Preston, R MacIsaac, F Inchley, L Rivera-Woll, S Farrell, N Sachithanandan
{"title":"两姐妹的故事--遗传性高胰岛素血症低血糖的延迟诊断。","authors":"F Stringer, C Preston, R MacIsaac, F Inchley, L Rivera-Woll, S Farrell, N Sachithanandan","doi":"10.1530/EDM-24-0007","DOIUrl":null,"url":null,"abstract":"<p><strong>Summary: </strong>Congenital hyperinsulinism is the leading cause of persistent hypoglycaemia in infants and children; however, it is uncommon to be diagnosed in adulthood. We describe the cases of two sisters who presented with hyperinsulinaemic hypoglycaemia aged 47 and 57 years old, who were subsequently diagnosed with compound heterozygous likely pathogenic variants in the ABCC8 gene, a known cause of monogenic congenital hyperinsulinism. We discuss the typical presenting features, investigation findings, and treatment strategies for patients with this condition.</p><p><strong>Learning points: </strong>Congenital hyperinsulinism is a rare cause of hyperinsulinaemic hypoglycaemia diagnosed in adulthood. Clinical presentation is similar to an insulinoma, and imaging modalities may assist in differentiation. There are minimal medical therapies currently available for patients non-responsive to diazoxide (such as those with ABCC8 and KCNJ11 variants). Continuous glucose monitoring can be helpful in giving patients autonomy in managing their disease, as well as relieving anxiety and fear associated with hypoglycaemia.</p>","PeriodicalId":37467,"journal":{"name":"Endocrinology, Diabetes and Metabolism Case Reports","volume":"2024 3","pages":""},"PeriodicalIF":0.7000,"publicationDate":"2024-08-16","publicationTypes":"Journal Article","fieldsOfStudy":null,"isOpenAccess":false,"openAccessPdf":"https://www.ncbi.nlm.nih.gov/pmc/articles/PMC11378141/pdf/","citationCount":"0","resultStr":"{\"title\":\"A tale of two sisters - delayed diagnosis of genetic hyperinsulinaemic hypoglycaemia.\",\"authors\":\"F Stringer, C Preston, R MacIsaac, F Inchley, L Rivera-Woll, S Farrell, N Sachithanandan\",\"doi\":\"10.1530/EDM-24-0007\",\"DOIUrl\":null,\"url\":null,\"abstract\":\"<p><strong>Summary: </strong>Congenital hyperinsulinism is the leading cause of persistent hypoglycaemia in infants and children; however, it is uncommon to be diagnosed in adulthood. We describe the cases of two sisters who presented with hyperinsulinaemic hypoglycaemia aged 47 and 57 years old, who were subsequently diagnosed with compound heterozygous likely pathogenic variants in the ABCC8 gene, a known cause of monogenic congenital hyperinsulinism. We discuss the typical presenting features, investigation findings, and treatment strategies for patients with this condition.</p><p><strong>Learning points: </strong>Congenital hyperinsulinism is a rare cause of hyperinsulinaemic hypoglycaemia diagnosed in adulthood. Clinical presentation is similar to an insulinoma, and imaging modalities may assist in differentiation. There are minimal medical therapies currently available for patients non-responsive to diazoxide (such as those with ABCC8 and KCNJ11 variants). Continuous glucose monitoring can be helpful in giving patients autonomy in managing their disease, as well as relieving anxiety and fear associated with hypoglycaemia.</p>\",\"PeriodicalId\":37467,\"journal\":{\"name\":\"Endocrinology, Diabetes and Metabolism Case Reports\",\"volume\":\"2024 3\",\"pages\":\"\"},\"PeriodicalIF\":0.7000,\"publicationDate\":\"2024-08-16\",\"publicationTypes\":\"Journal Article\",\"fieldsOfStudy\":null,\"isOpenAccess\":false,\"openAccessPdf\":\"https://www.ncbi.nlm.nih.gov/pmc/articles/PMC11378141/pdf/\",\"citationCount\":\"0\",\"resultStr\":null,\"platform\":\"Semanticscholar\",\"paperid\":null,\"PeriodicalName\":\"Endocrinology, Diabetes and Metabolism Case Reports\",\"FirstCategoryId\":\"1085\",\"ListUrlMain\":\"https://doi.org/10.1530/EDM-24-0007\",\"RegionNum\":0,\"RegionCategory\":null,\"ArticlePicture\":[],\"TitleCN\":null,\"AbstractTextCN\":null,\"PMCID\":null,\"EPubDate\":\"2024/7/1 0:00:00\",\"PubModel\":\"Print\",\"JCR\":\"Q4\",\"JCRName\":\"ENDOCRINOLOGY & METABOLISM\",\"Score\":null,\"Total\":0}","platform":"Semanticscholar","paperid":null,"PeriodicalName":"Endocrinology, Diabetes and Metabolism Case Reports","FirstCategoryId":"1085","ListUrlMain":"https://doi.org/10.1530/EDM-24-0007","RegionNum":0,"RegionCategory":null,"ArticlePicture":[],"TitleCN":null,"AbstractTextCN":null,"PMCID":null,"EPubDate":"2024/7/1 0:00:00","PubModel":"Print","JCR":"Q4","JCRName":"ENDOCRINOLOGY & METABOLISM","Score":null,"Total":0}
引用次数: 0

摘要

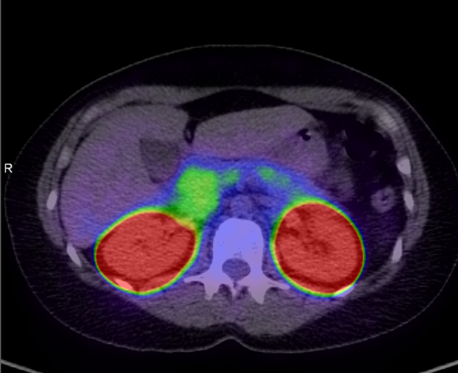
摘要:先天性高胰岛素血症是导致婴幼儿持续性低血糖的主要原因,但在成年后才被诊断出来的情况并不多见。我们描述了两个姐妹的病例,她们分别在 47 岁和 57 岁时出现高胰岛素血症性低血糖,随后被诊断为 ABCC8 基因的复合杂合子可能致病变体,这是单源性先天性高胰岛素血症的已知病因。我们讨论了该病患者的典型表现特征、检查结果和治疗策略:先天性高胰岛素血症是一种罕见的导致高胰岛素血症性低血糖的病因,成年后才被诊断出来。临床表现与胰岛素瘤相似,影像学检查有助于鉴别。对于对二氮卓无反应的患者(如 ABCC8 和 KCNJ11 变体患者),目前只有极少的药物疗法。连续血糖监测有助于让患者自主控制病情,并缓解与低血糖相关的焦虑和恐惧。
本文章由计算机程序翻译,如有差异,请以英文原文为准。

A tale of two sisters - delayed diagnosis of genetic hyperinsulinaemic hypoglycaemia.

A tale of two sisters - delayed diagnosis of genetic hyperinsulinaemic hypoglycaemia.

A tale of two sisters - delayed diagnosis of genetic hyperinsulinaemic hypoglycaemia.

A tale of two sisters - delayed diagnosis of genetic hyperinsulinaemic hypoglycaemia.

Summary: Congenital hyperinsulinism is the leading cause of persistent hypoglycaemia in infants and children; however, it is uncommon to be diagnosed in adulthood. We describe the cases of two sisters who presented with hyperinsulinaemic hypoglycaemia aged 47 and 57 years old, who were subsequently diagnosed with compound heterozygous likely pathogenic variants in the ABCC8 gene, a known cause of monogenic congenital hyperinsulinism. We discuss the typical presenting features, investigation findings, and treatment strategies for patients with this condition.

Learning points: Congenital hyperinsulinism is a rare cause of hyperinsulinaemic hypoglycaemia diagnosed in adulthood. Clinical presentation is similar to an insulinoma, and imaging modalities may assist in differentiation. There are minimal medical therapies currently available for patients non-responsive to diazoxide (such as those with ABCC8 and KCNJ11 variants). Continuous glucose monitoring can be helpful in giving patients autonomy in managing their disease, as well as relieving anxiety and fear associated with hypoglycaemia.

求助全文
通过发布文献求助,成功后即可免费获取论文全文。 去求助
来源期刊
CiteScore
1.50
自引率
0.00%
发文量
142
审稿时长
9 weeks
期刊介绍: Endocrinology, Diabetes & Metabolism Case Reports publishes case reports on common and rare conditions in all areas of clinical endocrinology, diabetes and metabolism. Articles should include clear learning points which readers can use to inform medical education or clinical practice. The types of cases of interest to Endocrinology, Diabetes & Metabolism Case Reports include: -Insight into disease pathogenesis or mechanism of therapy - Novel diagnostic procedure - Novel treatment - Unique/unexpected symptoms or presentations of a disease - New disease or syndrome: presentations/diagnosis/management - Unusual effects of medical treatment - Error in diagnosis/pitfalls and caveats
×
引用
GB/T 7714-2015
复制
MLA
复制
APA
复制
导出至
BibTeX EndNote RefMan NoteFirst NoteExpress
×
提示
您的信息不完整,为了账户安全,请先补充。
现在去补充
×
提示
您因"违规操作"
具体请查看互助需知
我知道了
×
提示
确定
请完成安全验证×
copy
已复制链接
快去分享给好友吧!
我知道了
右上角分享
点击右上角分享
0
联系我们:info@booksci.cn Book学术提供免费学术资源搜索服务,方便国内外学者检索中英文文献。致力于提供最便捷和优质的服务体验。 Copyright © 2023 布克学术 All rights reserved.
京ICP备2023020795号-1
ghs 京公网安备 11010802042870号
Book学术文献互助
Book学术文献互助群
群 号:604180095
Book学术官方微信