长期无症状后需要立即手术的非胰岛细胞瘤低血糖症:建议早期干预。

IF 0.7 Q4 ENDOCRINOLOGY & METABOLISM
Takashi Kurihara, Kanta Fujimoto, Toshio Iwakura, Yuji Hataya, Daisuke Yamashita, Naoki Matsuoka
{"title":"长期无症状后需要立即手术的非胰岛细胞瘤低血糖症:建议早期干预。","authors":"Takashi Kurihara, Kanta Fujimoto, Toshio Iwakura, Yuji Hataya, Daisuke Yamashita, Naoki Matsuoka","doi":"10.1530/EDM-23-0148","DOIUrl":null,"url":null,"abstract":"<p><strong>Summary: </strong>An 82-year-old woman with a 60-year history of a lung tumor presented with hypoglycemia. Non-islet cell tumor hypoglycemia (NICTH) was suspected; however, her hypoglycemia stabilized with supplemental food. She was discharged, based on her wishes, and planned to undergo surgery later. After discharge, the hypoglycemia worsened rapidly and required immediate resection. Postoperatively, the hypoglycemia resolved. Western immunoblot analysis confirmed the presence of big insulin-like growth factor 2, confirming NICTH. This patient experienced the rapid progression of symptoms after an unprecedentedly long-term asymptomatic state. Therefore, when NICTH is suspected, early intervention is recommended regardless of the presence of asymptomatic state.</p><p><strong>Learning points: </strong>In patients with NICTH, the onset of hypoglycemia is usually within a year of tumor detection, and few reports regarding long-term asymptomatic NICTH have been documented. NICTH can cause rapidly progressive symptoms after a long-term asymptomatic state, as in this case, and an asymptomatic state does not preclude the necessity for intervention, especially when patients are at risk for malnutrition. Tumor resection is the only curative treatment for patients with NICTH, but there is no consensus regarding the timing of surgery. However, considering the possibility of rapid symptom progression, patients should be examined and treated in a timely manner.</p>","PeriodicalId":37467,"journal":{"name":"Endocrinology, Diabetes and Metabolism Case Reports","volume":"2024 3","pages":""},"PeriodicalIF":0.7000,"publicationDate":"2024-08-12","publicationTypes":"Journal Article","fieldsOfStudy":null,"isOpenAccess":false,"openAccessPdf":"https://www.ncbi.nlm.nih.gov/pmc/articles/PMC11378120/pdf/","citationCount":"0","resultStr":"{\"title\":\"Non-islet cell tumor hypoglycemia that required immediate surgery after a long-term asymptomatic state: recommendation for early intervention.\",\"authors\":\"Takashi Kurihara, Kanta Fujimoto, Toshio Iwakura, Yuji Hataya, Daisuke Yamashita, Naoki Matsuoka\",\"doi\":\"10.1530/EDM-23-0148\",\"DOIUrl\":null,\"url\":null,\"abstract\":\"<p><strong>Summary: </strong>An 82-year-old woman with a 60-year history of a lung tumor presented with hypoglycemia. Non-islet cell tumor hypoglycemia (NICTH) was suspected; however, her hypoglycemia stabilized with supplemental food. She was discharged, based on her wishes, and planned to undergo surgery later. After discharge, the hypoglycemia worsened rapidly and required immediate resection. Postoperatively, the hypoglycemia resolved. Western immunoblot analysis confirmed the presence of big insulin-like growth factor 2, confirming NICTH. This patient experienced the rapid progression of symptoms after an unprecedentedly long-term asymptomatic state. Therefore, when NICTH is suspected, early intervention is recommended regardless of the presence of asymptomatic state.</p><p><strong>Learning points: </strong>In patients with NICTH, the onset of hypoglycemia is usually within a year of tumor detection, and few reports regarding long-term asymptomatic NICTH have been documented. NICTH can cause rapidly progressive symptoms after a long-term asymptomatic state, as in this case, and an asymptomatic state does not preclude the necessity for intervention, especially when patients are at risk for malnutrition. Tumor resection is the only curative treatment for patients with NICTH, but there is no consensus regarding the timing of surgery. However, considering the possibility of rapid symptom progression, patients should be examined and treated in a timely manner.</p>\",\"PeriodicalId\":37467,\"journal\":{\"name\":\"Endocrinology, Diabetes and Metabolism Case Reports\",\"volume\":\"2024 3\",\"pages\":\"\"},\"PeriodicalIF\":0.7000,\"publicationDate\":\"2024-08-12\",\"publicationTypes\":\"Journal Article\",\"fieldsOfStudy\":null,\"isOpenAccess\":false,\"openAccessPdf\":\"https://www.ncbi.nlm.nih.gov/pmc/articles/PMC11378120/pdf/\",\"citationCount\":\"0\",\"resultStr\":null,\"platform\":\"Semanticscholar\",\"paperid\":null,\"PeriodicalName\":\"Endocrinology, Diabetes and Metabolism Case Reports\",\"FirstCategoryId\":\"1085\",\"ListUrlMain\":\"https://doi.org/10.1530/EDM-23-0148\",\"RegionNum\":0,\"RegionCategory\":null,\"ArticlePicture\":[],\"TitleCN\":null,\"AbstractTextCN\":null,\"PMCID\":null,\"EPubDate\":\"2024/7/1 0:00:00\",\"PubModel\":\"Print\",\"JCR\":\"Q4\",\"JCRName\":\"ENDOCRINOLOGY & METABOLISM\",\"Score\":null,\"Total\":0}","platform":"Semanticscholar","paperid":null,"PeriodicalName":"Endocrinology, Diabetes and Metabolism Case Reports","FirstCategoryId":"1085","ListUrlMain":"https://doi.org/10.1530/EDM-23-0148","RegionNum":0,"RegionCategory":null,"ArticlePicture":[],"TitleCN":null,"AbstractTextCN":null,"PMCID":null,"EPubDate":"2024/7/1 0:00:00","PubModel":"Print","JCR":"Q4","JCRName":"ENDOCRINOLOGY & METABOLISM","Score":null,"Total":0}
引用次数: 0

摘要

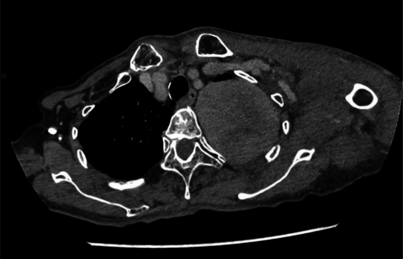
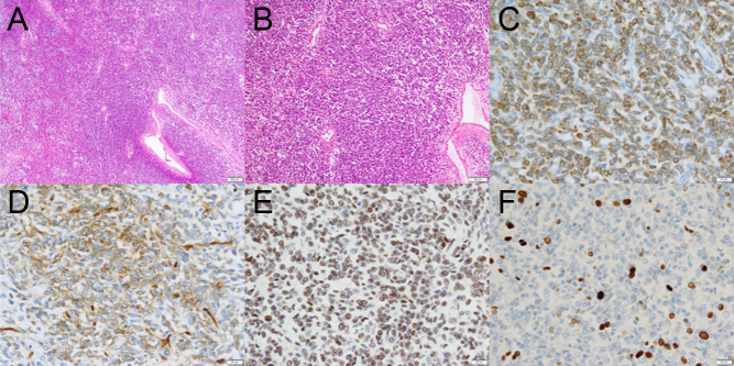
摘要:一名 82 岁的妇女因低血糖症就诊,她有 60 年的肺部肿瘤病史。怀疑是非胰岛细胞肿瘤性低血糖症(NICTH),但补充食物后低血糖症趋于稳定。她按照自己的意愿出院,并计划稍后接受手术。出院后,低血糖症迅速恶化,需要立即进行切除手术。术后,低血糖症状缓解。Western 免疫印迹分析证实存在大量胰岛素样生长因子 2,证实了 NICTH 的存在。该患者在经历了前所未有的长期无症状状态后,症状迅速恶化。因此,当怀疑有 NICTH 时,无论是否存在无症状状态,都建议尽早干预:学习要点:NICTH 患者通常在发现肿瘤后一年内出现低血糖,很少有关于长期无症状 NICTH 的报道。NICTH 可在长期无症状后迅速出现进展性症状,就像本病例一样,无症状状态并不排除干预的必要性,尤其是当患者有营养不良的风险时。肿瘤切除术是治疗 NICTH 患者的唯一方法,但对于手术时机还没有达成共识。不过,考虑到症状可能迅速恶化,患者应及时接受检查和治疗。
本文章由计算机程序翻译,如有差异,请以英文原文为准。

Non-islet cell tumor hypoglycemia that required immediate surgery after a long-term asymptomatic state: recommendation for early intervention.

Non-islet cell tumor hypoglycemia that required immediate surgery after a long-term asymptomatic state: recommendation for early intervention.

Non-islet cell tumor hypoglycemia that required immediate surgery after a long-term asymptomatic state: recommendation for early intervention.

Non-islet cell tumor hypoglycemia that required immediate surgery after a long-term asymptomatic state: recommendation for early intervention.

Summary: An 82-year-old woman with a 60-year history of a lung tumor presented with hypoglycemia. Non-islet cell tumor hypoglycemia (NICTH) was suspected; however, her hypoglycemia stabilized with supplemental food. She was discharged, based on her wishes, and planned to undergo surgery later. After discharge, the hypoglycemia worsened rapidly and required immediate resection. Postoperatively, the hypoglycemia resolved. Western immunoblot analysis confirmed the presence of big insulin-like growth factor 2, confirming NICTH. This patient experienced the rapid progression of symptoms after an unprecedentedly long-term asymptomatic state. Therefore, when NICTH is suspected, early intervention is recommended regardless of the presence of asymptomatic state.

Learning points: In patients with NICTH, the onset of hypoglycemia is usually within a year of tumor detection, and few reports regarding long-term asymptomatic NICTH have been documented. NICTH can cause rapidly progressive symptoms after a long-term asymptomatic state, as in this case, and an asymptomatic state does not preclude the necessity for intervention, especially when patients are at risk for malnutrition. Tumor resection is the only curative treatment for patients with NICTH, but there is no consensus regarding the timing of surgery. However, considering the possibility of rapid symptom progression, patients should be examined and treated in a timely manner.

求助全文
通过发布文献求助,成功后即可免费获取论文全文。 去求助
来源期刊
CiteScore
1.50
自引率
0.00%
发文量
142
审稿时长
9 weeks
期刊介绍: Endocrinology, Diabetes & Metabolism Case Reports publishes case reports on common and rare conditions in all areas of clinical endocrinology, diabetes and metabolism. Articles should include clear learning points which readers can use to inform medical education or clinical practice. The types of cases of interest to Endocrinology, Diabetes & Metabolism Case Reports include: -Insight into disease pathogenesis or mechanism of therapy - Novel diagnostic procedure - Novel treatment - Unique/unexpected symptoms or presentations of a disease - New disease or syndrome: presentations/diagnosis/management - Unusual effects of medical treatment - Error in diagnosis/pitfalls and caveats
×
引用
GB/T 7714-2015
复制
MLA
复制
APA
复制
导出至
BibTeX EndNote RefMan NoteFirst NoteExpress
×
提示
您的信息不完整,为了账户安全,请先补充。
现在去补充
×
提示
您因"违规操作"
具体请查看互助需知
我知道了
×
提示
确定
请完成安全验证×
copy
已复制链接
快去分享给好友吧!
我知道了
右上角分享
点击右上角分享
0
联系我们:info@booksci.cn Book学术提供免费学术资源搜索服务,方便国内外学者检索中英文文献。致力于提供最便捷和优质的服务体验。 Copyright © 2023 布克学术 All rights reserved.
京ICP备2023020795号-1
ghs 京公网安备 11010802042870号
Book学术文献互助
Book学术文献互助群
群 号:604180095
Book学术官方微信