VCL::ROS1:新一代测序检测到的新型 ROS1 致癌融合体。

IF 1.9 Q3 PATHOLOGY
Clinical Pathology Pub Date : 2024-08-12 eCollection Date: 2024-01-01 DOI:10.1177/2632010X241269373
Anurag Mehta, Himanshi Diwan, Shrinidhi Nathany, Ullas Batra, Manoj Gupta, Manoj Kumar Panigrahi, Dushyant Kumar, Sakshi Mattoo, Aayushi Singh
{"title":"VCL::ROS1:新一代测序检测到的新型 ROS1 致癌融合体。","authors":"Anurag Mehta, Himanshi Diwan, Shrinidhi Nathany, Ullas Batra, Manoj Gupta, Manoj Kumar Panigrahi, Dushyant Kumar, Sakshi Mattoo, Aayushi Singh","doi":"10.1177/2632010X241269373","DOIUrl":null,"url":null,"abstract":"<p><p>Advanced Non-Small Cell Lung Carcinoma (NSCLC) patients with <i>ROS1</i> gene rearrangement have shown significant therapeutic responses to tyrosine kinase inhibitors approved by the US Food and Drug Administration, with approximately 40 fusion partners documented in the existing literature. Our report highlights a novel fusion partner of <i>ROS1</i> that has demonstrated a conclusive response to the current standard of treatment.</p>","PeriodicalId":53204,"journal":{"name":"Clinical Pathology","volume":"17 ","pages":"2632010X241269373"},"PeriodicalIF":1.9000,"publicationDate":"2024-08-12","publicationTypes":"Journal Article","fieldsOfStudy":null,"isOpenAccess":false,"openAccessPdf":"https://www.ncbi.nlm.nih.gov/pmc/articles/PMC11320388/pdf/","citationCount":"0","resultStr":"{\"title\":\"<i>VCL::ROS1</i>: A Novel ROS1 Oncogenic Fusion Detected on Next Generation Sequencing.\",\"authors\":\"Anurag Mehta, Himanshi Diwan, Shrinidhi Nathany, Ullas Batra, Manoj Gupta, Manoj Kumar Panigrahi, Dushyant Kumar, Sakshi Mattoo, Aayushi Singh\",\"doi\":\"10.1177/2632010X241269373\",\"DOIUrl\":null,\"url\":null,\"abstract\":\"<p><p>Advanced Non-Small Cell Lung Carcinoma (NSCLC) patients with <i>ROS1</i> gene rearrangement have shown significant therapeutic responses to tyrosine kinase inhibitors approved by the US Food and Drug Administration, with approximately 40 fusion partners documented in the existing literature. Our report highlights a novel fusion partner of <i>ROS1</i> that has demonstrated a conclusive response to the current standard of treatment.</p>\",\"PeriodicalId\":53204,\"journal\":{\"name\":\"Clinical Pathology\",\"volume\":\"17 \",\"pages\":\"2632010X241269373\"},\"PeriodicalIF\":1.9000,\"publicationDate\":\"2024-08-12\",\"publicationTypes\":\"Journal Article\",\"fieldsOfStudy\":null,\"isOpenAccess\":false,\"openAccessPdf\":\"https://www.ncbi.nlm.nih.gov/pmc/articles/PMC11320388/pdf/\",\"citationCount\":\"0\",\"resultStr\":null,\"platform\":\"Semanticscholar\",\"paperid\":null,\"PeriodicalName\":\"Clinical Pathology\",\"FirstCategoryId\":\"1085\",\"ListUrlMain\":\"https://doi.org/10.1177/2632010X241269373\",\"RegionNum\":0,\"RegionCategory\":null,\"ArticlePicture\":[],\"TitleCN\":null,\"AbstractTextCN\":null,\"PMCID\":null,\"EPubDate\":\"2024/1/1 0:00:00\",\"PubModel\":\"eCollection\",\"JCR\":\"Q3\",\"JCRName\":\"PATHOLOGY\",\"Score\":null,\"Total\":0}","platform":"Semanticscholar","paperid":null,"PeriodicalName":"Clinical Pathology","FirstCategoryId":"1085","ListUrlMain":"https://doi.org/10.1177/2632010X241269373","RegionNum":0,"RegionCategory":null,"ArticlePicture":[],"TitleCN":null,"AbstractTextCN":null,"PMCID":null,"EPubDate":"2024/1/1 0:00:00","PubModel":"eCollection","JCR":"Q3","JCRName":"PATHOLOGY","Score":null,"Total":0}
引用次数: 0

摘要

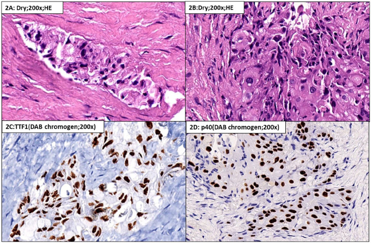
ROS1基因重排的晚期非小细胞肺癌(NSCLC)患者对美国食品和药物管理局批准的酪氨酸激酶抑制剂有明显的治疗反应,现有文献中记录了约40种融合伙伴。我们的报告重点介绍了一种新型的 ROS1 融合伙伴,它对目前的标准治疗方法有确凿的疗效。
本文章由计算机程序翻译,如有差异,请以英文原文为准。

<i>VCL::ROS1</i>: A Novel ROS1 Oncogenic Fusion Detected on Next Generation Sequencing.

<i>VCL::ROS1</i>: A Novel ROS1 Oncogenic Fusion Detected on Next Generation Sequencing.

<i>VCL::ROS1</i>: A Novel ROS1 Oncogenic Fusion Detected on Next Generation Sequencing.

VCL::ROS1: A Novel ROS1 Oncogenic Fusion Detected on Next Generation Sequencing.

Advanced Non-Small Cell Lung Carcinoma (NSCLC) patients with ROS1 gene rearrangement have shown significant therapeutic responses to tyrosine kinase inhibitors approved by the US Food and Drug Administration, with approximately 40 fusion partners documented in the existing literature. Our report highlights a novel fusion partner of ROS1 that has demonstrated a conclusive response to the current standard of treatment.

求助全文
通过发布文献求助,成功后即可免费获取论文全文。 去求助
来源期刊
Clinical Pathology
Clinical Pathology PATHOLOGY-
CiteScore
2.20
自引率
7.70%
发文量
66
×
引用
GB/T 7714-2015
复制
MLA
复制
APA
复制
导出至
BibTeX EndNote RefMan NoteFirst NoteExpress
×
提示
您的信息不完整,为了账户安全,请先补充。
现在去补充
×
提示
您因"违规操作"
具体请查看互助需知
我知道了
×
提示
确定
请完成安全验证×
copy
已复制链接
快去分享给好友吧!
我知道了
右上角分享
点击右上角分享
0
联系我们:info@booksci.cn Book学术提供免费学术资源搜索服务,方便国内外学者检索中英文文献。致力于提供最便捷和优质的服务体验。 Copyright © 2023 布克学术 All rights reserved.
京ICP备2023020795号-1
ghs 京公网安备 11010802042870号
Book学术文献互助
Book学术文献互助群
群 号:604180095
Book学术官方微信