胰岛素瘤伴有抗胰岛素抗体。

IF 0.7 Q4 ENDOCRINOLOGY & METABOLISM
Rikako Nakajima, Daisuke Sato, Ichirota Togashi, Hiroto Idesawa, Jun Ito, Kei Ito, Masanao Fujii, Hiroaki Yagyu
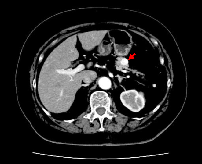
{"title":"胰岛素瘤伴有抗胰岛素抗体。","authors":"Rikako Nakajima, Daisuke Sato, Ichirota Togashi, Hiroto Idesawa, Jun Ito, Kei Ito, Masanao Fujii, Hiroaki Yagyu","doi":"10.1530/EDM-24-0062","DOIUrl":null,"url":null,"abstract":"<p><strong>Summary: </strong>An 89-year-old woman presented with a 6-year history of occasional episodes of impaired consciousness that were relieved by ingestion of a snack. Three months before presenting to our hospital, she had been hospitalized in a local hospital with subdural hematoma caused by a head contusion, where previously unrecognized hypoglycemia was discovered. Fasting plasma glucose concentration was 37 mg/dL, with a relatively high serum level of insulin (34.9 µU/mL). Computed tomography showed a 14 mm hyperenhancing tumor in the tail of the pancreas and she was referred to our hospital for further investigation. A prolonged fasting test revealed the plasma glucose concentration reduced to 43 mg/dL (2.4 mmol/L) at 8 h after the last meal. Serum insulin, proinsulin, and C-peptide concentrations were 21.1 µU/mL, 16.9 pmol/L, and 2.72 ng/mL, respectively. Subsequent intravenous administration of 1 mg of glucagon increased the plasma glucose concentration to 76 mg/dL (4.2 mmol/L). Moreover, the insulin-to-C-peptide molar ratio was 0.14. These data indicated the presence of insulinoma. Interestingly, serum anti-insulin antibodies were elevated (21.1 U/mL), although she had no history of taking exogenous insulin injection, alpha lipoic acid, or sulfhydryl group-containing agents. Human leukocyte antigen (HLA) typing revealed HLA-DRB1*0407 and HLA-DRB1*1405 alleles. Treatment with diazoxide prevented hypoglycemia, but was discontinued due to weight gain and leg edema. Elevated serum anti-insulin antibodies persisted almost 1 year after the diagnosis of insulinoma. We present a rare case of insulinoma concomitant with serum anti-insulin antibodies.</p><p><strong>Learning points: </strong>Insulinoma presenting with concomitant anti-insulin antibodies appears rare. Insulin/C-peptide molar ratio and serum insulin concentration are useful for differentiating insulinoma and autoimmune syndrome. Flash glucose monitoring systems appear suitable for evaluating treatment outcomes.</p>","PeriodicalId":37467,"journal":{"name":"Endocrinology, Diabetes and Metabolism Case Reports","volume":"2024 3","pages":""},"PeriodicalIF":0.7000,"publicationDate":"2024-08-12","publicationTypes":"Journal Article","fieldsOfStudy":null,"isOpenAccess":false,"openAccessPdf":"https://www.ncbi.nlm.nih.gov/pmc/articles/PMC11378122/pdf/","citationCount":"0","resultStr":"{\"title\":\"Insulinoma presenting with anti-insulin antibodies.\",\"authors\":\"Rikako Nakajima, Daisuke Sato, Ichirota Togashi, Hiroto Idesawa, Jun Ito, Kei Ito, Masanao Fujii, Hiroaki Yagyu\",\"doi\":\"10.1530/EDM-24-0062\",\"DOIUrl\":null,\"url\":null,\"abstract\":\"<p><strong>Summary: </strong>An 89-year-old woman presented with a 6-year history of occasional episodes of impaired consciousness that were relieved by ingestion of a snack. Three months before presenting to our hospital, she had been hospitalized in a local hospital with subdural hematoma caused by a head contusion, where previously unrecognized hypoglycemia was discovered. Fasting plasma glucose concentration was 37 mg/dL, with a relatively high serum level of insulin (34.9 µU/mL). Computed tomography showed a 14 mm hyperenhancing tumor in the tail of the pancreas and she was referred to our hospital for further investigation. A prolonged fasting test revealed the plasma glucose concentration reduced to 43 mg/dL (2.4 mmol/L) at 8 h after the last meal. Serum insulin, proinsulin, and C-peptide concentrations were 21.1 µU/mL, 16.9 pmol/L, and 2.72 ng/mL, respectively. Subsequent intravenous administration of 1 mg of glucagon increased the plasma glucose concentration to 76 mg/dL (4.2 mmol/L). Moreover, the insulin-to-C-peptide molar ratio was 0.14. These data indicated the presence of insulinoma. Interestingly, serum anti-insulin antibodies were elevated (21.1 U/mL), although she had no history of taking exogenous insulin injection, alpha lipoic acid, or sulfhydryl group-containing agents. Human leukocyte antigen (HLA) typing revealed HLA-DRB1*0407 and HLA-DRB1*1405 alleles. Treatment with diazoxide prevented hypoglycemia, but was discontinued due to weight gain and leg edema. Elevated serum anti-insulin antibodies persisted almost 1 year after the diagnosis of insulinoma. We present a rare case of insulinoma concomitant with serum anti-insulin antibodies.</p><p><strong>Learning points: </strong>Insulinoma presenting with concomitant anti-insulin antibodies appears rare. Insulin/C-peptide molar ratio and serum insulin concentration are useful for differentiating insulinoma and autoimmune syndrome. Flash glucose monitoring systems appear suitable for evaluating treatment outcomes.</p>\",\"PeriodicalId\":37467,\"journal\":{\"name\":\"Endocrinology, Diabetes and Metabolism Case Reports\",\"volume\":\"2024 3\",\"pages\":\"\"},\"PeriodicalIF\":0.7000,\"publicationDate\":\"2024-08-12\",\"publicationTypes\":\"Journal Article\",\"fieldsOfStudy\":null,\"isOpenAccess\":false,\"openAccessPdf\":\"https://www.ncbi.nlm.nih.gov/pmc/articles/PMC11378122/pdf/\",\"citationCount\":\"0\",\"resultStr\":null,\"platform\":\"Semanticscholar\",\"paperid\":null,\"PeriodicalName\":\"Endocrinology, Diabetes and Metabolism Case Reports\",\"FirstCategoryId\":\"1085\",\"ListUrlMain\":\"https://doi.org/10.1530/EDM-24-0062\",\"RegionNum\":0,\"RegionCategory\":null,\"ArticlePicture\":[],\"TitleCN\":null,\"AbstractTextCN\":null,\"PMCID\":null,\"EPubDate\":\"2024/7/1 0:00:00\",\"PubModel\":\"Print\",\"JCR\":\"Q4\",\"JCRName\":\"ENDOCRINOLOGY & METABOLISM\",\"Score\":null,\"Total\":0}","platform":"Semanticscholar","paperid":null,"PeriodicalName":"Endocrinology, Diabetes and Metabolism Case Reports","FirstCategoryId":"1085","ListUrlMain":"https://doi.org/10.1530/EDM-24-0062","RegionNum":0,"RegionCategory":null,"ArticlePicture":[],"TitleCN":null,"AbstractTextCN":null,"PMCID":null,"EPubDate":"2024/7/1 0:00:00","PubModel":"Print","JCR":"Q4","JCRName":"ENDOCRINOLOGY & METABOLISM","Score":null,"Total":0}
引用次数: 0

摘要

摘要:一名 89 岁的女性患者有 6 年的病史,偶尔会出现意识障碍,吃点零食后症状就会缓解。在来我院就诊的三个月前,她曾因头部挫伤导致硬膜下血肿在当地一家医院住院治疗,在那里发现了之前未被发现的低血糖症。空腹血浆葡萄糖浓度为 37 mg/dL,血清胰岛素水平相对较高(34.9 µU/mL)。计算机断层扫描显示,她的胰腺尾部有一个 14 毫米的高强化肿瘤,于是她被转到我院接受进一步检查。长时间空腹测试显示,最后一餐后 8 小时,血浆葡萄糖浓度降至 43 毫克/分升(2.4 毫摩尔/升)。血清胰岛素、胰岛素原和 C 肽浓度分别为 21.1 µU/mL、16.9 pmol/L 和 2.72 ng/mL。随后静脉注射 1 毫克胰高血糖素后,血浆葡萄糖浓度升至 76 毫克/分升(4.2 毫摩尔/升)。此外,胰岛素与 C 肽的摩尔比为 0.14。这些数据表明存在胰岛素瘤。有趣的是,虽然她没有注射外源性胰岛素、服用α-硫辛酸或含巯基药物的病史,但血清中抗胰岛素抗体却升高(21.1 U/mL)。人类白细胞抗原(HLA)分型显示她具有 HLA-DRB1*0407 和 HLA-DRB1*1405 等位基因。使用双氮醇治疗可预防低血糖,但因体重增加和腿部水肿而停止。在确诊为胰岛素瘤近一年后,血清抗胰岛素抗体仍持续升高。我们介绍了一例罕见的胰岛素瘤同时伴有血清抗胰岛素抗体的病例:学习要点:胰岛素瘤同时伴有抗胰岛素抗体的病例十分罕见。胰岛素/胰肽摩尔比和血清胰岛素浓度有助于区分胰岛素瘤和自身免疫综合征。闪存葡萄糖监测系统适用于评估治疗效果。
本文章由计算机程序翻译,如有差异,请以英文原文为准。

Insulinoma presenting with anti-insulin antibodies.

Insulinoma presenting with anti-insulin antibodies.

Insulinoma presenting with anti-insulin antibodies.

Insulinoma presenting with anti-insulin antibodies.

Summary: An 89-year-old woman presented with a 6-year history of occasional episodes of impaired consciousness that were relieved by ingestion of a snack. Three months before presenting to our hospital, she had been hospitalized in a local hospital with subdural hematoma caused by a head contusion, where previously unrecognized hypoglycemia was discovered. Fasting plasma glucose concentration was 37 mg/dL, with a relatively high serum level of insulin (34.9 µU/mL). Computed tomography showed a 14 mm hyperenhancing tumor in the tail of the pancreas and she was referred to our hospital for further investigation. A prolonged fasting test revealed the plasma glucose concentration reduced to 43 mg/dL (2.4 mmol/L) at 8 h after the last meal. Serum insulin, proinsulin, and C-peptide concentrations were 21.1 µU/mL, 16.9 pmol/L, and 2.72 ng/mL, respectively. Subsequent intravenous administration of 1 mg of glucagon increased the plasma glucose concentration to 76 mg/dL (4.2 mmol/L). Moreover, the insulin-to-C-peptide molar ratio was 0.14. These data indicated the presence of insulinoma. Interestingly, serum anti-insulin antibodies were elevated (21.1 U/mL), although she had no history of taking exogenous insulin injection, alpha lipoic acid, or sulfhydryl group-containing agents. Human leukocyte antigen (HLA) typing revealed HLA-DRB1*0407 and HLA-DRB1*1405 alleles. Treatment with diazoxide prevented hypoglycemia, but was discontinued due to weight gain and leg edema. Elevated serum anti-insulin antibodies persisted almost 1 year after the diagnosis of insulinoma. We present a rare case of insulinoma concomitant with serum anti-insulin antibodies.

Learning points: Insulinoma presenting with concomitant anti-insulin antibodies appears rare. Insulin/C-peptide molar ratio and serum insulin concentration are useful for differentiating insulinoma and autoimmune syndrome. Flash glucose monitoring systems appear suitable for evaluating treatment outcomes.

求助全文
通过发布文献求助,成功后即可免费获取论文全文。 去求助
来源期刊
CiteScore
1.50
自引率
0.00%
发文量
142
审稿时长
9 weeks
期刊介绍: Endocrinology, Diabetes & Metabolism Case Reports publishes case reports on common and rare conditions in all areas of clinical endocrinology, diabetes and metabolism. Articles should include clear learning points which readers can use to inform medical education or clinical practice. The types of cases of interest to Endocrinology, Diabetes & Metabolism Case Reports include: -Insight into disease pathogenesis or mechanism of therapy - Novel diagnostic procedure - Novel treatment - Unique/unexpected symptoms or presentations of a disease - New disease or syndrome: presentations/diagnosis/management - Unusual effects of medical treatment - Error in diagnosis/pitfalls and caveats
×
引用
GB/T 7714-2015
复制
MLA
复制
APA
复制
导出至
BibTeX EndNote RefMan NoteFirst NoteExpress
×
提示
您的信息不完整,为了账户安全,请先补充。
现在去补充
×
提示
您因"违规操作"
具体请查看互助需知
我知道了
×
提示
确定
请完成安全验证×
copy
已复制链接
快去分享给好友吧!
我知道了
右上角分享
点击右上角分享
0
联系我们:info@booksci.cn Book学术提供免费学术资源搜索服务,方便国内外学者检索中英文文献。致力于提供最便捷和优质的服务体验。 Copyright © 2023 布克学术 All rights reserved.
京ICP备2023020795号-1
ghs 京公网安备 11010802042870号
Book学术文献互助
Book学术文献互助群
群 号:604180095
Book学术官方微信