红麴补充剂引起近端肾小管损伤的肾功能损害:两个病例的报告

IF 0.9 Q4 UROLOGY & NEPHROLOGY
Case Reports in Nephrology and Dialysis Pub Date : 2024-07-25 eCollection Date: 2024-01-01 DOI:10.1159/000540258
Kazuhiro Takeuchi, Sayumi Kawamura, Yukihiro Wada, Emi Sakamoto, Hideaki Kuno, Shun Sakurabayashi, Tomomi Motohashi, Hiroyuki Okawa, Naohiro Kawamura, Shokichi Naito, Togo Aoyama, Akira Shimizu, Yasuo Takeuchi
{"title":"红麴补充剂引起近端肾小管损伤的肾功能损害:两个病例的报告","authors":"Kazuhiro Takeuchi, Sayumi Kawamura, Yukihiro Wada, Emi Sakamoto, Hideaki Kuno, Shun Sakurabayashi, Tomomi Motohashi, Hiroyuki Okawa, Naohiro Kawamura, Shokichi Naito, Togo Aoyama, Akira Shimizu, Yasuo Takeuchi","doi":"10.1159/000540258","DOIUrl":null,"url":null,"abstract":"<p><strong>Introduction: </strong>Drug-induced tubulointerstitial injury is a common cause of renal impairment. Since the mechanisms of drug-induced tubular injury are diverse, various treatment approaches are needed according to the pathogenesis. Renal biopsy is indispensable to determine not only the pathological diagnosis, but also the underlying mechanism, and to guide appropriate treatment. Most recently, one of the red yeast supplements has been widely highlighted as a novel cause of tubular damage, mainly in Japan and Asia. However, neither detailed pathological findings nor the mechanism of renal impairment has been sufficiently reported.</p><p><strong>Case presentation: </strong>Two cases of renal impairment after taking red yeast supplement internally are presented. Both cases showed renal dysfunction with low uric acid, potassium, and phosphorus levels, characteristic features of Fanconi syndrome. The renal biopsy findings of both cases showed severe injury to the proximal tubules with mild inflammatory cell infiltration. The proximal tubules exhibited diffuse loss of the brush border, flattening, and tubular lumen dilation. Immunofluorescence showed no deposition of immunoglobulin and complement in the glomeruli and tubules. Electron microscopic findings indicated proximal tubular damage without crystal deposition. Moreover, immunohistochemistry using the proximal tubular marker CD10 and a marker for distal tubules including the loop of Henle, E-cadherin, collectively demonstrated that the focus of renal injury in both cases was mainly the proximal tubules.</p><p><strong>Conclusions: </strong>The red yeast rice supplement itself, its metabolized product, or other unknown contaminant components might directly induce proximal tubulopathy rather than an allergic reaction-related tubulointerstitial nephritis.</p>","PeriodicalId":9599,"journal":{"name":"Case Reports in Nephrology and Dialysis","volume":"14 1","pages":"128-137"},"PeriodicalIF":0.9000,"publicationDate":"2024-07-25","publicationTypes":"Journal Article","fieldsOfStudy":null,"isOpenAccess":false,"openAccessPdf":"https://www.ncbi.nlm.nih.gov/pmc/articles/PMC11309756/pdf/","citationCount":"0","resultStr":"{\"title\":\"Renal Impairment of Proximal Tubular Injury Caused by Red Yeast Rice Supplement: Report of 2 Cases.\",\"authors\":\"Kazuhiro Takeuchi, Sayumi Kawamura, Yukihiro Wada, Emi Sakamoto, Hideaki Kuno, Shun Sakurabayashi, Tomomi Motohashi, Hiroyuki Okawa, Naohiro Kawamura, Shokichi Naito, Togo Aoyama, Akira Shimizu, Yasuo Takeuchi\",\"doi\":\"10.1159/000540258\",\"DOIUrl\":null,\"url\":null,\"abstract\":\"<p><strong>Introduction: </strong>Drug-induced tubulointerstitial injury is a common cause of renal impairment. Since the mechanisms of drug-induced tubular injury are diverse, various treatment approaches are needed according to the pathogenesis. Renal biopsy is indispensable to determine not only the pathological diagnosis, but also the underlying mechanism, and to guide appropriate treatment. Most recently, one of the red yeast supplements has been widely highlighted as a novel cause of tubular damage, mainly in Japan and Asia. However, neither detailed pathological findings nor the mechanism of renal impairment has been sufficiently reported.</p><p><strong>Case presentation: </strong>Two cases of renal impairment after taking red yeast supplement internally are presented. Both cases showed renal dysfunction with low uric acid, potassium, and phosphorus levels, characteristic features of Fanconi syndrome. The renal biopsy findings of both cases showed severe injury to the proximal tubules with mild inflammatory cell infiltration. The proximal tubules exhibited diffuse loss of the brush border, flattening, and tubular lumen dilation. Immunofluorescence showed no deposition of immunoglobulin and complement in the glomeruli and tubules. Electron microscopic findings indicated proximal tubular damage without crystal deposition. Moreover, immunohistochemistry using the proximal tubular marker CD10 and a marker for distal tubules including the loop of Henle, E-cadherin, collectively demonstrated that the focus of renal injury in both cases was mainly the proximal tubules.</p><p><strong>Conclusions: </strong>The red yeast rice supplement itself, its metabolized product, or other unknown contaminant components might directly induce proximal tubulopathy rather than an allergic reaction-related tubulointerstitial nephritis.</p>\",\"PeriodicalId\":9599,\"journal\":{\"name\":\"Case Reports in Nephrology and Dialysis\",\"volume\":\"14 1\",\"pages\":\"128-137\"},\"PeriodicalIF\":0.9000,\"publicationDate\":\"2024-07-25\",\"publicationTypes\":\"Journal Article\",\"fieldsOfStudy\":null,\"isOpenAccess\":false,\"openAccessPdf\":\"https://www.ncbi.nlm.nih.gov/pmc/articles/PMC11309756/pdf/\",\"citationCount\":\"0\",\"resultStr\":null,\"platform\":\"Semanticscholar\",\"paperid\":null,\"PeriodicalName\":\"Case Reports in Nephrology and Dialysis\",\"FirstCategoryId\":\"1085\",\"ListUrlMain\":\"https://doi.org/10.1159/000540258\",\"RegionNum\":0,\"RegionCategory\":null,\"ArticlePicture\":[],\"TitleCN\":null,\"AbstractTextCN\":null,\"PMCID\":null,\"EPubDate\":\"2024/1/1 0:00:00\",\"PubModel\":\"eCollection\",\"JCR\":\"Q4\",\"JCRName\":\"UROLOGY & NEPHROLOGY\",\"Score\":null,\"Total\":0}","platform":"Semanticscholar","paperid":null,"PeriodicalName":"Case Reports in Nephrology and Dialysis","FirstCategoryId":"1085","ListUrlMain":"https://doi.org/10.1159/000540258","RegionNum":0,"RegionCategory":null,"ArticlePicture":[],"TitleCN":null,"AbstractTextCN":null,"PMCID":null,"EPubDate":"2024/1/1 0:00:00","PubModel":"eCollection","JCR":"Q4","JCRName":"UROLOGY & NEPHROLOGY","Score":null,"Total":0}
引用次数: 0

摘要

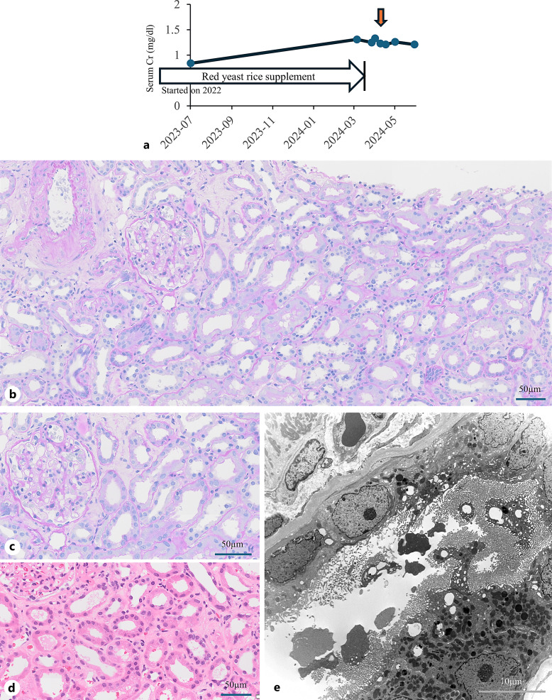
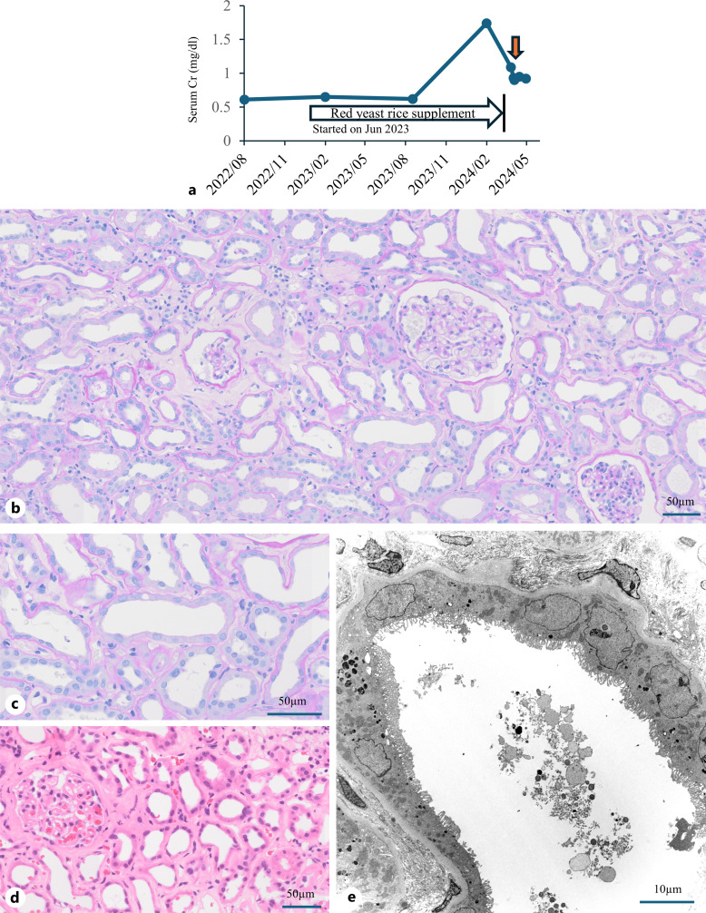
导言:药物引起的肾小管间质损伤是肾功能损害的常见原因。由于药物诱发肾小管损伤的机制多种多样,因此需要根据不同的发病机制采取不同的治疗方法。肾活检不仅能确定病理诊断,还能确定潜在机制,并指导适当的治疗。最近,一种红酵母补充剂作为肾小管损伤的新病因受到广泛关注,主要是在日本和亚洲。然而,无论是详细的病理结果还是肾功能损害的机制都没有得到充分报道:本报告介绍了两例内服红酵母补充剂后出现肾功能损害的病例。两例病例均出现肾功能障碍,尿酸、钾和磷水平较低,这是范可尼综合征的特征性表现。两例病例的肾活检结果均显示近端肾小管严重损伤,并伴有轻度炎症细胞浸润。近端肾小管刷状缘弥漫性脱落、扁平、管腔扩张。免疫荧光显示肾小球和肾小管中没有免疫球蛋白和补体沉积。电子显微镜检查结果显示近端肾小管受损,但无晶体沉积。此外,使用近端肾小管标记物 CD10 和包括亨勒襻在内的远端肾小管标记物 E-cadherin 进行的免疫组化共同表明,这两个病例的肾损伤病灶主要是近端肾小管:结论:红麴补充剂本身、其代谢产物或其他未知的污染物成分可能直接诱发近端肾小管病变,而不是与过敏反应相关的肾小管间质性肾炎。
本文章由计算机程序翻译,如有差异,请以英文原文为准。

Renal Impairment of Proximal Tubular Injury Caused by Red Yeast Rice Supplement: Report of 2 Cases.

Renal Impairment of Proximal Tubular Injury Caused by Red Yeast Rice Supplement: Report of 2 Cases.

Renal Impairment of Proximal Tubular Injury Caused by Red Yeast Rice Supplement: Report of 2 Cases.

Renal Impairment of Proximal Tubular Injury Caused by Red Yeast Rice Supplement: Report of 2 Cases.

Introduction: Drug-induced tubulointerstitial injury is a common cause of renal impairment. Since the mechanisms of drug-induced tubular injury are diverse, various treatment approaches are needed according to the pathogenesis. Renal biopsy is indispensable to determine not only the pathological diagnosis, but also the underlying mechanism, and to guide appropriate treatment. Most recently, one of the red yeast supplements has been widely highlighted as a novel cause of tubular damage, mainly in Japan and Asia. However, neither detailed pathological findings nor the mechanism of renal impairment has been sufficiently reported.

Case presentation: Two cases of renal impairment after taking red yeast supplement internally are presented. Both cases showed renal dysfunction with low uric acid, potassium, and phosphorus levels, characteristic features of Fanconi syndrome. The renal biopsy findings of both cases showed severe injury to the proximal tubules with mild inflammatory cell infiltration. The proximal tubules exhibited diffuse loss of the brush border, flattening, and tubular lumen dilation. Immunofluorescence showed no deposition of immunoglobulin and complement in the glomeruli and tubules. Electron microscopic findings indicated proximal tubular damage without crystal deposition. Moreover, immunohistochemistry using the proximal tubular marker CD10 and a marker for distal tubules including the loop of Henle, E-cadherin, collectively demonstrated that the focus of renal injury in both cases was mainly the proximal tubules.

Conclusions: The red yeast rice supplement itself, its metabolized product, or other unknown contaminant components might directly induce proximal tubulopathy rather than an allergic reaction-related tubulointerstitial nephritis.

求助全文
通过发布文献求助,成功后即可免费获取论文全文。 去求助
来源期刊
CiteScore
1.20
自引率
0.00%
发文量
36
审稿时长
10 weeks
期刊介绍: This peer-reviewed online-only journal publishes original case reports covering the entire spectrum of nephrology and dialysis, including genetic susceptibility, clinical presentation, diagnosis, treatment or prevention, toxicities of therapy, critical care, supportive care, quality-of-life and survival issues. The journal will also accept case reports dealing with the use of novel technologies, both in the arena of diagnosis and treatment. Supplementary material is welcomed.
×
引用
GB/T 7714-2015
复制
MLA
复制
APA
复制
导出至
BibTeX EndNote RefMan NoteFirst NoteExpress
×
提示
您的信息不完整,为了账户安全,请先补充。
现在去补充
×
提示
您因"违规操作"
具体请查看互助需知
我知道了
×
提示
确定
请完成安全验证×
copy
已复制链接
快去分享给好友吧!
我知道了
右上角分享
点击右上角分享
0
联系我们:info@booksci.cn Book学术提供免费学术资源搜索服务,方便国内外学者检索中英文文献。致力于提供最便捷和优质的服务体验。 Copyright © 2023 布克学术 All rights reserved.
京ICP备2023020795号-1
ghs 京公网安备 11010802042870号
Book学术文献互助
Book学术文献互助群
群 号:604180095
Book学术官方微信