肾上腺皮质癌:选择性内放射治疗和肝转移。

Endocrine oncology (Bristol, England) Pub Date : 2024-07-08 eCollection Date: 2024-01-01 DOI:10.1530/EO-23-0041
Leo Baxendale-Smith, Karim El-Shakankery, James Gordon-Smith, Lucy Wall
{"title":"肾上腺皮质癌:选择性内放射治疗和肝转移。","authors":"Leo Baxendale-Smith, Karim El-Shakankery, James Gordon-Smith, Lucy Wall","doi":"10.1530/EO-23-0041","DOIUrl":null,"url":null,"abstract":"<p><p>Selective internal radiation therapy (SIRT) is a novel intervention for both primary and metastatic malignant liver lesions. Adrenocortical carcinoma (ACC) is rare with limited treatment options; evidence for SIRT in ACC liver metastases consists of case reports only. Selective internal radiation therapy (SIRT) was employed to treat recurrent liver metastases in a 49-year-old gentleman with ACC, who previously underwent a left-sided hepatectomy. The patient opted for SIRT after reviewing the literature regarding mitotane chemotherapy and its toxicities. Selective internal radiation therapy (SIRT) provided several months of progression-free survival (PFS), with no toxicity and an excellent radiological response. The patient re-presented 12 years after the initial diagnosis with skeletal metastases and sadly died in September 2022. Substantial unmet need exists for effective treatments in ACC, with 75% of patients presenting with incurable disease. Developing widespread disease, SIRT offered 2 years' PFS in our patient; this was well tolerated with minimal residual liver impairment. Its use in ACC liver-limited disease warrants investigation.</p><p><strong>Significance statement: </strong>Adrenocortical carcinoma (ACC) is a rare and aggressive tumour with limited treatments. Once metastatic disease develops, existing standard-of-care treatments offer a dismal overall survival, alongside marked toxicities. Selective internal radiation therapy (SIRT) may represent a new intervention in the treatment paradigm for liver-limited, metastatic ACC. Here, we present the case of a patient treated with multiple rounds of SIRT for relapsed, liver-limited ACC, prolonging survival by several years. Recurrent SIRT led to maintained liver function and no toxicities. Little evidence outlines its use in ACC but further study is certainly warranted to ascertain the value of SIRT, considering the limited treatment landscape that currently exists.</p>","PeriodicalId":72907,"journal":{"name":"Endocrine oncology (Bristol, England)","volume":"4 1","pages":"e230041"},"PeriodicalIF":0.0000,"publicationDate":"2024-07-08","publicationTypes":"Journal Article","fieldsOfStudy":null,"isOpenAccess":false,"openAccessPdf":"https://www.ncbi.nlm.nih.gov/pmc/articles/PMC11301532/pdf/","citationCount":"0","resultStr":"{\"title\":\"Adrenocortical carcinoma: selective internal radiation therapy and liver metastases.\",\"authors\":\"Leo Baxendale-Smith, Karim El-Shakankery, James Gordon-Smith, Lucy Wall\",\"doi\":\"10.1530/EO-23-0041\",\"DOIUrl\":null,\"url\":null,\"abstract\":\"<p><p>Selective internal radiation therapy (SIRT) is a novel intervention for both primary and metastatic malignant liver lesions. Adrenocortical carcinoma (ACC) is rare with limited treatment options; evidence for SIRT in ACC liver metastases consists of case reports only. Selective internal radiation therapy (SIRT) was employed to treat recurrent liver metastases in a 49-year-old gentleman with ACC, who previously underwent a left-sided hepatectomy. The patient opted for SIRT after reviewing the literature regarding mitotane chemotherapy and its toxicities. Selective internal radiation therapy (SIRT) provided several months of progression-free survival (PFS), with no toxicity and an excellent radiological response. The patient re-presented 12 years after the initial diagnosis with skeletal metastases and sadly died in September 2022. Substantial unmet need exists for effective treatments in ACC, with 75% of patients presenting with incurable disease. Developing widespread disease, SIRT offered 2 years' PFS in our patient; this was well tolerated with minimal residual liver impairment. Its use in ACC liver-limited disease warrants investigation.</p><p><strong>Significance statement: </strong>Adrenocortical carcinoma (ACC) is a rare and aggressive tumour with limited treatments. Once metastatic disease develops, existing standard-of-care treatments offer a dismal overall survival, alongside marked toxicities. Selective internal radiation therapy (SIRT) may represent a new intervention in the treatment paradigm for liver-limited, metastatic ACC. Here, we present the case of a patient treated with multiple rounds of SIRT for relapsed, liver-limited ACC, prolonging survival by several years. Recurrent SIRT led to maintained liver function and no toxicities. Little evidence outlines its use in ACC but further study is certainly warranted to ascertain the value of SIRT, considering the limited treatment landscape that currently exists.</p>\",\"PeriodicalId\":72907,\"journal\":{\"name\":\"Endocrine oncology (Bristol, England)\",\"volume\":\"4 1\",\"pages\":\"e230041\"},\"PeriodicalIF\":0.0000,\"publicationDate\":\"2024-07-08\",\"publicationTypes\":\"Journal Article\",\"fieldsOfStudy\":null,\"isOpenAccess\":false,\"openAccessPdf\":\"https://www.ncbi.nlm.nih.gov/pmc/articles/PMC11301532/pdf/\",\"citationCount\":\"0\",\"resultStr\":null,\"platform\":\"Semanticscholar\",\"paperid\":null,\"PeriodicalName\":\"Endocrine oncology (Bristol, England)\",\"FirstCategoryId\":\"1085\",\"ListUrlMain\":\"https://doi.org/10.1530/EO-23-0041\",\"RegionNum\":0,\"RegionCategory\":null,\"ArticlePicture\":[],\"TitleCN\":null,\"AbstractTextCN\":null,\"PMCID\":null,\"EPubDate\":\"2024/1/1 0:00:00\",\"PubModel\":\"eCollection\",\"JCR\":\"\",\"JCRName\":\"\",\"Score\":null,\"Total\":0}","platform":"Semanticscholar","paperid":null,"PeriodicalName":"Endocrine oncology (Bristol, England)","FirstCategoryId":"1085","ListUrlMain":"https://doi.org/10.1530/EO-23-0041","RegionNum":0,"RegionCategory":null,"ArticlePicture":[],"TitleCN":null,"AbstractTextCN":null,"PMCID":null,"EPubDate":"2024/1/1 0:00:00","PubModel":"eCollection","JCR":"","JCRName":"","Score":null,"Total":0}
引用次数: 0

摘要

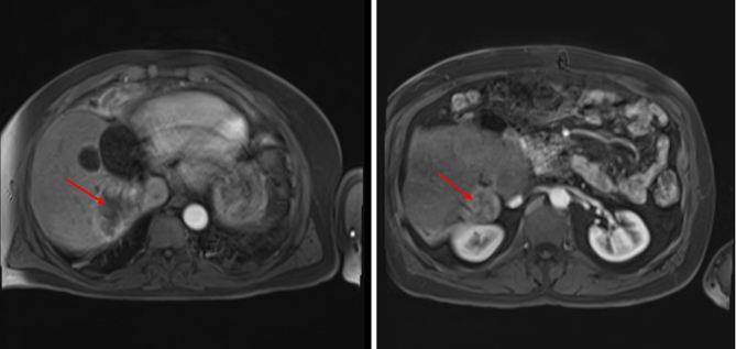
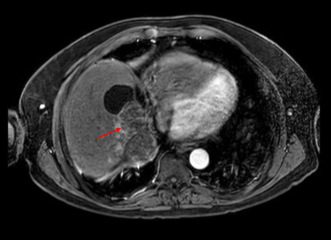
选择性内放射治疗(SIRT)是一种治疗原发性和转移性肝脏恶性病变的新型干预方法。肾上腺皮质癌(ACC)非常罕见,治疗方案有限;SIRT 治疗 ACC 肝转移瘤的证据只有病例报告。一名 49 岁的 ACC 患者曾接受过左侧肝切除术,在治疗复发性肝转移瘤时采用了选择性内放射治疗(SIRT)。在查阅了有关米托坦化疗及其毒性的文献后,患者选择了 SIRT。选择性内放射治疗(SIRT)使患者获得了数月的无进展生存期(PFS),且无任何毒性,放射学反应良好。患者在初次确诊 12 年后再次出现骨骼转移,不幸于 2022 年 9 月去世。ACC的有效治疗仍有大量需求未得到满足,75%的患者患有无法治愈的疾病。SIRT可为我们的患者提供2年的PFS;患者耐受性良好,残留肝功能损害极小。它在 ACC 肝局限性疾病中的应用值得研究:肾上腺皮质癌(ACC)是一种罕见的侵袭性肿瘤,治疗手段有限。一旦出现转移性疾病,现有的标准治疗方法的总生存率很低,而且毒性明显。选择性内放射治疗(SIRT)可能是治疗肝局限性转移性 ACC 的一种新方法。在此,我们介绍了一例接受多轮 SIRT 治疗的复发肝局限性 ACC 患者的病例,该患者的生存期延长了数年。复发性 SIRT 使患者的肝功能得以维持,且无任何毒副作用。很少有证据能概括 SIRT 在 ACC 中的应用,但考虑到目前有限的治疗方案,肯定需要进一步研究以确定 SIRT 的价值。
本文章由计算机程序翻译,如有差异,请以英文原文为准。

Adrenocortical carcinoma: selective internal radiation therapy and liver metastases.

Adrenocortical carcinoma: selective internal radiation therapy and liver metastases.

Adrenocortical carcinoma: selective internal radiation therapy and liver metastases.

Adrenocortical carcinoma: selective internal radiation therapy and liver metastases.

Selective internal radiation therapy (SIRT) is a novel intervention for both primary and metastatic malignant liver lesions. Adrenocortical carcinoma (ACC) is rare with limited treatment options; evidence for SIRT in ACC liver metastases consists of case reports only. Selective internal radiation therapy (SIRT) was employed to treat recurrent liver metastases in a 49-year-old gentleman with ACC, who previously underwent a left-sided hepatectomy. The patient opted for SIRT after reviewing the literature regarding mitotane chemotherapy and its toxicities. Selective internal radiation therapy (SIRT) provided several months of progression-free survival (PFS), with no toxicity and an excellent radiological response. The patient re-presented 12 years after the initial diagnosis with skeletal metastases and sadly died in September 2022. Substantial unmet need exists for effective treatments in ACC, with 75% of patients presenting with incurable disease. Developing widespread disease, SIRT offered 2 years' PFS in our patient; this was well tolerated with minimal residual liver impairment. Its use in ACC liver-limited disease warrants investigation.

Significance statement: Adrenocortical carcinoma (ACC) is a rare and aggressive tumour with limited treatments. Once metastatic disease develops, existing standard-of-care treatments offer a dismal overall survival, alongside marked toxicities. Selective internal radiation therapy (SIRT) may represent a new intervention in the treatment paradigm for liver-limited, metastatic ACC. Here, we present the case of a patient treated with multiple rounds of SIRT for relapsed, liver-limited ACC, prolonging survival by several years. Recurrent SIRT led to maintained liver function and no toxicities. Little evidence outlines its use in ACC but further study is certainly warranted to ascertain the value of SIRT, considering the limited treatment landscape that currently exists.

求助全文
通过发布文献求助,成功后即可免费获取论文全文。 去求助
来源期刊
自引率
0.00%
发文量
0
×
引用
GB/T 7714-2015
复制
MLA
复制
APA
复制
导出至
BibTeX EndNote RefMan NoteFirst NoteExpress
×
提示
您的信息不完整,为了账户安全,请先补充。
现在去补充
×
提示
您因"违规操作"
具体请查看互助需知
我知道了
×
提示
确定
请完成安全验证×
copy
已复制链接
快去分享给好友吧!
我知道了
右上角分享
点击右上角分享
0
联系我们:info@booksci.cn Book学术提供免费学术资源搜索服务,方便国内外学者检索中英文文献。致力于提供最便捷和优质的服务体验。 Copyright © 2023 布克学术 All rights reserved.
京ICP备2023020795号-1
ghs 京公网安备 11010802042870号
Book学术文献互助
Book学术文献互助群
群 号:604180095
Book学术官方微信