首例报告的香港华裔高密度脂蛋白缺乏症患者体内的ABCA1出现新的剪接变异。

IF 0.7 Q4 ENDOCRINOLOGY & METABOLISM
Cheuk Lik Wong, Ling Yin Hung, Wai Kwan Carol Siu, Vicki Ho Kee Tam, Chloe Miu Mak
{"title":"首例报告的香港华裔高密度脂蛋白缺乏症患者体内的ABCA1出现新的剪接变异。","authors":"Cheuk Lik Wong, Ling Yin Hung, Wai Kwan Carol Siu, Vicki Ho Kee Tam, Chloe Miu Mak","doi":"10.1530/EDM-23-0102","DOIUrl":null,"url":null,"abstract":"<p><strong>Summary: </strong>Low high-density lipoprotein cholesterol (HDL-C) is a risk factor for cardiovascular disease. Very low HDL-C levels (less than 20 mg/dL), however, were uncommonly seen and can be due to genetic defects involving the metabolic pathway of high-density lipoprotein (HDL). We encountered a 50-year-old Chinese man who was only noticed to have extremely low HDL-C levels after surviving recurrent episodes of myocardial infarction. Further workup revealed the undetectable level of apolipoprotein A-I, the absence of HDL on gel electrophoresis, and a novel heterozygous splicing variant in the ABCA1 gene, which was predicted to be pathogenic by in silico analysis. To the best of our knowledge, this is the first reported Hong Kong Chinese with ABCA1 deficiency and probable Tangier disease. The association of ABCA1 deficiency/Tangier disease and accelerated atherosclerosis is discussed.</p><p><strong>Learning points: </strong>Clinicians should be aware of the differential diagnoses of very low HDL-C, which could be divided into genetic and acquired causes. Genetic low HDL syndromes include apoA-I deficiency, Tangier disease, and familial LCAT deficiency, each of which has characteristic clinical features and can be differentiated from the other further by apoA-I measurement, lipoprotein analysis, and genetic testing. Patients with ABCA1 deficiency and Tangier disease are at risk of premature coronary artery disease and should be aggressively screened and treated for cardiovascular risk factors and established cardiovascular diseases. Revascularization strategy and indications for coronary artery bypass grafting in patients with Tangier disease and coronary artery disease follow that as for patients without Tangier disease.</p>","PeriodicalId":37467,"journal":{"name":"Endocrinology, Diabetes and Metabolism Case Reports","volume":"2024 3","pages":""},"PeriodicalIF":0.7000,"publicationDate":"2024-08-02","publicationTypes":"Journal Article","fieldsOfStudy":null,"isOpenAccess":false,"openAccessPdf":"https://www.ncbi.nlm.nih.gov/pmc/articles/PMC11301564/pdf/","citationCount":"0","resultStr":"{\"title\":\"A novel splicing variant in ABCA1 in the first reported Hong Kong Chinese patient with high-density lipoprotein deficiency.\",\"authors\":\"Cheuk Lik Wong, Ling Yin Hung, Wai Kwan Carol Siu, Vicki Ho Kee Tam, Chloe Miu Mak\",\"doi\":\"10.1530/EDM-23-0102\",\"DOIUrl\":null,\"url\":null,\"abstract\":\"<p><strong>Summary: </strong>Low high-density lipoprotein cholesterol (HDL-C) is a risk factor for cardiovascular disease. Very low HDL-C levels (less than 20 mg/dL), however, were uncommonly seen and can be due to genetic defects involving the metabolic pathway of high-density lipoprotein (HDL). We encountered a 50-year-old Chinese man who was only noticed to have extremely low HDL-C levels after surviving recurrent episodes of myocardial infarction. Further workup revealed the undetectable level of apolipoprotein A-I, the absence of HDL on gel electrophoresis, and a novel heterozygous splicing variant in the ABCA1 gene, which was predicted to be pathogenic by in silico analysis. To the best of our knowledge, this is the first reported Hong Kong Chinese with ABCA1 deficiency and probable Tangier disease. The association of ABCA1 deficiency/Tangier disease and accelerated atherosclerosis is discussed.</p><p><strong>Learning points: </strong>Clinicians should be aware of the differential diagnoses of very low HDL-C, which could be divided into genetic and acquired causes. Genetic low HDL syndromes include apoA-I deficiency, Tangier disease, and familial LCAT deficiency, each of which has characteristic clinical features and can be differentiated from the other further by apoA-I measurement, lipoprotein analysis, and genetic testing. Patients with ABCA1 deficiency and Tangier disease are at risk of premature coronary artery disease and should be aggressively screened and treated for cardiovascular risk factors and established cardiovascular diseases. Revascularization strategy and indications for coronary artery bypass grafting in patients with Tangier disease and coronary artery disease follow that as for patients without Tangier disease.</p>\",\"PeriodicalId\":37467,\"journal\":{\"name\":\"Endocrinology, Diabetes and Metabolism Case Reports\",\"volume\":\"2024 3\",\"pages\":\"\"},\"PeriodicalIF\":0.7000,\"publicationDate\":\"2024-08-02\",\"publicationTypes\":\"Journal Article\",\"fieldsOfStudy\":null,\"isOpenAccess\":false,\"openAccessPdf\":\"https://www.ncbi.nlm.nih.gov/pmc/articles/PMC11301564/pdf/\",\"citationCount\":\"0\",\"resultStr\":null,\"platform\":\"Semanticscholar\",\"paperid\":null,\"PeriodicalName\":\"Endocrinology, Diabetes and Metabolism Case Reports\",\"FirstCategoryId\":\"1085\",\"ListUrlMain\":\"https://doi.org/10.1530/EDM-23-0102\",\"RegionNum\":0,\"RegionCategory\":null,\"ArticlePicture\":[],\"TitleCN\":null,\"AbstractTextCN\":null,\"PMCID\":null,\"EPubDate\":\"2024/7/1 0:00:00\",\"PubModel\":\"Print\",\"JCR\":\"Q4\",\"JCRName\":\"ENDOCRINOLOGY & METABOLISM\",\"Score\":null,\"Total\":0}","platform":"Semanticscholar","paperid":null,"PeriodicalName":"Endocrinology, Diabetes and Metabolism Case Reports","FirstCategoryId":"1085","ListUrlMain":"https://doi.org/10.1530/EDM-23-0102","RegionNum":0,"RegionCategory":null,"ArticlePicture":[],"TitleCN":null,"AbstractTextCN":null,"PMCID":null,"EPubDate":"2024/7/1 0:00:00","PubModel":"Print","JCR":"Q4","JCRName":"ENDOCRINOLOGY & METABOLISM","Score":null,"Total":0}
引用次数: 0

摘要

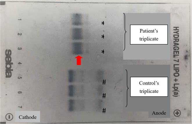
摘要:低高密度脂蛋白胆固醇(HDL-C)是心血管疾病的一个危险因素。然而,极低的高密度脂蛋白胆固醇水平(低于 20 毫克/分升)并不多见,可能是由于高密度脂蛋白(HDL)代谢途径的遗传缺陷所致。我们曾遇到过一名 50 岁的中国男性,他在反复发作心肌梗死后才发现自己的高密度脂蛋白胆固醇水平极低。进一步检查发现,他体内的载脂蛋白 A-I 检测不到,凝胶电泳中也没有高密度脂蛋白,而且他的 ABCA1 基因中存在一个新的杂合剪接变异,通过硅学分析,该变异被认为是致病的。据我们所知,这是首例报告的患有 ABCA1 缺乏症和可能患有丹吉尔病的中国香港人。本文讨论了 ABCA1 缺乏症/丹吉尔病与加速动脉粥样硬化的关联:临床医生应了解极低高密度脂蛋白胆固醇的鉴别诊断,可分为遗传性和获得性原因。遗传性低高密度脂蛋白综合征包括载脂蛋白A-I缺乏症、丹吉尔病和家族性LCAT缺乏症,每种综合征都具有特征性的临床特点,可通过载脂蛋白A-I测量、脂蛋白分析和基因检测进一步区分。ABCA1 缺乏症和丹吉尔病患者有过早发生冠状动脉疾病的风险,应积极筛查和治疗心血管危险因素和已确诊的心血管疾病。丹吉尔病患者和冠状动脉疾病患者的血管重建策略和冠状动脉旁路移植术适应症与无丹吉尔病患者相同。
本文章由计算机程序翻译,如有差异,请以英文原文为准。

A novel splicing variant in ABCA1 in the first reported Hong Kong Chinese patient with high-density lipoprotein deficiency.

A novel splicing variant in ABCA1 in the first reported Hong Kong Chinese patient with high-density lipoprotein deficiency.

A novel splicing variant in ABCA1 in the first reported Hong Kong Chinese patient with high-density lipoprotein deficiency.

A novel splicing variant in ABCA1 in the first reported Hong Kong Chinese patient with high-density lipoprotein deficiency.

Summary: Low high-density lipoprotein cholesterol (HDL-C) is a risk factor for cardiovascular disease. Very low HDL-C levels (less than 20 mg/dL), however, were uncommonly seen and can be due to genetic defects involving the metabolic pathway of high-density lipoprotein (HDL). We encountered a 50-year-old Chinese man who was only noticed to have extremely low HDL-C levels after surviving recurrent episodes of myocardial infarction. Further workup revealed the undetectable level of apolipoprotein A-I, the absence of HDL on gel electrophoresis, and a novel heterozygous splicing variant in the ABCA1 gene, which was predicted to be pathogenic by in silico analysis. To the best of our knowledge, this is the first reported Hong Kong Chinese with ABCA1 deficiency and probable Tangier disease. The association of ABCA1 deficiency/Tangier disease and accelerated atherosclerosis is discussed.

Learning points: Clinicians should be aware of the differential diagnoses of very low HDL-C, which could be divided into genetic and acquired causes. Genetic low HDL syndromes include apoA-I deficiency, Tangier disease, and familial LCAT deficiency, each of which has characteristic clinical features and can be differentiated from the other further by apoA-I measurement, lipoprotein analysis, and genetic testing. Patients with ABCA1 deficiency and Tangier disease are at risk of premature coronary artery disease and should be aggressively screened and treated for cardiovascular risk factors and established cardiovascular diseases. Revascularization strategy and indications for coronary artery bypass grafting in patients with Tangier disease and coronary artery disease follow that as for patients without Tangier disease.

求助全文
通过发布文献求助,成功后即可免费获取论文全文。 去求助
来源期刊
CiteScore
1.50
自引率
0.00%
发文量
142
审稿时长
9 weeks
期刊介绍: Endocrinology, Diabetes & Metabolism Case Reports publishes case reports on common and rare conditions in all areas of clinical endocrinology, diabetes and metabolism. Articles should include clear learning points which readers can use to inform medical education or clinical practice. The types of cases of interest to Endocrinology, Diabetes & Metabolism Case Reports include: -Insight into disease pathogenesis or mechanism of therapy - Novel diagnostic procedure - Novel treatment - Unique/unexpected symptoms or presentations of a disease - New disease or syndrome: presentations/diagnosis/management - Unusual effects of medical treatment - Error in diagnosis/pitfalls and caveats
×
引用
GB/T 7714-2015
复制
MLA
复制
APA
复制
导出至
BibTeX EndNote RefMan NoteFirst NoteExpress
×
提示
您的信息不完整,为了账户安全,请先补充。
现在去补充
×
提示
您因"违规操作"
具体请查看互助需知
我知道了
×
提示
确定
请完成安全验证×
copy
已复制链接
快去分享给好友吧!
我知道了
右上角分享
点击右上角分享
0
联系我们:info@booksci.cn Book学术提供免费学术资源搜索服务,方便国内外学者检索中英文文献。致力于提供最便捷和优质的服务体验。 Copyright © 2023 布克学术 All rights reserved.
京ICP备2023020795号-1
ghs 京公网安备 11010802042870号
Book学术文献互助
Book学术文献互助群
群 号:604180095
Book学术官方微信