表皮生长因子受体 L858R 点突变和 MET 第 14 号外显子跳越突变的同步双原发性肺腺癌

IF 0.9
Journal of medical cases Pub Date : 2024-08-01 Epub Date: 2024-07-05 DOI:10.14740/jmc4210
Seijitsu Ando, Shinji Futami, Koji Azuma, Kanako Nishimatsu, Takuma Shirasaka, Seigo Minami
{"title":"表皮生长因子受体 L858R 点突变和 MET 第 14 号外显子跳越突变的同步双原发性肺腺癌","authors":"Seijitsu Ando, Shinji Futami, Koji Azuma, Kanako Nishimatsu, Takuma Shirasaka, Seigo Minami","doi":"10.14740/jmc4210","DOIUrl":null,"url":null,"abstract":"<p><p>Various driver mutations and the corresponding molecular-targeted drugs have been detected and developed in non-small cell lung cancer. There were many cases in which surgical specimens had happened to find double primary cancers. However, to our knowledge, our case was the first report of synchronous double primary lung adenocarcinomas harboring epidermal growth factor receptor (<i>EGFR</i>) L858R and mesenchymal-to-epithelial transition (<i>MET</i>) exon 14 skipping mutations. A 75-year-old Japanese woman with chronic heart and renal failures was referred to our department because of a growing nodule in the right upper lung field on chest X-ray films. Chest computed tomography (CT) detected a nodule in the right S<sub>1</sub> and another nodule in the left S<sub>1+2</sub>. Bronchoscopic biopsy diagnosed the right S<sub>1</sub> nodule as moderately differentiated adenocarcinoma. Oncomine Dx Target Test Multi-CDx system of the right S<sub>1</sub> adenocarcinoma detected <i>EGFR</i> L858R mutation. The 18<sup>F</sup>-fluorodeoxyglucose positron emission tomography/CT showed abnormal uptakes both in the right S<sub>1</sub> and the left S<sub>1+2</sub> nodules, and in the bilateral inferior paratracheal lymph nodes. We made a diagnosis of c-stage IIIA (cT<sub>1b</sub>N<sub>2</sub>M<sub>0</sub>) of adenocarcinoma in the right S<sub>1</sub> and suspected another primary lung cancer in the left S<sub>1+2</sub>. Considering her general conditions, comorbidities and wishes, we started osimertinib. The right S<sub>1</sub> cancer achieved partial response (PR), while the left S<sub>1+2</sub> nodule and lymph nodes enlarged. Aspiration cytology from the left supraclavicular lymph node showed adenocarcinoma. The FoundationOne<sup>®</sup> Liquid CDx tumor profiling test detected not only <i>EGFR</i> L858R, but also <i>MET</i> exon 14 skipping mutation. We made a diagnosis of another primary adenocarcinoma from the left S<sub>1+2</sub> nodule (cT<sub>1b</sub>N<sub>3</sub>M<sub>0</sub>, c-stage IIIB) with <i>MET</i> mutation, and changed osimertinib to capmatinib. Although the left S<sub>1+2</sub> cancer achieved and maintained PR by capmatinib, the right S<sub>1</sub> cancer increased, and several new metastases appeared. The subsequent switch from capmatinib to osimertinib could not control cancers. In this case, we tried to switch monotherapies from osimertinib to capmatinib for double primary adenocarcinomas harboring different two driver mutations, according to each cancer progression. The temporal and spatial heterogeneity reinforces the need for primary tissue biopsy if dual primaries are suspected. Temporally distinct liquid biopsies, not standard at present, may be considered.</p>","PeriodicalId":101328,"journal":{"name":"Journal of medical cases","volume":"15 8","pages":"153-158"},"PeriodicalIF":0.9000,"publicationDate":"2024-08-01","publicationTypes":"Journal Article","fieldsOfStudy":null,"isOpenAccess":false,"openAccessPdf":"https://www.ncbi.nlm.nih.gov/pmc/articles/PMC11287901/pdf/","citationCount":"0","resultStr":"{\"title\":\"Synchronous Double Primary Lung Adenocarcinomas With <i>EGFR</i> L858R Point Mutation and <i>MET</i> Exon 14 Skipping Mutation.\",\"authors\":\"Seijitsu Ando, Shinji Futami, Koji Azuma, Kanako Nishimatsu, Takuma Shirasaka, Seigo Minami\",\"doi\":\"10.14740/jmc4210\",\"DOIUrl\":null,\"url\":null,\"abstract\":\"<p><p>Various driver mutations and the corresponding molecular-targeted drugs have been detected and developed in non-small cell lung cancer. There were many cases in which surgical specimens had happened to find double primary cancers. However, to our knowledge, our case was the first report of synchronous double primary lung adenocarcinomas harboring epidermal growth factor receptor (<i>EGFR</i>) L858R and mesenchymal-to-epithelial transition (<i>MET</i>) exon 14 skipping mutations. A 75-year-old Japanese woman with chronic heart and renal failures was referred to our department because of a growing nodule in the right upper lung field on chest X-ray films. Chest computed tomography (CT) detected a nodule in the right S<sub>1</sub> and another nodule in the left S<sub>1+2</sub>. Bronchoscopic biopsy diagnosed the right S<sub>1</sub> nodule as moderately differentiated adenocarcinoma. Oncomine Dx Target Test Multi-CDx system of the right S<sub>1</sub> adenocarcinoma detected <i>EGFR</i> L858R mutation. The 18<sup>F</sup>-fluorodeoxyglucose positron emission tomography/CT showed abnormal uptakes both in the right S<sub>1</sub> and the left S<sub>1+2</sub> nodules, and in the bilateral inferior paratracheal lymph nodes. We made a diagnosis of c-stage IIIA (cT<sub>1b</sub>N<sub>2</sub>M<sub>0</sub>) of adenocarcinoma in the right S<sub>1</sub> and suspected another primary lung cancer in the left S<sub>1+2</sub>. Considering her general conditions, comorbidities and wishes, we started osimertinib. The right S<sub>1</sub> cancer achieved partial response (PR), while the left S<sub>1+2</sub> nodule and lymph nodes enlarged. Aspiration cytology from the left supraclavicular lymph node showed adenocarcinoma. The FoundationOne<sup>®</sup> Liquid CDx tumor profiling test detected not only <i>EGFR</i> L858R, but also <i>MET</i> exon 14 skipping mutation. We made a diagnosis of another primary adenocarcinoma from the left S<sub>1+2</sub> nodule (cT<sub>1b</sub>N<sub>3</sub>M<sub>0</sub>, c-stage IIIB) with <i>MET</i> mutation, and changed osimertinib to capmatinib. Although the left S<sub>1+2</sub> cancer achieved and maintained PR by capmatinib, the right S<sub>1</sub> cancer increased, and several new metastases appeared. The subsequent switch from capmatinib to osimertinib could not control cancers. In this case, we tried to switch monotherapies from osimertinib to capmatinib for double primary adenocarcinomas harboring different two driver mutations, according to each cancer progression. The temporal and spatial heterogeneity reinforces the need for primary tissue biopsy if dual primaries are suspected. Temporally distinct liquid biopsies, not standard at present, may be considered.</p>\",\"PeriodicalId\":101328,\"journal\":{\"name\":\"Journal of medical cases\",\"volume\":\"15 8\",\"pages\":\"153-158\"},\"PeriodicalIF\":0.9000,\"publicationDate\":\"2024-08-01\",\"publicationTypes\":\"Journal Article\",\"fieldsOfStudy\":null,\"isOpenAccess\":false,\"openAccessPdf\":\"https://www.ncbi.nlm.nih.gov/pmc/articles/PMC11287901/pdf/\",\"citationCount\":\"0\",\"resultStr\":null,\"platform\":\"Semanticscholar\",\"paperid\":null,\"PeriodicalName\":\"Journal of medical cases\",\"FirstCategoryId\":\"1085\",\"ListUrlMain\":\"https://doi.org/10.14740/jmc4210\",\"RegionNum\":0,\"RegionCategory\":null,\"ArticlePicture\":[],\"TitleCN\":null,\"AbstractTextCN\":null,\"PMCID\":null,\"EPubDate\":\"2024/7/5 0:00:00\",\"PubModel\":\"Epub\",\"JCR\":\"\",\"JCRName\":\"\",\"Score\":null,\"Total\":0}","platform":"Semanticscholar","paperid":null,"PeriodicalName":"Journal of medical cases","FirstCategoryId":"1085","ListUrlMain":"https://doi.org/10.14740/jmc4210","RegionNum":0,"RegionCategory":null,"ArticlePicture":[],"TitleCN":null,"AbstractTextCN":null,"PMCID":null,"EPubDate":"2024/7/5 0:00:00","PubModel":"Epub","JCR":"","JCRName":"","Score":null,"Total":0}
引用次数: 0

摘要

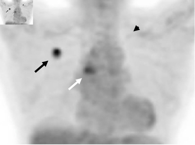
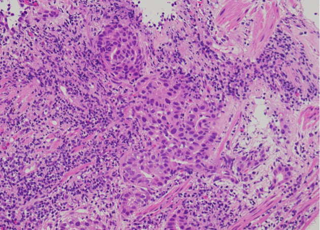
在非小细胞肺癌中发现并开发了各种驱动突变和相应的分子靶向药物。手术标本中发现双原发癌的病例很多。然而,据我们所知,我们的病例是首次报告同步双原发性肺腺癌,且表皮生长因子受体(EGFR)L858R和间质-上皮转化(MET)第14外显子跳越突变。一名 75 岁的日本妇女因胸部 X 光片显示右上肺野有一个不断增大的结节而被转诊至我科,她患有慢性心衰和肾衰竭。胸部计算机断层扫描(CT)发现右侧 S1 肺部有一个结节,左侧 S1+2 肺部也有一个结节。支气管镜活检诊断右侧 S1 结节为中度分化腺癌。右侧 S1 腺癌的 Oncomine Dx Target Test Multi-CDx 系统检测到表皮生长因子受体 L858R 突变。18F-氟脱氧葡萄糖正电子发射断层扫描/CT显示右侧S1和左侧S1+2结节以及双侧气管旁下淋巴结均有异常摄取。我们诊断她的右侧 S1 结节为 c 期 IIIA(cT1bN2M0)腺癌,并怀疑左侧 S1+2 结节为另一种原发性肺癌。考虑到她的一般情况、合并症和意愿,我们开始使用奥希替尼。右侧 S1 癌症取得了部分反应(PR),而左侧 S1+2 结节和淋巴结肿大。左锁骨上淋巴结的抽吸细胞学检查显示为腺癌。FoundationOne® Liquid CDx肿瘤图谱检测不仅发现了表皮生长因子受体(EGFR)L858R,还发现了MET第14外显子跳跃突变。我们诊断左侧S1+2结节为另一种原发性腺癌(cT1bN3M0,c期IIIB),且伴有MET突变,并将奥希替尼改为卡马替尼。虽然左侧 S1+2 癌症通过卡马替尼达到并维持了 PR,但右侧 S1 癌症却有所增加,并出现了几个新的转移灶。随后将卡马替尼换成了奥希替尼,但仍无法控制癌症。在这种情况下,我们尝试根据每种癌症的进展情况,将携带不同两种驱动突变的双原发性腺癌的单一疗法从奥希替尼切换到卡马替尼。时间和空间异质性加强了在怀疑双原发时进行原发组织活检的必要性。可以考虑进行目前尚不规范的不同时间的液体活检。
本文章由计算机程序翻译,如有差异,请以英文原文为准。

Synchronous Double Primary Lung Adenocarcinomas With <i>EGFR</i> L858R Point Mutation and <i>MET</i> Exon 14 Skipping Mutation.

Synchronous Double Primary Lung Adenocarcinomas With <i>EGFR</i> L858R Point Mutation and <i>MET</i> Exon 14 Skipping Mutation.

Synchronous Double Primary Lung Adenocarcinomas With <i>EGFR</i> L858R Point Mutation and <i>MET</i> Exon 14 Skipping Mutation.

Synchronous Double Primary Lung Adenocarcinomas With EGFR L858R Point Mutation and MET Exon 14 Skipping Mutation.

Various driver mutations and the corresponding molecular-targeted drugs have been detected and developed in non-small cell lung cancer. There were many cases in which surgical specimens had happened to find double primary cancers. However, to our knowledge, our case was the first report of synchronous double primary lung adenocarcinomas harboring epidermal growth factor receptor (EGFR) L858R and mesenchymal-to-epithelial transition (MET) exon 14 skipping mutations. A 75-year-old Japanese woman with chronic heart and renal failures was referred to our department because of a growing nodule in the right upper lung field on chest X-ray films. Chest computed tomography (CT) detected a nodule in the right S1 and another nodule in the left S1+2. Bronchoscopic biopsy diagnosed the right S1 nodule as moderately differentiated adenocarcinoma. Oncomine Dx Target Test Multi-CDx system of the right S1 adenocarcinoma detected EGFR L858R mutation. The 18F-fluorodeoxyglucose positron emission tomography/CT showed abnormal uptakes both in the right S1 and the left S1+2 nodules, and in the bilateral inferior paratracheal lymph nodes. We made a diagnosis of c-stage IIIA (cT1bN2M0) of adenocarcinoma in the right S1 and suspected another primary lung cancer in the left S1+2. Considering her general conditions, comorbidities and wishes, we started osimertinib. The right S1 cancer achieved partial response (PR), while the left S1+2 nodule and lymph nodes enlarged. Aspiration cytology from the left supraclavicular lymph node showed adenocarcinoma. The FoundationOne® Liquid CDx tumor profiling test detected not only EGFR L858R, but also MET exon 14 skipping mutation. We made a diagnosis of another primary adenocarcinoma from the left S1+2 nodule (cT1bN3M0, c-stage IIIB) with MET mutation, and changed osimertinib to capmatinib. Although the left S1+2 cancer achieved and maintained PR by capmatinib, the right S1 cancer increased, and several new metastases appeared. The subsequent switch from capmatinib to osimertinib could not control cancers. In this case, we tried to switch monotherapies from osimertinib to capmatinib for double primary adenocarcinomas harboring different two driver mutations, according to each cancer progression. The temporal and spatial heterogeneity reinforces the need for primary tissue biopsy if dual primaries are suspected. Temporally distinct liquid biopsies, not standard at present, may be considered.

求助全文
通过发布文献求助,成功后即可免费获取论文全文。 去求助
来源期刊
CiteScore
1.10
自引率
0.00%
发文量
0
×
引用
GB/T 7714-2015
复制
MLA
复制
APA
复制
导出至
BibTeX EndNote RefMan NoteFirst NoteExpress
×
提示
您的信息不完整,为了账户安全,请先补充。
现在去补充
×
提示
您因"违规操作"
具体请查看互助需知
我知道了
×
提示
确定
请完成安全验证×
copy
已复制链接
快去分享给好友吧!
我知道了
右上角分享
点击右上角分享
0
联系我们:info@booksci.cn Book学术提供免费学术资源搜索服务,方便国内外学者检索中英文文献。致力于提供最便捷和优质的服务体验。 Copyright © 2023 布克学术 All rights reserved.
京ICP备2023020795号-1
ghs 京公网安备 11010802042870号
Book学术文献互助
Book学术文献互助群
群 号:604180095
Book学术官方微信