围产期心肌病:一例罕见且可能致命的死亡病例报告。

IF 0.9
Journal of medical cases Pub Date : 2024-08-01 Epub Date: 2024-07-18 DOI:10.14740/jmc4228
Diana Marcela Perea Rojas, Christian David Seni Hernandez, Indiana Luz Rojas Torres, Marianela Olivares Olmos, Camila Maria Garcia Jarava, Dario Jose Gaivao Arciniegas, Sebastian Andre Seni Hernandez, Luis Miguel Corrales Calderon, Luis Enrique Perea Vasquez, Silvia Salva Camano
{"title":"围产期心肌病:一例罕见且可能致命的死亡病例报告。","authors":"Diana Marcela Perea Rojas, Christian David Seni Hernandez, Indiana Luz Rojas Torres, Marianela Olivares Olmos, Camila Maria Garcia Jarava, Dario Jose Gaivao Arciniegas, Sebastian Andre Seni Hernandez, Luis Miguel Corrales Calderon, Luis Enrique Perea Vasquez, Silvia Salva Camano","doi":"10.14740/jmc4228","DOIUrl":null,"url":null,"abstract":"<p><p>Peripartum cardiomyopathy (PPCM) poses a significant challenge in maternal health, characterized by heart failure with reduced ejection fraction during late pregnancy or early postpartum. Despite advances in understanding PPCM, it remains life-threatening with substantial maternal morbidity and mortality. This article reviews the epidemiology, etiology, diagnostic challenges, management strategies, and outcomes associated with PPCM. A case report of a 29-year-old woman with PPCM is presented, emphasizing the importance of early recognition and tailored management. The patient's presentation was marked by atypical symptoms, including dysuria, lumbar pain, persistent fever, and oral intake intolerance. Despite aggressive medical intervention, the patient experienced a tragic outcome, succumbing to cardiopulmonary arrest within 48 h of admission. This case underscores the challenges in diagnosing and managing PPCM, particularly when presenting with nonspecific symptoms and emphasizes the urgent need for improved diagnostic criteria and therapeutic interventions to mitigate adverse outcomes in affected individuals.</p>","PeriodicalId":101328,"journal":{"name":"Journal of medical cases","volume":"15 8","pages":"171-179"},"PeriodicalIF":0.9000,"publicationDate":"2024-08-01","publicationTypes":"Journal Article","fieldsOfStudy":null,"isOpenAccess":false,"openAccessPdf":"https://www.ncbi.nlm.nih.gov/pmc/articles/PMC11287909/pdf/","citationCount":"0","resultStr":"{\"title\":\"Peripartum Cardiomyopathy: A Case Report of Mortality From a Rare and Potentially Fatal Condition.\",\"authors\":\"Diana Marcela Perea Rojas, Christian David Seni Hernandez, Indiana Luz Rojas Torres, Marianela Olivares Olmos, Camila Maria Garcia Jarava, Dario Jose Gaivao Arciniegas, Sebastian Andre Seni Hernandez, Luis Miguel Corrales Calderon, Luis Enrique Perea Vasquez, Silvia Salva Camano\",\"doi\":\"10.14740/jmc4228\",\"DOIUrl\":null,\"url\":null,\"abstract\":\"<p><p>Peripartum cardiomyopathy (PPCM) poses a significant challenge in maternal health, characterized by heart failure with reduced ejection fraction during late pregnancy or early postpartum. Despite advances in understanding PPCM, it remains life-threatening with substantial maternal morbidity and mortality. This article reviews the epidemiology, etiology, diagnostic challenges, management strategies, and outcomes associated with PPCM. A case report of a 29-year-old woman with PPCM is presented, emphasizing the importance of early recognition and tailored management. The patient's presentation was marked by atypical symptoms, including dysuria, lumbar pain, persistent fever, and oral intake intolerance. Despite aggressive medical intervention, the patient experienced a tragic outcome, succumbing to cardiopulmonary arrest within 48 h of admission. This case underscores the challenges in diagnosing and managing PPCM, particularly when presenting with nonspecific symptoms and emphasizes the urgent need for improved diagnostic criteria and therapeutic interventions to mitigate adverse outcomes in affected individuals.</p>\",\"PeriodicalId\":101328,\"journal\":{\"name\":\"Journal of medical cases\",\"volume\":\"15 8\",\"pages\":\"171-179\"},\"PeriodicalIF\":0.9000,\"publicationDate\":\"2024-08-01\",\"publicationTypes\":\"Journal Article\",\"fieldsOfStudy\":null,\"isOpenAccess\":false,\"openAccessPdf\":\"https://www.ncbi.nlm.nih.gov/pmc/articles/PMC11287909/pdf/\",\"citationCount\":\"0\",\"resultStr\":null,\"platform\":\"Semanticscholar\",\"paperid\":null,\"PeriodicalName\":\"Journal of medical cases\",\"FirstCategoryId\":\"1085\",\"ListUrlMain\":\"https://doi.org/10.14740/jmc4228\",\"RegionNum\":0,\"RegionCategory\":null,\"ArticlePicture\":[],\"TitleCN\":null,\"AbstractTextCN\":null,\"PMCID\":null,\"EPubDate\":\"2024/7/18 0:00:00\",\"PubModel\":\"Epub\",\"JCR\":\"\",\"JCRName\":\"\",\"Score\":null,\"Total\":0}","platform":"Semanticscholar","paperid":null,"PeriodicalName":"Journal of medical cases","FirstCategoryId":"1085","ListUrlMain":"https://doi.org/10.14740/jmc4228","RegionNum":0,"RegionCategory":null,"ArticlePicture":[],"TitleCN":null,"AbstractTextCN":null,"PMCID":null,"EPubDate":"2024/7/18 0:00:00","PubModel":"Epub","JCR":"","JCRName":"","Score":null,"Total":0}
引用次数: 0

摘要

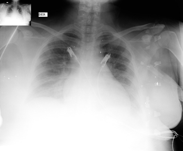
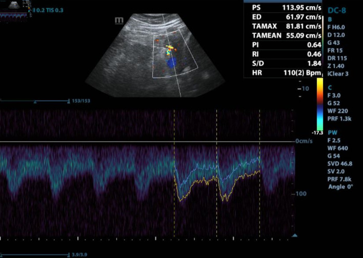
围产期心肌病(PPCM)是孕产妇健康的重大挑战,其特点是在妊娠晚期或产后早期出现射血分数降低的心力衰竭。尽管人们对 PPCM 的认识有所进步,但它仍然威胁着产妇的生命,并导致大量产妇发病和死亡。本文回顾了与 PPCM 相关的流行病学、病因学、诊断难题、管理策略和结果。本文报告了一名 29 岁女性 PPCM 患者的病例,强调了早期识别和针对性治疗的重要性。患者发病时症状不典型,包括排尿困难、腰痛、持续发热和口服不耐受。尽管进行了积极的医疗干预,但患者还是在入院后 48 小时内因心肺骤停而不幸去世。本病例凸显了诊断和管理 PPCM 所面临的挑战,尤其是在出现非特异性症状时,并强调迫切需要改进诊断标准和治疗干预措施,以减轻患者的不良后果。
本文章由计算机程序翻译,如有差异,请以英文原文为准。

Peripartum Cardiomyopathy: A Case Report of Mortality From a Rare and Potentially Fatal Condition.

Peripartum Cardiomyopathy: A Case Report of Mortality From a Rare and Potentially Fatal Condition.

Peripartum Cardiomyopathy: A Case Report of Mortality From a Rare and Potentially Fatal Condition.

Peripartum Cardiomyopathy: A Case Report of Mortality From a Rare and Potentially Fatal Condition.

Peripartum cardiomyopathy (PPCM) poses a significant challenge in maternal health, characterized by heart failure with reduced ejection fraction during late pregnancy or early postpartum. Despite advances in understanding PPCM, it remains life-threatening with substantial maternal morbidity and mortality. This article reviews the epidemiology, etiology, diagnostic challenges, management strategies, and outcomes associated with PPCM. A case report of a 29-year-old woman with PPCM is presented, emphasizing the importance of early recognition and tailored management. The patient's presentation was marked by atypical symptoms, including dysuria, lumbar pain, persistent fever, and oral intake intolerance. Despite aggressive medical intervention, the patient experienced a tragic outcome, succumbing to cardiopulmonary arrest within 48 h of admission. This case underscores the challenges in diagnosing and managing PPCM, particularly when presenting with nonspecific symptoms and emphasizes the urgent need for improved diagnostic criteria and therapeutic interventions to mitigate adverse outcomes in affected individuals.

求助全文
通过发布文献求助,成功后即可免费获取论文全文。 去求助
来源期刊
CiteScore
1.10
自引率
0.00%
发文量
0
×
引用
GB/T 7714-2015
复制
MLA
复制
APA
复制
导出至
BibTeX EndNote RefMan NoteFirst NoteExpress
×
提示
您的信息不完整,为了账户安全,请先补充。
现在去补充
×
提示
您因"违规操作"
具体请查看互助需知
我知道了
×
提示
确定
请完成安全验证×
copy
已复制链接
快去分享给好友吧!
我知道了
右上角分享
点击右上角分享
0
联系我们:info@booksci.cn Book学术提供免费学术资源搜索服务,方便国内外学者检索中英文文献。致力于提供最便捷和优质的服务体验。 Copyright © 2023 布克学术 All rights reserved.
京ICP备2023020795号-1
ghs 京公网安备 11010802042870号
Book学术文献互助
Book学术文献互助群
群 号:604180095
Book学术官方微信