肥厚型心肌病的现代视角--不能一刀切。

IF 0.9 4区 医学
Brett Doliner, Hadeel Gaddar, Ramsey Kalil, Alexander Postalian
{"title":"肥厚型心肌病的现代视角--不能一刀切。","authors":"Brett Doliner, Hadeel Gaddar, Ramsey Kalil, Alexander Postalian","doi":"10.14503/THIJ-24-8423","DOIUrl":null,"url":null,"abstract":"<p><p>Despite substantial advances in the management of hypertrophic cardiomyopathy, advanced heart failure remains a major cause of morbidity in this patient population. This narrative review presents the case of a patient with hypertrophic obstructive cardiomyopathy who underwent alcohol septal ablation to frame a discussion of modern therapies for hypertrophic cardiomyopathy. The current treatment landscape includes medications, both old and new, and surgical and procedural interventions to relieve mechanical obstruction. Several promising new modalities for relieving obstruction are in the nascent stages of development.</p>","PeriodicalId":48680,"journal":{"name":"Texas Heart Institute Journal","volume":"51 2","pages":""},"PeriodicalIF":0.9000,"publicationDate":"2024-08-01","publicationTypes":"Journal Article","fieldsOfStudy":null,"isOpenAccess":false,"openAccessPdf":"https://www.ncbi.nlm.nih.gov/pmc/articles/PMC11292115/pdf/","citationCount":"0","resultStr":"{\"title\":\"Modern Perspectives on Hypertrophic Cardiomyopathy-No One Size Fits All.\",\"authors\":\"Brett Doliner, Hadeel Gaddar, Ramsey Kalil, Alexander Postalian\",\"doi\":\"10.14503/THIJ-24-8423\",\"DOIUrl\":null,\"url\":null,\"abstract\":\"<p><p>Despite substantial advances in the management of hypertrophic cardiomyopathy, advanced heart failure remains a major cause of morbidity in this patient population. This narrative review presents the case of a patient with hypertrophic obstructive cardiomyopathy who underwent alcohol septal ablation to frame a discussion of modern therapies for hypertrophic cardiomyopathy. The current treatment landscape includes medications, both old and new, and surgical and procedural interventions to relieve mechanical obstruction. Several promising new modalities for relieving obstruction are in the nascent stages of development.</p>\",\"PeriodicalId\":48680,\"journal\":{\"name\":\"Texas Heart Institute Journal\",\"volume\":\"51 2\",\"pages\":\"\"},\"PeriodicalIF\":0.9000,\"publicationDate\":\"2024-08-01\",\"publicationTypes\":\"Journal Article\",\"fieldsOfStudy\":null,\"isOpenAccess\":false,\"openAccessPdf\":\"https://www.ncbi.nlm.nih.gov/pmc/articles/PMC11292115/pdf/\",\"citationCount\":\"0\",\"resultStr\":null,\"platform\":\"Semanticscholar\",\"paperid\":null,\"PeriodicalName\":\"Texas Heart Institute Journal\",\"FirstCategoryId\":\"3\",\"ListUrlMain\":\"https://doi.org/10.14503/THIJ-24-8423\",\"RegionNum\":4,\"RegionCategory\":\"医学\",\"ArticlePicture\":[],\"TitleCN\":null,\"AbstractTextCN\":null,\"PMCID\":null,\"EPubDate\":\"\",\"PubModel\":\"\",\"JCR\":\"\",\"JCRName\":\"\",\"Score\":null,\"Total\":0}","platform":"Semanticscholar","paperid":null,"PeriodicalName":"Texas Heart Institute Journal","FirstCategoryId":"3","ListUrlMain":"https://doi.org/10.14503/THIJ-24-8423","RegionNum":4,"RegionCategory":"医学","ArticlePicture":[],"TitleCN":null,"AbstractTextCN":null,"PMCID":null,"EPubDate":"","PubModel":"","JCR":"","JCRName":"","Score":null,"Total":0}
引用次数: 0

摘要

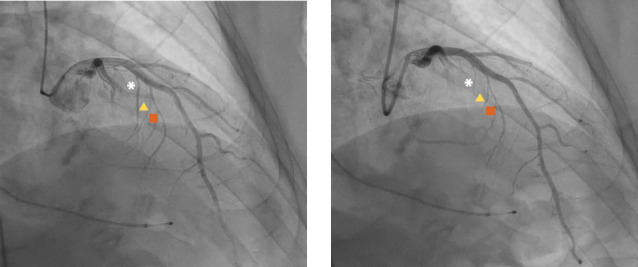
尽管肥厚型心肌病的治疗取得了长足的进步,但晚期心力衰竭仍然是导致这类患者发病的主要原因。这篇叙事性综述介绍了一名接受酒精房间隔消融术的肥厚型梗阻性心肌病患者的病例,并以此为框架讨论肥厚型心肌病的现代疗法。目前的治疗方法包括新旧药物、外科手术和程序干预,以缓解机械性梗阻。目前有几种很有前景的缓解梗阻的新方法正处于研发初期。
本文章由计算机程序翻译,如有差异,请以英文原文为准。

Modern Perspectives on Hypertrophic Cardiomyopathy-No One Size Fits All.

Modern Perspectives on Hypertrophic Cardiomyopathy-No One Size Fits All.

Modern Perspectives on Hypertrophic Cardiomyopathy-No One Size Fits All.

Modern Perspectives on Hypertrophic Cardiomyopathy-No One Size Fits All.

Despite substantial advances in the management of hypertrophic cardiomyopathy, advanced heart failure remains a major cause of morbidity in this patient population. This narrative review presents the case of a patient with hypertrophic obstructive cardiomyopathy who underwent alcohol septal ablation to frame a discussion of modern therapies for hypertrophic cardiomyopathy. The current treatment landscape includes medications, both old and new, and surgical and procedural interventions to relieve mechanical obstruction. Several promising new modalities for relieving obstruction are in the nascent stages of development.

求助全文
通过发布文献求助,成功后即可免费获取论文全文。 去求助
来源期刊
Texas Heart Institute Journal
Texas Heart Institute Journal CARDIAC & CARDIOVASCULAR SYSTEMS-
自引率
11.10%
发文量
131
期刊介绍: For more than 45 years, the Texas Heart Institute Journal has been published by the Texas Heart Institute as part of its medical education program. Our bimonthly peer-reviewed journal enjoys a global audience of physicians, scientists, and healthcare professionals who are contributing to the prevention, diagnosis, and treatment of cardiovascular disease. The Journal was printed under the name of Cardiovascular Diseases from 1974 through 1981 (ISSN 0093-3546). The name was changed to Texas Heart Institute Journal in 1982 and was printed through 2013 (ISSN 0730-2347). In 2014, the Journal moved to online-only publication. It is indexed by Index Medicus/MEDLINE and by other indexing and abstracting services worldwide. Our full archive is available at PubMed Central. The Journal invites authors to submit these article types for review: -Clinical Investigations- Laboratory Investigations- Reviews- Techniques- Coronary Anomalies- History of Medicine- Case Reports/Case Series (Submission Fee: $70.00 USD)- Images in Cardiovascular Medicine (Submission Fee: $35.00 USD)- Guest Editorials- Peabody’s Corner- Letters to the Editor
×
引用
GB/T 7714-2015
复制
MLA
复制
APA
复制
导出至
BibTeX EndNote RefMan NoteFirst NoteExpress
×
提示
您的信息不完整,为了账户安全,请先补充。
现在去补充
×
提示
您因"违规操作"
具体请查看互助需知
我知道了
×
提示
确定
请完成安全验证×
copy
已复制链接
快去分享给好友吧!
我知道了
右上角分享
点击右上角分享
0
联系我们:info@booksci.cn Book学术提供免费学术资源搜索服务,方便国内外学者检索中英文文献。致力于提供最便捷和优质的服务体验。 Copyright © 2023 布克学术 All rights reserved.
京ICP备2023020795号-1
ghs 京公网安备 11010802042870号
Book学术文献互助
Book学术文献互助群
群 号:604180095
Book学术官方微信