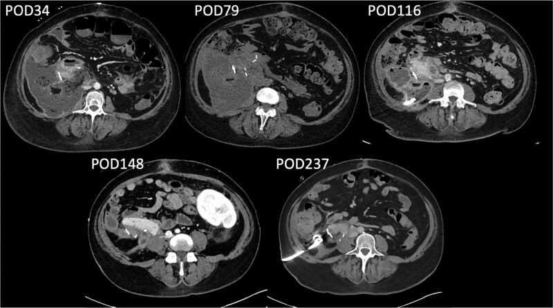
视频辅助腹膜后清创术治疗移植性胰腺炎。

IF 1.9 Q3 TRANSPLANTATION
Transplantation Direct Pub Date : 2024-07-26 eCollection Date: 2024-08-01 DOI:10.1097/TXD.0000000000001682
Brian I Shaw, Michela M Fabricius, Christopher L Nauser, Sabino Zani, Stuart J Knechtle
{"title":"视频辅助腹膜后清创术治疗移植性胰腺炎。","authors":"Brian I Shaw, Michela M Fabricius, Christopher L Nauser, Sabino Zani, Stuart J Knechtle","doi":"10.1097/TXD.0000000000001682","DOIUrl":null,"url":null,"abstract":"","PeriodicalId":23225,"journal":{"name":"Transplantation Direct","volume":"10 8","pages":"e1682"},"PeriodicalIF":1.9000,"publicationDate":"2024-07-26","publicationTypes":"Journal Article","fieldsOfStudy":null,"isOpenAccess":false,"openAccessPdf":"https://www.ncbi.nlm.nih.gov/pmc/articles/PMC11286245/pdf/","citationCount":"0","resultStr":"{\"title\":\"Video-assisted Retroperitoneal Debridement for Graft Pancreatitis.\",\"authors\":\"Brian I Shaw, Michela M Fabricius, Christopher L Nauser, Sabino Zani, Stuart J Knechtle\",\"doi\":\"10.1097/TXD.0000000000001682\",\"DOIUrl\":null,\"url\":null,\"abstract\":\"\",\"PeriodicalId\":23225,\"journal\":{\"name\":\"Transplantation Direct\",\"volume\":\"10 8\",\"pages\":\"e1682\"},\"PeriodicalIF\":1.9000,\"publicationDate\":\"2024-07-26\",\"publicationTypes\":\"Journal Article\",\"fieldsOfStudy\":null,\"isOpenAccess\":false,\"openAccessPdf\":\"https://www.ncbi.nlm.nih.gov/pmc/articles/PMC11286245/pdf/\",\"citationCount\":\"0\",\"resultStr\":null,\"platform\":\"Semanticscholar\",\"paperid\":null,\"PeriodicalName\":\"Transplantation Direct\",\"FirstCategoryId\":\"1085\",\"ListUrlMain\":\"https://doi.org/10.1097/TXD.0000000000001682\",\"RegionNum\":0,\"RegionCategory\":null,\"ArticlePicture\":[],\"TitleCN\":null,\"AbstractTextCN\":null,\"PMCID\":null,\"EPubDate\":\"2024/8/1 0:00:00\",\"PubModel\":\"eCollection\",\"JCR\":\"Q3\",\"JCRName\":\"TRANSPLANTATION\",\"Score\":null,\"Total\":0}","platform":"Semanticscholar","paperid":null,"PeriodicalName":"Transplantation Direct","FirstCategoryId":"1085","ListUrlMain":"https://doi.org/10.1097/TXD.0000000000001682","RegionNum":0,"RegionCategory":null,"ArticlePicture":[],"TitleCN":null,"AbstractTextCN":null,"PMCID":null,"EPubDate":"2024/8/1 0:00:00","PubModel":"eCollection","JCR":"Q3","JCRName":"TRANSPLANTATION","Score":null,"Total":0}
引用次数: 0

摘要

本文章由计算机程序翻译,如有差异,请以英文原文为准。

Video-assisted Retroperitoneal Debridement for Graft Pancreatitis.

Video-assisted Retroperitoneal Debridement for Graft Pancreatitis.

Video-assisted Retroperitoneal Debridement for Graft Pancreatitis.
求助全文
通过发布文献求助,成功后即可免费获取论文全文。 去求助
来源期刊
Transplantation Direct
Transplantation Direct TRANSPLANTATION-
CiteScore
3.40
自引率
4.30%
发文量
193
审稿时长
8 weeks
×
引用
GB/T 7714-2015
复制
MLA
复制
APA
复制
导出至
BibTeX EndNote RefMan NoteFirst NoteExpress
×
提示
您的信息不完整,为了账户安全,请先补充。
现在去补充
×
提示
您因"违规操作"
具体请查看互助需知
我知道了
×
提示
确定
请完成安全验证×
copy
已复制链接
快去分享给好友吧!
我知道了
右上角分享
点击右上角分享
0
联系我们:info@booksci.cn Book学术提供免费学术资源搜索服务,方便国内外学者检索中英文文献。致力于提供最便捷和优质的服务体验。 Copyright © 2023 布克学术 All rights reserved.
京ICP备2023020795号-1
ghs 京公网安备 11010802042870号
Book学术文献互助
Book学术文献互助群
群 号:604180095
Book学术官方微信