会厌与喉腔后壁粘连患者的低估气道插管 - 病例报告。

IF 3.2
Anesthesia and pain medicine Pub Date : 2024-07-01 Epub Date: 2024-07-23 DOI:10.17085/apm.23151
Gayoung Jin, Sukyoung Lee, Jungchan Park
{"title":"会厌与喉腔后壁粘连患者的低估气道插管 - 病例报告。","authors":"Gayoung Jin, Sukyoung Lee, Jungchan Park","doi":"10.17085/apm.23151","DOIUrl":null,"url":null,"abstract":"<p><strong>Background: </strong>Epiglottis abnormality is rare condition and can lead embarrassing intubation to anesthesiologists. Here, we reported a case of successful management in a patient with unexpected hidden vocal cords due to epiglottis adhesion to the posterior wall of the laryngeal cavity.</p><p><strong>Case: </strong>A 60-year-old female with no underlying disease was scheduled for general anesthesia to undergo a left-cochlear implant operation. After the induction procedure (including intravenous injection of rocuronium), an epiglottic adhesion to the posterior wall of the laryngeal cavity and invisible vocal cords were confirmed. Although the first trial of intubation failed, the patient's airway was successfully managed using a technique that combined a video-styletscope (Markstein Sichtec Medical Co., 5.0 mm ID) with a video-laryngoscope (Insighters ®, Cedrus Medical).</p><p><strong>Conclusions: </strong>Anesthesiologists may unexpectedly encounter asymptomatic abnormal airways with unknown causes. In such a situation, it is essential to establish a strategy and to select appropriate device according to patient circumstances.</p>","PeriodicalId":101360,"journal":{"name":"Anesthesia and pain medicine","volume":" ","pages":"256-260"},"PeriodicalIF":3.2000,"publicationDate":"2024-07-01","publicationTypes":"Journal Article","fieldsOfStudy":null,"isOpenAccess":false,"openAccessPdf":"https://www.ncbi.nlm.nih.gov/pmc/articles/PMC11317312/pdf/","citationCount":"0","resultStr":"{\"title\":\"Intubation of underestimated airway in a patient with epiglottis adhesion to the posterior wall of the laryngeal cavity -A case report.\",\"authors\":\"Gayoung Jin, Sukyoung Lee, Jungchan Park\",\"doi\":\"10.17085/apm.23151\",\"DOIUrl\":null,\"url\":null,\"abstract\":\"<p><strong>Background: </strong>Epiglottis abnormality is rare condition and can lead embarrassing intubation to anesthesiologists. Here, we reported a case of successful management in a patient with unexpected hidden vocal cords due to epiglottis adhesion to the posterior wall of the laryngeal cavity.</p><p><strong>Case: </strong>A 60-year-old female with no underlying disease was scheduled for general anesthesia to undergo a left-cochlear implant operation. After the induction procedure (including intravenous injection of rocuronium), an epiglottic adhesion to the posterior wall of the laryngeal cavity and invisible vocal cords were confirmed. Although the first trial of intubation failed, the patient's airway was successfully managed using a technique that combined a video-styletscope (Markstein Sichtec Medical Co., 5.0 mm ID) with a video-laryngoscope (Insighters ®, Cedrus Medical).</p><p><strong>Conclusions: </strong>Anesthesiologists may unexpectedly encounter asymptomatic abnormal airways with unknown causes. In such a situation, it is essential to establish a strategy and to select appropriate device according to patient circumstances.</p>\",\"PeriodicalId\":101360,\"journal\":{\"name\":\"Anesthesia and pain medicine\",\"volume\":\" \",\"pages\":\"256-260\"},\"PeriodicalIF\":3.2000,\"publicationDate\":\"2024-07-01\",\"publicationTypes\":\"Journal Article\",\"fieldsOfStudy\":null,\"isOpenAccess\":false,\"openAccessPdf\":\"https://www.ncbi.nlm.nih.gov/pmc/articles/PMC11317312/pdf/\",\"citationCount\":\"0\",\"resultStr\":null,\"platform\":\"Semanticscholar\",\"paperid\":null,\"PeriodicalName\":\"Anesthesia and pain medicine\",\"FirstCategoryId\":\"1085\",\"ListUrlMain\":\"https://doi.org/10.17085/apm.23151\",\"RegionNum\":0,\"RegionCategory\":null,\"ArticlePicture\":[],\"TitleCN\":null,\"AbstractTextCN\":null,\"PMCID\":null,\"EPubDate\":\"2024/7/23 0:00:00\",\"PubModel\":\"Epub\",\"JCR\":\"\",\"JCRName\":\"\",\"Score\":null,\"Total\":0}","platform":"Semanticscholar","paperid":null,"PeriodicalName":"Anesthesia and pain medicine","FirstCategoryId":"1085","ListUrlMain":"https://doi.org/10.17085/apm.23151","RegionNum":0,"RegionCategory":null,"ArticlePicture":[],"TitleCN":null,"AbstractTextCN":null,"PMCID":null,"EPubDate":"2024/7/23 0:00:00","PubModel":"Epub","JCR":"","JCRName":"","Score":null,"Total":0}
引用次数: 0

摘要

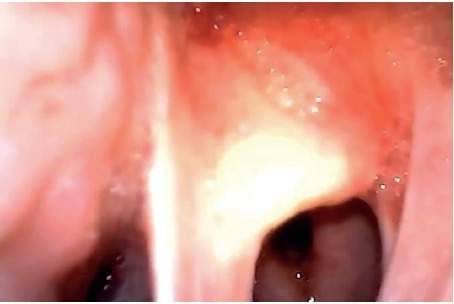
背景:会厌异常是一种罕见情况,可能会导致麻醉医生尴尬地插管。在此,我们报告了一例使用视频喉镜和视频喉镜成功处理会厌与喉腔后壁粘连导致声带意外隐藏的患者的病例:一名 60 岁的女性,无基础疾病或上气道手术史,计划接受全身麻醉,以进行左侧人工耳蜗植入手术。诱导过程(包括静脉注射罗库溴铵)结束后,证实会厌与喉腔后壁粘连,声带看不见。虽然第一次插管失败,但使用视频喉镜(Markstein Sichtec Medical Co:结论:麻醉医师可能会意外遇到原因不明的无症状异常气道。在这种情况下,必须制定气道管理策略,并根据患者情况选择合适的设备。
本文章由计算机程序翻译,如有差异,请以英文原文为准。

Intubation of underestimated airway in a patient with epiglottis adhesion to the posterior wall of the laryngeal cavity -A case report.

Intubation of underestimated airway in a patient with epiglottis adhesion to the posterior wall of the laryngeal cavity -A case report.

Intubation of underestimated airway in a patient with epiglottis adhesion to the posterior wall of the laryngeal cavity -A case report.

Intubation of underestimated airway in a patient with epiglottis adhesion to the posterior wall of the laryngeal cavity -A case report.

Background: Epiglottis abnormality is rare condition and can lead embarrassing intubation to anesthesiologists. Here, we reported a case of successful management in a patient with unexpected hidden vocal cords due to epiglottis adhesion to the posterior wall of the laryngeal cavity.

Case: A 60-year-old female with no underlying disease was scheduled for general anesthesia to undergo a left-cochlear implant operation. After the induction procedure (including intravenous injection of rocuronium), an epiglottic adhesion to the posterior wall of the laryngeal cavity and invisible vocal cords were confirmed. Although the first trial of intubation failed, the patient's airway was successfully managed using a technique that combined a video-styletscope (Markstein Sichtec Medical Co., 5.0 mm ID) with a video-laryngoscope (Insighters ®, Cedrus Medical).

Conclusions: Anesthesiologists may unexpectedly encounter asymptomatic abnormal airways with unknown causes. In such a situation, it is essential to establish a strategy and to select appropriate device according to patient circumstances.

求助全文
通过发布文献求助,成功后即可免费获取论文全文。 去求助
来源期刊
CiteScore
2.30
自引率
0.00%
发文量
0
×
引用
GB/T 7714-2015
复制
MLA
复制
APA
复制
导出至
BibTeX EndNote RefMan NoteFirst NoteExpress
×
提示
您的信息不完整,为了账户安全,请先补充。
现在去补充
×
提示
您因"违规操作"
具体请查看互助需知
我知道了
×
提示
确定
请完成安全验证×
copy
已复制链接
快去分享给好友吧!
我知道了
右上角分享
点击右上角分享
0
联系我们:info@booksci.cn Book学术提供免费学术资源搜索服务,方便国内外学者检索中英文文献。致力于提供最便捷和优质的服务体验。 Copyright © 2023 布克学术 All rights reserved.
京ICP备2023020795号-1
ghs 京公网安备 11010802042870号
Book学术文献互助
Book学术文献互助群
群 号:604180095
Book学术官方微信