高强度聚焦超声治疗后的腹壁疝:三个病例报告。

IF 1.5 Q3 SURGERY
Archives of Plastic Surgery-APS Pub Date : 2024-07-18 eCollection Date: 2024-07-01 DOI:10.1055/a-2268-6986
Woo Yeon Han, Yeongsong Kim, Pyeong Hwa Kim, Eun Key Kim
{"title":"高强度聚焦超声治疗后的腹壁疝:三个病例报告。","authors":"Woo Yeon Han, Yeongsong Kim, Pyeong Hwa Kim, Eun Key Kim","doi":"10.1055/a-2268-6986","DOIUrl":null,"url":null,"abstract":"<p><p>Although many studies reported the safety and efficacy of high-intensity focused ultrasound (HIFU) therapy, there are still worries about internal organ injury. However, reports of abdominal wall hernias after HIFU therapy are rare. We present three cases of abdominal wall hernias without skin injury after HIFU therapy in uterine adenomyosis or fibroids. The diagnosis was often delayed because of vague symptoms, inadequate clinical suspicion, and delayed proper image studies. Abdominal wall hernia should be recognized as a possible complication after HIFU and be suspected when the patient presents with unordinary abdominal swelling and/or pain that lasts for more than a few months after the procedure.</p>","PeriodicalId":47543,"journal":{"name":"Archives of Plastic Surgery-APS","volume":"51 4","pages":"363-366"},"PeriodicalIF":1.5000,"publicationDate":"2024-07-18","publicationTypes":"Journal Article","fieldsOfStudy":null,"isOpenAccess":false,"openAccessPdf":"https://www.ncbi.nlm.nih.gov/pmc/articles/PMC11257745/pdf/","citationCount":"0","resultStr":"{\"title\":\"Abdominal Wall Hernias Following High-intensity Focused Ultrasound Therapy: Three Case Reports.\",\"authors\":\"Woo Yeon Han, Yeongsong Kim, Pyeong Hwa Kim, Eun Key Kim\",\"doi\":\"10.1055/a-2268-6986\",\"DOIUrl\":null,\"url\":null,\"abstract\":\"<p><p>Although many studies reported the safety and efficacy of high-intensity focused ultrasound (HIFU) therapy, there are still worries about internal organ injury. However, reports of abdominal wall hernias after HIFU therapy are rare. We present three cases of abdominal wall hernias without skin injury after HIFU therapy in uterine adenomyosis or fibroids. The diagnosis was often delayed because of vague symptoms, inadequate clinical suspicion, and delayed proper image studies. Abdominal wall hernia should be recognized as a possible complication after HIFU and be suspected when the patient presents with unordinary abdominal swelling and/or pain that lasts for more than a few months after the procedure.</p>\",\"PeriodicalId\":47543,\"journal\":{\"name\":\"Archives of Plastic Surgery-APS\",\"volume\":\"51 4\",\"pages\":\"363-366\"},\"PeriodicalIF\":1.5000,\"publicationDate\":\"2024-07-18\",\"publicationTypes\":\"Journal Article\",\"fieldsOfStudy\":null,\"isOpenAccess\":false,\"openAccessPdf\":\"https://www.ncbi.nlm.nih.gov/pmc/articles/PMC11257745/pdf/\",\"citationCount\":\"0\",\"resultStr\":null,\"platform\":\"Semanticscholar\",\"paperid\":null,\"PeriodicalName\":\"Archives of Plastic Surgery-APS\",\"FirstCategoryId\":\"1085\",\"ListUrlMain\":\"https://doi.org/10.1055/a-2268-6986\",\"RegionNum\":0,\"RegionCategory\":null,\"ArticlePicture\":[],\"TitleCN\":null,\"AbstractTextCN\":null,\"PMCID\":null,\"EPubDate\":\"2024/7/1 0:00:00\",\"PubModel\":\"eCollection\",\"JCR\":\"Q3\",\"JCRName\":\"SURGERY\",\"Score\":null,\"Total\":0}","platform":"Semanticscholar","paperid":null,"PeriodicalName":"Archives of Plastic Surgery-APS","FirstCategoryId":"1085","ListUrlMain":"https://doi.org/10.1055/a-2268-6986","RegionNum":0,"RegionCategory":null,"ArticlePicture":[],"TitleCN":null,"AbstractTextCN":null,"PMCID":null,"EPubDate":"2024/7/1 0:00:00","PubModel":"eCollection","JCR":"Q3","JCRName":"SURGERY","Score":null,"Total":0}
引用次数: 0

摘要

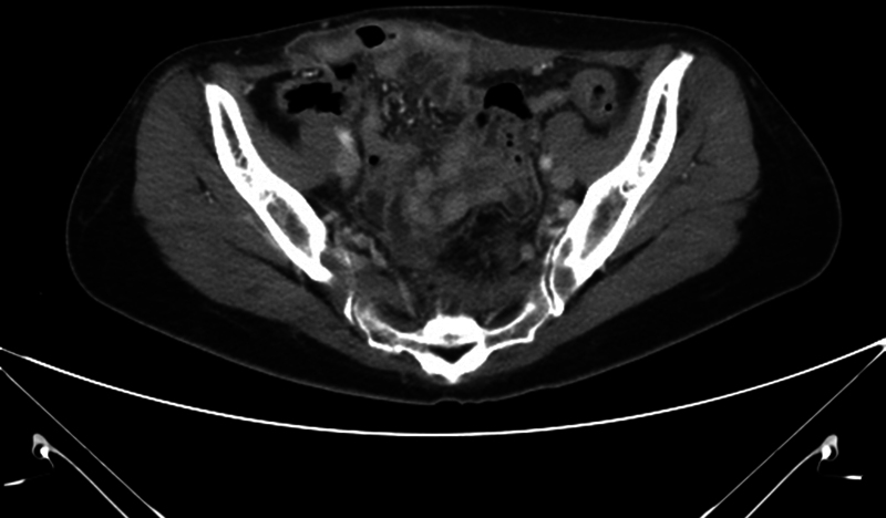
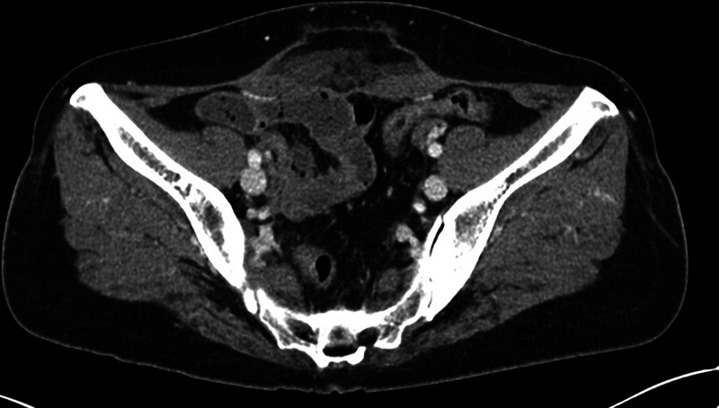
尽管许多研究报告了高强度聚焦超声(HIFU)疗法的安全性和有效性,但人们仍然担心内脏损伤。然而,关于 HIFU 治疗后腹壁疝的报道却很少见。我们报告了三例子宫腺肌症或子宫肌瘤患者在接受 HIFU 治疗后出现腹壁疝但无皮肤损伤的病例。由于症状模糊、临床怀疑不充分以及未及时进行适当的影像检查,诊断往往被延误。应将腹壁疝视为 HIFU 治疗后可能出现的并发症,当患者出现异常腹部肿胀和/或疼痛,且持续时间超过术后数月时,就应怀疑腹壁疝。
本文章由计算机程序翻译,如有差异,请以英文原文为准。

Abdominal Wall Hernias Following High-intensity Focused Ultrasound Therapy: Three Case Reports.

Abdominal Wall Hernias Following High-intensity Focused Ultrasound Therapy: Three Case Reports.

Abdominal Wall Hernias Following High-intensity Focused Ultrasound Therapy: Three Case Reports.

Abdominal Wall Hernias Following High-intensity Focused Ultrasound Therapy: Three Case Reports.

Although many studies reported the safety and efficacy of high-intensity focused ultrasound (HIFU) therapy, there are still worries about internal organ injury. However, reports of abdominal wall hernias after HIFU therapy are rare. We present three cases of abdominal wall hernias without skin injury after HIFU therapy in uterine adenomyosis or fibroids. The diagnosis was often delayed because of vague symptoms, inadequate clinical suspicion, and delayed proper image studies. Abdominal wall hernia should be recognized as a possible complication after HIFU and be suspected when the patient presents with unordinary abdominal swelling and/or pain that lasts for more than a few months after the procedure.

求助全文
通过发布文献求助,成功后即可免费获取论文全文。 去求助
来源期刊
CiteScore
2.10
自引率
6.70%
发文量
131
审稿时长
10 weeks
×
引用
GB/T 7714-2015
复制
MLA
复制
APA
复制
导出至
BibTeX EndNote RefMan NoteFirst NoteExpress
×
提示
您的信息不完整,为了账户安全,请先补充。
现在去补充
×
提示
您因"违规操作"
具体请查看互助需知
我知道了
×
提示
确定
请完成安全验证×
copy
已复制链接
快去分享给好友吧!
我知道了
右上角分享
点击右上角分享
0
联系我们:info@booksci.cn Book学术提供免费学术资源搜索服务,方便国内外学者检索中英文文献。致力于提供最便捷和优质的服务体验。 Copyright © 2023 布克学术 All rights reserved.
京ICP备2023020795号-1
ghs 京公网安备 11010802042870号
Book学术文献互助
Book学术文献互助群
群 号:604180095
Book学术官方微信