重组生产与白蛋白结合域融合的白细胞介素-1 受体拮抗剂,与人血清白蛋白具有潜在的亲和力。

IF 2.1 Q3 CHEMISTRY, MEDICINAL
Research in Pharmaceutical Sciences Pub Date : 2024-07-01 eCollection Date: 2024-06-01 DOI:10.4103/RPS.RPS_41_23
Fatemeh Shafiee, Ali Yazdani
{"title":"重组生产与白蛋白结合域融合的白细胞介素-1 受体拮抗剂,与人血清白蛋白具有潜在的亲和力。","authors":"Fatemeh Shafiee, Ali Yazdani","doi":"10.4103/RPS.RPS_41_23","DOIUrl":null,"url":null,"abstract":"<p><strong>Background and purpose: </strong>Anakinra must be injected daily due to its short half-life and this leads to lower patient compliance. Therefore, the aim of this study was to produce an interleukin-1 receptor antagonist (IL-1Ra) with albumin binding domain (ABD) as a novel fusion protein and evaluate its binding ability to albumin and its biological effects.</p><p><strong>Experimental approach: </strong>The three-dimensional structure of IL-1Ra-ABD was predicted by MODELLER software and its interaction with IL-1R was evaluated by the HADDOCK server. The expression of IL-1Ra-ABD was performed in <i>E. coli</i> in fusion with intein 1 of pTWIN1 in soluble form and then purified. The affinity of IL-1Ra-ABD to human serum albumin (HSA) was determined on native-PAGE, and its release percent toward time was evaluated. Moreover, an MTT assay was used to determine the antagonizing properties of recombinant IL-1Ra-ABD against IL-1β in A375 and HEK293 cell lines.</p><p><strong>Findings/results: </strong>The stable complex of IL-1Ra-ABD with IL-1R established the absence of steric hindrance due to the addition of ABD to IL-1Ra. The expression induction of intein 1-IL-1Ra-ABD using 0.1 mM IPTG at 15 °C, and its cleavage represented bands approximately in 50 and 23 kDa. Furthermore, about 78% of IL-1Ra-ABD was attached to the HSA after 2 h of incubation, and the MTT assay showed no significant differences between the effects of IL-1Ra-ABD and native IL-1Ra in cell survival.</p><p><strong>Conclusions and implications: </strong>The production of soluble IL-1Ra-ABD with no significant differences in IL-1Ra antagonizing effects was successfully performed. IL-1Ra-ABD showed suitable interaction with HSA and was released over time. However, the half-life of IL-1Ra-ABD <i>in vivo</i> must be determined in the subsequent investigations.</p>","PeriodicalId":21075,"journal":{"name":"Research in Pharmaceutical Sciences","volume":"19 3","pages":"356-365"},"PeriodicalIF":2.1000,"publicationDate":"2024-07-01","publicationTypes":"Journal Article","fieldsOfStudy":null,"isOpenAccess":false,"openAccessPdf":"https://www.ncbi.nlm.nih.gov/pmc/articles/PMC11257196/pdf/","citationCount":"0","resultStr":"{\"title\":\"Recombinant production of interleukin-1 receptor antagonist in fusion to albumin binding domain with potential affinity to human serum albumin.\",\"authors\":\"Fatemeh Shafiee, Ali Yazdani\",\"doi\":\"10.4103/RPS.RPS_41_23\",\"DOIUrl\":null,\"url\":null,\"abstract\":\"<p><strong>Background and purpose: </strong>Anakinra must be injected daily due to its short half-life and this leads to lower patient compliance. Therefore, the aim of this study was to produce an interleukin-1 receptor antagonist (IL-1Ra) with albumin binding domain (ABD) as a novel fusion protein and evaluate its binding ability to albumin and its biological effects.</p><p><strong>Experimental approach: </strong>The three-dimensional structure of IL-1Ra-ABD was predicted by MODELLER software and its interaction with IL-1R was evaluated by the HADDOCK server. The expression of IL-1Ra-ABD was performed in <i>E. coli</i> in fusion with intein 1 of pTWIN1 in soluble form and then purified. The affinity of IL-1Ra-ABD to human serum albumin (HSA) was determined on native-PAGE, and its release percent toward time was evaluated. Moreover, an MTT assay was used to determine the antagonizing properties of recombinant IL-1Ra-ABD against IL-1β in A375 and HEK293 cell lines.</p><p><strong>Findings/results: </strong>The stable complex of IL-1Ra-ABD with IL-1R established the absence of steric hindrance due to the addition of ABD to IL-1Ra. The expression induction of intein 1-IL-1Ra-ABD using 0.1 mM IPTG at 15 °C, and its cleavage represented bands approximately in 50 and 23 kDa. Furthermore, about 78% of IL-1Ra-ABD was attached to the HSA after 2 h of incubation, and the MTT assay showed no significant differences between the effects of IL-1Ra-ABD and native IL-1Ra in cell survival.</p><p><strong>Conclusions and implications: </strong>The production of soluble IL-1Ra-ABD with no significant differences in IL-1Ra antagonizing effects was successfully performed. IL-1Ra-ABD showed suitable interaction with HSA and was released over time. However, the half-life of IL-1Ra-ABD <i>in vivo</i> must be determined in the subsequent investigations.</p>\",\"PeriodicalId\":21075,\"journal\":{\"name\":\"Research in Pharmaceutical Sciences\",\"volume\":\"19 3\",\"pages\":\"356-365\"},\"PeriodicalIF\":2.1000,\"publicationDate\":\"2024-07-01\",\"publicationTypes\":\"Journal Article\",\"fieldsOfStudy\":null,\"isOpenAccess\":false,\"openAccessPdf\":\"https://www.ncbi.nlm.nih.gov/pmc/articles/PMC11257196/pdf/\",\"citationCount\":\"0\",\"resultStr\":null,\"platform\":\"Semanticscholar\",\"paperid\":null,\"PeriodicalName\":\"Research in Pharmaceutical Sciences\",\"FirstCategoryId\":\"1085\",\"ListUrlMain\":\"https://doi.org/10.4103/RPS.RPS_41_23\",\"RegionNum\":0,\"RegionCategory\":null,\"ArticlePicture\":[],\"TitleCN\":null,\"AbstractTextCN\":null,\"PMCID\":null,\"EPubDate\":\"2024/6/1 0:00:00\",\"PubModel\":\"eCollection\",\"JCR\":\"Q3\",\"JCRName\":\"CHEMISTRY, MEDICINAL\",\"Score\":null,\"Total\":0}","platform":"Semanticscholar","paperid":null,"PeriodicalName":"Research in Pharmaceutical Sciences","FirstCategoryId":"1085","ListUrlMain":"https://doi.org/10.4103/RPS.RPS_41_23","RegionNum":0,"RegionCategory":null,"ArticlePicture":[],"TitleCN":null,"AbstractTextCN":null,"PMCID":null,"EPubDate":"2024/6/1 0:00:00","PubModel":"eCollection","JCR":"Q3","JCRName":"CHEMISTRY, MEDICINAL","Score":null,"Total":0}
引用次数: 0

摘要

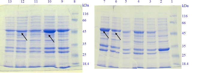
背景和目的:由于 Anakinra 的半衰期较短,必须每天注射,这导致患者的依从性较低。因此,本研究旨在制备一种白细胞介素-1受体拮抗剂(IL-1Ra)与白蛋白结合域(ABD)的新型融合蛋白,并评估其与白蛋白的结合能力及其生物效应:实验方法:用 MODELLER 软件预测了 IL-1Ra-ABD 的三维结构,并用 HADDOCK 服务器评估了它与 IL-1R 的相互作用。IL-1Ra-ABD在大肠杆菌中与pTWIN1的内含素1融合,以可溶性形式表达,然后纯化。通过原生聚合酶链式反应(native-PAGE)测定了IL-1Ra-ABD与人血清白蛋白(HSA)的亲和力,并评估了其释放时间百分比。此外,还利用 MTT 试验测定了重组 IL-1Ra-ABD 在 A375 和 HEK293 细胞系中对 IL-1β 的拮抗特性:IL-1Ra-ABD与IL-1R的稳定复合物确定了IL-1Ra与ABD之间不存在立体阻碍。在 15 °C 下使用 0.1 mM IPTG 诱导内切蛋白 1-IL-1Ra-ABD 的表达,其裂解代表了约 50 和 23 kDa 的条带。此外,培养 2 小时后,约 78% 的 IL-1Ra-ABD 附着在 HSA 上,MTT 试验显示 IL-1Ra-ABD 和原生 IL-1Ra 对细胞存活的影响无显著差异:成功制备了可溶性 IL-1Ra-ABD,其拮抗 IL-1Ra 的效果无显著差异。IL-1Ra-ABD 与 HSA 发生了适当的相互作用,并随着时间的推移而释放。然而,IL-1Ra-ABD 在体内的半衰期必须在后续研究中确定。
本文章由计算机程序翻译,如有差异,请以英文原文为准。

Recombinant production of interleukin-1 receptor antagonist in fusion to albumin binding domain with potential affinity to human serum albumin.

Recombinant production of interleukin-1 receptor antagonist in fusion to albumin binding domain with potential affinity to human serum albumin.

Recombinant production of interleukin-1 receptor antagonist in fusion to albumin binding domain with potential affinity to human serum albumin.

Recombinant production of interleukin-1 receptor antagonist in fusion to albumin binding domain with potential affinity to human serum albumin.

Background and purpose: Anakinra must be injected daily due to its short half-life and this leads to lower patient compliance. Therefore, the aim of this study was to produce an interleukin-1 receptor antagonist (IL-1Ra) with albumin binding domain (ABD) as a novel fusion protein and evaluate its binding ability to albumin and its biological effects.

Experimental approach: The three-dimensional structure of IL-1Ra-ABD was predicted by MODELLER software and its interaction with IL-1R was evaluated by the HADDOCK server. The expression of IL-1Ra-ABD was performed in E. coli in fusion with intein 1 of pTWIN1 in soluble form and then purified. The affinity of IL-1Ra-ABD to human serum albumin (HSA) was determined on native-PAGE, and its release percent toward time was evaluated. Moreover, an MTT assay was used to determine the antagonizing properties of recombinant IL-1Ra-ABD against IL-1β in A375 and HEK293 cell lines.

Findings/results: The stable complex of IL-1Ra-ABD with IL-1R established the absence of steric hindrance due to the addition of ABD to IL-1Ra. The expression induction of intein 1-IL-1Ra-ABD using 0.1 mM IPTG at 15 °C, and its cleavage represented bands approximately in 50 and 23 kDa. Furthermore, about 78% of IL-1Ra-ABD was attached to the HSA after 2 h of incubation, and the MTT assay showed no significant differences between the effects of IL-1Ra-ABD and native IL-1Ra in cell survival.

Conclusions and implications: The production of soluble IL-1Ra-ABD with no significant differences in IL-1Ra antagonizing effects was successfully performed. IL-1Ra-ABD showed suitable interaction with HSA and was released over time. However, the half-life of IL-1Ra-ABD in vivo must be determined in the subsequent investigations.

求助全文
通过发布文献求助,成功后即可免费获取论文全文。 去求助
来源期刊
Research in Pharmaceutical Sciences
Research in Pharmaceutical Sciences CHEMISTRY, MEDICINAL-
CiteScore
3.60
自引率
19.00%
发文量
50
审稿时长
34 weeks
期刊介绍: Research in Pharmaceutical Sciences (RPS) is included in Thomson Reuters ESCI Web of Science (searchable at WoS master journal list), indexed with PubMed and PubMed Central and abstracted in the Elsevier Bibliographic Databases. Databases include Scopus, EMBASE, EMCare, EMBiology and Elsevier BIOBASE. It is also indexed in several specialized databases including Scientific Information Database (SID), Google Scholar, Iran Medex, Magiran, Index Copernicus (IC) and Islamic World Science Citation Center (ISC).
×
引用
GB/T 7714-2015
复制
MLA
复制
APA
复制
导出至
BibTeX EndNote RefMan NoteFirst NoteExpress
×
提示
您的信息不完整,为了账户安全,请先补充。
现在去补充
×
提示
您因"违规操作"
具体请查看互助需知
我知道了
×
提示
确定
请完成安全验证×
copy
已复制链接
快去分享给好友吧!
我知道了
右上角分享
点击右上角分享
0
联系我们:info@booksci.cn Book学术提供免费学术资源搜索服务,方便国内外学者检索中英文文献。致力于提供最便捷和优质的服务体验。 Copyright © 2023 布克学术 All rights reserved.
京ICP备2023020795号-1
ghs 京公网安备 11010802042870号
Book学术文献互助
Book学术文献互助群
群 号:604180095
Book学术官方微信