模仿科赫氏病的无并发症肠炎结肠镜检查结果。

Anushka Verma, Amol S Dahale, Prashant Gopal, Suruchi Mandrekar, Reshu Aggrawal, Nanda Kachare
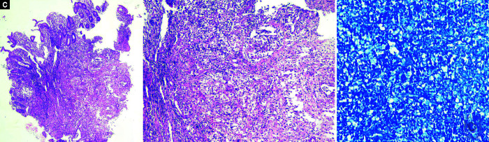
{"title":"模仿科赫氏病的无并发症肠炎结肠镜检查结果。","authors":"Anushka Verma, Amol S Dahale, Prashant Gopal, Suruchi Mandrekar, Reshu Aggrawal, Nanda Kachare","doi":"10.5005/jp-journals-10018-1417","DOIUrl":null,"url":null,"abstract":"<p><p>Enteric fever is a common occurrence in Southeast Asia with a myriad of presentations. Partial treatment often leads to prolonged illness. Along with this, bowel imaging often confounds the picture with tuberculosis. Colonoscopy and biopsy may help to differentiate from tuberculosis. The data on colonoscopy is scarce in enteric fever and is mostly available from case reports of gastrointestinal (GI) bleeding. We have described three cases of enteric fever with GI involvement mimicking tuberculosis. The colonoscopy picture is characteristic of pinkish-bluish ileal mucosa, with edema and decreased distensibility, along with multiple superficial ulcers. The ileocecal valve was involved in all three cases. The ascending colon was involved in two cases. There was complete resolution of lesions after treatment on follow-up.</p><p><strong>How to cite this article: </strong>Verma A, Dahale AS, Gopal P, <i>et al.</i> Colonoscopy Findings of Uncomplicated Enteric Fever Mimicking Koch's Disease. Euroasian J Hepato-Gastroenterol 2024;14(1):120-123.</p>","PeriodicalId":516317,"journal":{"name":"Euroasian journal of hepato-gastroenterology","volume":"14 1","pages":"120-123"},"PeriodicalIF":0.0000,"publicationDate":"2024-01-01","publicationTypes":"Journal Article","fieldsOfStudy":null,"isOpenAccess":false,"openAccessPdf":"https://www.ncbi.nlm.nih.gov/pmc/articles/PMC11249904/pdf/","citationCount":"0","resultStr":"{\"title\":\"Colonoscopy Findings of Uncomplicated Enteric Fever Mimicking Koch's Disease.\",\"authors\":\"Anushka Verma, Amol S Dahale, Prashant Gopal, Suruchi Mandrekar, Reshu Aggrawal, Nanda Kachare\",\"doi\":\"10.5005/jp-journals-10018-1417\",\"DOIUrl\":null,\"url\":null,\"abstract\":\"<p><p>Enteric fever is a common occurrence in Southeast Asia with a myriad of presentations. Partial treatment often leads to prolonged illness. Along with this, bowel imaging often confounds the picture with tuberculosis. Colonoscopy and biopsy may help to differentiate from tuberculosis. The data on colonoscopy is scarce in enteric fever and is mostly available from case reports of gastrointestinal (GI) bleeding. We have described three cases of enteric fever with GI involvement mimicking tuberculosis. The colonoscopy picture is characteristic of pinkish-bluish ileal mucosa, with edema and decreased distensibility, along with multiple superficial ulcers. The ileocecal valve was involved in all three cases. The ascending colon was involved in two cases. There was complete resolution of lesions after treatment on follow-up.</p><p><strong>How to cite this article: </strong>Verma A, Dahale AS, Gopal P, <i>et al.</i> Colonoscopy Findings of Uncomplicated Enteric Fever Mimicking Koch's Disease. Euroasian J Hepato-Gastroenterol 2024;14(1):120-123.</p>\",\"PeriodicalId\":516317,\"journal\":{\"name\":\"Euroasian journal of hepato-gastroenterology\",\"volume\":\"14 1\",\"pages\":\"120-123\"},\"PeriodicalIF\":0.0000,\"publicationDate\":\"2024-01-01\",\"publicationTypes\":\"Journal Article\",\"fieldsOfStudy\":null,\"isOpenAccess\":false,\"openAccessPdf\":\"https://www.ncbi.nlm.nih.gov/pmc/articles/PMC11249904/pdf/\",\"citationCount\":\"0\",\"resultStr\":null,\"platform\":\"Semanticscholar\",\"paperid\":null,\"PeriodicalName\":\"Euroasian journal of hepato-gastroenterology\",\"FirstCategoryId\":\"1085\",\"ListUrlMain\":\"https://doi.org/10.5005/jp-journals-10018-1417\",\"RegionNum\":0,\"RegionCategory\":null,\"ArticlePicture\":[],\"TitleCN\":null,\"AbstractTextCN\":null,\"PMCID\":null,\"EPubDate\":\"\",\"PubModel\":\"\",\"JCR\":\"\",\"JCRName\":\"\",\"Score\":null,\"Total\":0}","platform":"Semanticscholar","paperid":null,"PeriodicalName":"Euroasian journal of hepato-gastroenterology","FirstCategoryId":"1085","ListUrlMain":"https://doi.org/10.5005/jp-journals-10018-1417","RegionNum":0,"RegionCategory":null,"ArticlePicture":[],"TitleCN":null,"AbstractTextCN":null,"PMCID":null,"EPubDate":"","PubModel":"","JCR":"","JCRName":"","Score":null,"Total":0}
引用次数: 0

摘要

肠热病是东南亚地区的常见病,表现形式多种多样。部分治疗往往会导致病程延长。此外,肠道造影往往会与肺结核相混淆。结肠镜检查和活组织检查有助于与肺结核相鉴别。有关肠热病结肠镜检查的资料很少,而且大多来自胃肠道(GI)出血的病例报告。我们描述了三例肠道热伴有胃肠道受累的病例,其症状与肺结核相似。结肠镜检查的特征是回肠粘膜呈粉蓝色,水肿,扩张性减弱,并伴有多处浅表溃疡。所有三个病例的回盲瓣均受累。两个病例累及升结肠。治疗后随访发现病灶完全消退:Verma A, Dahale AS, Gopal P, et al.模仿科赫氏病的无并发症肠炎结肠镜检查结果。Euroasian J Hepato-Gastroenterol 2024;14(1):120-123.
本文章由计算机程序翻译,如有差异,请以英文原文为准。

Colonoscopy Findings of Uncomplicated Enteric Fever Mimicking Koch's Disease.

Colonoscopy Findings of Uncomplicated Enteric Fever Mimicking Koch's Disease.

Colonoscopy Findings of Uncomplicated Enteric Fever Mimicking Koch's Disease.

Colonoscopy Findings of Uncomplicated Enteric Fever Mimicking Koch's Disease.

Enteric fever is a common occurrence in Southeast Asia with a myriad of presentations. Partial treatment often leads to prolonged illness. Along with this, bowel imaging often confounds the picture with tuberculosis. Colonoscopy and biopsy may help to differentiate from tuberculosis. The data on colonoscopy is scarce in enteric fever and is mostly available from case reports of gastrointestinal (GI) bleeding. We have described three cases of enteric fever with GI involvement mimicking tuberculosis. The colonoscopy picture is characteristic of pinkish-bluish ileal mucosa, with edema and decreased distensibility, along with multiple superficial ulcers. The ileocecal valve was involved in all three cases. The ascending colon was involved in two cases. There was complete resolution of lesions after treatment on follow-up.

How to cite this article: Verma A, Dahale AS, Gopal P, et al. Colonoscopy Findings of Uncomplicated Enteric Fever Mimicking Koch's Disease. Euroasian J Hepato-Gastroenterol 2024;14(1):120-123.

求助全文
通过发布文献求助,成功后即可免费获取论文全文。 去求助
来源期刊
自引率
0.00%
发文量
0
×
引用
GB/T 7714-2015
复制
MLA
复制
APA
复制
导出至
BibTeX EndNote RefMan NoteFirst NoteExpress
×
提示
您的信息不完整,为了账户安全,请先补充。
现在去补充
×
提示
您因"违规操作"
具体请查看互助需知
我知道了
×
提示
确定
请完成安全验证×
copy
已复制链接
快去分享给好友吧!
我知道了
右上角分享
点击右上角分享
0
联系我们:info@booksci.cn Book学术提供免费学术资源搜索服务,方便国内外学者检索中英文文献。致力于提供最便捷和优质的服务体验。 Copyright © 2023 布克学术 All rights reserved.
京ICP备2023020795号-1
ghs 京公网安备 11010802042870号
Book学术文献互助
Book学术文献互助群
群 号:604180095
Book学术官方微信