肠系膜泛发炎

Q2 Medicine
Inflammatory Intestinal Diseases Pub Date : 2024-05-22 eCollection Date: 2024-01-01 DOI:10.1159/000539432
Cecilio Azar, Mohamad Ali Ibrahim, Zakaria El Kouzi, Ali El Mokahal, Nadine Omran, Nadim Muallem, Ala I Sharara
{"title":"肠系膜泛发炎","authors":"Cecilio Azar, Mohamad Ali Ibrahim, Zakaria El Kouzi, Ali El Mokahal, Nadine Omran, Nadim Muallem, Ala I Sharara","doi":"10.1159/000539432","DOIUrl":null,"url":null,"abstract":"<p><strong>Background: </strong>Mesenteric panniculitis (MP) is an uncommon non-neoplastic idiopathic inflammation of adipose tissue, mainly affecting the mesentery of the small intestine, with its etiology remaining largely speculative. The difference in prevalence of MP among females and males varies across multiple studies. In most cases, MP is asymptomatic; however, patients can present with nonspecific abdominal symptoms or can mimic underlying gastrointestinal and abdominal diseases. The diagnosis is suggested by computed tomography and is usually confirmed by surgical biopsies if necessary. Treatment is generally supportive and based on a few selected drugs, namely, nonsteroidal anti-inflammatory drugs or corticosteroids. Surgery is reserved when the diagnosis is unclear, when malignancy is suspected or in the case of severe presentation such as mass effect, bowel obstruction, or ischemic changes.</p><p><strong>Summary: </strong>MP is a rare inflammatory condition of the mesentery often asymptomatic but can cause nonspecific abdominal symptoms. Diagnosis relies on computed tomography imaging, with treatment mainly supportive, utilizing medications like nonsteroidal anti-inflammatory drugs or corticosteroids, while surgery is reserved for severe cases or diagnostic uncertainty.</p><p><strong>Key messages: </strong>MP causes abdominal pain, and it is mainly diagnosed with CT scan.</p>","PeriodicalId":13605,"journal":{"name":"Inflammatory Intestinal Diseases","volume":"9 1","pages":"157-164"},"PeriodicalIF":0.0000,"publicationDate":"2024-05-22","publicationTypes":"Journal Article","fieldsOfStudy":null,"isOpenAccess":false,"openAccessPdf":"https://www.ncbi.nlm.nih.gov/pmc/articles/PMC11250460/pdf/","citationCount":"0","resultStr":"{\"title\":\"Mesenteric Panniculitis.\",\"authors\":\"Cecilio Azar, Mohamad Ali Ibrahim, Zakaria El Kouzi, Ali El Mokahal, Nadine Omran, Nadim Muallem, Ala I Sharara\",\"doi\":\"10.1159/000539432\",\"DOIUrl\":null,\"url\":null,\"abstract\":\"<p><strong>Background: </strong>Mesenteric panniculitis (MP) is an uncommon non-neoplastic idiopathic inflammation of adipose tissue, mainly affecting the mesentery of the small intestine, with its etiology remaining largely speculative. The difference in prevalence of MP among females and males varies across multiple studies. In most cases, MP is asymptomatic; however, patients can present with nonspecific abdominal symptoms or can mimic underlying gastrointestinal and abdominal diseases. The diagnosis is suggested by computed tomography and is usually confirmed by surgical biopsies if necessary. Treatment is generally supportive and based on a few selected drugs, namely, nonsteroidal anti-inflammatory drugs or corticosteroids. Surgery is reserved when the diagnosis is unclear, when malignancy is suspected or in the case of severe presentation such as mass effect, bowel obstruction, or ischemic changes.</p><p><strong>Summary: </strong>MP is a rare inflammatory condition of the mesentery often asymptomatic but can cause nonspecific abdominal symptoms. Diagnosis relies on computed tomography imaging, with treatment mainly supportive, utilizing medications like nonsteroidal anti-inflammatory drugs or corticosteroids, while surgery is reserved for severe cases or diagnostic uncertainty.</p><p><strong>Key messages: </strong>MP causes abdominal pain, and it is mainly diagnosed with CT scan.</p>\",\"PeriodicalId\":13605,\"journal\":{\"name\":\"Inflammatory Intestinal Diseases\",\"volume\":\"9 1\",\"pages\":\"157-164\"},\"PeriodicalIF\":0.0000,\"publicationDate\":\"2024-05-22\",\"publicationTypes\":\"Journal Article\",\"fieldsOfStudy\":null,\"isOpenAccess\":false,\"openAccessPdf\":\"https://www.ncbi.nlm.nih.gov/pmc/articles/PMC11250460/pdf/\",\"citationCount\":\"0\",\"resultStr\":null,\"platform\":\"Semanticscholar\",\"paperid\":null,\"PeriodicalName\":\"Inflammatory Intestinal Diseases\",\"FirstCategoryId\":\"1085\",\"ListUrlMain\":\"https://doi.org/10.1159/000539432\",\"RegionNum\":0,\"RegionCategory\":null,\"ArticlePicture\":[],\"TitleCN\":null,\"AbstractTextCN\":null,\"PMCID\":null,\"EPubDate\":\"2024/1/1 0:00:00\",\"PubModel\":\"eCollection\",\"JCR\":\"Q2\",\"JCRName\":\"Medicine\",\"Score\":null,\"Total\":0}","platform":"Semanticscholar","paperid":null,"PeriodicalName":"Inflammatory Intestinal Diseases","FirstCategoryId":"1085","ListUrlMain":"https://doi.org/10.1159/000539432","RegionNum":0,"RegionCategory":null,"ArticlePicture":[],"TitleCN":null,"AbstractTextCN":null,"PMCID":null,"EPubDate":"2024/1/1 0:00:00","PubModel":"eCollection","JCR":"Q2","JCRName":"Medicine","Score":null,"Total":0}
引用次数: 0

摘要

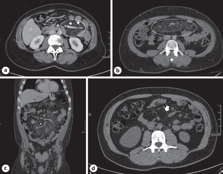
背景:肠系膜泛发性炎症(MP)是一种不常见的非肿瘤性脂肪组织特发性炎症,主要影响小肠系膜,其病因在很大程度上仍是猜测性的。在多项研究中,MP 在女性和男性中的发病率存在差异。在大多数情况下,腹腔积液是无症状的;然而,患者可表现为非特异性腹部症状,或可模仿潜在的胃肠道和腹部疾病。计算机断层扫描可提示诊断,必要时通常通过手术活检确诊。治疗通常是支持性的,并使用一些选定的药物,即非甾体抗炎药或皮质类固醇。当诊断不明确、怀疑是恶性肿瘤或出现肿块、肠梗阻或缺血性改变等严重症状时,应保留手术治疗。诊断主要依靠计算机断层扫描成像,治疗以支持疗法为主,使用非甾体类抗炎药或皮质类固醇等药物,而手术则用于严重病例或诊断不确定的情况:MP会引起腹痛,主要通过CT扫描确诊。
本文章由计算机程序翻译,如有差异,请以英文原文为准。

Mesenteric Panniculitis.

Mesenteric Panniculitis.

Mesenteric Panniculitis.

Background: Mesenteric panniculitis (MP) is an uncommon non-neoplastic idiopathic inflammation of adipose tissue, mainly affecting the mesentery of the small intestine, with its etiology remaining largely speculative. The difference in prevalence of MP among females and males varies across multiple studies. In most cases, MP is asymptomatic; however, patients can present with nonspecific abdominal symptoms or can mimic underlying gastrointestinal and abdominal diseases. The diagnosis is suggested by computed tomography and is usually confirmed by surgical biopsies if necessary. Treatment is generally supportive and based on a few selected drugs, namely, nonsteroidal anti-inflammatory drugs or corticosteroids. Surgery is reserved when the diagnosis is unclear, when malignancy is suspected or in the case of severe presentation such as mass effect, bowel obstruction, or ischemic changes.

Summary: MP is a rare inflammatory condition of the mesentery often asymptomatic but can cause nonspecific abdominal symptoms. Diagnosis relies on computed tomography imaging, with treatment mainly supportive, utilizing medications like nonsteroidal anti-inflammatory drugs or corticosteroids, while surgery is reserved for severe cases or diagnostic uncertainty.

Key messages: MP causes abdominal pain, and it is mainly diagnosed with CT scan.

求助全文
通过发布文献求助,成功后即可免费获取论文全文。 去求助
来源期刊
Inflammatory Intestinal Diseases
Inflammatory Intestinal Diseases Medicine-Gastroenterology
CiteScore
4.50
自引率
0.00%
发文量
6
审稿时长
20 weeks
×
引用
GB/T 7714-2015
复制
MLA
复制
APA
复制
导出至
BibTeX EndNote RefMan NoteFirst NoteExpress
×
提示
您的信息不完整,为了账户安全,请先补充。
现在去补充
×
提示
您因"违规操作"
具体请查看互助需知
我知道了
×
提示
确定
请完成安全验证×
copy
已复制链接
快去分享给好友吧!
我知道了
右上角分享
点击右上角分享
0
联系我们:info@booksci.cn Book学术提供免费学术资源搜索服务,方便国内外学者检索中英文文献。致力于提供最便捷和优质的服务体验。 Copyright © 2023 布克学术 All rights reserved.
京ICP备2023020795号-1
ghs 京公网安备 11010802042870号
Book学术文献互助
Book学术文献互助群
群 号:604180095
Book学术官方微信