两名儿童的严重后天性甲状腺功能减退症和范-维克-格伦巴赫综合征

IF 0.5 Q4 PEDIATRICS
Case Reports in Pediatrics Pub Date : 2024-07-09 eCollection Date: 2024-01-01 DOI:10.1155/2024/8919177
Corina Ramona Nicolescu, Lucie Bazus, Jean-Louis Stephan
{"title":"两名儿童的严重后天性甲状腺功能减退症和范-维克-格伦巴赫综合征","authors":"Corina Ramona Nicolescu, Lucie Bazus, Jean-Louis Stephan","doi":"10.1155/2024/8919177","DOIUrl":null,"url":null,"abstract":"<p><p>The primary manifestations of chronic hypothyroidism in children include growth arrest, delayed skeletal maturity, and delayed puberty. In 1960, Van Wyk and Grumbach reported three girls with hypothyroidism and a combination of incomplete isosexual precocious puberty (early breast development, menstruation, and absence of pubic hair), galactorrhea, delayed bone age, and pituitary enlargement. All abnormalities regressed after appropriate thyroid hormone replacement therapy. Over the years, an increasing number of reported cases has allowed for a more precise understanding of the clinical, biochemical, and radiological phenotypes of the Van Wyk-Grumbach syndrome (VWGS). These varying clinical manifestations are thought to result from a unique pathophysiological process where the thyroid-stimulating hormone (TSH) is a key element. We describe the cases of two patients (a boy and a girl) with severe autoimmune thyroiditis and VWGS. The clinical, biochemical, and radiological imaging characteristics were similar in both patients and included growth failure, absence of clinical goiter, markedly elevated TSH concentrations >100 mIU/L, undetectable free thyroxine levels, \"normal\" thyroglobulin levels, high follicle-stimulating hormone (FSH) and prolactin levels, prepubertal levels of luteinizing hormone (LH), delayed bone age, and hyperplasia of the pituitary gland. The two patients displayed differences, especially in the absence of clinical pubertal development, moderate anemia, abnormal renal function, and moderate goiter detected via ultrasonography (in the female patient). Thyroxine replacement therapy reversed the VWGS phenotype and hypothyroidism, with satisfactory growth velocity, strictly normal thyroid function, and normal pituitary size detected via magnetic resonance imaging at the 6-month follow-up visit.</p>","PeriodicalId":9623,"journal":{"name":"Case Reports in Pediatrics","volume":"2024 ","pages":"8919177"},"PeriodicalIF":0.5000,"publicationDate":"2024-07-09","publicationTypes":"Journal Article","fieldsOfStudy":null,"isOpenAccess":false,"openAccessPdf":"https://www.ncbi.nlm.nih.gov/pmc/articles/PMC11251785/pdf/","citationCount":"0","resultStr":"{\"title\":\"Severe Acquired Hypothyroidism and Van Wyk-Grumbach Syndrome in Two Children.\",\"authors\":\"Corina Ramona Nicolescu, Lucie Bazus, Jean-Louis Stephan\",\"doi\":\"10.1155/2024/8919177\",\"DOIUrl\":null,\"url\":null,\"abstract\":\"<p><p>The primary manifestations of chronic hypothyroidism in children include growth arrest, delayed skeletal maturity, and delayed puberty. In 1960, Van Wyk and Grumbach reported three girls with hypothyroidism and a combination of incomplete isosexual precocious puberty (early breast development, menstruation, and absence of pubic hair), galactorrhea, delayed bone age, and pituitary enlargement. All abnormalities regressed after appropriate thyroid hormone replacement therapy. Over the years, an increasing number of reported cases has allowed for a more precise understanding of the clinical, biochemical, and radiological phenotypes of the Van Wyk-Grumbach syndrome (VWGS). These varying clinical manifestations are thought to result from a unique pathophysiological process where the thyroid-stimulating hormone (TSH) is a key element. We describe the cases of two patients (a boy and a girl) with severe autoimmune thyroiditis and VWGS. The clinical, biochemical, and radiological imaging characteristics were similar in both patients and included growth failure, absence of clinical goiter, markedly elevated TSH concentrations >100 mIU/L, undetectable free thyroxine levels, \\\"normal\\\" thyroglobulin levels, high follicle-stimulating hormone (FSH) and prolactin levels, prepubertal levels of luteinizing hormone (LH), delayed bone age, and hyperplasia of the pituitary gland. The two patients displayed differences, especially in the absence of clinical pubertal development, moderate anemia, abnormal renal function, and moderate goiter detected via ultrasonography (in the female patient). Thyroxine replacement therapy reversed the VWGS phenotype and hypothyroidism, with satisfactory growth velocity, strictly normal thyroid function, and normal pituitary size detected via magnetic resonance imaging at the 6-month follow-up visit.</p>\",\"PeriodicalId\":9623,\"journal\":{\"name\":\"Case Reports in Pediatrics\",\"volume\":\"2024 \",\"pages\":\"8919177\"},\"PeriodicalIF\":0.5000,\"publicationDate\":\"2024-07-09\",\"publicationTypes\":\"Journal Article\",\"fieldsOfStudy\":null,\"isOpenAccess\":false,\"openAccessPdf\":\"https://www.ncbi.nlm.nih.gov/pmc/articles/PMC11251785/pdf/\",\"citationCount\":\"0\",\"resultStr\":null,\"platform\":\"Semanticscholar\",\"paperid\":null,\"PeriodicalName\":\"Case Reports in Pediatrics\",\"FirstCategoryId\":\"1085\",\"ListUrlMain\":\"https://doi.org/10.1155/2024/8919177\",\"RegionNum\":0,\"RegionCategory\":null,\"ArticlePicture\":[],\"TitleCN\":null,\"AbstractTextCN\":null,\"PMCID\":null,\"EPubDate\":\"2024/1/1 0:00:00\",\"PubModel\":\"eCollection\",\"JCR\":\"Q4\",\"JCRName\":\"PEDIATRICS\",\"Score\":null,\"Total\":0}","platform":"Semanticscholar","paperid":null,"PeriodicalName":"Case Reports in Pediatrics","FirstCategoryId":"1085","ListUrlMain":"https://doi.org/10.1155/2024/8919177","RegionNum":0,"RegionCategory":null,"ArticlePicture":[],"TitleCN":null,"AbstractTextCN":null,"PMCID":null,"EPubDate":"2024/1/1 0:00:00","PubModel":"eCollection","JCR":"Q4","JCRName":"PEDIATRICS","Score":null,"Total":0}
引用次数: 0

摘要

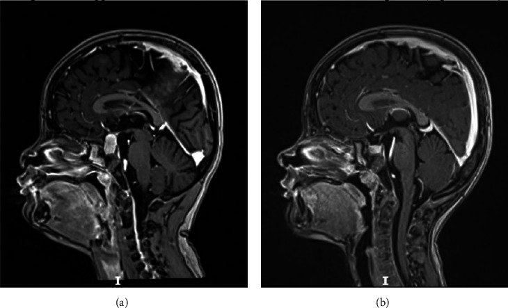
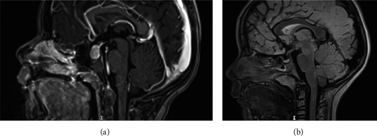
儿童慢性甲状腺功能减退症的主要表现包括生长停滞、骨骼成熟延迟和青春期延迟。1960年,Van Wyk和Grumbach报道了三名患有甲状腺功能减退症的女孩,她们同时患有不完全异性性早熟(乳房发育早、月经初潮、无阴毛)、半乳糖性闭经、骨龄延迟和垂体增大。在接受适当的甲状腺激素替代治疗后,所有异常情况都得到了缓解。多年来,越来越多的病例报道让人们对范-维克-格伦巴赫综合征(VWGS)的临床、生化和放射学表型有了更准确的认识。这些不同的临床表现被认为是独特的病理生理过程所致,而促甲状腺激素(TSH)是其中的关键因素。我们描述了两名患有严重自身免疫性甲状腺炎和 VWGS 的患者(一男一女)的病例。这两名患者的临床、生化和放射影像学特征相似,包括生长发育障碍、无临床甲状腺肿、促甲状腺激素(TSH)浓度明显升高(>100 mIU/L)、检测不到游离甲状腺素水平、甲状腺球蛋白水平 "正常"、促卵泡激素(FSH)和催乳素水平高、青春期前黄体生成素(LH)水平高、骨龄延迟和垂体增生。两名患者表现出差异,尤其是女性患者没有临床青春期发育、中度贫血、肾功能异常以及通过超声波检查发现的中度甲状腺肿。甲状腺素替代疗法逆转了 VWGS 表型和甲状腺功能减退症,患者的生长速度令人满意,甲状腺功能严格正常,6 个月随访时通过磁共振成像检测到垂体大小正常。
本文章由计算机程序翻译,如有差异,请以英文原文为准。

Severe Acquired Hypothyroidism and Van Wyk-Grumbach Syndrome in Two Children.

Severe Acquired Hypothyroidism and Van Wyk-Grumbach Syndrome in Two Children.

Severe Acquired Hypothyroidism and Van Wyk-Grumbach Syndrome in Two Children.

The primary manifestations of chronic hypothyroidism in children include growth arrest, delayed skeletal maturity, and delayed puberty. In 1960, Van Wyk and Grumbach reported three girls with hypothyroidism and a combination of incomplete isosexual precocious puberty (early breast development, menstruation, and absence of pubic hair), galactorrhea, delayed bone age, and pituitary enlargement. All abnormalities regressed after appropriate thyroid hormone replacement therapy. Over the years, an increasing number of reported cases has allowed for a more precise understanding of the clinical, biochemical, and radiological phenotypes of the Van Wyk-Grumbach syndrome (VWGS). These varying clinical manifestations are thought to result from a unique pathophysiological process where the thyroid-stimulating hormone (TSH) is a key element. We describe the cases of two patients (a boy and a girl) with severe autoimmune thyroiditis and VWGS. The clinical, biochemical, and radiological imaging characteristics were similar in both patients and included growth failure, absence of clinical goiter, markedly elevated TSH concentrations >100 mIU/L, undetectable free thyroxine levels, "normal" thyroglobulin levels, high follicle-stimulating hormone (FSH) and prolactin levels, prepubertal levels of luteinizing hormone (LH), delayed bone age, and hyperplasia of the pituitary gland. The two patients displayed differences, especially in the absence of clinical pubertal development, moderate anemia, abnormal renal function, and moderate goiter detected via ultrasonography (in the female patient). Thyroxine replacement therapy reversed the VWGS phenotype and hypothyroidism, with satisfactory growth velocity, strictly normal thyroid function, and normal pituitary size detected via magnetic resonance imaging at the 6-month follow-up visit.

求助全文
通过发布文献求助,成功后即可免费获取论文全文。 去求助
来源期刊
自引率
11.10%
发文量
48
审稿时长
13 weeks
×
引用
GB/T 7714-2015
复制
MLA
复制
APA
复制
导出至
BibTeX EndNote RefMan NoteFirst NoteExpress
×
提示
您的信息不完整,为了账户安全,请先补充。
现在去补充
×
提示
您因"违规操作"
具体请查看互助需知
我知道了
×
提示
确定
请完成安全验证×
copy
已复制链接
快去分享给好友吧!
我知道了
右上角分享
点击右上角分享
0
联系我们:info@booksci.cn Book学术提供免费学术资源搜索服务,方便国内外学者检索中英文文献。致力于提供最便捷和优质的服务体验。 Copyright © 2023 布克学术 All rights reserved.
京ICP备2023020795号-1
ghs 京公网安备 11010802042870号
Book学术文献互助
Book学术文献互助群
群 号:604180095
Book学术官方微信