腹膜透析中的黄疽性肾盂肾炎

IF 0.9 Q4 UROLOGY & NEPHROLOGY
Case Reports in Nephrology and Dialysis Pub Date : 2024-06-05 eCollection Date: 2024-01-01 DOI:10.1159/000536489
Javier Burgos Martín, Marina Almenara Tejederas, Fabiola Alonso García, Francisco José de la Prada Álvarez, Mercedes Salgueira Lazo
{"title":"腹膜透析中的黄疽性肾盂肾炎","authors":"Javier Burgos Martín, Marina Almenara Tejederas, Fabiola Alonso García, Francisco José de la Prada Álvarez, Mercedes Salgueira Lazo","doi":"10.1159/000536489","DOIUrl":null,"url":null,"abstract":"<p><strong>Introduction: </strong>Xanthogranulomatous pyelonephritis (XGP) is a rare illness that consists of a destructive chronic inflammatory process of the renal parenchyma associated with recurrent infection and obstructions of the urinary tract. Peritoneal dialysis (PD) is a form of renal replacement therapy used in advanced kidney disease. PD patients demonstrate a systemic inflammatory state, secondary to the increase in uremic toxins, decreased filtration of proinflammatory cytokines, as well as constant exposure to bioincompatible dialysis solutions or a foreign body reaction from the catheter, among other factors, as peritoneal infections.</p><p><strong>Case presentation: </strong>We present the clinical case of a 74-year-old woman, with a history of recurrent urinary tract infections associated with nephrolithiasis and stage 5D chronic kidney disease, on a PD program. The patient presented a non-specific 3-month state of progressive asthenia, with increased inflammatory parameters in the analytical controls. After presenting multiple negative urine cultures and peritoneal fluid cultures, she was hospitalized to study the constitutional syndrome. The imaging test revealed bilateral staghorn lithiasis with severe dilatation of the right renal pelvis and great cortical thinning. Given the suspicion of XGP, it was decided to perform right renal nephrectomy, which was confirmed after the anatomopathological study. Prior to the intervention, she was transferred to hemodialysis. Over the following months, significant clinical and analytical improvement was observed.</p><p><strong>Conclusion: </strong>The systemic inflammatory state and the risk of infections in PD can mask the diagnosis of XGP in PD patients. There are no reported cases of XGP in patients in PD.</p>","PeriodicalId":9599,"journal":{"name":"Case Reports in Nephrology and Dialysis","volume":"14 1","pages":"64-69"},"PeriodicalIF":0.9000,"publicationDate":"2024-06-05","publicationTypes":"Journal Article","fieldsOfStudy":null,"isOpenAccess":false,"openAccessPdf":"https://www.ncbi.nlm.nih.gov/pmc/articles/PMC11250483/pdf/","citationCount":"0","resultStr":"{\"title\":\"Xanthogranulomatous Pyelonephritis in Peritoneal Dialysis.\",\"authors\":\"Javier Burgos Martín, Marina Almenara Tejederas, Fabiola Alonso García, Francisco José de la Prada Álvarez, Mercedes Salgueira Lazo\",\"doi\":\"10.1159/000536489\",\"DOIUrl\":null,\"url\":null,\"abstract\":\"<p><strong>Introduction: </strong>Xanthogranulomatous pyelonephritis (XGP) is a rare illness that consists of a destructive chronic inflammatory process of the renal parenchyma associated with recurrent infection and obstructions of the urinary tract. Peritoneal dialysis (PD) is a form of renal replacement therapy used in advanced kidney disease. PD patients demonstrate a systemic inflammatory state, secondary to the increase in uremic toxins, decreased filtration of proinflammatory cytokines, as well as constant exposure to bioincompatible dialysis solutions or a foreign body reaction from the catheter, among other factors, as peritoneal infections.</p><p><strong>Case presentation: </strong>We present the clinical case of a 74-year-old woman, with a history of recurrent urinary tract infections associated with nephrolithiasis and stage 5D chronic kidney disease, on a PD program. The patient presented a non-specific 3-month state of progressive asthenia, with increased inflammatory parameters in the analytical controls. After presenting multiple negative urine cultures and peritoneal fluid cultures, she was hospitalized to study the constitutional syndrome. The imaging test revealed bilateral staghorn lithiasis with severe dilatation of the right renal pelvis and great cortical thinning. Given the suspicion of XGP, it was decided to perform right renal nephrectomy, which was confirmed after the anatomopathological study. Prior to the intervention, she was transferred to hemodialysis. Over the following months, significant clinical and analytical improvement was observed.</p><p><strong>Conclusion: </strong>The systemic inflammatory state and the risk of infections in PD can mask the diagnosis of XGP in PD patients. There are no reported cases of XGP in patients in PD.</p>\",\"PeriodicalId\":9599,\"journal\":{\"name\":\"Case Reports in Nephrology and Dialysis\",\"volume\":\"14 1\",\"pages\":\"64-69\"},\"PeriodicalIF\":0.9000,\"publicationDate\":\"2024-06-05\",\"publicationTypes\":\"Journal Article\",\"fieldsOfStudy\":null,\"isOpenAccess\":false,\"openAccessPdf\":\"https://www.ncbi.nlm.nih.gov/pmc/articles/PMC11250483/pdf/\",\"citationCount\":\"0\",\"resultStr\":null,\"platform\":\"Semanticscholar\",\"paperid\":null,\"PeriodicalName\":\"Case Reports in Nephrology and Dialysis\",\"FirstCategoryId\":\"1085\",\"ListUrlMain\":\"https://doi.org/10.1159/000536489\",\"RegionNum\":0,\"RegionCategory\":null,\"ArticlePicture\":[],\"TitleCN\":null,\"AbstractTextCN\":null,\"PMCID\":null,\"EPubDate\":\"2024/1/1 0:00:00\",\"PubModel\":\"eCollection\",\"JCR\":\"Q4\",\"JCRName\":\"UROLOGY & NEPHROLOGY\",\"Score\":null,\"Total\":0}","platform":"Semanticscholar","paperid":null,"PeriodicalName":"Case Reports in Nephrology and Dialysis","FirstCategoryId":"1085","ListUrlMain":"https://doi.org/10.1159/000536489","RegionNum":0,"RegionCategory":null,"ArticlePicture":[],"TitleCN":null,"AbstractTextCN":null,"PMCID":null,"EPubDate":"2024/1/1 0:00:00","PubModel":"eCollection","JCR":"Q4","JCRName":"UROLOGY & NEPHROLOGY","Score":null,"Total":0}
引用次数: 0

摘要

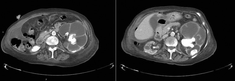
简介黄疽性肾盂肾炎(XGP)是一种罕见疾病,由肾实质的破坏性慢性炎症过程组成,伴有反复感染和尿路梗阻。腹膜透析(PD)是用于晚期肾病的一种肾脏替代疗法。腹膜透析患者会表现出全身炎症状态,这是由于尿毒症毒素增加、促炎细胞因子过滤功能下降、持续接触生物不相容透析液或导管异物反应等因素造成的腹膜感染:本病例是一名 74 岁女性的临床病例,她曾有反复尿路感染病史,并伴有肾结石和 5D 期慢性肾病,目前正在接受透析治疗。患者出现了为期 3 个月的非特异性进行性气喘,分析对照组的炎症指标增高。在尿液培养和腹腔液培养多次阴性后,她被送进了医院,以研究体质综合征。影像学检查显示她患有双侧鹿角状结石,右肾盂严重扩张,肾皮质极度变薄。鉴于怀疑是 XGP,医生决定对她进行右肾切除术,解剖病理检查后证实了这一决定。手术前,她已转入血液透析。在随后的几个月中,临床和分析结果均有明显改善:结论:PD 患者的全身炎症状态和感染风险可能会掩盖 XGP 的诊断。目前还没有关于帕金森病患者患 XGP 的病例报道。
本文章由计算机程序翻译,如有差异,请以英文原文为准。

Xanthogranulomatous Pyelonephritis in Peritoneal Dialysis.

Xanthogranulomatous Pyelonephritis in Peritoneal Dialysis.

Xanthogranulomatous Pyelonephritis in Peritoneal Dialysis.

Xanthogranulomatous Pyelonephritis in Peritoneal Dialysis.

Introduction: Xanthogranulomatous pyelonephritis (XGP) is a rare illness that consists of a destructive chronic inflammatory process of the renal parenchyma associated with recurrent infection and obstructions of the urinary tract. Peritoneal dialysis (PD) is a form of renal replacement therapy used in advanced kidney disease. PD patients demonstrate a systemic inflammatory state, secondary to the increase in uremic toxins, decreased filtration of proinflammatory cytokines, as well as constant exposure to bioincompatible dialysis solutions or a foreign body reaction from the catheter, among other factors, as peritoneal infections.

Case presentation: We present the clinical case of a 74-year-old woman, with a history of recurrent urinary tract infections associated with nephrolithiasis and stage 5D chronic kidney disease, on a PD program. The patient presented a non-specific 3-month state of progressive asthenia, with increased inflammatory parameters in the analytical controls. After presenting multiple negative urine cultures and peritoneal fluid cultures, she was hospitalized to study the constitutional syndrome. The imaging test revealed bilateral staghorn lithiasis with severe dilatation of the right renal pelvis and great cortical thinning. Given the suspicion of XGP, it was decided to perform right renal nephrectomy, which was confirmed after the anatomopathological study. Prior to the intervention, she was transferred to hemodialysis. Over the following months, significant clinical and analytical improvement was observed.

Conclusion: The systemic inflammatory state and the risk of infections in PD can mask the diagnosis of XGP in PD patients. There are no reported cases of XGP in patients in PD.

求助全文
通过发布文献求助,成功后即可免费获取论文全文。 去求助
来源期刊
CiteScore
1.20
自引率
0.00%
发文量
36
审稿时长
10 weeks
期刊介绍: This peer-reviewed online-only journal publishes original case reports covering the entire spectrum of nephrology and dialysis, including genetic susceptibility, clinical presentation, diagnosis, treatment or prevention, toxicities of therapy, critical care, supportive care, quality-of-life and survival issues. The journal will also accept case reports dealing with the use of novel technologies, both in the arena of diagnosis and treatment. Supplementary material is welcomed.
×
引用
GB/T 7714-2015
复制
MLA
复制
APA
复制
导出至
BibTeX EndNote RefMan NoteFirst NoteExpress
×
提示
您的信息不完整,为了账户安全,请先补充。
现在去补充
×
提示
您因"违规操作"
具体请查看互助需知
我知道了
×
提示
确定
请完成安全验证×
copy
已复制链接
快去分享给好友吧!
我知道了
右上角分享
点击右上角分享
0
联系我们:info@booksci.cn Book学术提供免费学术资源搜索服务,方便国内外学者检索中英文文献。致力于提供最便捷和优质的服务体验。 Copyright © 2023 布克学术 All rights reserved.
京ICP备2023020795号-1
ghs 京公网安备 11010802042870号
Book学术文献互助
Book学术文献互助群
群 号:604180095
Book学术官方微信