首例 IFT140 杂合子缺失导致常染色体显性多囊肾的儿科病例:病例报告。

IF 0.9 Q4 UROLOGY & NEPHROLOGY
Case Reports in Nephrology and Dialysis Pub Date : 2024-07-01 eCollection Date: 2024-01-01 DOI:10.1159/000539176
Tomáš Seeman, Terezie Šuláková, Alice Bosáková, Jana Indráková, Dagmar Grečmalová
{"title":"首例 IFT140 杂合子缺失导致常染色体显性多囊肾的儿科病例:病例报告。","authors":"Tomáš Seeman, Terezie Šuláková, Alice Bosáková, Jana Indráková, Dagmar Grečmalová","doi":"10.1159/000539176","DOIUrl":null,"url":null,"abstract":"<p><strong>Introduction: </strong>Autosomal dominant polycystic kidney disease (ADPKD) is the most common hereditary kidney disease, which is mainly caused by pathogenic variants in two particular genes: <i>PKD1</i> and <i>PKD2</i>. ADPKD caused by variants in other genes (<i>GANAB</i> or <i>IFT140</i>) is very rare.</p><p><strong>Case report: </strong>In a 6-year-old girl examined for abdominal pain, a cystic mass in the upper part of the right kidney was detected during an abdominal ultrasound. She was referred to pediatric oncology and urology for suspicion of a tumorous mass and the condition was assessed as a cystic nephroma. A heminephrectomy was then performed on the upper cystic part of the right kidney. The histological examination was inconclusive; therefore, genetic testing was recommended. Kidney and liver cysts were detected sonographically in the mother, but DNA analysis of the <i>PKD1</i> and <i>PKD2</i> genes did not reveal any pathogenic variant; the cause of the pathological formation in the kidneys remained unclear. Nine years later, next-generation sequencing of a panel of genes for kidney disease was performed and a heterozygous deletion was found on chromosome 16; this included exon 13 of the <i>IFT140</i> gene. The same deletion was found in the patient's mother. Currently, the patient is 14 years old and has mild sonographic findings, normal glomerular filtration, mild proteinuria, and hypertension.</p><p><strong>Conclusion: </strong>Pathogenic variants of the <i>IFT140</i> gene very rarely cause ADPKD; however, they should be considered in all children with autosomal dominant forms of PKD and asymmetric/atypical cystic kidney involvement or negative findings of <i>PKD1</i> and <i>PKD2</i>.</p>","PeriodicalId":9599,"journal":{"name":"Case Reports in Nephrology and Dialysis","volume":"14 1","pages":"104-109"},"PeriodicalIF":0.9000,"publicationDate":"2024-07-01","publicationTypes":"Journal Article","fieldsOfStudy":null,"isOpenAccess":false,"openAccessPdf":"https://www.ncbi.nlm.nih.gov/pmc/articles/PMC11249641/pdf/","citationCount":"0","resultStr":"{\"title\":\"The First Pediatric Case of an IFT140 Heterozygous Deletion Causing Autosomal Dominant Polycystic Kidney Disease: Case Report.\",\"authors\":\"Tomáš Seeman, Terezie Šuláková, Alice Bosáková, Jana Indráková, Dagmar Grečmalová\",\"doi\":\"10.1159/000539176\",\"DOIUrl\":null,\"url\":null,\"abstract\":\"<p><strong>Introduction: </strong>Autosomal dominant polycystic kidney disease (ADPKD) is the most common hereditary kidney disease, which is mainly caused by pathogenic variants in two particular genes: <i>PKD1</i> and <i>PKD2</i>. ADPKD caused by variants in other genes (<i>GANAB</i> or <i>IFT140</i>) is very rare.</p><p><strong>Case report: </strong>In a 6-year-old girl examined for abdominal pain, a cystic mass in the upper part of the right kidney was detected during an abdominal ultrasound. She was referred to pediatric oncology and urology for suspicion of a tumorous mass and the condition was assessed as a cystic nephroma. A heminephrectomy was then performed on the upper cystic part of the right kidney. The histological examination was inconclusive; therefore, genetic testing was recommended. Kidney and liver cysts were detected sonographically in the mother, but DNA analysis of the <i>PKD1</i> and <i>PKD2</i> genes did not reveal any pathogenic variant; the cause of the pathological formation in the kidneys remained unclear. Nine years later, next-generation sequencing of a panel of genes for kidney disease was performed and a heterozygous deletion was found on chromosome 16; this included exon 13 of the <i>IFT140</i> gene. The same deletion was found in the patient's mother. Currently, the patient is 14 years old and has mild sonographic findings, normal glomerular filtration, mild proteinuria, and hypertension.</p><p><strong>Conclusion: </strong>Pathogenic variants of the <i>IFT140</i> gene very rarely cause ADPKD; however, they should be considered in all children with autosomal dominant forms of PKD and asymmetric/atypical cystic kidney involvement or negative findings of <i>PKD1</i> and <i>PKD2</i>.</p>\",\"PeriodicalId\":9599,\"journal\":{\"name\":\"Case Reports in Nephrology and Dialysis\",\"volume\":\"14 1\",\"pages\":\"104-109\"},\"PeriodicalIF\":0.9000,\"publicationDate\":\"2024-07-01\",\"publicationTypes\":\"Journal Article\",\"fieldsOfStudy\":null,\"isOpenAccess\":false,\"openAccessPdf\":\"https://www.ncbi.nlm.nih.gov/pmc/articles/PMC11249641/pdf/\",\"citationCount\":\"0\",\"resultStr\":null,\"platform\":\"Semanticscholar\",\"paperid\":null,\"PeriodicalName\":\"Case Reports in Nephrology and Dialysis\",\"FirstCategoryId\":\"1085\",\"ListUrlMain\":\"https://doi.org/10.1159/000539176\",\"RegionNum\":0,\"RegionCategory\":null,\"ArticlePicture\":[],\"TitleCN\":null,\"AbstractTextCN\":null,\"PMCID\":null,\"EPubDate\":\"2024/1/1 0:00:00\",\"PubModel\":\"eCollection\",\"JCR\":\"Q4\",\"JCRName\":\"UROLOGY & NEPHROLOGY\",\"Score\":null,\"Total\":0}","platform":"Semanticscholar","paperid":null,"PeriodicalName":"Case Reports in Nephrology and Dialysis","FirstCategoryId":"1085","ListUrlMain":"https://doi.org/10.1159/000539176","RegionNum":0,"RegionCategory":null,"ArticlePicture":[],"TitleCN":null,"AbstractTextCN":null,"PMCID":null,"EPubDate":"2024/1/1 0:00:00","PubModel":"eCollection","JCR":"Q4","JCRName":"UROLOGY & NEPHROLOGY","Score":null,"Total":0}
引用次数: 0

摘要

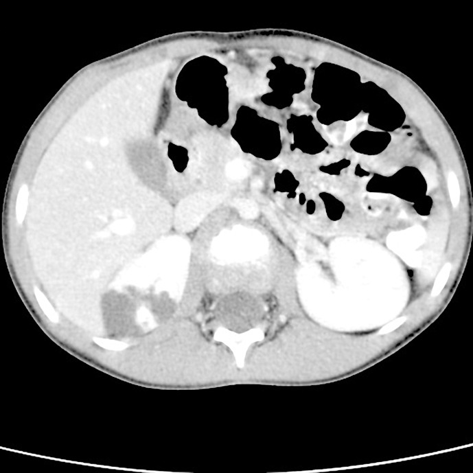
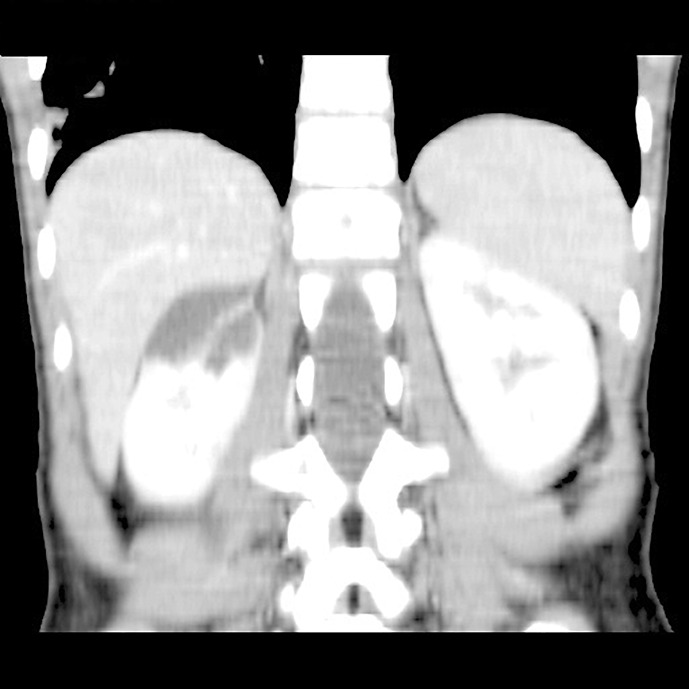
简介常染色体显性多囊肾(ADPKD)是最常见的遗传性肾病,主要由两个特定基因的致病变异引起:PKD1和PKD2。由其他基因(GANAB 或 IFT140)变异引起的 ADPKD 非常罕见:病例报告:一名 6 岁女孩因腹痛接受检查,在腹部超声波检查中发现右肾上部有囊性肿块。由于怀疑是肿瘤性肿块,她被转诊到儿童肿瘤科和泌尿科,病情被评估为囊性肾瘤。随后对右肾上部的囊性部分进行了半肾切除术。组织学检查没有得出结论,因此建议进行基因检测。母亲的肾脏和肝脏囊肿在声像图上被检测到,但PKD1和PKD2基因的DNA分析没有发现任何致病变异;肾脏病理形成的原因仍不清楚。9 年后,对肾病基因进行了下一代测序,结果在 16 号染色体上发现了一个杂合性缺失,其中包括 IFT140 基因的第 13 号外显子。在患者的母亲身上也发现了同样的缺失。目前,患者 14 岁,声像图检查结果轻微,肾小球滤过率正常,有轻微蛋白尿和高血压:结论:IFT140基因的致病变体很少导致ADPKD;但是,对于所有常染色体显性型PKD、非对称/典型囊性肾脏受累或PKD1和PKD2检查结果阴性的儿童,都应考虑IFT140基因的致病变体。
本文章由计算机程序翻译,如有差异,请以英文原文为准。

The First Pediatric Case of an IFT140 Heterozygous Deletion Causing Autosomal Dominant Polycystic Kidney Disease: Case Report.

The First Pediatric Case of an IFT140 Heterozygous Deletion Causing Autosomal Dominant Polycystic Kidney Disease: Case Report.

The First Pediatric Case of an IFT140 Heterozygous Deletion Causing Autosomal Dominant Polycystic Kidney Disease: Case Report.

Introduction: Autosomal dominant polycystic kidney disease (ADPKD) is the most common hereditary kidney disease, which is mainly caused by pathogenic variants in two particular genes: PKD1 and PKD2. ADPKD caused by variants in other genes (GANAB or IFT140) is very rare.

Case report: In a 6-year-old girl examined for abdominal pain, a cystic mass in the upper part of the right kidney was detected during an abdominal ultrasound. She was referred to pediatric oncology and urology for suspicion of a tumorous mass and the condition was assessed as a cystic nephroma. A heminephrectomy was then performed on the upper cystic part of the right kidney. The histological examination was inconclusive; therefore, genetic testing was recommended. Kidney and liver cysts were detected sonographically in the mother, but DNA analysis of the PKD1 and PKD2 genes did not reveal any pathogenic variant; the cause of the pathological formation in the kidneys remained unclear. Nine years later, next-generation sequencing of a panel of genes for kidney disease was performed and a heterozygous deletion was found on chromosome 16; this included exon 13 of the IFT140 gene. The same deletion was found in the patient's mother. Currently, the patient is 14 years old and has mild sonographic findings, normal glomerular filtration, mild proteinuria, and hypertension.

Conclusion: Pathogenic variants of the IFT140 gene very rarely cause ADPKD; however, they should be considered in all children with autosomal dominant forms of PKD and asymmetric/atypical cystic kidney involvement or negative findings of PKD1 and PKD2.

求助全文
通过发布文献求助,成功后即可免费获取论文全文。 去求助
来源期刊
CiteScore
1.20
自引率
0.00%
发文量
36
审稿时长
10 weeks
期刊介绍: This peer-reviewed online-only journal publishes original case reports covering the entire spectrum of nephrology and dialysis, including genetic susceptibility, clinical presentation, diagnosis, treatment or prevention, toxicities of therapy, critical care, supportive care, quality-of-life and survival issues. The journal will also accept case reports dealing with the use of novel technologies, both in the arena of diagnosis and treatment. Supplementary material is welcomed.
×
引用
GB/T 7714-2015
复制
MLA
复制
APA
复制
导出至
BibTeX EndNote RefMan NoteFirst NoteExpress
×
提示
您的信息不完整,为了账户安全,请先补充。
现在去补充
×
提示
您因"违规操作"
具体请查看互助需知
我知道了
×
提示
确定
请完成安全验证×
copy
已复制链接
快去分享给好友吧!
我知道了
右上角分享
点击右上角分享
0
联系我们:info@booksci.cn Book学术提供免费学术资源搜索服务,方便国内外学者检索中英文文献。致力于提供最便捷和优质的服务体验。 Copyright © 2023 布克学术 All rights reserved.
京ICP备2023020795号-1
ghs 京公网安备 11010802042870号
Book学术文献互助
Book学术文献互助群
群 号:604180095
Book学术官方微信