腹膜透析中的腹膜炎:何时考虑急性胰腺炎?病例报告和微型综述。

IF 0.9 Q4 UROLOGY & NEPHROLOGY
Case Reports in Nephrology and Dialysis Pub Date : 2024-06-13 eCollection Date: 2024-01-01 DOI:10.1159/000539185
Simeon Schietzel, Sarah Jane Rippin Wagner, Luzia Nigg Calanca
{"title":"腹膜透析中的腹膜炎:何时考虑急性胰腺炎?病例报告和微型综述。","authors":"Simeon Schietzel, Sarah Jane Rippin Wagner, Luzia Nigg Calanca","doi":"10.1159/000539185","DOIUrl":null,"url":null,"abstract":"<p><strong>Introduction: </strong>Acute pancreatitis is an infrequent but challenging cause of peritonitis in peritoneal dialysis (PD). Presentation is often indistinguishable from infectious peritonitis, interpretation of pancreatic enzymes is not straight-forward, and multiple etiologies need to be considered.</p><p><strong>Case presentation: </strong>A 74-year-old PD patient presented with cloudy dialysate and subtle symptoms of malaise and abdominal pain. WBC was 26,000/µL, CRP was 250 mg/L, and dialysis effluent contained 1,047 leucocytes/μL (90% polymorphs). Infectious peritonitis was presumed, and antibiotic treatment started. However, dialysate cultures remained negative, effluent leucocyte count remained high, and clinical condition deteriorated. Abdominal ultrasound was unremarkable (pancreas not visible). Acute pancreatitis was diagnosed by elevated lipase level (serum: 628 U/L, dialysis fluid: 15 U/L) and CT scan. Disentangling etiological factors was challenging. The patient had gallstones, consumed alcoholic beverages, was recently on doxycycline and dialyzed with icodextrin. In addition, PD treatment itself may have been a contributory factor. Antibiotic therapy was stopped, and PD was temporarily suspended. Systemic and effluent markers of inflammation took 4 weeks to normalize. The patient did not regain his usual state of health until several weeks after discharge. Follow-up CT scan showed considerable pancreatic sequelae.</p><p><strong>Conclusion: </strong>Acute pancreatitis is an important cause of PD peritonitis. Negative dialysate cultures and unsatisfactory clinical response should trigger evaluation for acute pancreatitis and its multiple potential causes, including PD treatment itself. Serum lipase levels >3 times ULN and elevated dialysis fluid lipase can be expected. Timely performance of imaging is advisable. Prognosis can be poor, and close monitoring is recommended.</p>","PeriodicalId":9599,"journal":{"name":"Case Reports in Nephrology and Dialysis","volume":"14 1","pages":"70-80"},"PeriodicalIF":0.9000,"publicationDate":"2024-06-13","publicationTypes":"Journal Article","fieldsOfStudy":null,"isOpenAccess":false,"openAccessPdf":"https://www.ncbi.nlm.nih.gov/pmc/articles/PMC11250623/pdf/","citationCount":"0","resultStr":"{\"title\":\"Peritonitis in Peritoneal Dialysis: When to Consider Acute Pancreatitis? Case Report and Mini-Review.\",\"authors\":\"Simeon Schietzel, Sarah Jane Rippin Wagner, Luzia Nigg Calanca\",\"doi\":\"10.1159/000539185\",\"DOIUrl\":null,\"url\":null,\"abstract\":\"<p><strong>Introduction: </strong>Acute pancreatitis is an infrequent but challenging cause of peritonitis in peritoneal dialysis (PD). Presentation is often indistinguishable from infectious peritonitis, interpretation of pancreatic enzymes is not straight-forward, and multiple etiologies need to be considered.</p><p><strong>Case presentation: </strong>A 74-year-old PD patient presented with cloudy dialysate and subtle symptoms of malaise and abdominal pain. WBC was 26,000/µL, CRP was 250 mg/L, and dialysis effluent contained 1,047 leucocytes/μL (90% polymorphs). Infectious peritonitis was presumed, and antibiotic treatment started. However, dialysate cultures remained negative, effluent leucocyte count remained high, and clinical condition deteriorated. Abdominal ultrasound was unremarkable (pancreas not visible). Acute pancreatitis was diagnosed by elevated lipase level (serum: 628 U/L, dialysis fluid: 15 U/L) and CT scan. Disentangling etiological factors was challenging. The patient had gallstones, consumed alcoholic beverages, was recently on doxycycline and dialyzed with icodextrin. In addition, PD treatment itself may have been a contributory factor. Antibiotic therapy was stopped, and PD was temporarily suspended. Systemic and effluent markers of inflammation took 4 weeks to normalize. The patient did not regain his usual state of health until several weeks after discharge. Follow-up CT scan showed considerable pancreatic sequelae.</p><p><strong>Conclusion: </strong>Acute pancreatitis is an important cause of PD peritonitis. Negative dialysate cultures and unsatisfactory clinical response should trigger evaluation for acute pancreatitis and its multiple potential causes, including PD treatment itself. Serum lipase levels >3 times ULN and elevated dialysis fluid lipase can be expected. Timely performance of imaging is advisable. Prognosis can be poor, and close monitoring is recommended.</p>\",\"PeriodicalId\":9599,\"journal\":{\"name\":\"Case Reports in Nephrology and Dialysis\",\"volume\":\"14 1\",\"pages\":\"70-80\"},\"PeriodicalIF\":0.9000,\"publicationDate\":\"2024-06-13\",\"publicationTypes\":\"Journal Article\",\"fieldsOfStudy\":null,\"isOpenAccess\":false,\"openAccessPdf\":\"https://www.ncbi.nlm.nih.gov/pmc/articles/PMC11250623/pdf/\",\"citationCount\":\"0\",\"resultStr\":null,\"platform\":\"Semanticscholar\",\"paperid\":null,\"PeriodicalName\":\"Case Reports in Nephrology and Dialysis\",\"FirstCategoryId\":\"1085\",\"ListUrlMain\":\"https://doi.org/10.1159/000539185\",\"RegionNum\":0,\"RegionCategory\":null,\"ArticlePicture\":[],\"TitleCN\":null,\"AbstractTextCN\":null,\"PMCID\":null,\"EPubDate\":\"2024/1/1 0:00:00\",\"PubModel\":\"eCollection\",\"JCR\":\"Q4\",\"JCRName\":\"UROLOGY & NEPHROLOGY\",\"Score\":null,\"Total\":0}","platform":"Semanticscholar","paperid":null,"PeriodicalName":"Case Reports in Nephrology and Dialysis","FirstCategoryId":"1085","ListUrlMain":"https://doi.org/10.1159/000539185","RegionNum":0,"RegionCategory":null,"ArticlePicture":[],"TitleCN":null,"AbstractTextCN":null,"PMCID":null,"EPubDate":"2024/1/1 0:00:00","PubModel":"eCollection","JCR":"Q4","JCRName":"UROLOGY & NEPHROLOGY","Score":null,"Total":0}
引用次数: 0

摘要

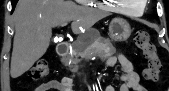
导言:急性胰腺炎是腹膜透析(PD)患者腹膜炎的一个不常见但具有挑战性的病因。其表现往往与感染性腹膜炎难以区分,胰酶的判读并不简单,而且需要考虑多种病因:一名 74 岁的腹膜透析患者出现透析液浑浊,并伴有乏力和腹痛等细微症状。白细胞为 26,000 个/微升,CRP 为 250 毫克/升,透析液中含有 1,047 个白细胞/微升(90% 为多形性)。推测为感染性腹膜炎,并开始进行抗生素治疗。然而,透析液培养仍为阴性,流出液白细胞计数仍然很高,临床状况恶化。腹部超声波检查没有发现异常(看不到胰腺)。通过脂肪酶水平升高(血清:628 U/L,透析液:15 U/L)和 CT 扫描确诊为急性胰腺炎。厘清病因具有挑战性。患者患有胆结石,饮用含酒精的饮料,最近服用强力霉素,并用碘糊精进行透析。此外,腹膜透析治疗本身也可能是诱因之一。患者停止了抗生素治疗,并暂时停止了腹膜透析。全身和流出的炎症指标在 4 周后才恢复正常。直到出院几周后,患者才恢复了往日的健康状况。随访CT扫描显示胰腺后遗症相当严重:急性胰腺炎是腹膜透析腹膜炎的一个重要原因。透析液培养阴性和临床反应不理想应引发对急性胰腺炎及其多种潜在原因的评估,包括腹膜透析治疗本身。预计血清脂肪酶水平会超过 ULN 的 3 倍,透析液脂肪酶也会升高。建议及时进行影像学检查。预后可能不佳,建议进行密切监测。
本文章由计算机程序翻译,如有差异,请以英文原文为准。

Peritonitis in Peritoneal Dialysis: When to Consider Acute Pancreatitis? Case Report and Mini-Review.

Peritonitis in Peritoneal Dialysis: When to Consider Acute Pancreatitis? Case Report and Mini-Review.

Peritonitis in Peritoneal Dialysis: When to Consider Acute Pancreatitis? Case Report and Mini-Review.

Peritonitis in Peritoneal Dialysis: When to Consider Acute Pancreatitis? Case Report and Mini-Review.

Introduction: Acute pancreatitis is an infrequent but challenging cause of peritonitis in peritoneal dialysis (PD). Presentation is often indistinguishable from infectious peritonitis, interpretation of pancreatic enzymes is not straight-forward, and multiple etiologies need to be considered.

Case presentation: A 74-year-old PD patient presented with cloudy dialysate and subtle symptoms of malaise and abdominal pain. WBC was 26,000/µL, CRP was 250 mg/L, and dialysis effluent contained 1,047 leucocytes/μL (90% polymorphs). Infectious peritonitis was presumed, and antibiotic treatment started. However, dialysate cultures remained negative, effluent leucocyte count remained high, and clinical condition deteriorated. Abdominal ultrasound was unremarkable (pancreas not visible). Acute pancreatitis was diagnosed by elevated lipase level (serum: 628 U/L, dialysis fluid: 15 U/L) and CT scan. Disentangling etiological factors was challenging. The patient had gallstones, consumed alcoholic beverages, was recently on doxycycline and dialyzed with icodextrin. In addition, PD treatment itself may have been a contributory factor. Antibiotic therapy was stopped, and PD was temporarily suspended. Systemic and effluent markers of inflammation took 4 weeks to normalize. The patient did not regain his usual state of health until several weeks after discharge. Follow-up CT scan showed considerable pancreatic sequelae.

Conclusion: Acute pancreatitis is an important cause of PD peritonitis. Negative dialysate cultures and unsatisfactory clinical response should trigger evaluation for acute pancreatitis and its multiple potential causes, including PD treatment itself. Serum lipase levels >3 times ULN and elevated dialysis fluid lipase can be expected. Timely performance of imaging is advisable. Prognosis can be poor, and close monitoring is recommended.

求助全文
通过发布文献求助,成功后即可免费获取论文全文。 去求助
来源期刊
CiteScore
1.20
自引率
0.00%
发文量
36
审稿时长
10 weeks
期刊介绍: This peer-reviewed online-only journal publishes original case reports covering the entire spectrum of nephrology and dialysis, including genetic susceptibility, clinical presentation, diagnosis, treatment or prevention, toxicities of therapy, critical care, supportive care, quality-of-life and survival issues. The journal will also accept case reports dealing with the use of novel technologies, both in the arena of diagnosis and treatment. Supplementary material is welcomed.
×
引用
GB/T 7714-2015
复制
MLA
复制
APA
复制
导出至
BibTeX EndNote RefMan NoteFirst NoteExpress
×
提示
您的信息不完整,为了账户安全,请先补充。
现在去补充
×
提示
您因"违规操作"
具体请查看互助需知
我知道了
×
提示
确定
请完成安全验证×
copy
已复制链接
快去分享给好友吧!
我知道了
右上角分享
点击右上角分享
0
联系我们:info@booksci.cn Book学术提供免费学术资源搜索服务,方便国内外学者检索中英文文献。致力于提供最便捷和优质的服务体验。 Copyright © 2023 布克学术 All rights reserved.
京ICP备2023020795号-1
ghs 京公网安备 11010802042870号
Book学术文献互助
Book学术文献互助群
群 号:604180095
Book学术官方微信