使用 CyberKnife-M6 进行立体定向体放射治疗原发性和转移性肺癌的结果。

IF 2.2 Q3 ONCOLOGY
World Journal of Oncology Pub Date : 2024-08-01 Epub Date: 2024-07-05 DOI:10.14740/wjon1865
Sureyya Sarihan, Sema Gozcu Tunc, Zenciye Kiray Irem, Arda Kahraman, Gokhan Ocakoglu
{"title":"使用 CyberKnife-M6 进行立体定向体放射治疗原发性和转移性肺癌的结果。","authors":"Sureyya Sarihan, Sema Gozcu Tunc, Zenciye Kiray Irem, Arda Kahraman, Gokhan Ocakoglu","doi":"10.14740/wjon1865","DOIUrl":null,"url":null,"abstract":"<p><strong>Background: </strong>The aim of the study was to evaluate the efficacy of stereotactic body radiotherapy (SBRT) using the CyberKnife-M6 (CK-M6) with lung optimized treatment (LOT) module in patients with primary lung cancer and lung metastases.</p><p><strong>Methods: </strong>Forty-two lesions from 35 patients were treated between 2019 and 2022. Four-dimensional computed tomography images were obtained when the patients were in a free breathing modality. Tracking modality was selected prospectively according to the visibility of the target. The median prescribed dose was 48 Gy in four fractions (fx) (28 - 55 Gy/1- 7 fx). The median age was 68 years (47 - 82 years), and 43% of cases were adenocarcinoma. The median lesion size was 15 mm (6 - 36 mm).</p><p><strong>Results: </strong>Complete, partial and stable responses were obtained as 26%, 62%, and 9.5% at a median of 2 months (1 - 6 months), and 35.5%, 47.5% and 5% at the 12th month evaluation, respectively. Grade 3 and higher toxicity was not observed in any case. The mean and 2-year overall survival (OS) was 31.5 months and 54%, and the local recurrence-free survival (LRFS) was 29.6 months and 51%, respectively. In univariate analysis, target lesion type, complete response (CR), and higher esophagus maximum dose were favorable factors for OS and LRFS (P < 0.05). The CR at 12th month evaluation remained significant in multivariate analysis in terms of OS (hazard ratio = 8.602, 95% confidence interval: 1.05 - 70.01; P = 0.044).</p><p><strong>Conclusions: </strong>A mean LRFS of 29.6 months and OS of 31.5 months were obtained in patients with primary and metastatic lung cancer. With a median treatment time of 25 min, motion-managed strategy with CK-M6-LOT-based SBRT is an effective, safe, and comfortable treatment method for lung cancer.</p>","PeriodicalId":46797,"journal":{"name":"World Journal of Oncology","volume":"15 4","pages":"711-721"},"PeriodicalIF":2.2000,"publicationDate":"2024-08-01","publicationTypes":"Journal Article","fieldsOfStudy":null,"isOpenAccess":false,"openAccessPdf":"https://www.ncbi.nlm.nih.gov/pmc/articles/PMC11236372/pdf/","citationCount":"0","resultStr":"{\"title\":\"Results of Stereotactic Body Radiotherapy With CyberKnife-M6 for Primary and Metastatic Lung Cancer.\",\"authors\":\"Sureyya Sarihan, Sema Gozcu Tunc, Zenciye Kiray Irem, Arda Kahraman, Gokhan Ocakoglu\",\"doi\":\"10.14740/wjon1865\",\"DOIUrl\":null,\"url\":null,\"abstract\":\"<p><strong>Background: </strong>The aim of the study was to evaluate the efficacy of stereotactic body radiotherapy (SBRT) using the CyberKnife-M6 (CK-M6) with lung optimized treatment (LOT) module in patients with primary lung cancer and lung metastases.</p><p><strong>Methods: </strong>Forty-two lesions from 35 patients were treated between 2019 and 2022. Four-dimensional computed tomography images were obtained when the patients were in a free breathing modality. Tracking modality was selected prospectively according to the visibility of the target. The median prescribed dose was 48 Gy in four fractions (fx) (28 - 55 Gy/1- 7 fx). The median age was 68 years (47 - 82 years), and 43% of cases were adenocarcinoma. The median lesion size was 15 mm (6 - 36 mm).</p><p><strong>Results: </strong>Complete, partial and stable responses were obtained as 26%, 62%, and 9.5% at a median of 2 months (1 - 6 months), and 35.5%, 47.5% and 5% at the 12th month evaluation, respectively. Grade 3 and higher toxicity was not observed in any case. The mean and 2-year overall survival (OS) was 31.5 months and 54%, and the local recurrence-free survival (LRFS) was 29.6 months and 51%, respectively. In univariate analysis, target lesion type, complete response (CR), and higher esophagus maximum dose were favorable factors for OS and LRFS (P < 0.05). The CR at 12th month evaluation remained significant in multivariate analysis in terms of OS (hazard ratio = 8.602, 95% confidence interval: 1.05 - 70.01; P = 0.044).</p><p><strong>Conclusions: </strong>A mean LRFS of 29.6 months and OS of 31.5 months were obtained in patients with primary and metastatic lung cancer. With a median treatment time of 25 min, motion-managed strategy with CK-M6-LOT-based SBRT is an effective, safe, and comfortable treatment method for lung cancer.</p>\",\"PeriodicalId\":46797,\"journal\":{\"name\":\"World Journal of Oncology\",\"volume\":\"15 4\",\"pages\":\"711-721\"},\"PeriodicalIF\":2.2000,\"publicationDate\":\"2024-08-01\",\"publicationTypes\":\"Journal Article\",\"fieldsOfStudy\":null,\"isOpenAccess\":false,\"openAccessPdf\":\"https://www.ncbi.nlm.nih.gov/pmc/articles/PMC11236372/pdf/\",\"citationCount\":\"0\",\"resultStr\":null,\"platform\":\"Semanticscholar\",\"paperid\":null,\"PeriodicalName\":\"World Journal of Oncology\",\"FirstCategoryId\":\"1085\",\"ListUrlMain\":\"https://doi.org/10.14740/wjon1865\",\"RegionNum\":0,\"RegionCategory\":null,\"ArticlePicture\":[],\"TitleCN\":null,\"AbstractTextCN\":null,\"PMCID\":null,\"EPubDate\":\"2024/7/5 0:00:00\",\"PubModel\":\"Epub\",\"JCR\":\"Q3\",\"JCRName\":\"ONCOLOGY\",\"Score\":null,\"Total\":0}","platform":"Semanticscholar","paperid":null,"PeriodicalName":"World Journal of Oncology","FirstCategoryId":"1085","ListUrlMain":"https://doi.org/10.14740/wjon1865","RegionNum":0,"RegionCategory":null,"ArticlePicture":[],"TitleCN":null,"AbstractTextCN":null,"PMCID":null,"EPubDate":"2024/7/5 0:00:00","PubModel":"Epub","JCR":"Q3","JCRName":"ONCOLOGY","Score":null,"Total":0}
引用次数: 0

摘要

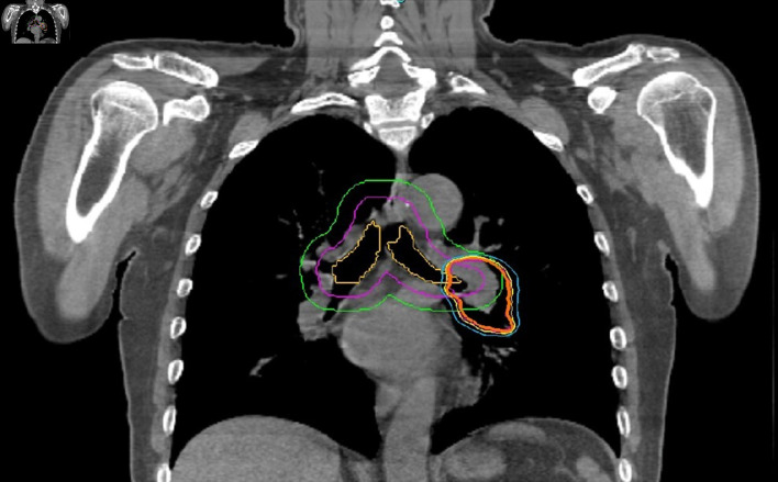
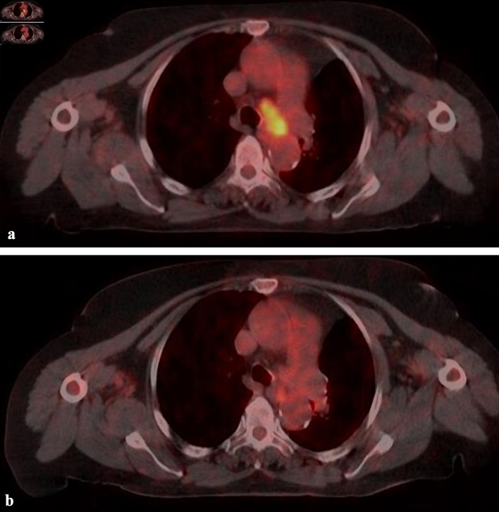
研究背景该研究旨在评估使用带有肺优化治疗(LOT)模块的CyberKnife-M6(CK-M6)立体定向体放射治疗(SBRT)对原发性肺癌和肺转移患者的疗效:在2019年至2022年期间,对35名患者的42个病灶进行了治疗。患者在自由呼吸模式下获得四维计算机断层扫描图像。追踪方式根据靶点的可见度进行前瞻性选择。处方剂量中位数为48 Gy,分四次进行(28 - 55 Gy/1- 7 fx)。中位年龄为68岁(47 - 82岁),43%的病例为腺癌。中位病灶大小为 15 毫米(6 - 36 毫米):在中位 2 个月(1 - 6 个月)和第 12 个月的评估中,完全、部分和稳定应答的比例分别为 26%、62% 和 9.5%,而在第 12 个月的评估中,完全、部分和稳定应答的比例分别为 35.5%、47.5% 和 5%。所有病例均未出现 3 级及以上毒性。平均2年总生存期(OS)分别为31.5个月和54%,无局部复发生存期(LRFS)分别为29.6个月和51%。在单变量分析中,靶病灶类型、完全反应(CR)和较高的食管最大剂量是影响OS和LRFS的有利因素(P < 0.05)。在多变量分析中,第12个月评估时的CR对OS仍有显著影响(危险比=8.602,95%置信区间:1.05 - 70.01;P=0.044):原发性和转移性肺癌患者的平均长生存期为29.6个月,生存期为31.5个月。中位治疗时间为25分钟,基于CK-M6-LOT的SBRT运动管理策略是一种有效、安全、舒适的肺癌治疗方法。
本文章由计算机程序翻译,如有差异,请以英文原文为准。

Results of Stereotactic Body Radiotherapy With CyberKnife-M6 for Primary and Metastatic Lung Cancer.

Results of Stereotactic Body Radiotherapy With CyberKnife-M6 for Primary and Metastatic Lung Cancer.

Results of Stereotactic Body Radiotherapy With CyberKnife-M6 for Primary and Metastatic Lung Cancer.

Results of Stereotactic Body Radiotherapy With CyberKnife-M6 for Primary and Metastatic Lung Cancer.

Background: The aim of the study was to evaluate the efficacy of stereotactic body radiotherapy (SBRT) using the CyberKnife-M6 (CK-M6) with lung optimized treatment (LOT) module in patients with primary lung cancer and lung metastases.

Methods: Forty-two lesions from 35 patients were treated between 2019 and 2022. Four-dimensional computed tomography images were obtained when the patients were in a free breathing modality. Tracking modality was selected prospectively according to the visibility of the target. The median prescribed dose was 48 Gy in four fractions (fx) (28 - 55 Gy/1- 7 fx). The median age was 68 years (47 - 82 years), and 43% of cases were adenocarcinoma. The median lesion size was 15 mm (6 - 36 mm).

Results: Complete, partial and stable responses were obtained as 26%, 62%, and 9.5% at a median of 2 months (1 - 6 months), and 35.5%, 47.5% and 5% at the 12th month evaluation, respectively. Grade 3 and higher toxicity was not observed in any case. The mean and 2-year overall survival (OS) was 31.5 months and 54%, and the local recurrence-free survival (LRFS) was 29.6 months and 51%, respectively. In univariate analysis, target lesion type, complete response (CR), and higher esophagus maximum dose were favorable factors for OS and LRFS (P < 0.05). The CR at 12th month evaluation remained significant in multivariate analysis in terms of OS (hazard ratio = 8.602, 95% confidence interval: 1.05 - 70.01; P = 0.044).

Conclusions: A mean LRFS of 29.6 months and OS of 31.5 months were obtained in patients with primary and metastatic lung cancer. With a median treatment time of 25 min, motion-managed strategy with CK-M6-LOT-based SBRT is an effective, safe, and comfortable treatment method for lung cancer.

求助全文
通过发布文献求助,成功后即可免费获取论文全文。 去求助
来源期刊
CiteScore
6.10
自引率
15.40%
发文量
37
期刊介绍: World Journal of Oncology, bimonthly, publishes original contributions describing basic research and clinical investigation of cancer, on the cellular, molecular, prevention, diagnosis, therapy and prognosis aspects. The submissions can be basic research or clinical investigation oriented. This journal welcomes those submissions focused on the clinical trials of new treatment modalities for cancer, and those submissions focused on molecular or cellular research of the oncology pathogenesis. Case reports submitted for consideration of publication should explore either a novel genomic event/description or a new safety signal from an oncolytic agent. The areas of interested manuscripts are these disciplines: tumor immunology and immunotherapy; cancer molecular pharmacology and chemotherapy; drug sensitivity and resistance; cancer epidemiology; clinical trials; cancer pathology; radiobiology and radiation oncology; solid tumor oncology; hematological malignancies; surgical oncology; pediatric oncology; molecular oncology and cancer genes; gene therapy; cancer endocrinology; cancer metastasis; prevention and diagnosis of cancer; other cancer related subjects. The types of manuscripts accepted are original article, review, editorial, short communication, case report, letter to the editor, book review.
×
引用
GB/T 7714-2015
复制
MLA
复制
APA
复制
导出至
BibTeX EndNote RefMan NoteFirst NoteExpress
×
提示
您的信息不完整,为了账户安全,请先补充。
现在去补充
×
提示
您因"违规操作"
具体请查看互助需知
我知道了
×
提示
确定
请完成安全验证×
copy
已复制链接
快去分享给好友吧!
我知道了
右上角分享
点击右上角分享
0
联系我们:info@booksci.cn Book学术提供免费学术资源搜索服务,方便国内外学者检索中英文文献。致力于提供最便捷和优质的服务体验。 Copyright © 2023 布克学术 All rights reserved.
京ICP备2023020795号-1
ghs 京公网安备 11010802042870号
Book学术文献互助
Book学术文献互助群
群 号:604180095
Book学术官方微信