磁共振成像上模仿骨肉瘤的表皮生长因子受体突变肺腺癌股骨近端转移瘤

IF 2.2 Q3 ONCOLOGY
World Journal of Oncology Pub Date : 2024-08-01 Epub Date: 2024-07-05 DOI:10.14740/wjon1888
Chang Jun Chen, Jun Feng Yin, Hao Xuan Zhang, Qing Wei Ma, Xin Zhao, Meng Chen, Da Yong Peng
{"title":"磁共振成像上模仿骨肉瘤的表皮生长因子受体突变肺腺癌股骨近端转移瘤","authors":"Chang Jun Chen, Jun Feng Yin, Hao Xuan Zhang, Qing Wei Ma, Xin Zhao, Meng Chen, Da Yong Peng","doi":"10.14740/wjon1888","DOIUrl":null,"url":null,"abstract":"<p><p>The aggressive nature of lung cancer is frequently accompanied by a high incidence of bone metastasis; however, proximal femoral metastasis from lung cancer is comparatively uncommon when compared to other malignancies. In this report, we present the case of a 53-year-old Asian male who presented with pain in the left thigh and back. Magnetic resonance imaging revealed severe bone destruction with involvement of adjacent soft tissue mass at the left thigh, exhibiting imaging findings that mimic osteosarcoma. Subsequent bone biopsy confirmed the diagnosis of epidermal growth factor receptor (<i>EGFR</i>)-mutated lung adenocarcinoma with bone metastasis. The patient achieved survival following administration of osimertinib and underwent surgery for femoral metastases without palliative surgery for lung cancer. Therefore, proximal femoral metastasis from <i>EGFR</i>-mutated lung adenocarcinoma should be considered as a differential diagnosis in patients suspected to have osteosarcoma. The imaging findings of proximal femoral metastasis from <i>EGFR</i>-mutated lung adenocarcinoma were presented, and their therapeutic management was discussed.</p>","PeriodicalId":46797,"journal":{"name":"World Journal of Oncology","volume":"15 4","pages":"731-735"},"PeriodicalIF":2.2000,"publicationDate":"2024-08-01","publicationTypes":"Journal Article","fieldsOfStudy":null,"isOpenAccess":false,"openAccessPdf":"https://www.ncbi.nlm.nih.gov/pmc/articles/PMC11236371/pdf/","citationCount":"0","resultStr":"{\"title\":\"Proximal Femoral Metastasis From Epidermal Growth Factor Receptor-Mutated Lung Adenocarcinoma Mimicking Osteosarcoma on Magnetic Resonance Imaging.\",\"authors\":\"Chang Jun Chen, Jun Feng Yin, Hao Xuan Zhang, Qing Wei Ma, Xin Zhao, Meng Chen, Da Yong Peng\",\"doi\":\"10.14740/wjon1888\",\"DOIUrl\":null,\"url\":null,\"abstract\":\"<p><p>The aggressive nature of lung cancer is frequently accompanied by a high incidence of bone metastasis; however, proximal femoral metastasis from lung cancer is comparatively uncommon when compared to other malignancies. In this report, we present the case of a 53-year-old Asian male who presented with pain in the left thigh and back. Magnetic resonance imaging revealed severe bone destruction with involvement of adjacent soft tissue mass at the left thigh, exhibiting imaging findings that mimic osteosarcoma. Subsequent bone biopsy confirmed the diagnosis of epidermal growth factor receptor (<i>EGFR</i>)-mutated lung adenocarcinoma with bone metastasis. The patient achieved survival following administration of osimertinib and underwent surgery for femoral metastases without palliative surgery for lung cancer. Therefore, proximal femoral metastasis from <i>EGFR</i>-mutated lung adenocarcinoma should be considered as a differential diagnosis in patients suspected to have osteosarcoma. The imaging findings of proximal femoral metastasis from <i>EGFR</i>-mutated lung adenocarcinoma were presented, and their therapeutic management was discussed.</p>\",\"PeriodicalId\":46797,\"journal\":{\"name\":\"World Journal of Oncology\",\"volume\":\"15 4\",\"pages\":\"731-735\"},\"PeriodicalIF\":2.2000,\"publicationDate\":\"2024-08-01\",\"publicationTypes\":\"Journal Article\",\"fieldsOfStudy\":null,\"isOpenAccess\":false,\"openAccessPdf\":\"https://www.ncbi.nlm.nih.gov/pmc/articles/PMC11236371/pdf/\",\"citationCount\":\"0\",\"resultStr\":null,\"platform\":\"Semanticscholar\",\"paperid\":null,\"PeriodicalName\":\"World Journal of Oncology\",\"FirstCategoryId\":\"1085\",\"ListUrlMain\":\"https://doi.org/10.14740/wjon1888\",\"RegionNum\":0,\"RegionCategory\":null,\"ArticlePicture\":[],\"TitleCN\":null,\"AbstractTextCN\":null,\"PMCID\":null,\"EPubDate\":\"2024/7/5 0:00:00\",\"PubModel\":\"Epub\",\"JCR\":\"Q3\",\"JCRName\":\"ONCOLOGY\",\"Score\":null,\"Total\":0}","platform":"Semanticscholar","paperid":null,"PeriodicalName":"World Journal of Oncology","FirstCategoryId":"1085","ListUrlMain":"https://doi.org/10.14740/wjon1888","RegionNum":0,"RegionCategory":null,"ArticlePicture":[],"TitleCN":null,"AbstractTextCN":null,"PMCID":null,"EPubDate":"2024/7/5 0:00:00","PubModel":"Epub","JCR":"Q3","JCRName":"ONCOLOGY","Score":null,"Total":0}
引用次数: 0

摘要

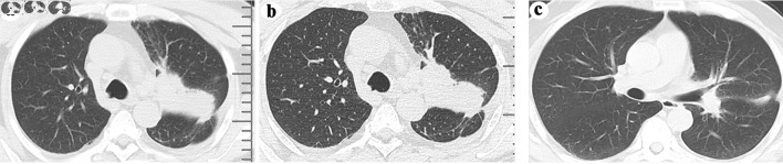
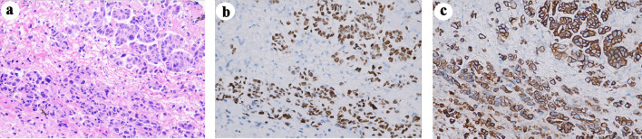
肺癌的侵袭性常常伴随着骨转移的高发病率;然而,与其他恶性肿瘤相比,肺癌引起的股骨近端转移并不常见。在本报告中,我们介绍了一名 53 岁亚洲男性的病例,他因左大腿和背部疼痛而就诊。磁共振成像显示左大腿处有严重的骨质破坏,邻近的软组织肿块也受累,成像结果与骨肉瘤相似。随后的骨活检确诊为表皮生长因子受体(EGFR)突变的肺腺癌并发骨转移。患者在服用奥希替尼后获得了生存,并接受了股骨转移手术,而没有接受肺癌姑息手术。因此,在怀疑患有骨肉瘤的患者中,应将表皮生长因子受体(EGFR)突变的肺腺癌引起的股骨近端转移作为鉴别诊断。本文介绍了表皮生长因子受体(EGFR)突变肺腺癌股骨近端转移的影像学检查结果,并讨论了其治疗方法。
本文章由计算机程序翻译,如有差异,请以英文原文为准。

Proximal Femoral Metastasis From Epidermal Growth Factor Receptor-Mutated Lung Adenocarcinoma Mimicking Osteosarcoma on Magnetic Resonance Imaging.

Proximal Femoral Metastasis From Epidermal Growth Factor Receptor-Mutated Lung Adenocarcinoma Mimicking Osteosarcoma on Magnetic Resonance Imaging.

Proximal Femoral Metastasis From Epidermal Growth Factor Receptor-Mutated Lung Adenocarcinoma Mimicking Osteosarcoma on Magnetic Resonance Imaging.

Proximal Femoral Metastasis From Epidermal Growth Factor Receptor-Mutated Lung Adenocarcinoma Mimicking Osteosarcoma on Magnetic Resonance Imaging.

The aggressive nature of lung cancer is frequently accompanied by a high incidence of bone metastasis; however, proximal femoral metastasis from lung cancer is comparatively uncommon when compared to other malignancies. In this report, we present the case of a 53-year-old Asian male who presented with pain in the left thigh and back. Magnetic resonance imaging revealed severe bone destruction with involvement of adjacent soft tissue mass at the left thigh, exhibiting imaging findings that mimic osteosarcoma. Subsequent bone biopsy confirmed the diagnosis of epidermal growth factor receptor (EGFR)-mutated lung adenocarcinoma with bone metastasis. The patient achieved survival following administration of osimertinib and underwent surgery for femoral metastases without palliative surgery for lung cancer. Therefore, proximal femoral metastasis from EGFR-mutated lung adenocarcinoma should be considered as a differential diagnosis in patients suspected to have osteosarcoma. The imaging findings of proximal femoral metastasis from EGFR-mutated lung adenocarcinoma were presented, and their therapeutic management was discussed.

求助全文
通过发布文献求助,成功后即可免费获取论文全文。 去求助
来源期刊
CiteScore
6.10
自引率
15.40%
发文量
37
期刊介绍: World Journal of Oncology, bimonthly, publishes original contributions describing basic research and clinical investigation of cancer, on the cellular, molecular, prevention, diagnosis, therapy and prognosis aspects. The submissions can be basic research or clinical investigation oriented. This journal welcomes those submissions focused on the clinical trials of new treatment modalities for cancer, and those submissions focused on molecular or cellular research of the oncology pathogenesis. Case reports submitted for consideration of publication should explore either a novel genomic event/description or a new safety signal from an oncolytic agent. The areas of interested manuscripts are these disciplines: tumor immunology and immunotherapy; cancer molecular pharmacology and chemotherapy; drug sensitivity and resistance; cancer epidemiology; clinical trials; cancer pathology; radiobiology and radiation oncology; solid tumor oncology; hematological malignancies; surgical oncology; pediatric oncology; molecular oncology and cancer genes; gene therapy; cancer endocrinology; cancer metastasis; prevention and diagnosis of cancer; other cancer related subjects. The types of manuscripts accepted are original article, review, editorial, short communication, case report, letter to the editor, book review.
×
引用
GB/T 7714-2015
复制
MLA
复制
APA
复制
导出至
BibTeX EndNote RefMan NoteFirst NoteExpress
×
提示
您的信息不完整,为了账户安全,请先补充。
现在去补充
×
提示
您因"违规操作"
具体请查看互助需知
我知道了
×
提示
确定
请完成安全验证×
copy
已复制链接
快去分享给好友吧!
我知道了
右上角分享
点击右上角分享
0
联系我们:info@booksci.cn Book学术提供免费学术资源搜索服务,方便国内外学者检索中英文文献。致力于提供最便捷和优质的服务体验。 Copyright © 2023 布克学术 All rights reserved.
京ICP备2023020795号-1
ghs 京公网安备 11010802042870号
Book学术文献互助
Book学术文献互助群
群 号:604180095
Book学术官方微信