表达α-1抗胰蛋白酶基因的人脂肪组织间充质干细胞对肝纤维化的疗效:小鼠研究。

Q3 Medicine
Sara Ali Hosseinzadeh, Abbas Sahebghadam Lotfi, Nahid Davoodian, Sareh Arjmand, Marjan Rangchi, Fatemeh Mashhadiabbas
{"title":"表达α-1抗胰蛋白酶基因的人脂肪组织间充质干细胞对肝纤维化的疗效:小鼠研究。","authors":"Sara Ali Hosseinzadeh, Abbas Sahebghadam Lotfi, Nahid Davoodian, Sareh Arjmand, Marjan Rangchi, Fatemeh Mashhadiabbas","doi":"10.22037/ghfbb.v17i2.2923","DOIUrl":null,"url":null,"abstract":"<p><strong>Aim: </strong>The present study examined the protective potential of human adipose tissue-derived mesenchymal stem cells (hASCs) modified to overexpress alpha-1 antitrypsin (AAT), in a mouse model of the liver fibrosis.</p><p><strong>Background: </strong>For the treatment of end-stage liver diseases, cell therapy has emerged as a promising noninvasive alternative to liver transplantation. Mesenchymal stem cells (MSCs) are being evaluated due to their dual capabilities of promoting liver regeneration and modulating the pathogenic inflammation of the immune system.</p><p><strong>Methods: </strong>Liver fibrosis was induced in mice via the intraperitoneal injection of carbon tetrachloride (CCl4). MSCs were extracted from the human adipose tissue. After stemness confirmation, the cells were transduced with the lentiviruses containing the AAT gene, and then injected into the mice's tail vein. Fourteen days' post-transplantation, mice were sacrificed, and blood and tissue samples were collected for analysis. Important liver enzymes, including alanine transaminase (ALT), aspartate aminotransferase (AST), alkaline phosphatase (ALP), albumin, and total bilirubin (TB), were measured. Histological studies were carried out using the hematoxylin and eosin (H&E), as well as Masson's trichrome (MT) staining.</p><p><strong>Results: </strong>Compared to hASCs, treatment with AAT-hASCs resulted in greater reductions in ALT, AST, ALP, and TB, as well as normalized albumin levels. AAT-hASCs promoted enhanced liver regeneration histologically, likely attributable to anti-inflammatory and anti-proteolytic properties of AAT.</p><p><strong>Conclusion: </strong>These findings indicate AAT-engineered hASCs as a promising cell-gene therapy candidate for further study in liver cirrhosis models.</p>","PeriodicalId":12636,"journal":{"name":"Gastroenterology and Hepatology From Bed to Bench","volume":"17 2","pages":"151-160"},"PeriodicalIF":0.0000,"publicationDate":"2024-01-01","publicationTypes":"Journal Article","fieldsOfStudy":null,"isOpenAccess":false,"openAccessPdf":"https://www.ncbi.nlm.nih.gov/pmc/articles/PMC11234484/pdf/","citationCount":"0","resultStr":"{\"title\":\"Effectiveness of human adipose tissue-derived mesenchymal stem cells expressing alpha-1 antitrypsin gene in liver fibrosis: a study in mice.\",\"authors\":\"Sara Ali Hosseinzadeh, Abbas Sahebghadam Lotfi, Nahid Davoodian, Sareh Arjmand, Marjan Rangchi, Fatemeh Mashhadiabbas\",\"doi\":\"10.22037/ghfbb.v17i2.2923\",\"DOIUrl\":null,\"url\":null,\"abstract\":\"<p><strong>Aim: </strong>The present study examined the protective potential of human adipose tissue-derived mesenchymal stem cells (hASCs) modified to overexpress alpha-1 antitrypsin (AAT), in a mouse model of the liver fibrosis.</p><p><strong>Background: </strong>For the treatment of end-stage liver diseases, cell therapy has emerged as a promising noninvasive alternative to liver transplantation. Mesenchymal stem cells (MSCs) are being evaluated due to their dual capabilities of promoting liver regeneration and modulating the pathogenic inflammation of the immune system.</p><p><strong>Methods: </strong>Liver fibrosis was induced in mice via the intraperitoneal injection of carbon tetrachloride (CCl4). MSCs were extracted from the human adipose tissue. After stemness confirmation, the cells were transduced with the lentiviruses containing the AAT gene, and then injected into the mice's tail vein. Fourteen days' post-transplantation, mice were sacrificed, and blood and tissue samples were collected for analysis. Important liver enzymes, including alanine transaminase (ALT), aspartate aminotransferase (AST), alkaline phosphatase (ALP), albumin, and total bilirubin (TB), were measured. Histological studies were carried out using the hematoxylin and eosin (H&E), as well as Masson's trichrome (MT) staining.</p><p><strong>Results: </strong>Compared to hASCs, treatment with AAT-hASCs resulted in greater reductions in ALT, AST, ALP, and TB, as well as normalized albumin levels. AAT-hASCs promoted enhanced liver regeneration histologically, likely attributable to anti-inflammatory and anti-proteolytic properties of AAT.</p><p><strong>Conclusion: </strong>These findings indicate AAT-engineered hASCs as a promising cell-gene therapy candidate for further study in liver cirrhosis models.</p>\",\"PeriodicalId\":12636,\"journal\":{\"name\":\"Gastroenterology and Hepatology From Bed to Bench\",\"volume\":\"17 2\",\"pages\":\"151-160\"},\"PeriodicalIF\":0.0000,\"publicationDate\":\"2024-01-01\",\"publicationTypes\":\"Journal Article\",\"fieldsOfStudy\":null,\"isOpenAccess\":false,\"openAccessPdf\":\"https://www.ncbi.nlm.nih.gov/pmc/articles/PMC11234484/pdf/\",\"citationCount\":\"0\",\"resultStr\":null,\"platform\":\"Semanticscholar\",\"paperid\":null,\"PeriodicalName\":\"Gastroenterology and Hepatology From Bed to Bench\",\"FirstCategoryId\":\"1085\",\"ListUrlMain\":\"https://doi.org/10.22037/ghfbb.v17i2.2923\",\"RegionNum\":0,\"RegionCategory\":null,\"ArticlePicture\":[],\"TitleCN\":null,\"AbstractTextCN\":null,\"PMCID\":null,\"EPubDate\":\"\",\"PubModel\":\"\",\"JCR\":\"Q3\",\"JCRName\":\"Medicine\",\"Score\":null,\"Total\":0}","platform":"Semanticscholar","paperid":null,"PeriodicalName":"Gastroenterology and Hepatology From Bed to Bench","FirstCategoryId":"1085","ListUrlMain":"https://doi.org/10.22037/ghfbb.v17i2.2923","RegionNum":0,"RegionCategory":null,"ArticlePicture":[],"TitleCN":null,"AbstractTextCN":null,"PMCID":null,"EPubDate":"","PubModel":"","JCR":"Q3","JCRName":"Medicine","Score":null,"Total":0}
引用次数: 0

摘要

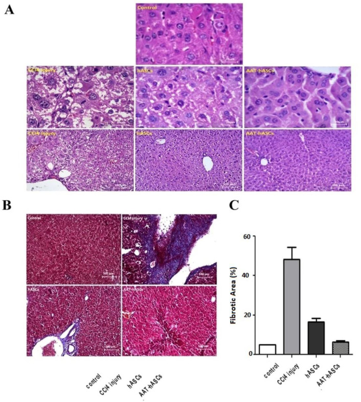
目的:本研究考察了经修饰以过度表达α-1抗胰蛋白酶(AAT)的人脂肪组织间充质干细胞(hASCs)在肝纤维化小鼠模型中的保护潜力:背景:为治疗终末期肝病,细胞疗法已成为肝脏移植手术的一种有前途的非侵入性替代疗法。间充质干细胞(MSCs)具有促进肝脏再生和调节免疫系统致病性炎症的双重能力,因此正在接受评估:方法:通过腹腔注射四氯化碳(CCl4)诱导小鼠肝纤维化。从人体脂肪组织中提取间充质干细胞。干性确认后,用含有AAT基因的慢病毒转导细胞,然后注入小鼠尾静脉。移植后14天,小鼠被处死,收集血液和组织样本进行分析。测量重要的肝酶,包括丙氨酸转氨酶(ALT)、天门冬氨酸氨基转移酶(AST)、碱性磷酸酶(ALP)、白蛋白和总胆红素(TB)。使用苏木精和伊红(H&E)以及马森三色染色法(MT)进行组织学研究:结果:与 hASCs 相比,使用 AAT-hASCs 治疗能显著降低 ALT、AST、ALP 和 TB,并使白蛋白水平恢复正常。从组织学角度看,AAT-hASCs 促进了肝脏再生,这可能归因于 AAT 的抗炎和抗蛋白水解特性:这些研究结果表明,AAT 工程化 hASCs 是一种很有前景的细胞基因疗法候选方案,可用于肝硬化模型的进一步研究。
本文章由计算机程序翻译,如有差异,请以英文原文为准。

Effectiveness of human adipose tissue-derived mesenchymal stem cells expressing alpha-1 antitrypsin gene in liver fibrosis: a study in mice.

Effectiveness of human adipose tissue-derived mesenchymal stem cells expressing alpha-1 antitrypsin gene in liver fibrosis: a study in mice.

Effectiveness of human adipose tissue-derived mesenchymal stem cells expressing alpha-1 antitrypsin gene in liver fibrosis: a study in mice.

Effectiveness of human adipose tissue-derived mesenchymal stem cells expressing alpha-1 antitrypsin gene in liver fibrosis: a study in mice.

Aim: The present study examined the protective potential of human adipose tissue-derived mesenchymal stem cells (hASCs) modified to overexpress alpha-1 antitrypsin (AAT), in a mouse model of the liver fibrosis.

Background: For the treatment of end-stage liver diseases, cell therapy has emerged as a promising noninvasive alternative to liver transplantation. Mesenchymal stem cells (MSCs) are being evaluated due to their dual capabilities of promoting liver regeneration and modulating the pathogenic inflammation of the immune system.

Methods: Liver fibrosis was induced in mice via the intraperitoneal injection of carbon tetrachloride (CCl4). MSCs were extracted from the human adipose tissue. After stemness confirmation, the cells were transduced with the lentiviruses containing the AAT gene, and then injected into the mice's tail vein. Fourteen days' post-transplantation, mice were sacrificed, and blood and tissue samples were collected for analysis. Important liver enzymes, including alanine transaminase (ALT), aspartate aminotransferase (AST), alkaline phosphatase (ALP), albumin, and total bilirubin (TB), were measured. Histological studies were carried out using the hematoxylin and eosin (H&E), as well as Masson's trichrome (MT) staining.

Results: Compared to hASCs, treatment with AAT-hASCs resulted in greater reductions in ALT, AST, ALP, and TB, as well as normalized albumin levels. AAT-hASCs promoted enhanced liver regeneration histologically, likely attributable to anti-inflammatory and anti-proteolytic properties of AAT.

Conclusion: These findings indicate AAT-engineered hASCs as a promising cell-gene therapy candidate for further study in liver cirrhosis models.

求助全文
通过发布文献求助,成功后即可免费获取论文全文。 去求助
来源期刊
CiteScore
2.30
自引率
0.00%
发文量
29
×
引用
GB/T 7714-2015
复制
MLA
复制
APA
复制
导出至
BibTeX EndNote RefMan NoteFirst NoteExpress
×
提示
您的信息不完整,为了账户安全,请先补充。
现在去补充
×
提示
您因"违规操作"
具体请查看互助需知
我知道了
×
提示
确定
请完成安全验证×
copy
已复制链接
快去分享给好友吧!
我知道了
右上角分享
点击右上角分享
0
联系我们:info@booksci.cn Book学术提供免费学术资源搜索服务,方便国内外学者检索中英文文献。致力于提供最便捷和优质的服务体验。 Copyright © 2023 布克学术 All rights reserved.
京ICP备2023020795号-1
ghs 京公网安备 11010802042870号
Book学术文献互助
Book学术文献互助群
群 号:604180095
Book学术官方微信