伴有不自主运动的假性甲状旁腺功能减退症1B型:病例报告和文献综述。

IF 1.2 Q4 ENDOCRINOLOGY & METABOLISM
Clinical Pediatric Endocrinology Pub Date : 2024-01-01 Epub Date: 2024-03-25 DOI:10.1297/cpe.2023-0080
Junko Naganuma, Hiroshi Suzumura, Satomi Koyama, Miho Yaginuma, Yuji Fujita, Yoshiyuki Watabe, George Imataka, Keiko Matsubara, Masayo Kagami, Shigemi Yoshihara
{"title":"伴有不自主运动的假性甲状旁腺功能减退症1B型:病例报告和文献综述。","authors":"Junko Naganuma, Hiroshi Suzumura, Satomi Koyama, Miho Yaginuma, Yuji Fujita, Yoshiyuki Watabe, George Imataka, Keiko Matsubara, Masayo Kagami, Shigemi Yoshihara","doi":"10.1297/cpe.2023-0080","DOIUrl":null,"url":null,"abstract":"<p><p>Pseudohypoparathyroidism (PHP) is a rare disorder characterized by convulsions, tetany, and sensory abnormalities caused by hypocalcemia due to parathyroid hormone (PTH) resistance. Only few patients present with involuntary movements. We report the case of a 7-yr-old girl with PHP and involuntary movements triggered by running. Initially, she was suspected of having paroxysmal kinesigenic dyskinesia and was treated with carbamazepine (CBZ). Involuntary movements were reduced. However, 2 months post-treatment, she experienced convulsions during a fever. Blood tests and brain computed tomography revealed hypocalcemia, hyperphosphatemia, elevated intact PTH, and calcifications in the frontal cortex and basal ganglia. The patient showed no features of Albright's hereditary osteodystrophy. The involuntary movements disappeared after the discontinuation of CBZ and initiation of calcium and active vitamin D preparations. Methylation-specific multiplex ligation-dependent probe amplification for the <i>GNAS</i> region and microsatellite analysis of chromosome 20 led to the diagnosis of PHP1B caused by epimutation. In 15 reported cases, with or without intracranial calcification, PHP-associated involuntary movements disappeared or became less severe with treatment for hypocalcemia; in eight of 11 cases, they were triggered by exercise or movement. PHP-associated hypocalcemia can trigger exercise-induced involuntary movements owing to lowered serum ionized calcium levels. In such patients, early blood tests are vital for the differential diagnosis of PHP.</p>","PeriodicalId":10678,"journal":{"name":"Clinical Pediatric Endocrinology","volume":"33 3","pages":"151-156"},"PeriodicalIF":1.2000,"publicationDate":"2024-01-01","publicationTypes":"Journal Article","fieldsOfStudy":null,"isOpenAccess":false,"openAccessPdf":"https://www.ncbi.nlm.nih.gov/pmc/articles/PMC11234180/pdf/","citationCount":"0","resultStr":"{\"title\":\"Pseudohypoparathyroidism type 1B with involuntary movements: a case report and literature review.\",\"authors\":\"Junko Naganuma, Hiroshi Suzumura, Satomi Koyama, Miho Yaginuma, Yuji Fujita, Yoshiyuki Watabe, George Imataka, Keiko Matsubara, Masayo Kagami, Shigemi Yoshihara\",\"doi\":\"10.1297/cpe.2023-0080\",\"DOIUrl\":null,\"url\":null,\"abstract\":\"<p><p>Pseudohypoparathyroidism (PHP) is a rare disorder characterized by convulsions, tetany, and sensory abnormalities caused by hypocalcemia due to parathyroid hormone (PTH) resistance. Only few patients present with involuntary movements. We report the case of a 7-yr-old girl with PHP and involuntary movements triggered by running. Initially, she was suspected of having paroxysmal kinesigenic dyskinesia and was treated with carbamazepine (CBZ). Involuntary movements were reduced. However, 2 months post-treatment, she experienced convulsions during a fever. Blood tests and brain computed tomography revealed hypocalcemia, hyperphosphatemia, elevated intact PTH, and calcifications in the frontal cortex and basal ganglia. The patient showed no features of Albright's hereditary osteodystrophy. The involuntary movements disappeared after the discontinuation of CBZ and initiation of calcium and active vitamin D preparations. Methylation-specific multiplex ligation-dependent probe amplification for the <i>GNAS</i> region and microsatellite analysis of chromosome 20 led to the diagnosis of PHP1B caused by epimutation. In 15 reported cases, with or without intracranial calcification, PHP-associated involuntary movements disappeared or became less severe with treatment for hypocalcemia; in eight of 11 cases, they were triggered by exercise or movement. PHP-associated hypocalcemia can trigger exercise-induced involuntary movements owing to lowered serum ionized calcium levels. In such patients, early blood tests are vital for the differential diagnosis of PHP.</p>\",\"PeriodicalId\":10678,\"journal\":{\"name\":\"Clinical Pediatric Endocrinology\",\"volume\":\"33 3\",\"pages\":\"151-156\"},\"PeriodicalIF\":1.2000,\"publicationDate\":\"2024-01-01\",\"publicationTypes\":\"Journal Article\",\"fieldsOfStudy\":null,\"isOpenAccess\":false,\"openAccessPdf\":\"https://www.ncbi.nlm.nih.gov/pmc/articles/PMC11234180/pdf/\",\"citationCount\":\"0\",\"resultStr\":null,\"platform\":\"Semanticscholar\",\"paperid\":null,\"PeriodicalName\":\"Clinical Pediatric Endocrinology\",\"FirstCategoryId\":\"1085\",\"ListUrlMain\":\"https://doi.org/10.1297/cpe.2023-0080\",\"RegionNum\":0,\"RegionCategory\":null,\"ArticlePicture\":[],\"TitleCN\":null,\"AbstractTextCN\":null,\"PMCID\":null,\"EPubDate\":\"2024/3/25 0:00:00\",\"PubModel\":\"Epub\",\"JCR\":\"Q4\",\"JCRName\":\"ENDOCRINOLOGY & METABOLISM\",\"Score\":null,\"Total\":0}","platform":"Semanticscholar","paperid":null,"PeriodicalName":"Clinical Pediatric Endocrinology","FirstCategoryId":"1085","ListUrlMain":"https://doi.org/10.1297/cpe.2023-0080","RegionNum":0,"RegionCategory":null,"ArticlePicture":[],"TitleCN":null,"AbstractTextCN":null,"PMCID":null,"EPubDate":"2024/3/25 0:00:00","PubModel":"Epub","JCR":"Q4","JCRName":"ENDOCRINOLOGY & METABOLISM","Score":null,"Total":0}
引用次数: 0

摘要

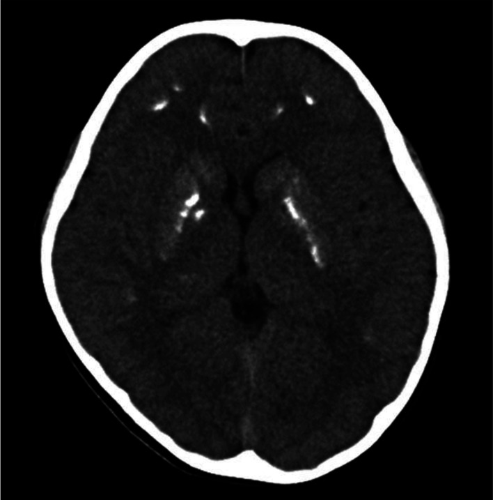
假性甲状旁腺功能减退症(PHP)是一种罕见的疾病,其特征是由于甲状旁腺激素(PTH)抵抗而导致的低钙血症引起的抽搐、四肢抽搐和感觉异常。只有少数患者会出现不自主运动。我们报告了一例患有 PHP 的 7 岁女孩,她在跑步时会出现不自主运动。起初,她被怀疑患有阵发性运动障碍,并接受了卡马西平(CBZ)治疗。不自主运动有所减少。然而,治疗两个月后,她在一次发烧时出现了抽搐。血液检查和脑计算机断层扫描显示,患者存在低钙血症、高磷血症、完整的 PTH 升高以及额叶皮层和基底节钙化。患者没有阿尔布莱特遗传性骨营养不良症的特征。停用 CBZ 并开始服用钙剂和活性维生素 D 制剂后,不自主运动消失了。对 GNAS 区域进行甲基化特异性多重连接依赖探针扩增,并对 20 号染色体进行微卫星分析,最终确诊为外显子突变引起的 PHP1B。在已报道的 15 例有或没有颅内钙化的病例中,PHP 相关的不自主运动在治疗低钙血症后消失或变得不那么严重;在 11 例中的 8 例中,运动或运动会引发不自主运动。由于血清离子钙水平降低,PHP 相关性低钙血症可诱发运动引起的不自主运动。对于这类患者,早期血液检测对 PHP 的鉴别诊断至关重要。
本文章由计算机程序翻译,如有差异,请以英文原文为准。

Pseudohypoparathyroidism type 1B with involuntary movements: a case report and literature review.

Pseudohypoparathyroidism type 1B with involuntary movements: a case report and literature review.

Pseudohypoparathyroidism type 1B with involuntary movements: a case report and literature review.

Pseudohypoparathyroidism type 1B with involuntary movements: a case report and literature review.

Pseudohypoparathyroidism (PHP) is a rare disorder characterized by convulsions, tetany, and sensory abnormalities caused by hypocalcemia due to parathyroid hormone (PTH) resistance. Only few patients present with involuntary movements. We report the case of a 7-yr-old girl with PHP and involuntary movements triggered by running. Initially, she was suspected of having paroxysmal kinesigenic dyskinesia and was treated with carbamazepine (CBZ). Involuntary movements were reduced. However, 2 months post-treatment, she experienced convulsions during a fever. Blood tests and brain computed tomography revealed hypocalcemia, hyperphosphatemia, elevated intact PTH, and calcifications in the frontal cortex and basal ganglia. The patient showed no features of Albright's hereditary osteodystrophy. The involuntary movements disappeared after the discontinuation of CBZ and initiation of calcium and active vitamin D preparations. Methylation-specific multiplex ligation-dependent probe amplification for the GNAS region and microsatellite analysis of chromosome 20 led to the diagnosis of PHP1B caused by epimutation. In 15 reported cases, with or without intracranial calcification, PHP-associated involuntary movements disappeared or became less severe with treatment for hypocalcemia; in eight of 11 cases, they were triggered by exercise or movement. PHP-associated hypocalcemia can trigger exercise-induced involuntary movements owing to lowered serum ionized calcium levels. In such patients, early blood tests are vital for the differential diagnosis of PHP.

求助全文
通过发布文献求助,成功后即可免费获取论文全文。 去求助
来源期刊
Clinical Pediatric Endocrinology
Clinical Pediatric Endocrinology ENDOCRINOLOGY & METABOLISM-
CiteScore
2.40
自引率
7.10%
发文量
34
×
引用
GB/T 7714-2015
复制
MLA
复制
APA
复制
导出至
BibTeX EndNote RefMan NoteFirst NoteExpress
×
提示
您的信息不完整,为了账户安全,请先补充。
现在去补充
×
提示
您因"违规操作"
具体请查看互助需知
我知道了
×
提示
确定
请完成安全验证×
copy
已复制链接
快去分享给好友吧!
我知道了
右上角分享
点击右上角分享
0
联系我们:info@booksci.cn Book学术提供免费学术资源搜索服务,方便国内外学者检索中英文文献。致力于提供最便捷和优质的服务体验。 Copyright © 2023 布克学术 All rights reserved.
京ICP备2023020795号-1
ghs 京公网安备 11010802042870号
Book学术文献互助
Book学术文献互助群
群 号:604180095
Book学术官方微信