下丘脑 Hamartoma 的回旋性癫痫发作。

Journal of epilepsy research Pub Date : 2024-06-30 eCollection Date: 2024-06-01 DOI:10.14581/jer.24008
Ashique Hamza, Sachin Sureshbabu, Krishnadas Nc, Poornima Narayanan, Deep P Pillai
{"title":"下丘脑 Hamartoma 的回旋性癫痫发作。","authors":"Ashique Hamza, Sachin Sureshbabu, Krishnadas Nc, Poornima Narayanan, Deep P Pillai","doi":"10.14581/jer.24008","DOIUrl":null,"url":null,"abstract":"<p><p>Gyratory seizures (GS) are a rare seizure type characterized by body rotation of ≥180° around its vertical axis. While GS have been documented in various epileptic syndromes, their occurrence in association with hypothalamic hamartomas (HH) has not been reported previously. This case report introduces the first documented instance of GS in a patient with a HH, a non-neoplastic tumor originating from the tuber cinereum. The patient, a 25-year-old female, with a history of recurrent seizures since childhood, initially presented with gelastic seizures, marked by inappropriate laughter, and subsequent evolution of symptoms including right oculocephalic version and gyratory seizures to the right side. Despite multiple antiepileptic medications, seizures persisted. Neuroimaging revealed a HH in the right hypothalamic region. The presence of polydactyly prompted consideration of Pallister Hall syndrome (PHS). PHS is an autosomal dominant condition linked to GLI3 gene mutations. While some features of PHS were absent in this case, the presence of both gelastic and gyratory seizures indicated the hypothalamus as the lesion site, despite inconclusive electroencephalogram findings. This report underscores the novel association of GS with HH and highlights the importance of considering PHS in patients with HH and polydactyly presenting with gelastic and gyratory seizures. Understanding GS in HH may offer insights into broader hypothalamic lesion-related epileptic phenomena.</p>","PeriodicalId":73741,"journal":{"name":"Journal of epilepsy research","volume":"14 1","pages":"47-49"},"PeriodicalIF":0.0000,"publicationDate":"2024-06-30","publicationTypes":"Journal Article","fieldsOfStudy":null,"isOpenAccess":false,"openAccessPdf":"https://www.ncbi.nlm.nih.gov/pmc/articles/PMC11227928/pdf/","citationCount":"0","resultStr":"{\"title\":\"Gyratory Seizures in Hypothalamic Hamartoma.\",\"authors\":\"Ashique Hamza, Sachin Sureshbabu, Krishnadas Nc, Poornima Narayanan, Deep P Pillai\",\"doi\":\"10.14581/jer.24008\",\"DOIUrl\":null,\"url\":null,\"abstract\":\"<p><p>Gyratory seizures (GS) are a rare seizure type characterized by body rotation of ≥180° around its vertical axis. While GS have been documented in various epileptic syndromes, their occurrence in association with hypothalamic hamartomas (HH) has not been reported previously. This case report introduces the first documented instance of GS in a patient with a HH, a non-neoplastic tumor originating from the tuber cinereum. The patient, a 25-year-old female, with a history of recurrent seizures since childhood, initially presented with gelastic seizures, marked by inappropriate laughter, and subsequent evolution of symptoms including right oculocephalic version and gyratory seizures to the right side. Despite multiple antiepileptic medications, seizures persisted. Neuroimaging revealed a HH in the right hypothalamic region. The presence of polydactyly prompted consideration of Pallister Hall syndrome (PHS). PHS is an autosomal dominant condition linked to GLI3 gene mutations. While some features of PHS were absent in this case, the presence of both gelastic and gyratory seizures indicated the hypothalamus as the lesion site, despite inconclusive electroencephalogram findings. This report underscores the novel association of GS with HH and highlights the importance of considering PHS in patients with HH and polydactyly presenting with gelastic and gyratory seizures. Understanding GS in HH may offer insights into broader hypothalamic lesion-related epileptic phenomena.</p>\",\"PeriodicalId\":73741,\"journal\":{\"name\":\"Journal of epilepsy research\",\"volume\":\"14 1\",\"pages\":\"47-49\"},\"PeriodicalIF\":0.0000,\"publicationDate\":\"2024-06-30\",\"publicationTypes\":\"Journal Article\",\"fieldsOfStudy\":null,\"isOpenAccess\":false,\"openAccessPdf\":\"https://www.ncbi.nlm.nih.gov/pmc/articles/PMC11227928/pdf/\",\"citationCount\":\"0\",\"resultStr\":null,\"platform\":\"Semanticscholar\",\"paperid\":null,\"PeriodicalName\":\"Journal of epilepsy research\",\"FirstCategoryId\":\"1085\",\"ListUrlMain\":\"https://doi.org/10.14581/jer.24008\",\"RegionNum\":0,\"RegionCategory\":null,\"ArticlePicture\":[],\"TitleCN\":null,\"AbstractTextCN\":null,\"PMCID\":null,\"EPubDate\":\"2024/6/1 0:00:00\",\"PubModel\":\"eCollection\",\"JCR\":\"\",\"JCRName\":\"\",\"Score\":null,\"Total\":0}","platform":"Semanticscholar","paperid":null,"PeriodicalName":"Journal of epilepsy research","FirstCategoryId":"1085","ListUrlMain":"https://doi.org/10.14581/jer.24008","RegionNum":0,"RegionCategory":null,"ArticlePicture":[],"TitleCN":null,"AbstractTextCN":null,"PMCID":null,"EPubDate":"2024/6/1 0:00:00","PubModel":"eCollection","JCR":"","JCRName":"","Score":null,"Total":0}
引用次数: 0

摘要

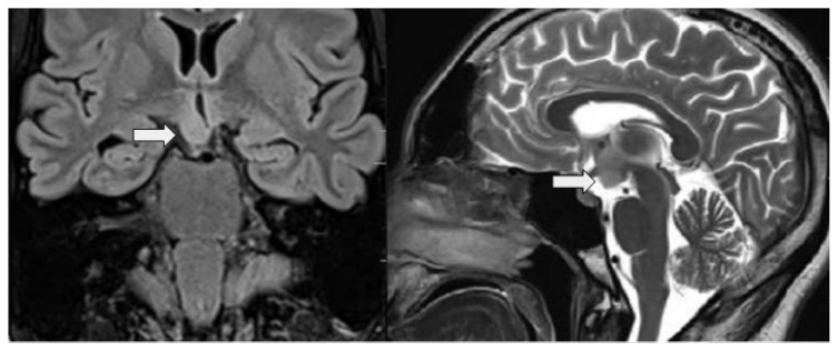
回旋性癫痫发作(GS)是一种罕见的癫痫发作类型,其特征是身体绕垂直轴旋转≥180°。虽然在各种癫痫综合征中都有回旋性癫痫发作的记录,但与下丘脑仓鼠神经瘤(HH)相关的回旋性癫痫发作此前尚未见报道。本病例报告首次记录了一名下丘脑火腿肠瘤(HH)患者出现 GS 的病例。患者是一名 25 岁的女性,自孩提时代起就有反复发作的病史,最初表现为凝胶样发作,以不适当的大笑为特征,随后症状演变为右侧眼球后凸和右侧回旋性发作。尽管服用了多种抗癫痫药物,但癫痫仍持续发作。神经影像学检查显示,患者右侧下丘脑区域有一处 HH。多指畸形的出现促使患者考虑帕利斯特-霍尔综合征(Pallister Hall Syndrome,PHS)。PHS 是一种常染色体显性遗传病,与 GLI3 基因突变有关。虽然该病例不具备PHS的某些特征,但凝胶痉挛和回旋性癫痫发作的出现表明下丘脑是病变部位,尽管脑电图结果并不确定。该报告强调了GS与HH的新关联,并强调了在HH和多指畸形患者出现凝胶样和回旋性癫痫发作时考虑PHS的重要性。了解HH中的GS可能有助于深入了解更广泛的下丘脑病变相关癫痫现象。
本文章由计算机程序翻译,如有差异,请以英文原文为准。

Gyratory Seizures in Hypothalamic Hamartoma.

Gyratory Seizures in Hypothalamic Hamartoma.

Gyratory seizures (GS) are a rare seizure type characterized by body rotation of ≥180° around its vertical axis. While GS have been documented in various epileptic syndromes, their occurrence in association with hypothalamic hamartomas (HH) has not been reported previously. This case report introduces the first documented instance of GS in a patient with a HH, a non-neoplastic tumor originating from the tuber cinereum. The patient, a 25-year-old female, with a history of recurrent seizures since childhood, initially presented with gelastic seizures, marked by inappropriate laughter, and subsequent evolution of symptoms including right oculocephalic version and gyratory seizures to the right side. Despite multiple antiepileptic medications, seizures persisted. Neuroimaging revealed a HH in the right hypothalamic region. The presence of polydactyly prompted consideration of Pallister Hall syndrome (PHS). PHS is an autosomal dominant condition linked to GLI3 gene mutations. While some features of PHS were absent in this case, the presence of both gelastic and gyratory seizures indicated the hypothalamus as the lesion site, despite inconclusive electroencephalogram findings. This report underscores the novel association of GS with HH and highlights the importance of considering PHS in patients with HH and polydactyly presenting with gelastic and gyratory seizures. Understanding GS in HH may offer insights into broader hypothalamic lesion-related epileptic phenomena.

求助全文
通过发布文献求助,成功后即可免费获取论文全文。 去求助
来源期刊
自引率
0.00%
发文量
0
×
引用
GB/T 7714-2015
复制
MLA
复制
APA
复制
导出至
BibTeX EndNote RefMan NoteFirst NoteExpress
×
提示
您的信息不完整,为了账户安全,请先补充。
现在去补充
×
提示
您因"违规操作"
具体请查看互助需知
我知道了
×
提示
确定
请完成安全验证×
copy
已复制链接
快去分享给好友吧!
我知道了
右上角分享
点击右上角分享
0
联系我们:info@booksci.cn Book学术提供免费学术资源搜索服务,方便国内外学者检索中英文文献。致力于提供最便捷和优质的服务体验。 Copyright © 2023 布克学术 All rights reserved.
京ICP备2023020795号-1
ghs 京公网安备 11010802042870号
Book学术文献互助
Book学术文献互助群
群 号:604180095
Book学术官方微信