使用 70° 关节镜切除膝关节内异位骨化症

IF 0.6 Q4 ORTHOPEDICS
Case Reports in Orthopedics Pub Date : 2024-06-06 eCollection Date: 2024-01-01 DOI:10.1155/2024/9998388
Alexander J Hoffer, Eugenia A Lin, Maziyar A Kalani, Mark K Lyons, Meghan Richardson
{"title":"使用 70° 关节镜切除膝关节内异位骨化症","authors":"Alexander J Hoffer, Eugenia A Lin, Maziyar A Kalani, Mark K Lyons, Meghan Richardson","doi":"10.1155/2024/9998388","DOIUrl":null,"url":null,"abstract":"<p><p>Heterotopic ossification is ectopic lamellar bone formation within soft tissue and can result in significant functional limitations. There are multiple underlying etiologies of HO including musculoskeletal trauma and traumatic brain injury. Intra-articular HO of the knee is rare and is typically located within the cruciate ligaments. We report a case of a 24-year-old female who presented with worsening right knee pain and limited knee extension two and a half years after a motor vehicle crash with multiple lower extremity fractures. Physical examination of the knee revealed anterior pain, limited extension, and a palpable infrapatellar prominence. Imaging showed a retropatellar tendon, intra-articular excrescence of bone proximal to the anterior tibial plateau. Diagnostic arthroscopy with a 70° arthroscope identified HO at the proximal anterior tibial plateau, which was excised with a high-speed burr under direct visualization. At the three-month follow-up, the patient remained asymptomatic and returned to sport. Retropatellar tendon, intra-articular anterior knee HO is a rare but debilitating clinical entity that can be successfully and safely managed with excision under direct visualization using a 70° arthroscope.</p>","PeriodicalId":30287,"journal":{"name":"Case Reports in Orthopedics","volume":"2024 ","pages":"9998388"},"PeriodicalIF":0.6000,"publicationDate":"2024-06-06","publicationTypes":"Journal Article","fieldsOfStudy":null,"isOpenAccess":false,"openAccessPdf":"https://www.ncbi.nlm.nih.gov/pmc/articles/PMC11221981/pdf/","citationCount":"0","resultStr":"{\"title\":\"Excision of Intra-articular Knee Heterotopic Ossification Using a 70° Arthroscope.\",\"authors\":\"Alexander J Hoffer, Eugenia A Lin, Maziyar A Kalani, Mark K Lyons, Meghan Richardson\",\"doi\":\"10.1155/2024/9998388\",\"DOIUrl\":null,\"url\":null,\"abstract\":\"<p><p>Heterotopic ossification is ectopic lamellar bone formation within soft tissue and can result in significant functional limitations. There are multiple underlying etiologies of HO including musculoskeletal trauma and traumatic brain injury. Intra-articular HO of the knee is rare and is typically located within the cruciate ligaments. We report a case of a 24-year-old female who presented with worsening right knee pain and limited knee extension two and a half years after a motor vehicle crash with multiple lower extremity fractures. Physical examination of the knee revealed anterior pain, limited extension, and a palpable infrapatellar prominence. Imaging showed a retropatellar tendon, intra-articular excrescence of bone proximal to the anterior tibial plateau. Diagnostic arthroscopy with a 70° arthroscope identified HO at the proximal anterior tibial plateau, which was excised with a high-speed burr under direct visualization. At the three-month follow-up, the patient remained asymptomatic and returned to sport. Retropatellar tendon, intra-articular anterior knee HO is a rare but debilitating clinical entity that can be successfully and safely managed with excision under direct visualization using a 70° arthroscope.</p>\",\"PeriodicalId\":30287,\"journal\":{\"name\":\"Case Reports in Orthopedics\",\"volume\":\"2024 \",\"pages\":\"9998388\"},\"PeriodicalIF\":0.6000,\"publicationDate\":\"2024-06-06\",\"publicationTypes\":\"Journal Article\",\"fieldsOfStudy\":null,\"isOpenAccess\":false,\"openAccessPdf\":\"https://www.ncbi.nlm.nih.gov/pmc/articles/PMC11221981/pdf/\",\"citationCount\":\"0\",\"resultStr\":null,\"platform\":\"Semanticscholar\",\"paperid\":null,\"PeriodicalName\":\"Case Reports in Orthopedics\",\"FirstCategoryId\":\"1085\",\"ListUrlMain\":\"https://doi.org/10.1155/2024/9998388\",\"RegionNum\":0,\"RegionCategory\":null,\"ArticlePicture\":[],\"TitleCN\":null,\"AbstractTextCN\":null,\"PMCID\":null,\"EPubDate\":\"2024/1/1 0:00:00\",\"PubModel\":\"eCollection\",\"JCR\":\"Q4\",\"JCRName\":\"ORTHOPEDICS\",\"Score\":null,\"Total\":0}","platform":"Semanticscholar","paperid":null,"PeriodicalName":"Case Reports in Orthopedics","FirstCategoryId":"1085","ListUrlMain":"https://doi.org/10.1155/2024/9998388","RegionNum":0,"RegionCategory":null,"ArticlePicture":[],"TitleCN":null,"AbstractTextCN":null,"PMCID":null,"EPubDate":"2024/1/1 0:00:00","PubModel":"eCollection","JCR":"Q4","JCRName":"ORTHOPEDICS","Score":null,"Total":0}
引用次数: 0

摘要

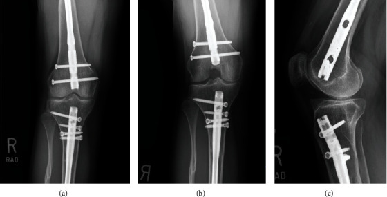
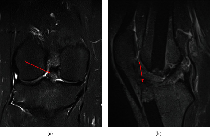
异位骨化是软组织内的异位片状骨形成,可导致严重的功能限制。异位骨化有多种潜在病因,包括肌肉骨骼创伤和创伤性脑损伤。膝关节内 HO 比较罕见,通常位于十字韧带内。我们报告了一例 24 岁女性的病例,她在一次车祸中多处下肢骨折,两年半后出现右膝关节疼痛加重和膝关节伸展受限。体格检查显示膝关节前部疼痛、伸展受限,并可触及髌下突出。影像学检查显示髌骨后肌腱、胫骨前平台近端关节内骨赘。使用70°关节镜进行诊断性关节镜检查,发现胫骨前平台近端有HO,在直视下使用高速毛刺将其切除。在三个月的随访中,患者仍无症状,并恢复了运动。髌后肌腱、关节内膝关节前HO是一种罕见的临床病症,但可以在70°关节镜直视下成功安全地进行切除。
本文章由计算机程序翻译,如有差异,请以英文原文为准。

Excision of Intra-articular Knee Heterotopic Ossification Using a 70° Arthroscope.

Excision of Intra-articular Knee Heterotopic Ossification Using a 70° Arthroscope.

Excision of Intra-articular Knee Heterotopic Ossification Using a 70° Arthroscope.

Excision of Intra-articular Knee Heterotopic Ossification Using a 70° Arthroscope.

Heterotopic ossification is ectopic lamellar bone formation within soft tissue and can result in significant functional limitations. There are multiple underlying etiologies of HO including musculoskeletal trauma and traumatic brain injury. Intra-articular HO of the knee is rare and is typically located within the cruciate ligaments. We report a case of a 24-year-old female who presented with worsening right knee pain and limited knee extension two and a half years after a motor vehicle crash with multiple lower extremity fractures. Physical examination of the knee revealed anterior pain, limited extension, and a palpable infrapatellar prominence. Imaging showed a retropatellar tendon, intra-articular excrescence of bone proximal to the anterior tibial plateau. Diagnostic arthroscopy with a 70° arthroscope identified HO at the proximal anterior tibial plateau, which was excised with a high-speed burr under direct visualization. At the three-month follow-up, the patient remained asymptomatic and returned to sport. Retropatellar tendon, intra-articular anterior knee HO is a rare but debilitating clinical entity that can be successfully and safely managed with excision under direct visualization using a 70° arthroscope.

求助全文
通过发布文献求助,成功后即可免费获取论文全文。 去求助
来源期刊
自引率
0.00%
发文量
55
审稿时长
14 weeks
×
引用
GB/T 7714-2015
复制
MLA
复制
APA
复制
导出至
BibTeX EndNote RefMan NoteFirst NoteExpress
×
提示
您的信息不完整,为了账户安全,请先补充。
现在去补充
×
提示
您因"违规操作"
具体请查看互助需知
我知道了
×
提示
确定
请完成安全验证×
copy
已复制链接
快去分享给好友吧!
我知道了
右上角分享
点击右上角分享
0
联系我们:info@booksci.cn Book学术提供免费学术资源搜索服务,方便国内外学者检索中英文文献。致力于提供最便捷和优质的服务体验。 Copyright © 2023 布克学术 All rights reserved.
京ICP备2023020795号-1
ghs 京公网安备 11010802042870号
Book学术文献互助
Book学术文献互助群
群 号:604180095
Book学术官方微信