组织病理学不一致的双侧同步睾丸癌:病例报告

Avicenna Journal of Medicine Pub Date : 2024-04-29 eCollection Date: 2024-04-01 DOI:10.1055/s-0044-1786512
Mehmet Özen, İrem Yazıcıoğlu, Mustafa Koray Kırdağ, Mustafa Aydın
{"title":"组织病理学不一致的双侧同步睾丸癌:病例报告","authors":"Mehmet Özen, İrem Yazıcıoğlu, Mustafa Koray Kırdağ, Mustafa Aydın","doi":"10.1055/s-0044-1786512","DOIUrl":null,"url":null,"abstract":"<p><p>Bilateral testicular tumors account for 1 to 5% of all testicular tumors. Most bilateral tumors are observed metachronously. Synchronous tumors usually present with the similar histological pattern. Bilateral synchronous testicular tumors with discordant pathology are extremely rare. Only 56 cases have been documented since Bidard first described synchronous testicular tumors with discordant pathology in 1853. To our best knowledge, this study will be the 57th case in the literature.</p>","PeriodicalId":32889,"journal":{"name":"Avicenna Journal of Medicine","volume":"14 2","pages":"134-136"},"PeriodicalIF":0.0000,"publicationDate":"2024-04-29","publicationTypes":"Journal Article","fieldsOfStudy":null,"isOpenAccess":false,"openAccessPdf":"https://www.ncbi.nlm.nih.gov/pmc/articles/PMC11216798/pdf/","citationCount":"0","resultStr":"{\"title\":\"Bilateral Synchronous Testicular Cancer with Discordant Histopathology: A Case Report.\",\"authors\":\"Mehmet Özen, İrem Yazıcıoğlu, Mustafa Koray Kırdağ, Mustafa Aydın\",\"doi\":\"10.1055/s-0044-1786512\",\"DOIUrl\":null,\"url\":null,\"abstract\":\"<p><p>Bilateral testicular tumors account for 1 to 5% of all testicular tumors. Most bilateral tumors are observed metachronously. Synchronous tumors usually present with the similar histological pattern. Bilateral synchronous testicular tumors with discordant pathology are extremely rare. Only 56 cases have been documented since Bidard first described synchronous testicular tumors with discordant pathology in 1853. To our best knowledge, this study will be the 57th case in the literature.</p>\",\"PeriodicalId\":32889,\"journal\":{\"name\":\"Avicenna Journal of Medicine\",\"volume\":\"14 2\",\"pages\":\"134-136\"},\"PeriodicalIF\":0.0000,\"publicationDate\":\"2024-04-29\",\"publicationTypes\":\"Journal Article\",\"fieldsOfStudy\":null,\"isOpenAccess\":false,\"openAccessPdf\":\"https://www.ncbi.nlm.nih.gov/pmc/articles/PMC11216798/pdf/\",\"citationCount\":\"0\",\"resultStr\":null,\"platform\":\"Semanticscholar\",\"paperid\":null,\"PeriodicalName\":\"Avicenna Journal of Medicine\",\"FirstCategoryId\":\"1085\",\"ListUrlMain\":\"https://doi.org/10.1055/s-0044-1786512\",\"RegionNum\":0,\"RegionCategory\":null,\"ArticlePicture\":[],\"TitleCN\":null,\"AbstractTextCN\":null,\"PMCID\":null,\"EPubDate\":\"2024/4/1 0:00:00\",\"PubModel\":\"eCollection\",\"JCR\":\"\",\"JCRName\":\"\",\"Score\":null,\"Total\":0}","platform":"Semanticscholar","paperid":null,"PeriodicalName":"Avicenna Journal of Medicine","FirstCategoryId":"1085","ListUrlMain":"https://doi.org/10.1055/s-0044-1786512","RegionNum":0,"RegionCategory":null,"ArticlePicture":[],"TitleCN":null,"AbstractTextCN":null,"PMCID":null,"EPubDate":"2024/4/1 0:00:00","PubModel":"eCollection","JCR":"","JCRName":"","Score":null,"Total":0}
引用次数: 0

摘要

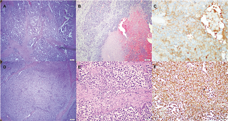
双侧睾丸肿瘤占所有睾丸肿瘤的 1%至 5%。大多数双侧肿瘤是同步发生的。同步性肿瘤通常具有相似的组织学形态。病理不一致的双侧同步睾丸肿瘤则极为罕见。自 1853 年 Bidard 首次描述病理不一致的同步性睾丸肿瘤以来,仅有 56 例病例被记录在案。据我们所知,本研究将是文献中的第57例。
本文章由计算机程序翻译,如有差异,请以英文原文为准。

Bilateral Synchronous Testicular Cancer with Discordant Histopathology: A Case Report.

Bilateral Synchronous Testicular Cancer with Discordant Histopathology: A Case Report.

Bilateral testicular tumors account for 1 to 5% of all testicular tumors. Most bilateral tumors are observed metachronously. Synchronous tumors usually present with the similar histological pattern. Bilateral synchronous testicular tumors with discordant pathology are extremely rare. Only 56 cases have been documented since Bidard first described synchronous testicular tumors with discordant pathology in 1853. To our best knowledge, this study will be the 57th case in the literature.

求助全文
通过发布文献求助,成功后即可免费获取论文全文。 去求助
来源期刊
自引率
0.00%
发文量
28
审稿时长
26 weeks
×
引用
GB/T 7714-2015
复制
MLA
复制
APA
复制
导出至
BibTeX EndNote RefMan NoteFirst NoteExpress
×
提示
您的信息不完整,为了账户安全,请先补充。
现在去补充
×
提示
您因"违规操作"
具体请查看互助需知
我知道了
×
提示
确定
请完成安全验证×
copy
已复制链接
快去分享给好友吧!
我知道了
右上角分享
点击右上角分享
0
联系我们:info@booksci.cn Book学术提供免费学术资源搜索服务,方便国内外学者检索中英文文献。致力于提供最便捷和优质的服务体验。 Copyright © 2023 布克学术 All rights reserved.
京ICP备2023020795号-1
ghs 京公网安备 11010802042870号
Book学术文献互助
Book学术文献互助群
群 号:604180095
Book学术官方微信