阴道避孕环的膀胱内错位:视频报告和文献综述。

IF 1.4 Q3 OBSTETRICS & GYNECOLOGY
G Panico, G Campagna, S Mastrovito, D Arrigo, D Caramazza, G Scambia, A Ercoli
{"title":"阴道避孕环的膀胱内错位:视频报告和文献综述。","authors":"G Panico, G Campagna, S Mastrovito, D Arrigo, D Caramazza, G Scambia, A Ercoli","doi":"10.52054/FVVO.16.2.016","DOIUrl":null,"url":null,"abstract":"<p><strong>Background: </strong>The NuvaRing®, a hormonal vaginal contraceptive device, has gained widespread usage due to its favourable efficacy and safety profiles. Exceedingly rare instances of unintended misplacement in the bladder have been reported. This study presents a review of the literature and the first video report illustrating the extraction of an intravesical NuvaRing®, discussing diagnostic and therapeutic approaches.</p><p><strong>Objective: </strong>To illustrate an effective method for intravesical NuvaRing® retrieval and raise awareness about this unusual complication.</p><p><strong>Materials and methods: </strong>A 27-year-old patient with low urinary tract symptoms related to NuvaRing® misplacement underwent diagnostic procedures, including ultrasound and diagnostic cystoscopy. A cystoscopic extraction under general anaesthesia was performed.</p><p><strong>Main outcome measures: </strong>The effectiveness of pelvic ultrasound for diagnosing an intravesical foreign body, successful cystoscopic removal of NuvaRing® from the bladder, and symptom resolution were assessed.</p><p><strong>Results: </strong>The intravesical NuvaRing® was identified through pelvic ultrasound. During cystoscopy, the ring was detected inside the bladder. Multiple attempts with cystoscopic alligator graspers were made; the NuvaRing® was eventually extracted using transurethral Heiss forceps. The patient experienced minimal blood loss and was discharged the following day, reporting relief from symptoms.</p><p><strong>Conclusions: </strong>Unintentional NuvaRing® placement in the bladder is an extremely rare event that healthcare providers should consider when patients present with urinary symptoms and pelvic pain. Pelvic ultrasound is an efficient diagnostic tool, possibly averting the need for further imaging techniques. Cystoscopy remains the preferred method for diagnosis and treatment. This video report illustrates an effective technique for NuvaRing ® extraction, especially when appropriate graspers are unavailable. Adequate instruction on NuvaRing® insertion should always be emphasised.</p>","PeriodicalId":46400,"journal":{"name":"Facts Views and Vision in ObGyn","volume":"16 2","pages":"225-229"},"PeriodicalIF":1.4000,"publicationDate":"2024-06-01","publicationTypes":"Journal Article","fieldsOfStudy":null,"isOpenAccess":false,"openAccessPdf":"https://www.ncbi.nlm.nih.gov/pmc/articles/PMC11366110/pdf/","citationCount":"0","resultStr":"{\"title\":\"Intravesical misplacement of vaginal contraceptive ring: a video report and review of the literature.\",\"authors\":\"G Panico, G Campagna, S Mastrovito, D Arrigo, D Caramazza, G Scambia, A Ercoli\",\"doi\":\"10.52054/FVVO.16.2.016\",\"DOIUrl\":null,\"url\":null,\"abstract\":\"<p><strong>Background: </strong>The NuvaRing®, a hormonal vaginal contraceptive device, has gained widespread usage due to its favourable efficacy and safety profiles. Exceedingly rare instances of unintended misplacement in the bladder have been reported. This study presents a review of the literature and the first video report illustrating the extraction of an intravesical NuvaRing®, discussing diagnostic and therapeutic approaches.</p><p><strong>Objective: </strong>To illustrate an effective method for intravesical NuvaRing® retrieval and raise awareness about this unusual complication.</p><p><strong>Materials and methods: </strong>A 27-year-old patient with low urinary tract symptoms related to NuvaRing® misplacement underwent diagnostic procedures, including ultrasound and diagnostic cystoscopy. A cystoscopic extraction under general anaesthesia was performed.</p><p><strong>Main outcome measures: </strong>The effectiveness of pelvic ultrasound for diagnosing an intravesical foreign body, successful cystoscopic removal of NuvaRing® from the bladder, and symptom resolution were assessed.</p><p><strong>Results: </strong>The intravesical NuvaRing® was identified through pelvic ultrasound. During cystoscopy, the ring was detected inside the bladder. Multiple attempts with cystoscopic alligator graspers were made; the NuvaRing® was eventually extracted using transurethral Heiss forceps. The patient experienced minimal blood loss and was discharged the following day, reporting relief from symptoms.</p><p><strong>Conclusions: </strong>Unintentional NuvaRing® placement in the bladder is an extremely rare event that healthcare providers should consider when patients present with urinary symptoms and pelvic pain. Pelvic ultrasound is an efficient diagnostic tool, possibly averting the need for further imaging techniques. Cystoscopy remains the preferred method for diagnosis and treatment. This video report illustrates an effective technique for NuvaRing ® extraction, especially when appropriate graspers are unavailable. Adequate instruction on NuvaRing® insertion should always be emphasised.</p>\",\"PeriodicalId\":46400,\"journal\":{\"name\":\"Facts Views and Vision in ObGyn\",\"volume\":\"16 2\",\"pages\":\"225-229\"},\"PeriodicalIF\":1.4000,\"publicationDate\":\"2024-06-01\",\"publicationTypes\":\"Journal Article\",\"fieldsOfStudy\":null,\"isOpenAccess\":false,\"openAccessPdf\":\"https://www.ncbi.nlm.nih.gov/pmc/articles/PMC11366110/pdf/\",\"citationCount\":\"0\",\"resultStr\":null,\"platform\":\"Semanticscholar\",\"paperid\":null,\"PeriodicalName\":\"Facts Views and Vision in ObGyn\",\"FirstCategoryId\":\"1085\",\"ListUrlMain\":\"https://doi.org/10.52054/FVVO.16.2.016\",\"RegionNum\":0,\"RegionCategory\":null,\"ArticlePicture\":[],\"TitleCN\":null,\"AbstractTextCN\":null,\"PMCID\":null,\"EPubDate\":\"\",\"PubModel\":\"\",\"JCR\":\"Q3\",\"JCRName\":\"OBSTETRICS & GYNECOLOGY\",\"Score\":null,\"Total\":0}","platform":"Semanticscholar","paperid":null,"PeriodicalName":"Facts Views and Vision in ObGyn","FirstCategoryId":"1085","ListUrlMain":"https://doi.org/10.52054/FVVO.16.2.016","RegionNum":0,"RegionCategory":null,"ArticlePicture":[],"TitleCN":null,"AbstractTextCN":null,"PMCID":null,"EPubDate":"","PubModel":"","JCR":"Q3","JCRName":"OBSTETRICS & GYNECOLOGY","Score":null,"Total":0}
引用次数: 0

摘要

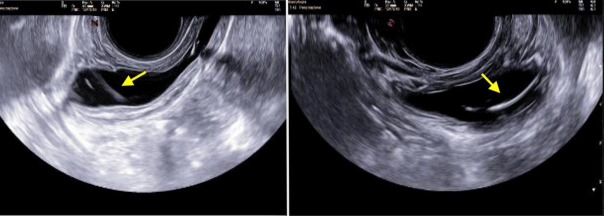
背景:NuvaRing® 是一种荷尔蒙阴道避孕器,因其良好的疗效和安全性而得到广泛使用。有报道称,NuvaRing® 意外误入膀胱的情况极为罕见。本研究综述了相关文献,并首次以视频报告的形式展示了如何取出膀胱内的 NuvaRing®,讨论了诊断和治疗方法:说明膀胱内取出 NuvaRing® 的有效方法,并提高人们对这种不常见并发症的认识:一名 27 岁的患者因 NuvaRing® 错位而出现低尿路症状,接受了超声波和诊断性膀胱镜检查等诊断程序。在全身麻醉下进行了膀胱镜摘除术:评估盆腔超声波诊断膀胱内异物的效果、膀胱镜从膀胱中成功取出NuvaRing®的情况以及症状缓解情况:结果:盆腔超声检查发现了膀胱内NuvaRing®异物。在膀胱镜检查中,发现环在膀胱内。使用膀胱镜鳄鱼钳进行了多次尝试,最终使用经尿道海斯钳取出了NuvaRing®。患者失血量极少,第二天就出院了,并表示症状有所缓解:无意中将 NuvaRing® 置入膀胱的情况极为罕见,当患者出现泌尿系统症状和盆腔疼痛时,医疗服务提供者应考虑到这一点。盆腔超声是一种有效的诊断工具,可避免进一步的成像技术。膀胱镜检查仍是诊断和治疗的首选方法。本视频报告展示了一种有效的 NuvaRing ® 取出技术,尤其是在没有合适的抓取器的情况下。应始终强调有关 NuvaRing® 插入的充分指导。
本文章由计算机程序翻译,如有差异,请以英文原文为准。

Intravesical misplacement of vaginal contraceptive ring: a video report and review of the literature.

Intravesical misplacement of vaginal contraceptive ring: a video report and review of the literature.

Intravesical misplacement of vaginal contraceptive ring: a video report and review of the literature.

Background: The NuvaRing®, a hormonal vaginal contraceptive device, has gained widespread usage due to its favourable efficacy and safety profiles. Exceedingly rare instances of unintended misplacement in the bladder have been reported. This study presents a review of the literature and the first video report illustrating the extraction of an intravesical NuvaRing®, discussing diagnostic and therapeutic approaches.

Objective: To illustrate an effective method for intravesical NuvaRing® retrieval and raise awareness about this unusual complication.

Materials and methods: A 27-year-old patient with low urinary tract symptoms related to NuvaRing® misplacement underwent diagnostic procedures, including ultrasound and diagnostic cystoscopy. A cystoscopic extraction under general anaesthesia was performed.

Main outcome measures: The effectiveness of pelvic ultrasound for diagnosing an intravesical foreign body, successful cystoscopic removal of NuvaRing® from the bladder, and symptom resolution were assessed.

Results: The intravesical NuvaRing® was identified through pelvic ultrasound. During cystoscopy, the ring was detected inside the bladder. Multiple attempts with cystoscopic alligator graspers were made; the NuvaRing® was eventually extracted using transurethral Heiss forceps. The patient experienced minimal blood loss and was discharged the following day, reporting relief from symptoms.

Conclusions: Unintentional NuvaRing® placement in the bladder is an extremely rare event that healthcare providers should consider when patients present with urinary symptoms and pelvic pain. Pelvic ultrasound is an efficient diagnostic tool, possibly averting the need for further imaging techniques. Cystoscopy remains the preferred method for diagnosis and treatment. This video report illustrates an effective technique for NuvaRing ® extraction, especially when appropriate graspers are unavailable. Adequate instruction on NuvaRing® insertion should always be emphasised.

求助全文
通过发布文献求助,成功后即可免费获取论文全文。 去求助
来源期刊
Facts Views and Vision in ObGyn
Facts Views and Vision in ObGyn OBSTETRICS & GYNECOLOGY-
自引率
15.00%
发文量
59
×
引用
GB/T 7714-2015
复制
MLA
复制
APA
复制
导出至
BibTeX EndNote RefMan NoteFirst NoteExpress
×
提示
您的信息不完整,为了账户安全,请先补充。
现在去补充
×
提示
您因"违规操作"
具体请查看互助需知
我知道了
×
提示
确定
请完成安全验证×
copy
已复制链接
快去分享给好友吧!
我知道了
右上角分享
点击右上角分享
0
联系我们:info@booksci.cn Book学术提供免费学术资源搜索服务,方便国内外学者检索中英文文献。致力于提供最便捷和优质的服务体验。 Copyright © 2023 布克学术 All rights reserved.
京ICP备2023020795号-1
ghs 京公网安备 11010802042870号
Book学术文献互助
Book学术文献互助群
群 号:604180095
Book学术官方微信