对比增强 FLAIR 成像在诊断小儿葡萄膜炎中的实用性。

IF 1.3 4区 医学 Q4 RADIOLOGY, NUCLEAR MEDICINE & MEDICAL IMAGING
Journal of the Belgian Society of Radiology Pub Date : 2024-06-28 eCollection Date: 2024-01-01 DOI:10.5334/jbsr.3565
Saffet Ozturk, Esin Kurtulus Ozturk, Yasemin Tasci Yildiz, Bahadir Konuskan
{"title":"对比增强 FLAIR 成像在诊断小儿葡萄膜炎中的实用性。","authors":"Saffet Ozturk, Esin Kurtulus Ozturk, Yasemin Tasci Yildiz, Bahadir Konuskan","doi":"10.5334/jbsr.3565","DOIUrl":null,"url":null,"abstract":"<p><p><i>Objectives:</i> Contrast-enhanced FLAIR fat-suppressed (CE-FLAIR-FS) imaging can potentially increase the diagnostic accuracy of uveal diseases and ultimately provide better patient management. This study aimed to determine the diagnostic value of CE-FLAIR-FS imaging versus contrast-enhanced T1-weighted imaging (CE-T1WI) in the assessment of pediatric patients with uveitis. <i>Material and methods:</i> Twenty-one children with uveitis who underwent whole brain magnetic resonance imaging (MRI), including CE-FLAIR-FS and CE-T1WI, were retrospectively included in the study. We evaluated the presence of uveal tract contrast enhancement with thickening, vitreous humor signal abnormality, and accompanying brain abnormalities. The uveal enhancement intensity was assessed semiquantitatively as mild, moderate, and marked uveitis compared to CE-T1WI and CE-FLAIR-FS images. <i>Results:</i> Panuveitis (61.9%) was the most frequent anatomic location, and most of them were idiopathic (47.6%). Of the 42 eyes with clinical uveitis, enhancement of the uveal tract was observed on CE-FLAIR-FS images in 21 eyes (50%), while in 5 eyes (11.9%) on CE-T1WI. The sensitivity of CE-FLAIR-FS in panuveitis was detected to be quite high (80.8%). The number of affected eyes and enhancement degree were found to be higher on CE-FLAIR-FS (<i>p</i> < 0.001). In assessing the severity of uveitis, CE-FLAIR-FS grades were significantly higher and more sensitive than CE-T1WI (<i>p</i> < 0.001, <i>Z</i>: -4.347). Three patients had vitreous abnormal signals on CE-FLAIR-FS images, but none on CE-T1WI. <i>Conclusion:</i> CE-FLAIR-FS plays a significant role in the diagnosis of pediatric uveitis, identifying the involvement and severity of the uveal inflammation and guiding the appropriate management. It would be beneficial to add it as a standard sequence to the routine MRI protocol for uveal pathologies.</p>","PeriodicalId":55987,"journal":{"name":"Journal of the Belgian Society of Radiology","volume":"108 1","pages":"66"},"PeriodicalIF":1.3000,"publicationDate":"2024-06-28","publicationTypes":"Journal Article","fieldsOfStudy":null,"isOpenAccess":false,"openAccessPdf":"https://www.ncbi.nlm.nih.gov/pmc/articles/PMC11212780/pdf/","citationCount":"0","resultStr":"{\"title\":\"The Diagnostic Utility of Contrast-Enhanced FLAIR Imaging in the Diagnosis of Pediatric Uveitis.\",\"authors\":\"Saffet Ozturk, Esin Kurtulus Ozturk, Yasemin Tasci Yildiz, Bahadir Konuskan\",\"doi\":\"10.5334/jbsr.3565\",\"DOIUrl\":null,\"url\":null,\"abstract\":\"<p><p><i>Objectives:</i> Contrast-enhanced FLAIR fat-suppressed (CE-FLAIR-FS) imaging can potentially increase the diagnostic accuracy of uveal diseases and ultimately provide better patient management. This study aimed to determine the diagnostic value of CE-FLAIR-FS imaging versus contrast-enhanced T1-weighted imaging (CE-T1WI) in the assessment of pediatric patients with uveitis. <i>Material and methods:</i> Twenty-one children with uveitis who underwent whole brain magnetic resonance imaging (MRI), including CE-FLAIR-FS and CE-T1WI, were retrospectively included in the study. We evaluated the presence of uveal tract contrast enhancement with thickening, vitreous humor signal abnormality, and accompanying brain abnormalities. The uveal enhancement intensity was assessed semiquantitatively as mild, moderate, and marked uveitis compared to CE-T1WI and CE-FLAIR-FS images. <i>Results:</i> Panuveitis (61.9%) was the most frequent anatomic location, and most of them were idiopathic (47.6%). Of the 42 eyes with clinical uveitis, enhancement of the uveal tract was observed on CE-FLAIR-FS images in 21 eyes (50%), while in 5 eyes (11.9%) on CE-T1WI. The sensitivity of CE-FLAIR-FS in panuveitis was detected to be quite high (80.8%). The number of affected eyes and enhancement degree were found to be higher on CE-FLAIR-FS (<i>p</i> < 0.001). In assessing the severity of uveitis, CE-FLAIR-FS grades were significantly higher and more sensitive than CE-T1WI (<i>p</i> < 0.001, <i>Z</i>: -4.347). Three patients had vitreous abnormal signals on CE-FLAIR-FS images, but none on CE-T1WI. <i>Conclusion:</i> CE-FLAIR-FS plays a significant role in the diagnosis of pediatric uveitis, identifying the involvement and severity of the uveal inflammation and guiding the appropriate management. It would be beneficial to add it as a standard sequence to the routine MRI protocol for uveal pathologies.</p>\",\"PeriodicalId\":55987,\"journal\":{\"name\":\"Journal of the Belgian Society of Radiology\",\"volume\":\"108 1\",\"pages\":\"66\"},\"PeriodicalIF\":1.3000,\"publicationDate\":\"2024-06-28\",\"publicationTypes\":\"Journal Article\",\"fieldsOfStudy\":null,\"isOpenAccess\":false,\"openAccessPdf\":\"https://www.ncbi.nlm.nih.gov/pmc/articles/PMC11212780/pdf/\",\"citationCount\":\"0\",\"resultStr\":null,\"platform\":\"Semanticscholar\",\"paperid\":null,\"PeriodicalName\":\"Journal of the Belgian Society of Radiology\",\"FirstCategoryId\":\"3\",\"ListUrlMain\":\"https://doi.org/10.5334/jbsr.3565\",\"RegionNum\":4,\"RegionCategory\":\"医学\",\"ArticlePicture\":[],\"TitleCN\":null,\"AbstractTextCN\":null,\"PMCID\":null,\"EPubDate\":\"2024/1/1 0:00:00\",\"PubModel\":\"eCollection\",\"JCR\":\"Q4\",\"JCRName\":\"RADIOLOGY, NUCLEAR MEDICINE & MEDICAL IMAGING\",\"Score\":null,\"Total\":0}","platform":"Semanticscholar","paperid":null,"PeriodicalName":"Journal of the Belgian Society of Radiology","FirstCategoryId":"3","ListUrlMain":"https://doi.org/10.5334/jbsr.3565","RegionNum":4,"RegionCategory":"医学","ArticlePicture":[],"TitleCN":null,"AbstractTextCN":null,"PMCID":null,"EPubDate":"2024/1/1 0:00:00","PubModel":"eCollection","JCR":"Q4","JCRName":"RADIOLOGY, NUCLEAR MEDICINE & MEDICAL IMAGING","Score":null,"Total":0}
引用次数: 0

摘要

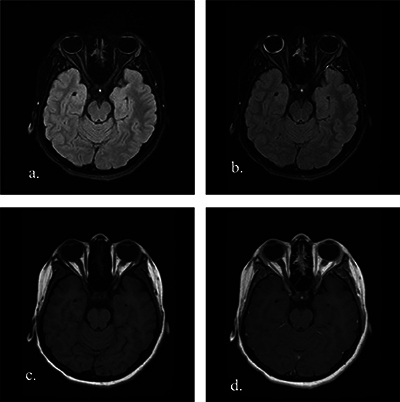
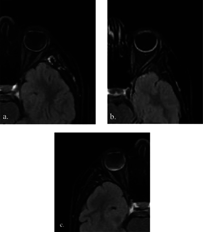
目的:对比增强FLAIR脂肪抑制(CE-FLAIR-FS)成像有可能提高葡萄膜疾病的诊断准确性,并最终提供更好的患者管理。本研究旨在确定 CE-FLAIR-FS 成像与对比增强 T1 加权成像(CE-T1WI)在评估儿童葡萄膜炎患者时的诊断价值。材料和方法:研究回顾性地纳入了21名接受全脑磁共振成像(MRI)(包括CE-FLAIR-FS和CE-T1WI)检查的葡萄膜炎患儿。我们评估了葡萄膜束对比度增强与增厚、玻璃体信号异常以及伴随的脑部异常。与 CE-T1WI 和 CE-FLAIR-FS 图像相比,葡萄膜增强强度被半定量地评估为轻度、中度和明显葡萄膜炎。结果显示全葡萄膜炎(61.9%)是最常见的解剖位置,其中大部分是特发性的(47.6%)。在 42 眼临床葡萄膜炎患者中,21 眼(50%)在 CE-FLAIR-FS 图像上观察到葡萄膜束增强,5 眼(11.9%)在 CE-T1WI 图像上观察到葡萄膜束增强。经检测,CE-FLAIR-FS 对泛葡萄膜炎的灵敏度相当高(80.8%)。CE-FLAIR-FS的受累眼数和增强程度更高(P < 0.001)。在评估葡萄膜炎的严重程度时,CE-FLAIR-FS 的分级明显高于 CE-T1WI,灵敏度更高(P < 0.001,Z:-4.347)。三名患者在 CE-FLAIR-FS 图像上出现玻璃体异常信号,但在 CE-T1WI 图像上却没有。结论CE-FLAIR-FS在诊断小儿葡萄膜炎、确定葡萄膜炎症的累及范围和严重程度以及指导适当的治疗方面发挥着重要作用。将其作为标准序列加入葡萄膜病变的常规核磁共振成像方案将大有裨益。
本文章由计算机程序翻译,如有差异,请以英文原文为准。

The Diagnostic Utility of Contrast-Enhanced FLAIR Imaging in the Diagnosis of Pediatric Uveitis.

The Diagnostic Utility of Contrast-Enhanced FLAIR Imaging in the Diagnosis of Pediatric Uveitis.

The Diagnostic Utility of Contrast-Enhanced FLAIR Imaging in the Diagnosis of Pediatric Uveitis.

The Diagnostic Utility of Contrast-Enhanced FLAIR Imaging in the Diagnosis of Pediatric Uveitis.

Objectives: Contrast-enhanced FLAIR fat-suppressed (CE-FLAIR-FS) imaging can potentially increase the diagnostic accuracy of uveal diseases and ultimately provide better patient management. This study aimed to determine the diagnostic value of CE-FLAIR-FS imaging versus contrast-enhanced T1-weighted imaging (CE-T1WI) in the assessment of pediatric patients with uveitis. Material and methods: Twenty-one children with uveitis who underwent whole brain magnetic resonance imaging (MRI), including CE-FLAIR-FS and CE-T1WI, were retrospectively included in the study. We evaluated the presence of uveal tract contrast enhancement with thickening, vitreous humor signal abnormality, and accompanying brain abnormalities. The uveal enhancement intensity was assessed semiquantitatively as mild, moderate, and marked uveitis compared to CE-T1WI and CE-FLAIR-FS images. Results: Panuveitis (61.9%) was the most frequent anatomic location, and most of them were idiopathic (47.6%). Of the 42 eyes with clinical uveitis, enhancement of the uveal tract was observed on CE-FLAIR-FS images in 21 eyes (50%), while in 5 eyes (11.9%) on CE-T1WI. The sensitivity of CE-FLAIR-FS in panuveitis was detected to be quite high (80.8%). The number of affected eyes and enhancement degree were found to be higher on CE-FLAIR-FS (p < 0.001). In assessing the severity of uveitis, CE-FLAIR-FS grades were significantly higher and more sensitive than CE-T1WI (p < 0.001, Z: -4.347). Three patients had vitreous abnormal signals on CE-FLAIR-FS images, but none on CE-T1WI. Conclusion: CE-FLAIR-FS plays a significant role in the diagnosis of pediatric uveitis, identifying the involvement and severity of the uveal inflammation and guiding the appropriate management. It would be beneficial to add it as a standard sequence to the routine MRI protocol for uveal pathologies.

求助全文
通过发布文献求助,成功后即可免费获取论文全文。 去求助
来源期刊
Journal of the Belgian Society of Radiology
Journal of the Belgian Society of Radiology Medicine-Radiology, Nuclear Medicine and Imaging
CiteScore
0.70
自引率
5.00%
发文量
96
期刊介绍: The purpose of the Journal of the Belgian Society of Radiology is the publication of articles dealing with diagnostic and interventional radiology, related imaging techniques, allied sciences, and continuing education.
×
引用
GB/T 7714-2015
复制
MLA
复制
APA
复制
导出至
BibTeX EndNote RefMan NoteFirst NoteExpress
×
提示
您的信息不完整,为了账户安全,请先补充。
现在去补充
×
提示
您因"违规操作"
具体请查看互助需知
我知道了
×
提示
确定
请完成安全验证×
copy
已复制链接
快去分享给好友吧!
我知道了
右上角分享
点击右上角分享
0
联系我们:info@booksci.cn Book学术提供免费学术资源搜索服务,方便国内外学者检索中英文文献。致力于提供最便捷和优质的服务体验。 Copyright © 2023 布克学术 All rights reserved.
京ICP备2023020795号-1
ghs 京公网安备 11010802042870号
Book学术文献互助
Book学术文献互助群
群 号:604180095
Book学术官方微信