腕部结核性骨髓炎

Q2 Social Sciences
The Permanente journal Pub Date : 2025-03-14 Epub Date: 2024-06-26 DOI:10.7812/TPP/24.025
Grace Kim, Kate E Lee, Anand Shah, Jessica Seidelman, Kevin A Wu, Diana M Cardona, Lana Wahid
{"title":"腕部结核性骨髓炎","authors":"Grace Kim, Kate E Lee, Anand Shah, Jessica Seidelman, Kevin A Wu, Diana M Cardona, Lana Wahid","doi":"10.7812/TPP/24.025","DOIUrl":null,"url":null,"abstract":"<p><p>Wrist <i>Mycobacterium tuberculosis</i> (TB) complex osteomyelitis is rare, with polymicrobial TB osteomyelitis even more uncommon. The authors describe an unusual case of polymicrobial TB wrist osteomyelitis. The case patient presented with a 2.5-year history of 2 insidiously growing nodules on his wrist. He underwent debridement, and tissue cultures grew methicillin-resistant <i>Staphylococcus aureus</i>, <i>Enterococcus faecalis</i>, and, later, TB complex. He was started on vancomycin, rifampin, isoniazid, pyrazinamide, and ethambutol with improvement in symptoms. This case emphasizes the importance of a broad differential and thorough workup for atypical presentations of osteomyelitis. Diagnosis of uncommon etiologies is essential for definitive treatment.</p>","PeriodicalId":23037,"journal":{"name":"The Permanente journal","volume":" ","pages":"119-123"},"PeriodicalIF":0.0000,"publicationDate":"2025-03-14","publicationTypes":"Journal Article","fieldsOfStudy":null,"isOpenAccess":false,"openAccessPdf":"https://www.ncbi.nlm.nih.gov/pmc/articles/PMC11907666/pdf/","citationCount":"0","resultStr":"{\"title\":\"Tuberculosis Osteomyelitis of the Wrist.\",\"authors\":\"Grace Kim, Kate E Lee, Anand Shah, Jessica Seidelman, Kevin A Wu, Diana M Cardona, Lana Wahid\",\"doi\":\"10.7812/TPP/24.025\",\"DOIUrl\":null,\"url\":null,\"abstract\":\"<p><p>Wrist <i>Mycobacterium tuberculosis</i> (TB) complex osteomyelitis is rare, with polymicrobial TB osteomyelitis even more uncommon. The authors describe an unusual case of polymicrobial TB wrist osteomyelitis. The case patient presented with a 2.5-year history of 2 insidiously growing nodules on his wrist. He underwent debridement, and tissue cultures grew methicillin-resistant <i>Staphylococcus aureus</i>, <i>Enterococcus faecalis</i>, and, later, TB complex. He was started on vancomycin, rifampin, isoniazid, pyrazinamide, and ethambutol with improvement in symptoms. This case emphasizes the importance of a broad differential and thorough workup for atypical presentations of osteomyelitis. Diagnosis of uncommon etiologies is essential for definitive treatment.</p>\",\"PeriodicalId\":23037,\"journal\":{\"name\":\"The Permanente journal\",\"volume\":\" \",\"pages\":\"119-123\"},\"PeriodicalIF\":0.0000,\"publicationDate\":\"2025-03-14\",\"publicationTypes\":\"Journal Article\",\"fieldsOfStudy\":null,\"isOpenAccess\":false,\"openAccessPdf\":\"https://www.ncbi.nlm.nih.gov/pmc/articles/PMC11907666/pdf/\",\"citationCount\":\"0\",\"resultStr\":null,\"platform\":\"Semanticscholar\",\"paperid\":null,\"PeriodicalName\":\"The Permanente journal\",\"FirstCategoryId\":\"1085\",\"ListUrlMain\":\"https://doi.org/10.7812/TPP/24.025\",\"RegionNum\":0,\"RegionCategory\":null,\"ArticlePicture\":[],\"TitleCN\":null,\"AbstractTextCN\":null,\"PMCID\":null,\"EPubDate\":\"2024/6/26 0:00:00\",\"PubModel\":\"Epub\",\"JCR\":\"Q2\",\"JCRName\":\"Social Sciences\",\"Score\":null,\"Total\":0}","platform":"Semanticscholar","paperid":null,"PeriodicalName":"The Permanente journal","FirstCategoryId":"1085","ListUrlMain":"https://doi.org/10.7812/TPP/24.025","RegionNum":0,"RegionCategory":null,"ArticlePicture":[],"TitleCN":null,"AbstractTextCN":null,"PMCID":null,"EPubDate":"2024/6/26 0:00:00","PubModel":"Epub","JCR":"Q2","JCRName":"Social Sciences","Score":null,"Total":0}
引用次数: 0

摘要

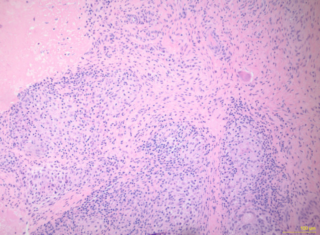
腕部结核分枝杆菌(TB)复合骨髓炎十分罕见,而多菌性结核骨髓炎则更为罕见。作者描述了一例不寻常的多菌性结核腕骨髓炎病例。病例患者的手腕上有两个隐匿生长的结节,病史长达 2.5 年。他接受了清创术,组织培养出了耐甲氧西林金黄色葡萄球菌、粪肠球菌,后来又发现了结核复合菌。他开始服用万古霉素、利福平、异烟肼、吡嗪酰胺和乙胺丁醇,症状有所改善。该病例强调了对骨髓炎的非典型表现进行广泛鉴别和全面检查的重要性。不常见病因的诊断对于明确治疗至关重要。
本文章由计算机程序翻译,如有差异,请以英文原文为准。

Tuberculosis Osteomyelitis of the Wrist.

Tuberculosis Osteomyelitis of the Wrist.

Tuberculosis Osteomyelitis of the Wrist.

Tuberculosis Osteomyelitis of the Wrist.

Wrist Mycobacterium tuberculosis (TB) complex osteomyelitis is rare, with polymicrobial TB osteomyelitis even more uncommon. The authors describe an unusual case of polymicrobial TB wrist osteomyelitis. The case patient presented with a 2.5-year history of 2 insidiously growing nodules on his wrist. He underwent debridement, and tissue cultures grew methicillin-resistant Staphylococcus aureus, Enterococcus faecalis, and, later, TB complex. He was started on vancomycin, rifampin, isoniazid, pyrazinamide, and ethambutol with improvement in symptoms. This case emphasizes the importance of a broad differential and thorough workup for atypical presentations of osteomyelitis. Diagnosis of uncommon etiologies is essential for definitive treatment.

求助全文
通过发布文献求助,成功后即可免费获取论文全文。 去求助
来源期刊
The Permanente journal
The Permanente journal Medicine-Medicine (all)
CiteScore
2.20
自引率
0.00%
发文量
86
×
引用
GB/T 7714-2015
复制
MLA
复制
APA
复制
导出至
BibTeX EndNote RefMan NoteFirst NoteExpress
×
提示
您的信息不完整,为了账户安全,请先补充。
现在去补充
×
提示
您因"违规操作"
具体请查看互助需知
我知道了
×
提示
确定
请完成安全验证×
copy
已复制链接
快去分享给好友吧!
我知道了
右上角分享
点击右上角分享
0
联系我们:info@booksci.cn Book学术提供免费学术资源搜索服务,方便国内外学者检索中英文文献。致力于提供最便捷和优质的服务体验。 Copyright © 2023 布克学术 All rights reserved.
京ICP备2023020795号-1
ghs 京公网安备 11010802042870号
Book学术文献互助
Book学术文献互助群
群 号:604180095
Book学术官方微信