COVID-19 诱导的伴有单核细胞增多的一过性红细胞白血病反应中急性单核细胞白血病的形态学线索

IF 1.2 Q4 HEMATOLOGY
Ingrid S Tam, Mohamed Elemary, John DeCoteau, Anna Porwit, Emina E Torlakovic
{"title":"COVID-19 诱导的伴有单核细胞增多的一过性红细胞白血病反应中急性单核细胞白血病的形态学线索","authors":"Ingrid S Tam, Mohamed Elemary, John DeCoteau, Anna Porwit, Emina E Torlakovic","doi":"10.3390/hematolrep16020033","DOIUrl":null,"url":null,"abstract":"<p><p>Viral infections, including those caused by COVID-19, can produce striking morphologic changes in peripheral blood. Distinguishing between reactive changes and abnormal morphology of monocytes remains particularly difficult, with low consensus rates reported amongst hematopathologists. Here, we report a patient who developed transient monocytosis of 11.06 × 10<sup>9</sup>/L with 32% promonocytes and 1% blasts during hospitalization that was secondary to severe COVID-19 infection. Three days later, the clinical status of the patient improved and the WBC had decreased to 8.47 × 10<sup>9</sup>/L with 2.2 × 10<sup>9</sup>/L monocytes. Flow cytometry studies did not reveal immunophenotypic findings specific for an overt malignant population. At no time during admission did the patient develop cytopenia(s), and she was discharged upon clinical improvement. However, the peripheral blood sample containing promonocytes was sent for molecular testing with an extended next-generation sequencing myeloid panel and was positive for pathogenic <i>NPM1</i> Type A and <i>DNMT3A</i> R882H mutations. Subsequently, despite an essentially normal complete blood count, the patient underwent a bone marrow assessment that showed acute myeloid leukemia with 77% promonocytes. This case emphasizes the critical importance of a full work up to exclude acute leukemia when classical promonocyte morphology is encountered in the peripheral blood. Promonocytes are not a part of the reactive changes associated with COVID-19 and remain specific to myeloid neoplasia.</p>","PeriodicalId":12829,"journal":{"name":"Hematology Reports","volume":"16 2","pages":"331-335"},"PeriodicalIF":1.2000,"publicationDate":"2024-05-28","publicationTypes":"Journal Article","fieldsOfStudy":null,"isOpenAccess":false,"openAccessPdf":"https://www.ncbi.nlm.nih.gov/pmc/articles/PMC11203109/pdf/","citationCount":"0","resultStr":"{\"title\":\"Morphological Clues of Acute Monocytic Leukemia in COVID-19-Induced Transient Leukoerythroblastic Reaction with Monocytosis.\",\"authors\":\"Ingrid S Tam, Mohamed Elemary, John DeCoteau, Anna Porwit, Emina E Torlakovic\",\"doi\":\"10.3390/hematolrep16020033\",\"DOIUrl\":null,\"url\":null,\"abstract\":\"<p><p>Viral infections, including those caused by COVID-19, can produce striking morphologic changes in peripheral blood. Distinguishing between reactive changes and abnormal morphology of monocytes remains particularly difficult, with low consensus rates reported amongst hematopathologists. Here, we report a patient who developed transient monocytosis of 11.06 × 10<sup>9</sup>/L with 32% promonocytes and 1% blasts during hospitalization that was secondary to severe COVID-19 infection. Three days later, the clinical status of the patient improved and the WBC had decreased to 8.47 × 10<sup>9</sup>/L with 2.2 × 10<sup>9</sup>/L monocytes. Flow cytometry studies did not reveal immunophenotypic findings specific for an overt malignant population. At no time during admission did the patient develop cytopenia(s), and she was discharged upon clinical improvement. However, the peripheral blood sample containing promonocytes was sent for molecular testing with an extended next-generation sequencing myeloid panel and was positive for pathogenic <i>NPM1</i> Type A and <i>DNMT3A</i> R882H mutations. Subsequently, despite an essentially normal complete blood count, the patient underwent a bone marrow assessment that showed acute myeloid leukemia with 77% promonocytes. This case emphasizes the critical importance of a full work up to exclude acute leukemia when classical promonocyte morphology is encountered in the peripheral blood. Promonocytes are not a part of the reactive changes associated with COVID-19 and remain specific to myeloid neoplasia.</p>\",\"PeriodicalId\":12829,\"journal\":{\"name\":\"Hematology Reports\",\"volume\":\"16 2\",\"pages\":\"331-335\"},\"PeriodicalIF\":1.2000,\"publicationDate\":\"2024-05-28\",\"publicationTypes\":\"Journal Article\",\"fieldsOfStudy\":null,\"isOpenAccess\":false,\"openAccessPdf\":\"https://www.ncbi.nlm.nih.gov/pmc/articles/PMC11203109/pdf/\",\"citationCount\":\"0\",\"resultStr\":null,\"platform\":\"Semanticscholar\",\"paperid\":null,\"PeriodicalName\":\"Hematology Reports\",\"FirstCategoryId\":\"1085\",\"ListUrlMain\":\"https://doi.org/10.3390/hematolrep16020033\",\"RegionNum\":0,\"RegionCategory\":null,\"ArticlePicture\":[],\"TitleCN\":null,\"AbstractTextCN\":null,\"PMCID\":null,\"EPubDate\":\"\",\"PubModel\":\"\",\"JCR\":\"Q4\",\"JCRName\":\"HEMATOLOGY\",\"Score\":null,\"Total\":0}","platform":"Semanticscholar","paperid":null,"PeriodicalName":"Hematology Reports","FirstCategoryId":"1085","ListUrlMain":"https://doi.org/10.3390/hematolrep16020033","RegionNum":0,"RegionCategory":null,"ArticlePicture":[],"TitleCN":null,"AbstractTextCN":null,"PMCID":null,"EPubDate":"","PubModel":"","JCR":"Q4","JCRName":"HEMATOLOGY","Score":null,"Total":0}
引用次数: 0

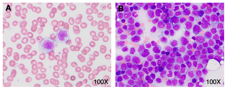
摘要

病毒感染(包括由 COVID-19 引起的感染)可在外周血中产生显著的形态变化。区分单核细胞的反应性变化和异常形态仍然特别困难,血液病理学家之间的共识率很低。在此,我们报告了一名因严重 COVID-19 感染而在住院期间出现一过性单核细胞增多症的患者,其单核细胞为 11.06 × 109/L,原核细胞占 32%,1% 为血泡。三天后,患者的临床状况有所改善,白细胞降至 8.47 × 109/L,其中单核细胞为 2.2 × 109/L。流式细胞术研究没有发现明显恶性肿瘤的特异免疫表型。患者在入院期间从未出现细胞减少症,临床症状好转后便出院了。然而,含有原核细胞的外周血样本被送去进行分子检测,经扩展的新一代测序骨髓细胞面板检测,发现致病性 NPM1 A 型和 DNMT3A R882H 突变呈阳性。随后,尽管全血细胞计数基本正常,但患者接受了骨髓评估,结果显示其患有急性髓性白血病,原核细胞占 77%。该病例强调,当外周血中出现典型的原核细胞形态时,全面检查以排除急性白血病至关重要。原核细胞不属于与 COVID-19 相关的反应性变化,仍然是髓细胞瘤的特异性表现。
本文章由计算机程序翻译,如有差异,请以英文原文为准。

Morphological Clues of Acute Monocytic Leukemia in COVID-19-Induced Transient Leukoerythroblastic Reaction with Monocytosis.

Morphological Clues of Acute Monocytic Leukemia in COVID-19-Induced Transient Leukoerythroblastic Reaction with Monocytosis.

Morphological Clues of Acute Monocytic Leukemia in COVID-19-Induced Transient Leukoerythroblastic Reaction with Monocytosis.

Viral infections, including those caused by COVID-19, can produce striking morphologic changes in peripheral blood. Distinguishing between reactive changes and abnormal morphology of monocytes remains particularly difficult, with low consensus rates reported amongst hematopathologists. Here, we report a patient who developed transient monocytosis of 11.06 × 109/L with 32% promonocytes and 1% blasts during hospitalization that was secondary to severe COVID-19 infection. Three days later, the clinical status of the patient improved and the WBC had decreased to 8.47 × 109/L with 2.2 × 109/L monocytes. Flow cytometry studies did not reveal immunophenotypic findings specific for an overt malignant population. At no time during admission did the patient develop cytopenia(s), and she was discharged upon clinical improvement. However, the peripheral blood sample containing promonocytes was sent for molecular testing with an extended next-generation sequencing myeloid panel and was positive for pathogenic NPM1 Type A and DNMT3A R882H mutations. Subsequently, despite an essentially normal complete blood count, the patient underwent a bone marrow assessment that showed acute myeloid leukemia with 77% promonocytes. This case emphasizes the critical importance of a full work up to exclude acute leukemia when classical promonocyte morphology is encountered in the peripheral blood. Promonocytes are not a part of the reactive changes associated with COVID-19 and remain specific to myeloid neoplasia.

求助全文
通过发布文献求助,成功后即可免费获取论文全文。 去求助
来源期刊
Hematology Reports
Hematology Reports HEMATOLOGY-
CiteScore
0.90
自引率
0.00%
发文量
47
审稿时长
10 weeks
×
引用
GB/T 7714-2015
复制
MLA
复制
APA
复制
导出至
BibTeX EndNote RefMan NoteFirst NoteExpress
×
提示
您的信息不完整,为了账户安全,请先补充。
现在去补充
×
提示
您因"违规操作"
具体请查看互助需知
我知道了
×
提示
确定
请完成安全验证×
copy
已复制链接
快去分享给好友吧!
我知道了
右上角分享
点击右上角分享
0
联系我们:info@booksci.cn Book学术提供免费学术资源搜索服务,方便国内外学者检索中英文文献。致力于提供最便捷和优质的服务体验。 Copyright © 2023 布克学术 All rights reserved.
京ICP备2023020795号-1
ghs 京公网安备 11010802042870号
Book学术文献互助
Book学术文献互助群
群 号:604180095
Book学术官方微信