儿童脑性肾上腺白质营养不良症:病例报告和文献综述,倡导新生儿筛查。

IF 3.2 Q3 CLINICAL NEUROLOGY
Degenerative neurological and neuromuscular disease Pub Date : 2024-06-17 eCollection Date: 2024-01-01 DOI:10.2147/DNND.S442985
Hamrish Kumar Rajakumar, Varsha Coimbatore Sathyabal, Revathi Nachiappan, Sivakumar Krishnaswamy Vijayaramanujam
{"title":"儿童脑性肾上腺白质营养不良症:病例报告和文献综述,倡导新生儿筛查。","authors":"Hamrish Kumar Rajakumar, Varsha Coimbatore Sathyabal, Revathi Nachiappan, Sivakumar Krishnaswamy Vijayaramanujam","doi":"10.2147/DNND.S442985","DOIUrl":null,"url":null,"abstract":"<p><strong>Background: </strong>X-linked adrenoleukodystrophy (ALD) is a rare genetic disorder caused by a pathogenic variant of the ABCD1 gene, leading to impaired peroxisomal function and the accumulation of very long-chain fatty acids (VLCFAs). ALD presents a wide range of neurological and adrenal symptoms, ranging from childhood cerebral adrenoleukodystrophy to adrenomyeloneuropathy and adrenal insufficiency. Newborn screening (NBS) for ALD is available in some regions but remains lacking in others, such as India.</p><p><strong>Case presentation: </strong>We present a case of a 10-year-old boy with ALD who presented with seizures, progressive weakness, visual impairment, and adrenal insufficiency. Despite symptomatic management and dietary adjustments, the disease progressed rapidly, leading to respiratory failure and eventual demise. The diagnosis was confirmed through molecular analysis and elevated VLCFA levels. Neuroimaging revealed characteristic white matter changes consistent with ALD.</p><p><strong>Conclusion: </strong>ALD is a devastating disease with no cure, emphasizing the importance of early detection through newborn screening and genetic testing. Management strategies include adrenal hormone therapy, gene therapy, and allogenic stem cell transplantation, as well as investigational treatments such as VLCFA normalization. Our case advocates the need for worldwide NBS and pediatric neurologic follow-up to enable early intervention and improve patient outcomes. Additionally, the association between ALD, recurrent febrile seizures, and unexplained developmental delay warrants further investigation to better understand disease progression and potential therapeutic targets.</p>","PeriodicalId":93972,"journal":{"name":"Degenerative neurological and neuromuscular disease","volume":"14 ","pages":"75-83"},"PeriodicalIF":3.2000,"publicationDate":"2024-06-17","publicationTypes":"Journal Article","fieldsOfStudy":null,"isOpenAccess":false,"openAccessPdf":"https://www.ncbi.nlm.nih.gov/pmc/articles/PMC11192191/pdf/","citationCount":"0","resultStr":"{\"title\":\"Childhood Cerebral Adrenoleukodystrophy: Case Report and Literature Review Advocating for Newborn Screening.\",\"authors\":\"Hamrish Kumar Rajakumar, Varsha Coimbatore Sathyabal, Revathi Nachiappan, Sivakumar Krishnaswamy Vijayaramanujam\",\"doi\":\"10.2147/DNND.S442985\",\"DOIUrl\":null,\"url\":null,\"abstract\":\"<p><strong>Background: </strong>X-linked adrenoleukodystrophy (ALD) is a rare genetic disorder caused by a pathogenic variant of the ABCD1 gene, leading to impaired peroxisomal function and the accumulation of very long-chain fatty acids (VLCFAs). ALD presents a wide range of neurological and adrenal symptoms, ranging from childhood cerebral adrenoleukodystrophy to adrenomyeloneuropathy and adrenal insufficiency. Newborn screening (NBS) for ALD is available in some regions but remains lacking in others, such as India.</p><p><strong>Case presentation: </strong>We present a case of a 10-year-old boy with ALD who presented with seizures, progressive weakness, visual impairment, and adrenal insufficiency. Despite symptomatic management and dietary adjustments, the disease progressed rapidly, leading to respiratory failure and eventual demise. The diagnosis was confirmed through molecular analysis and elevated VLCFA levels. Neuroimaging revealed characteristic white matter changes consistent with ALD.</p><p><strong>Conclusion: </strong>ALD is a devastating disease with no cure, emphasizing the importance of early detection through newborn screening and genetic testing. Management strategies include adrenal hormone therapy, gene therapy, and allogenic stem cell transplantation, as well as investigational treatments such as VLCFA normalization. Our case advocates the need for worldwide NBS and pediatric neurologic follow-up to enable early intervention and improve patient outcomes. Additionally, the association between ALD, recurrent febrile seizures, and unexplained developmental delay warrants further investigation to better understand disease progression and potential therapeutic targets.</p>\",\"PeriodicalId\":93972,\"journal\":{\"name\":\"Degenerative neurological and neuromuscular disease\",\"volume\":\"14 \",\"pages\":\"75-83\"},\"PeriodicalIF\":3.2000,\"publicationDate\":\"2024-06-17\",\"publicationTypes\":\"Journal Article\",\"fieldsOfStudy\":null,\"isOpenAccess\":false,\"openAccessPdf\":\"https://www.ncbi.nlm.nih.gov/pmc/articles/PMC11192191/pdf/\",\"citationCount\":\"0\",\"resultStr\":null,\"platform\":\"Semanticscholar\",\"paperid\":null,\"PeriodicalName\":\"Degenerative neurological and neuromuscular disease\",\"FirstCategoryId\":\"1085\",\"ListUrlMain\":\"https://doi.org/10.2147/DNND.S442985\",\"RegionNum\":0,\"RegionCategory\":null,\"ArticlePicture\":[],\"TitleCN\":null,\"AbstractTextCN\":null,\"PMCID\":null,\"EPubDate\":\"2024/1/1 0:00:00\",\"PubModel\":\"eCollection\",\"JCR\":\"Q3\",\"JCRName\":\"CLINICAL NEUROLOGY\",\"Score\":null,\"Total\":0}","platform":"Semanticscholar","paperid":null,"PeriodicalName":"Degenerative neurological and neuromuscular disease","FirstCategoryId":"1085","ListUrlMain":"https://doi.org/10.2147/DNND.S442985","RegionNum":0,"RegionCategory":null,"ArticlePicture":[],"TitleCN":null,"AbstractTextCN":null,"PMCID":null,"EPubDate":"2024/1/1 0:00:00","PubModel":"eCollection","JCR":"Q3","JCRName":"CLINICAL NEUROLOGY","Score":null,"Total":0}
引用次数: 0

摘要

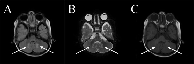
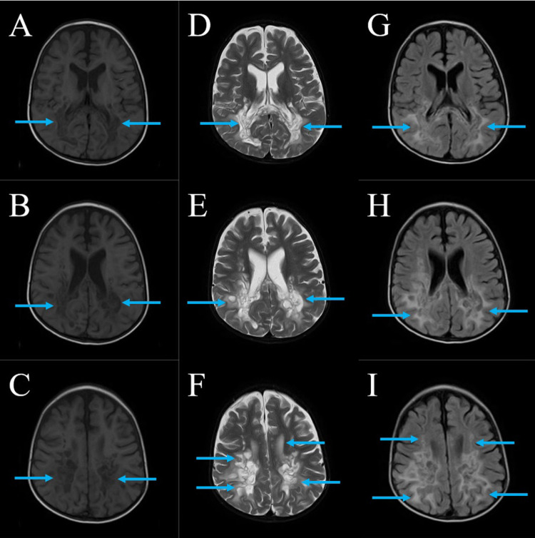
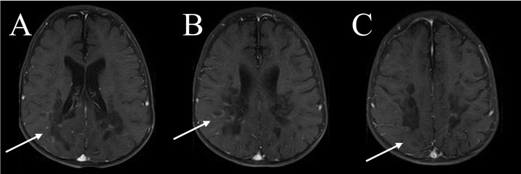
背景:X连锁肾上腺脑白质营养不良症(ALD)是一种罕见的遗传性疾病,由ABCD1基因的致病变体引起,导致过氧物酶体功能受损和超长链脂肪酸(VLCFAs)蓄积。ALD 表现出多种神经和肾上腺症状,从儿童脑肾上腺白质营养不良症到肾上腺肌神经病和肾上腺功能不全。一些地区已经开展了针对 ALD 的新生儿筛查(NBS),但印度等其他地区仍缺乏此类筛查:我们介绍了一例患有 ALD 的 10 岁男孩,他出现了癫痫发作、进行性乏力、视力障碍和肾上腺功能不全。尽管进行了对症治疗和饮食调整,但病情进展迅速,导致呼吸衰竭并最终死亡。通过分子分析和 VLCFA 水平升高确诊了该病。神经影像学检查发现了与ALD一致的特征性白质改变:ALD是一种无法治愈的破坏性疾病,强调通过新生儿筛查和基因检测早期发现的重要性。治疗策略包括肾上腺激素治疗、基因治疗、异基因干细胞移植以及VLCFA正常化等研究性治疗。我们的病例表明,有必要在全球范围内开展新生儿筛查和儿科神经系统随访,以便及早干预并改善患者的预后。此外,ALD、反复发热性癫痫发作和不明原因的发育迟缓之间的关联值得进一步研究,以更好地了解疾病进展和潜在的治疗目标。
本文章由计算机程序翻译,如有差异,请以英文原文为准。

Childhood Cerebral Adrenoleukodystrophy: Case Report and Literature Review Advocating for Newborn Screening.

Childhood Cerebral Adrenoleukodystrophy: Case Report and Literature Review Advocating for Newborn Screening.

Childhood Cerebral Adrenoleukodystrophy: Case Report and Literature Review Advocating for Newborn Screening.

Childhood Cerebral Adrenoleukodystrophy: Case Report and Literature Review Advocating for Newborn Screening.

Background: X-linked adrenoleukodystrophy (ALD) is a rare genetic disorder caused by a pathogenic variant of the ABCD1 gene, leading to impaired peroxisomal function and the accumulation of very long-chain fatty acids (VLCFAs). ALD presents a wide range of neurological and adrenal symptoms, ranging from childhood cerebral adrenoleukodystrophy to adrenomyeloneuropathy and adrenal insufficiency. Newborn screening (NBS) for ALD is available in some regions but remains lacking in others, such as India.

Case presentation: We present a case of a 10-year-old boy with ALD who presented with seizures, progressive weakness, visual impairment, and adrenal insufficiency. Despite symptomatic management and dietary adjustments, the disease progressed rapidly, leading to respiratory failure and eventual demise. The diagnosis was confirmed through molecular analysis and elevated VLCFA levels. Neuroimaging revealed characteristic white matter changes consistent with ALD.

Conclusion: ALD is a devastating disease with no cure, emphasizing the importance of early detection through newborn screening and genetic testing. Management strategies include adrenal hormone therapy, gene therapy, and allogenic stem cell transplantation, as well as investigational treatments such as VLCFA normalization. Our case advocates the need for worldwide NBS and pediatric neurologic follow-up to enable early intervention and improve patient outcomes. Additionally, the association between ALD, recurrent febrile seizures, and unexplained developmental delay warrants further investigation to better understand disease progression and potential therapeutic targets.

求助全文
通过发布文献求助,成功后即可免费获取论文全文。 去求助
来源期刊
自引率
0.00%
发文量
0
×
引用
GB/T 7714-2015
复制
MLA
复制
APA
复制
导出至
BibTeX EndNote RefMan NoteFirst NoteExpress
×
提示
您的信息不完整,为了账户安全,请先补充。
现在去补充
×
提示
您因"违规操作"
具体请查看互助需知
我知道了
×
提示
确定
请完成安全验证×
copy
已复制链接
快去分享给好友吧!
我知道了
右上角分享
点击右上角分享
0
联系我们:info@booksci.cn Book学术提供免费学术资源搜索服务,方便国内外学者检索中英文文献。致力于提供最便捷和优质的服务体验。 Copyright © 2023 布克学术 All rights reserved.
京ICP备2023020795号-1
ghs 京公网安备 11010802042870号
Book学术文献互助
Book学术文献互助群
群 号:604180095
Book学术官方微信