肺部超声和超声弹性成像在间质性肺病诊断中的作用。

Zarifa Abdullayeva, Müge Aydoğdu, Ebru Öztürk, Nilgün Yilmaz Demirci, Haluk Şaban Türktaş, Nurdan Köktürk
{"title":"肺部超声和超声弹性成像在间质性肺病诊断中的作用。","authors":"Zarifa Abdullayeva, Müge Aydoğdu, Ebru Öztürk, Nilgün Yilmaz Demirci, Haluk Şaban Türktaş, Nurdan Köktürk","doi":"10.5578/tt.202402873","DOIUrl":null,"url":null,"abstract":"<p><strong>Introduction: </strong>Ultrasound elastography (US-E) is a novel, tissue stiffness-sensitive imaging method. We aimed to investigate whether lung ultrasound (US) and US-E can play a role in diagnosing interstitial lung diseases (ILDs) in which lung elasticity is affected due to fibrosis.</p><p><strong>Materials and methods: </strong>A prospective cohort study. Patients with ILD were defined as ''ILD group'' and with other pulmonary diseases as ''control group\". All subjects were examined and compared by lung US in B and elastography modes. Besides, the relationship between ultrasonography and high-resolution computerized tomography (HRCT) and chest X-ray findings was evaluated.</p><p><strong>Result: </strong>A total of 109 patients, 55 in ILD and 54 in the control group, with a mean age of 62 ± 14 years, were included. A positive correlation was found between the Warrick score (calculated from HRCT to determine the severity of ILD) and the number of B-lines (discrete vertical reverberation artifacts, indicating interstitial lung syndrome) in lung US (p= 0.001, r= 0.550) in the ILD group. In US-E, blue color (meaning more rigid tissue) dominated in the ILD group, and green color (indicating medium tissue stiffness) dominated in the control group (p= 0.001). Lung US diagnosed the ILD with 69% accuracy, 80% sensitivity, and 60% specificity compared to HRCT. Combined with chest X-ray, diagnostic accuracy was 74%, sensitivity 60%, and specificity 89%.</p><p><strong>Conclusions: </strong>Although lung US and US-E are not superior to gold standard HRCT in diagnosing ILDs, they can still be accepted as promising, novel, noninvasive tools, especially when combined with chest X-rays. Their role still needs to be clarified with further studies.</p>","PeriodicalId":519894,"journal":{"name":"Tuberkuloz ve toraks","volume":"72 2","pages":"95-106"},"PeriodicalIF":0.0000,"publicationDate":"2024-06-01","publicationTypes":"Journal Article","fieldsOfStudy":null,"isOpenAccess":false,"openAccessPdf":"https://www.ncbi.nlm.nih.gov/pmc/articles/PMC11390075/pdf/","citationCount":"0","resultStr":"{\"title\":\"The role of lung ultrasound and ultrasound elastography in diagnosis of interstitial lung diseases.\",\"authors\":\"Zarifa Abdullayeva, Müge Aydoğdu, Ebru Öztürk, Nilgün Yilmaz Demirci, Haluk Şaban Türktaş, Nurdan Köktürk\",\"doi\":\"10.5578/tt.202402873\",\"DOIUrl\":null,\"url\":null,\"abstract\":\"<p><strong>Introduction: </strong>Ultrasound elastography (US-E) is a novel, tissue stiffness-sensitive imaging method. We aimed to investigate whether lung ultrasound (US) and US-E can play a role in diagnosing interstitial lung diseases (ILDs) in which lung elasticity is affected due to fibrosis.</p><p><strong>Materials and methods: </strong>A prospective cohort study. Patients with ILD were defined as ''ILD group'' and with other pulmonary diseases as ''control group\\\". All subjects were examined and compared by lung US in B and elastography modes. Besides, the relationship between ultrasonography and high-resolution computerized tomography (HRCT) and chest X-ray findings was evaluated.</p><p><strong>Result: </strong>A total of 109 patients, 55 in ILD and 54 in the control group, with a mean age of 62 ± 14 years, were included. A positive correlation was found between the Warrick score (calculated from HRCT to determine the severity of ILD) and the number of B-lines (discrete vertical reverberation artifacts, indicating interstitial lung syndrome) in lung US (p= 0.001, r= 0.550) in the ILD group. In US-E, blue color (meaning more rigid tissue) dominated in the ILD group, and green color (indicating medium tissue stiffness) dominated in the control group (p= 0.001). Lung US diagnosed the ILD with 69% accuracy, 80% sensitivity, and 60% specificity compared to HRCT. Combined with chest X-ray, diagnostic accuracy was 74%, sensitivity 60%, and specificity 89%.</p><p><strong>Conclusions: </strong>Although lung US and US-E are not superior to gold standard HRCT in diagnosing ILDs, they can still be accepted as promising, novel, noninvasive tools, especially when combined with chest X-rays. Their role still needs to be clarified with further studies.</p>\",\"PeriodicalId\":519894,\"journal\":{\"name\":\"Tuberkuloz ve toraks\",\"volume\":\"72 2\",\"pages\":\"95-106\"},\"PeriodicalIF\":0.0000,\"publicationDate\":\"2024-06-01\",\"publicationTypes\":\"Journal Article\",\"fieldsOfStudy\":null,\"isOpenAccess\":false,\"openAccessPdf\":\"https://www.ncbi.nlm.nih.gov/pmc/articles/PMC11390075/pdf/\",\"citationCount\":\"0\",\"resultStr\":null,\"platform\":\"Semanticscholar\",\"paperid\":null,\"PeriodicalName\":\"Tuberkuloz ve toraks\",\"FirstCategoryId\":\"1085\",\"ListUrlMain\":\"https://doi.org/10.5578/tt.202402873\",\"RegionNum\":0,\"RegionCategory\":null,\"ArticlePicture\":[],\"TitleCN\":null,\"AbstractTextCN\":null,\"PMCID\":null,\"EPubDate\":\"\",\"PubModel\":\"\",\"JCR\":\"\",\"JCRName\":\"\",\"Score\":null,\"Total\":0}","platform":"Semanticscholar","paperid":null,"PeriodicalName":"Tuberkuloz ve toraks","FirstCategoryId":"1085","ListUrlMain":"https://doi.org/10.5578/tt.202402873","RegionNum":0,"RegionCategory":null,"ArticlePicture":[],"TitleCN":null,"AbstractTextCN":null,"PMCID":null,"EPubDate":"","PubModel":"","JCR":"","JCRName":"","Score":null,"Total":0}
引用次数: 0

摘要

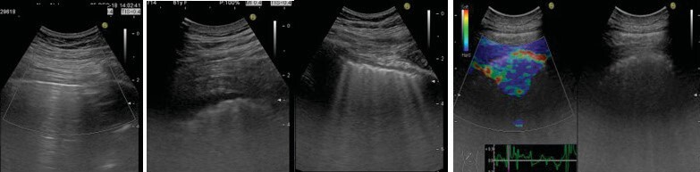
简介超声弹性成像(US-E)是一种对组织硬度敏感的新型成像方法。我们旨在研究肺部超声(US)和 US-E 是否能在诊断间质性肺疾病(ILDs)中发挥作用,因为肺部纤维化会影响肺部弹性:前瞻性队列研究。将 ILD 患者定义为 "ILD 组",其他肺部疾病患者定义为 "对照组"。所有受试者均接受肺部 B 超和弹性成像模式的检查和比较。此外,还评估了超声波检查和高分辨率计算机断层扫描(HRCT)与胸部 X 光检查结果之间的关系:结果:共纳入 109 名患者,其中 ILD 组 55 人,对照组 54 人,平均年龄(62 ± 14)岁。在 ILD 组中,Warrick 评分(根据 HRCT 计算得出,用于确定 ILD 的严重程度)与肺 US 中 B 线(离散的垂直混响伪影,表示肺间质综合征)的数量呈正相关(p= 0.001,r= 0.550)。在 US-E 中,ILD 组以蓝色(表示组织较硬)为主,对照组以绿色(表示组织中等硬度)为主(P= 0.001)。与 HRCT 相比,肺 US 诊断 ILD 的准确率为 69%,灵敏度为 80%,特异性为 60%。结合胸部 X 光检查,诊断准确率为 74%,灵敏度为 60%,特异性为 89%:尽管肺部 US 和 US-E 在诊断 ILD 方面并不优于金标准 HRCT,但它们仍可被视为有前途的新型无创工具,尤其是在与胸部 X 光检查相结合时。它们的作用仍需进一步研究来明确。
本文章由计算机程序翻译,如有差异,请以英文原文为准。

The role of lung ultrasound and ultrasound elastography in diagnosis of interstitial lung diseases.

The role of lung ultrasound and ultrasound elastography in diagnosis of interstitial lung diseases.

The role of lung ultrasound and ultrasound elastography in diagnosis of interstitial lung diseases.

The role of lung ultrasound and ultrasound elastography in diagnosis of interstitial lung diseases.

Introduction: Ultrasound elastography (US-E) is a novel, tissue stiffness-sensitive imaging method. We aimed to investigate whether lung ultrasound (US) and US-E can play a role in diagnosing interstitial lung diseases (ILDs) in which lung elasticity is affected due to fibrosis.

Materials and methods: A prospective cohort study. Patients with ILD were defined as ''ILD group'' and with other pulmonary diseases as ''control group". All subjects were examined and compared by lung US in B and elastography modes. Besides, the relationship between ultrasonography and high-resolution computerized tomography (HRCT) and chest X-ray findings was evaluated.

Result: A total of 109 patients, 55 in ILD and 54 in the control group, with a mean age of 62 ± 14 years, were included. A positive correlation was found between the Warrick score (calculated from HRCT to determine the severity of ILD) and the number of B-lines (discrete vertical reverberation artifacts, indicating interstitial lung syndrome) in lung US (p= 0.001, r= 0.550) in the ILD group. In US-E, blue color (meaning more rigid tissue) dominated in the ILD group, and green color (indicating medium tissue stiffness) dominated in the control group (p= 0.001). Lung US diagnosed the ILD with 69% accuracy, 80% sensitivity, and 60% specificity compared to HRCT. Combined with chest X-ray, diagnostic accuracy was 74%, sensitivity 60%, and specificity 89%.

Conclusions: Although lung US and US-E are not superior to gold standard HRCT in diagnosing ILDs, they can still be accepted as promising, novel, noninvasive tools, especially when combined with chest X-rays. Their role still needs to be clarified with further studies.

求助全文
通过发布文献求助,成功后即可免费获取论文全文。 去求助
来源期刊
自引率
0.00%
发文量
0
×
引用
GB/T 7714-2015
复制
MLA
复制
APA
复制
导出至
BibTeX EndNote RefMan NoteFirst NoteExpress
×
提示
您的信息不完整,为了账户安全,请先补充。
现在去补充
×
提示
您因"违规操作"
具体请查看互助需知
我知道了
×
提示
确定
请完成安全验证×
copy
已复制链接
快去分享给好友吧!
我知道了
右上角分享
点击右上角分享
0
联系我们:info@booksci.cn Book学术提供免费学术资源搜索服务,方便国内外学者检索中英文文献。致力于提供最便捷和优质的服务体验。 Copyright © 2023 布克学术 All rights reserved.
京ICP备2023020795号-1
ghs 京公网安备 11010802042870号
Book学术文献互助
Book学术文献互助群
群 号:604180095
Book学术官方微信