胸锁乳突肌肌内脂肪瘤:罕见病例再探

IF 1.9 Q3 PATHOLOGY
Clinical Pathology Pub Date : 2024-06-10 eCollection Date: 2024-01-01 DOI:10.1177/2632010X241260200
Jad Hosri, Yara Yammine, Nadine El Hadi, Jessica Aoun, Marc Mourad, Usamah Hadi
{"title":"胸锁乳突肌肌内脂肪瘤:罕见病例再探","authors":"Jad Hosri, Yara Yammine, Nadine El Hadi, Jessica Aoun, Marc Mourad, Usamah Hadi","doi":"10.1177/2632010X241260200","DOIUrl":null,"url":null,"abstract":"<p><p>Intramuscular lipomas, typically found in subcutaneous tissue, rarely affect deeper muscular planes, especially those of the head and neck region. The following are 3 cases of intramuscular lipomas involving the sternocleidomastoid muscle. The first 2 patients presented with painless, palpable masses confirmed by diagnostic imaging as well-circumscribed intramuscular lipomas. One was treated surgically, while the other was managed conservatively with monitoring and close follow-up. The third patient reported dysphagia associated with occasional dyspnea and mild pain. The mass was identified as infiltrative lipoma and was resected surgically. Complete tumor removal with no recurrence at 6 months was observed for the first and last cases. The second case was serially followed at 3 and 6 months with no interval changes. We report the largest case series on intramuscular lipomas of the sternocleidomastoid muscle to enhance our understanding of this rare entity.</p>","PeriodicalId":53204,"journal":{"name":"Clinical Pathology","volume":"17 ","pages":"2632010X241260200"},"PeriodicalIF":1.9000,"publicationDate":"2024-06-10","publicationTypes":"Journal Article","fieldsOfStudy":null,"isOpenAccess":false,"openAccessPdf":"https://www.ncbi.nlm.nih.gov/pmc/articles/PMC11165958/pdf/","citationCount":"0","resultStr":"{\"title\":\"Intramuscular Lipoma of the Sternocleidomastoid Muscle: A Rare Entity Revisited.\",\"authors\":\"Jad Hosri, Yara Yammine, Nadine El Hadi, Jessica Aoun, Marc Mourad, Usamah Hadi\",\"doi\":\"10.1177/2632010X241260200\",\"DOIUrl\":null,\"url\":null,\"abstract\":\"<p><p>Intramuscular lipomas, typically found in subcutaneous tissue, rarely affect deeper muscular planes, especially those of the head and neck region. The following are 3 cases of intramuscular lipomas involving the sternocleidomastoid muscle. The first 2 patients presented with painless, palpable masses confirmed by diagnostic imaging as well-circumscribed intramuscular lipomas. One was treated surgically, while the other was managed conservatively with monitoring and close follow-up. The third patient reported dysphagia associated with occasional dyspnea and mild pain. The mass was identified as infiltrative lipoma and was resected surgically. Complete tumor removal with no recurrence at 6 months was observed for the first and last cases. The second case was serially followed at 3 and 6 months with no interval changes. We report the largest case series on intramuscular lipomas of the sternocleidomastoid muscle to enhance our understanding of this rare entity.</p>\",\"PeriodicalId\":53204,\"journal\":{\"name\":\"Clinical Pathology\",\"volume\":\"17 \",\"pages\":\"2632010X241260200\"},\"PeriodicalIF\":1.9000,\"publicationDate\":\"2024-06-10\",\"publicationTypes\":\"Journal Article\",\"fieldsOfStudy\":null,\"isOpenAccess\":false,\"openAccessPdf\":\"https://www.ncbi.nlm.nih.gov/pmc/articles/PMC11165958/pdf/\",\"citationCount\":\"0\",\"resultStr\":null,\"platform\":\"Semanticscholar\",\"paperid\":null,\"PeriodicalName\":\"Clinical Pathology\",\"FirstCategoryId\":\"1085\",\"ListUrlMain\":\"https://doi.org/10.1177/2632010X241260200\",\"RegionNum\":0,\"RegionCategory\":null,\"ArticlePicture\":[],\"TitleCN\":null,\"AbstractTextCN\":null,\"PMCID\":null,\"EPubDate\":\"2024/1/1 0:00:00\",\"PubModel\":\"eCollection\",\"JCR\":\"Q3\",\"JCRName\":\"PATHOLOGY\",\"Score\":null,\"Total\":0}","platform":"Semanticscholar","paperid":null,"PeriodicalName":"Clinical Pathology","FirstCategoryId":"1085","ListUrlMain":"https://doi.org/10.1177/2632010X241260200","RegionNum":0,"RegionCategory":null,"ArticlePicture":[],"TitleCN":null,"AbstractTextCN":null,"PMCID":null,"EPubDate":"2024/1/1 0:00:00","PubModel":"eCollection","JCR":"Q3","JCRName":"PATHOLOGY","Score":null,"Total":0}
引用次数: 0

摘要

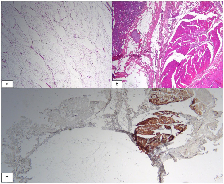
肌内脂肪瘤通常发生在皮下组织,很少影响深层肌肉平面,尤其是头颈部。以下是 3 例涉及胸锁乳突肌的肌肉内脂肪瘤病例。前两名患者表现为无痛、可触及的肿块,经影像诊断证实为环绕性肌内脂肪瘤。其中一名患者接受了手术治疗,另一名患者接受了保守治疗,并进行了监测和密切随访。第三位患者报告吞咽困难,并伴有偶尔的呼吸困难和轻微疼痛。肿块被确定为浸润性脂肪瘤,并进行了手术切除。第一例和最后一例患者的肿瘤完全切除,6 个月后无复发。对第二个病例进行了 3 个月和 6 个月的连续随访,结果没有发生间隔变化。我们报告了胸锁乳突肌肌内脂肪瘤的最大病例系列,以加深我们对这一罕见病例的了解。
本文章由计算机程序翻译,如有差异,请以英文原文为准。

Intramuscular Lipoma of the Sternocleidomastoid Muscle: A Rare Entity Revisited.

Intramuscular Lipoma of the Sternocleidomastoid Muscle: A Rare Entity Revisited.

Intramuscular Lipoma of the Sternocleidomastoid Muscle: A Rare Entity Revisited.

Intramuscular Lipoma of the Sternocleidomastoid Muscle: A Rare Entity Revisited.

Intramuscular lipomas, typically found in subcutaneous tissue, rarely affect deeper muscular planes, especially those of the head and neck region. The following are 3 cases of intramuscular lipomas involving the sternocleidomastoid muscle. The first 2 patients presented with painless, palpable masses confirmed by diagnostic imaging as well-circumscribed intramuscular lipomas. One was treated surgically, while the other was managed conservatively with monitoring and close follow-up. The third patient reported dysphagia associated with occasional dyspnea and mild pain. The mass was identified as infiltrative lipoma and was resected surgically. Complete tumor removal with no recurrence at 6 months was observed for the first and last cases. The second case was serially followed at 3 and 6 months with no interval changes. We report the largest case series on intramuscular lipomas of the sternocleidomastoid muscle to enhance our understanding of this rare entity.

求助全文
通过发布文献求助,成功后即可免费获取论文全文。 去求助
来源期刊
Clinical Pathology
Clinical Pathology PATHOLOGY-
CiteScore
2.20
自引率
7.70%
发文量
66
×
引用
GB/T 7714-2015
复制
MLA
复制
APA
复制
导出至
BibTeX EndNote RefMan NoteFirst NoteExpress
×
提示
您的信息不完整,为了账户安全,请先补充。
现在去补充
×
提示
您因"违规操作"
具体请查看互助需知
我知道了
×
提示
确定
请完成安全验证×
copy
已复制链接
快去分享给好友吧!
我知道了
右上角分享
点击右上角分享
0
联系我们:info@booksci.cn Book学术提供免费学术资源搜索服务,方便国内外学者检索中英文文献。致力于提供最便捷和优质的服务体验。 Copyright © 2023 布克学术 All rights reserved.
京ICP备2023020795号-1
ghs 京公网安备 11010802042870号
Book学术文献互助
Book学术文献互助群
群 号:604180095
Book学术官方微信