CT引导下背根神经节臭氧注射联合脉冲射频治疗中老年人急性带状疱疹神经痛:一项随机、双盲、对照试验。

IF 3.1 3区 医学 Q2 ANESTHESIOLOGY
Ruxiang Wang, Zhangtian Xia, Ying Ma, Bing Huang, Ming Yao, Ling Ma
{"title":"CT引导下背根神经节臭氧注射联合脉冲射频治疗中老年人急性带状疱疹神经痛:一项随机、双盲、对照试验。","authors":"Ruxiang Wang, Zhangtian Xia, Ying Ma, Bing Huang, Ming Yao, Ling Ma","doi":"10.1097/AJP.0000000000001226","DOIUrl":null,"url":null,"abstract":"<p><strong>Objectives: </strong>To investigate the efficacy and safety of pulsed radiofrequency of the dorsal root ganglion combined with ozone injection for treating acute herpes zoster (HZ) neuralgia in middle-aged and elderly adults.</p><p><strong>Methods: </strong>A total of 164 middle-aged and elderly patients with acute HZ were randomly assigned to 2 groups: the pulsed radiofrequency combined with ozone injection group (group A) and the pulsed radiofrequency group (group B). The therapeutic effects were evaluated using Numeric Rating Scale (NRS) scores and the average doses of gabapentin (mg/d) preoperatively and 1 day, 2 weeks, 4 weeks, 12 weeks, and 24 weeks postoperatively. The incidence of clinically significant postherpetic neuralgia (PHN) and complications in the 2 groups were recorded.</p><p><strong>Results: </strong>The data showed that the NRS scores and the doses of gabapentin after treatment were significantly lower when compared with the baseline values in both groups. Compared with group B, the NRS scores and the doses of postoperative gabapentin were significantly lower in group A. The incidence of PHN was significantly lower at weeks 4, 12, and 24 in group A than in group B. No adverse reactions occurred in either of the 2 groups post-treatment.</p><p><strong>Conclusions: </strong>The results indicated that ozone injection in the dorsal root ganglion combined with pulsed radiofrequency therapy was more effective in treating acute HZ neuralgia in middle-aged and elderly adults. It provides patients with longer-lasting pain relief, decreased incidence of PHN and the doses of medication, and improved quality of life than with Pulsed Radiofrequency treatment.</p>","PeriodicalId":50678,"journal":{"name":"Clinical Journal of Pain","volume":" ","pages":"469-477"},"PeriodicalIF":3.1000,"publicationDate":"2024-08-01","publicationTypes":"Journal Article","fieldsOfStudy":null,"isOpenAccess":false,"openAccessPdf":"https://www.ncbi.nlm.nih.gov/pmc/articles/PMC11236272/pdf/","citationCount":"0","resultStr":"{\"title\":\"Computed Tomography-Guided Dorsal Root Ganglion Ozone Injection Combined With Pulsed Radiofrequency for Acute Herpes Zoster Neuralgia Treatment of Middle-aged and Elderly People: A Randomized, Double-blinded, Controlled Trial.\",\"authors\":\"Ruxiang Wang, Zhangtian Xia, Ying Ma, Bing Huang, Ming Yao, Ling Ma\",\"doi\":\"10.1097/AJP.0000000000001226\",\"DOIUrl\":null,\"url\":null,\"abstract\":\"<p><strong>Objectives: </strong>To investigate the efficacy and safety of pulsed radiofrequency of the dorsal root ganglion combined with ozone injection for treating acute herpes zoster (HZ) neuralgia in middle-aged and elderly adults.</p><p><strong>Methods: </strong>A total of 164 middle-aged and elderly patients with acute HZ were randomly assigned to 2 groups: the pulsed radiofrequency combined with ozone injection group (group A) and the pulsed radiofrequency group (group B). The therapeutic effects were evaluated using Numeric Rating Scale (NRS) scores and the average doses of gabapentin (mg/d) preoperatively and 1 day, 2 weeks, 4 weeks, 12 weeks, and 24 weeks postoperatively. The incidence of clinically significant postherpetic neuralgia (PHN) and complications in the 2 groups were recorded.</p><p><strong>Results: </strong>The data showed that the NRS scores and the doses of gabapentin after treatment were significantly lower when compared with the baseline values in both groups. Compared with group B, the NRS scores and the doses of postoperative gabapentin were significantly lower in group A. The incidence of PHN was significantly lower at weeks 4, 12, and 24 in group A than in group B. No adverse reactions occurred in either of the 2 groups post-treatment.</p><p><strong>Conclusions: </strong>The results indicated that ozone injection in the dorsal root ganglion combined with pulsed radiofrequency therapy was more effective in treating acute HZ neuralgia in middle-aged and elderly adults. It provides patients with longer-lasting pain relief, decreased incidence of PHN and the doses of medication, and improved quality of life than with Pulsed Radiofrequency treatment.</p>\",\"PeriodicalId\":50678,\"journal\":{\"name\":\"Clinical Journal of Pain\",\"volume\":\" \",\"pages\":\"469-477\"},\"PeriodicalIF\":3.1000,\"publicationDate\":\"2024-08-01\",\"publicationTypes\":\"Journal Article\",\"fieldsOfStudy\":null,\"isOpenAccess\":false,\"openAccessPdf\":\"https://www.ncbi.nlm.nih.gov/pmc/articles/PMC11236272/pdf/\",\"citationCount\":\"0\",\"resultStr\":null,\"platform\":\"Semanticscholar\",\"paperid\":null,\"PeriodicalName\":\"Clinical Journal of Pain\",\"FirstCategoryId\":\"3\",\"ListUrlMain\":\"https://doi.org/10.1097/AJP.0000000000001226\",\"RegionNum\":3,\"RegionCategory\":\"医学\",\"ArticlePicture\":[],\"TitleCN\":null,\"AbstractTextCN\":null,\"PMCID\":null,\"EPubDate\":\"\",\"PubModel\":\"\",\"JCR\":\"Q2\",\"JCRName\":\"ANESTHESIOLOGY\",\"Score\":null,\"Total\":0}","platform":"Semanticscholar","paperid":null,"PeriodicalName":"Clinical Journal of Pain","FirstCategoryId":"3","ListUrlMain":"https://doi.org/10.1097/AJP.0000000000001226","RegionNum":3,"RegionCategory":"医学","ArticlePicture":[],"TitleCN":null,"AbstractTextCN":null,"PMCID":null,"EPubDate":"","PubModel":"","JCR":"Q2","JCRName":"ANESTHESIOLOGY","Score":null,"Total":0}
引用次数: 0

摘要

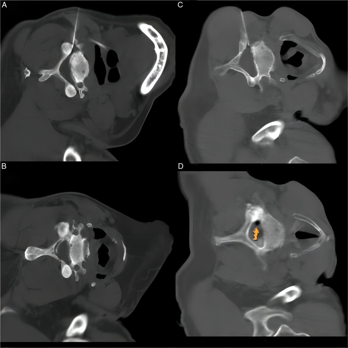
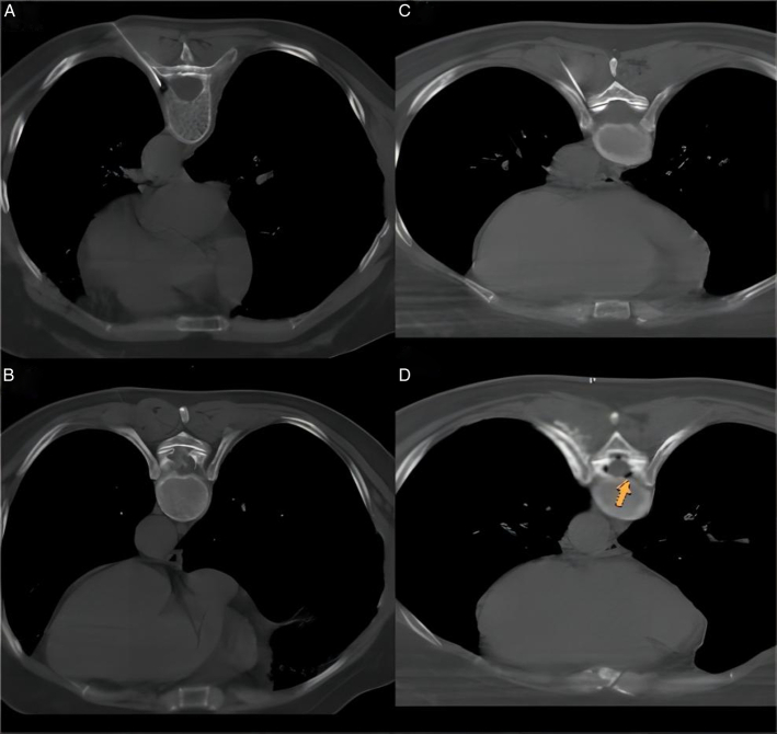
目的研究脉冲射频背根神经节联合臭氧注射治疗中老年人急性带状疱疹神经痛的有效性和安全性:将164名中老年急性带状疱疹患者随机分为两组:脉冲射频联合臭氧注射组(A组)和脉冲射频组(B组)。治疗效果通过术前、术后1天、2周、4周、12周和24周的数字评定量表(NRS)评分和加巴喷丁平均剂量(毫克/天)进行评估。记录了两组患者临床上明显的带状疱疹后神经痛(PHN)和并发症的发生率:数据显示,两组患者治疗后的 NRS 评分和加巴喷丁剂量均明显低于基线值。与 B 组相比,A 组的 NRS 评分和术后加巴喷丁的剂量明显降低;A 组在第 4、12 和 24 周的 PHN 发生率明显低于 B 组:结论:背根神经节臭氧注射联合脉冲射频疗法对治疗中老年人急性带状疱疹神经痛更为有效。结论:与脉冲射频治疗相比,臭氧注射背根神经节联合脉冲射频治疗对中老年人急性带状疱疹神经痛的治疗效果更佳,可为患者提供更持久的疼痛缓解,降低 PHN 的发生率和药物剂量,并改善生活质量。
本文章由计算机程序翻译,如有差异,请以英文原文为准。

Computed Tomography-Guided Dorsal Root Ganglion Ozone Injection Combined With Pulsed Radiofrequency for Acute Herpes Zoster Neuralgia Treatment of Middle-aged and Elderly People: A Randomized, Double-blinded, Controlled Trial.

Computed Tomography-Guided Dorsal Root Ganglion Ozone Injection Combined With Pulsed Radiofrequency for Acute Herpes Zoster Neuralgia Treatment of Middle-aged and Elderly People: A Randomized, Double-blinded, Controlled Trial.

Computed Tomography-Guided Dorsal Root Ganglion Ozone Injection Combined With Pulsed Radiofrequency for Acute Herpes Zoster Neuralgia Treatment of Middle-aged and Elderly People: A Randomized, Double-blinded, Controlled Trial.

Computed Tomography-Guided Dorsal Root Ganglion Ozone Injection Combined With Pulsed Radiofrequency for Acute Herpes Zoster Neuralgia Treatment of Middle-aged and Elderly People: A Randomized, Double-blinded, Controlled Trial.

Objectives: To investigate the efficacy and safety of pulsed radiofrequency of the dorsal root ganglion combined with ozone injection for treating acute herpes zoster (HZ) neuralgia in middle-aged and elderly adults.

Methods: A total of 164 middle-aged and elderly patients with acute HZ were randomly assigned to 2 groups: the pulsed radiofrequency combined with ozone injection group (group A) and the pulsed radiofrequency group (group B). The therapeutic effects were evaluated using Numeric Rating Scale (NRS) scores and the average doses of gabapentin (mg/d) preoperatively and 1 day, 2 weeks, 4 weeks, 12 weeks, and 24 weeks postoperatively. The incidence of clinically significant postherpetic neuralgia (PHN) and complications in the 2 groups were recorded.

Results: The data showed that the NRS scores and the doses of gabapentin after treatment were significantly lower when compared with the baseline values in both groups. Compared with group B, the NRS scores and the doses of postoperative gabapentin were significantly lower in group A. The incidence of PHN was significantly lower at weeks 4, 12, and 24 in group A than in group B. No adverse reactions occurred in either of the 2 groups post-treatment.

Conclusions: The results indicated that ozone injection in the dorsal root ganglion combined with pulsed radiofrequency therapy was more effective in treating acute HZ neuralgia in middle-aged and elderly adults. It provides patients with longer-lasting pain relief, decreased incidence of PHN and the doses of medication, and improved quality of life than with Pulsed Radiofrequency treatment.

求助全文
通过发布文献求助,成功后即可免费获取论文全文。 去求助
来源期刊
Clinical Journal of Pain
Clinical Journal of Pain 医学-临床神经学
CiteScore
5.40
自引率
3.40%
发文量
118
审稿时长
4-8 weeks
期刊介绍: ​​​The Clinical Journal of Pain explores all aspects of pain and its effective treatment, bringing readers the insights of leading anesthesiologists, surgeons, internists, neurologists, orthopedists, psychiatrists and psychologists, clinical pharmacologists, and rehabilitation medicine specialists. This peer-reviewed journal presents timely and thought-provoking articles on clinical dilemmas in pain management; valuable diagnostic procedures; promising new pharmacological, surgical, and other therapeutic modalities; psychosocial dimensions of pain; and ethical issues of concern to all medical professionals. The journal also publishes Special Topic issues on subjects of particular relevance to the practice of pain medicine.
×
引用
GB/T 7714-2015
复制
MLA
复制
APA
复制
导出至
BibTeX EndNote RefMan NoteFirst NoteExpress
×
提示
您的信息不完整,为了账户安全,请先补充。
现在去补充
×
提示
您因"违规操作"
具体请查看互助需知
我知道了
×
提示
确定
请完成安全验证×
copy
已复制链接
快去分享给好友吧!
我知道了
右上角分享
点击右上角分享
0
联系我们:info@booksci.cn Book学术提供免费学术资源搜索服务,方便国内外学者检索中英文文献。致力于提供最便捷和优质的服务体验。 Copyright © 2023 布克学术 All rights reserved.
京ICP备2023020795号-1
ghs 京公网安备 11010802042870号
Book学术文献互助
Book学术文献互助群
群 号:604180095
Book学术官方微信