股骨前脂肪垫撞击综合征:超声波和磁共振成像之间的相关性

IF 1.3 4区 医学 Q4 RADIOLOGY, NUCLEAR MEDICINE & MEDICAL IMAGING
Journal of the Belgian Society of Radiology Pub Date : 2024-06-07 eCollection Date: 2024-01-01 DOI:10.5334/jbsr.3606
Sophie Dheur, Felicie Lorthioir
{"title":"股骨前脂肪垫撞击综合征:超声波和磁共振成像之间的相关性","authors":"Sophie Dheur, Felicie Lorthioir","doi":"10.5334/jbsr.3606","DOIUrl":null,"url":null,"abstract":"<p><p><i>Teaching point:</i> Prefemoral fat pad impingement syndrome is one of the fat pad impingements of the knee and can be assessed with ultrasonography.</p>","PeriodicalId":55987,"journal":{"name":"Journal of the Belgian Society of Radiology","volume":"108 1","pages":"61"},"PeriodicalIF":1.3000,"publicationDate":"2024-06-07","publicationTypes":"Journal Article","fieldsOfStudy":null,"isOpenAccess":false,"openAccessPdf":"https://www.ncbi.nlm.nih.gov/pmc/articles/PMC11160394/pdf/","citationCount":"0","resultStr":"{\"title\":\"Prefemoral Fat Pad Impingement Syndrome: Correlation between Ultrasonography and Magnetic Resonance Imaging.\",\"authors\":\"Sophie Dheur, Felicie Lorthioir\",\"doi\":\"10.5334/jbsr.3606\",\"DOIUrl\":null,\"url\":null,\"abstract\":\"<p><p><i>Teaching point:</i> Prefemoral fat pad impingement syndrome is one of the fat pad impingements of the knee and can be assessed with ultrasonography.</p>\",\"PeriodicalId\":55987,\"journal\":{\"name\":\"Journal of the Belgian Society of Radiology\",\"volume\":\"108 1\",\"pages\":\"61\"},\"PeriodicalIF\":1.3000,\"publicationDate\":\"2024-06-07\",\"publicationTypes\":\"Journal Article\",\"fieldsOfStudy\":null,\"isOpenAccess\":false,\"openAccessPdf\":\"https://www.ncbi.nlm.nih.gov/pmc/articles/PMC11160394/pdf/\",\"citationCount\":\"0\",\"resultStr\":null,\"platform\":\"Semanticscholar\",\"paperid\":null,\"PeriodicalName\":\"Journal of the Belgian Society of Radiology\",\"FirstCategoryId\":\"3\",\"ListUrlMain\":\"https://doi.org/10.5334/jbsr.3606\",\"RegionNum\":4,\"RegionCategory\":\"医学\",\"ArticlePicture\":[],\"TitleCN\":null,\"AbstractTextCN\":null,\"PMCID\":null,\"EPubDate\":\"2024/1/1 0:00:00\",\"PubModel\":\"eCollection\",\"JCR\":\"Q4\",\"JCRName\":\"RADIOLOGY, NUCLEAR MEDICINE & MEDICAL IMAGING\",\"Score\":null,\"Total\":0}","platform":"Semanticscholar","paperid":null,"PeriodicalName":"Journal of the Belgian Society of Radiology","FirstCategoryId":"3","ListUrlMain":"https://doi.org/10.5334/jbsr.3606","RegionNum":4,"RegionCategory":"医学","ArticlePicture":[],"TitleCN":null,"AbstractTextCN":null,"PMCID":null,"EPubDate":"2024/1/1 0:00:00","PubModel":"eCollection","JCR":"Q4","JCRName":"RADIOLOGY, NUCLEAR MEDICINE & MEDICAL IMAGING","Score":null,"Total":0}
引用次数: 0

摘要

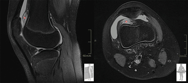
教学要点:股骨前脂肪垫撞击综合征是膝关节脂肪垫撞击的一种,可通过超声波检查进行评估。
本文章由计算机程序翻译,如有差异,请以英文原文为准。

Prefemoral Fat Pad Impingement Syndrome: Correlation between Ultrasonography and Magnetic Resonance Imaging.

Prefemoral Fat Pad Impingement Syndrome: Correlation between Ultrasonography and Magnetic Resonance Imaging.

Prefemoral Fat Pad Impingement Syndrome: Correlation between Ultrasonography and Magnetic Resonance Imaging.

Prefemoral Fat Pad Impingement Syndrome: Correlation between Ultrasonography and Magnetic Resonance Imaging.

Teaching point: Prefemoral fat pad impingement syndrome is one of the fat pad impingements of the knee and can be assessed with ultrasonography.

求助全文
通过发布文献求助,成功后即可免费获取论文全文。 去求助
来源期刊
Journal of the Belgian Society of Radiology
Journal of the Belgian Society of Radiology Medicine-Radiology, Nuclear Medicine and Imaging
CiteScore
0.70
自引率
5.00%
发文量
96
期刊介绍: The purpose of the Journal of the Belgian Society of Radiology is the publication of articles dealing with diagnostic and interventional radiology, related imaging techniques, allied sciences, and continuing education.
×
引用
GB/T 7714-2015
复制
MLA
复制
APA
复制
导出至
BibTeX EndNote RefMan NoteFirst NoteExpress
×
提示
您的信息不完整,为了账户安全,请先补充。
现在去补充
×
提示
您因"违规操作"
具体请查看互助需知
我知道了
×
提示
确定
请完成安全验证×
copy
已复制链接
快去分享给好友吧!
我知道了
右上角分享
点击右上角分享
0
联系我们:info@booksci.cn Book学术提供免费学术资源搜索服务,方便国内外学者检索中英文文献。致力于提供最便捷和优质的服务体验。 Copyright © 2023 布克学术 All rights reserved.
京ICP备2023020795号-1
ghs 京公网安备 11010802042870号
Book学术文献互助
Book学术文献互助群
群 号:604180095
Book学术官方微信