对一名先天性上颌侧切牙缺失的青少年患者进行跨学科保守治疗。

IF 2.4 4区 医学 Q2 DENTISTRY, ORAL SURGERY & MEDICINE
Australian dental journal Pub Date : 2024-12-01 Epub Date: 2024-06-10 DOI:10.1111/adj.13027
R Hmud, Dc-V Ong
{"title":"对一名先天性上颌侧切牙缺失的青少年患者进行跨学科保守治疗。","authors":"R Hmud, Dc-V Ong","doi":"10.1111/adj.13027","DOIUrl":null,"url":null,"abstract":"<p><p>A congenitally missing lateral incisor tooth is commonly associated with both short and long-term clinical dilemmas, particularly for a growing patient. A unilaterally missing maxillary lateral incisor tooth creates a significant dental asymmetry in the critical aesthetic zone of the smile and potentially increases the difficulty of any subsequent orthodontic and restorative treatment. Carefully planned interdisciplinary management is required to address the challenges of anterior dental asymmetry, unilateral orthodontic space closure and to alleviate the concerns that accompany restorative implant placement in the anterior maxilla. The use of skeletal temporary anchorage devices has increased the predictability of orthodontic space closure, particularly for missing maxillary lateral incisor cases which were previously considered to be unsuitable.</p>","PeriodicalId":8593,"journal":{"name":"Australian dental journal","volume":" ","pages":"267-277"},"PeriodicalIF":2.4000,"publicationDate":"2024-12-01","publicationTypes":"Journal Article","fieldsOfStudy":null,"isOpenAccess":false,"openAccessPdf":"https://www.ncbi.nlm.nih.gov/pmc/articles/PMC11845843/pdf/","citationCount":"0","resultStr":"{\"title\":\"Conservative interdisciplinary management for a congenitally missing maxillary lateral incisor in an adolescent patient.\",\"authors\":\"R Hmud, Dc-V Ong\",\"doi\":\"10.1111/adj.13027\",\"DOIUrl\":null,\"url\":null,\"abstract\":\"<p><p>A congenitally missing lateral incisor tooth is commonly associated with both short and long-term clinical dilemmas, particularly for a growing patient. A unilaterally missing maxillary lateral incisor tooth creates a significant dental asymmetry in the critical aesthetic zone of the smile and potentially increases the difficulty of any subsequent orthodontic and restorative treatment. Carefully planned interdisciplinary management is required to address the challenges of anterior dental asymmetry, unilateral orthodontic space closure and to alleviate the concerns that accompany restorative implant placement in the anterior maxilla. The use of skeletal temporary anchorage devices has increased the predictability of orthodontic space closure, particularly for missing maxillary lateral incisor cases which were previously considered to be unsuitable.</p>\",\"PeriodicalId\":8593,\"journal\":{\"name\":\"Australian dental journal\",\"volume\":\" \",\"pages\":\"267-277\"},\"PeriodicalIF\":2.4000,\"publicationDate\":\"2024-12-01\",\"publicationTypes\":\"Journal Article\",\"fieldsOfStudy\":null,\"isOpenAccess\":false,\"openAccessPdf\":\"https://www.ncbi.nlm.nih.gov/pmc/articles/PMC11845843/pdf/\",\"citationCount\":\"0\",\"resultStr\":null,\"platform\":\"Semanticscholar\",\"paperid\":null,\"PeriodicalName\":\"Australian dental journal\",\"FirstCategoryId\":\"3\",\"ListUrlMain\":\"https://doi.org/10.1111/adj.13027\",\"RegionNum\":4,\"RegionCategory\":\"医学\",\"ArticlePicture\":[],\"TitleCN\":null,\"AbstractTextCN\":null,\"PMCID\":null,\"EPubDate\":\"2024/6/10 0:00:00\",\"PubModel\":\"Epub\",\"JCR\":\"Q2\",\"JCRName\":\"DENTISTRY, ORAL SURGERY & MEDICINE\",\"Score\":null,\"Total\":0}","platform":"Semanticscholar","paperid":null,"PeriodicalName":"Australian dental journal","FirstCategoryId":"3","ListUrlMain":"https://doi.org/10.1111/adj.13027","RegionNum":4,"RegionCategory":"医学","ArticlePicture":[],"TitleCN":null,"AbstractTextCN":null,"PMCID":null,"EPubDate":"2024/6/10 0:00:00","PubModel":"Epub","JCR":"Q2","JCRName":"DENTISTRY, ORAL SURGERY & MEDICINE","Score":null,"Total":0}
引用次数: 0

摘要

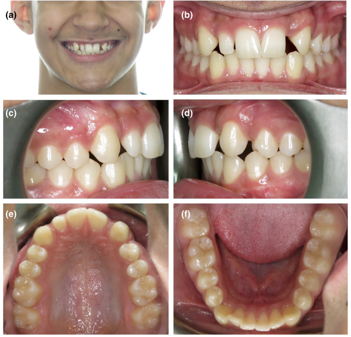
先天性侧切牙缺失通常会带来短期和长期的临床难题,尤其是对于成长中的患者而言。单侧上颌侧切牙缺失会在微笑的关键美学区域造成严重的牙齿不对称,并可能增加后续正畸和修复治疗的难度。要解决前牙不对称、单侧正畸空间闭合等难题,并减轻上颌前牙种植修复时的顾虑,需要精心策划的跨学科管理。骨骼临时固定装置的使用提高了正畸间隙关闭的可预测性,尤其是以前被认为不适合的上颌侧切牙缺失病例。
本文章由计算机程序翻译,如有差异,请以英文原文为准。

Conservative interdisciplinary management for a congenitally missing maxillary lateral incisor in an adolescent patient.

Conservative interdisciplinary management for a congenitally missing maxillary lateral incisor in an adolescent patient.

Conservative interdisciplinary management for a congenitally missing maxillary lateral incisor in an adolescent patient.

Conservative interdisciplinary management for a congenitally missing maxillary lateral incisor in an adolescent patient.

A congenitally missing lateral incisor tooth is commonly associated with both short and long-term clinical dilemmas, particularly for a growing patient. A unilaterally missing maxillary lateral incisor tooth creates a significant dental asymmetry in the critical aesthetic zone of the smile and potentially increases the difficulty of any subsequent orthodontic and restorative treatment. Carefully planned interdisciplinary management is required to address the challenges of anterior dental asymmetry, unilateral orthodontic space closure and to alleviate the concerns that accompany restorative implant placement in the anterior maxilla. The use of skeletal temporary anchorage devices has increased the predictability of orthodontic space closure, particularly for missing maxillary lateral incisor cases which were previously considered to be unsuitable.

求助全文
通过发布文献求助,成功后即可免费获取论文全文。 去求助
来源期刊
Australian dental journal
Australian dental journal 医学-牙科与口腔外科
CiteScore
4.20
自引率
4.80%
发文量
50
审稿时长
6-12 weeks
期刊介绍: The Australian Dental Journal provides a forum for the exchange of information about new and significant research in dentistry, promoting the discipline of dentistry in Australia and throughout the world. It comprises peer-reviewed research articles as its core material, supplemented by reviews, theoretical articles, special features and commentaries.
×
引用
GB/T 7714-2015
复制
MLA
复制
APA
复制
导出至
BibTeX EndNote RefMan NoteFirst NoteExpress
×
提示
您的信息不完整,为了账户安全,请先补充。
现在去补充
×
提示
您因"违规操作"
具体请查看互助需知
我知道了
×
提示
确定
请完成安全验证×
copy
已复制链接
快去分享给好友吧!
我知道了
右上角分享
点击右上角分享
0
联系我们:info@booksci.cn Book学术提供免费学术资源搜索服务,方便国内外学者检索中英文文献。致力于提供最便捷和优质的服务体验。 Copyright © 2023 布克学术 All rights reserved.
京ICP备2023020795号-1
ghs 京公网安备 11010802042870号
Book学术文献互助
Book学术文献互助群
群 号:604180095
Book学术官方微信