被狗咬伤后眼眶脑脊液漏:病例报告。

Q3 Medicine
Turkish Journal of Ophthalmology Pub Date : 2024-06-28 Epub Date: 2024-05-31 DOI:10.4274/tjo.galenos.2024.45087
Bilal Bahadır Akbulut, Elif Bolat
{"title":"被狗咬伤后眼眶脑脊液漏:病例报告。","authors":"Bilal Bahadır Akbulut, Elif Bolat","doi":"10.4274/tjo.galenos.2024.45087","DOIUrl":null,"url":null,"abstract":"<p><p>A 4-year-old boy was referred to our tertiary hospital after a penetrating adnexal injury by a large-breed dog to the left orbital area. There was an increase in lacrimation, which was thought to be due to an inflammatory reaction. However, it was discovered that the lacrimation increased in the reverse-Trendelenburg position and with the Valsalva maneuver. Halo sign and beta transferrin test were positive, which led to the diagnosis of cerebrospinal fluid (CSF) fistula, and the patient was operated using a supraorbital craniotomy. A dural tear was visualized and sutured appropriately, then fibrin glue and an autologous galeal graft were applied to the tear. The CSF oculorrhea stopped postoperatively, and the patient was discharged after 10 days of follow-up. The patient had no recurrent CSF leakage at 4-year follow-up. Although CSF oculorrhea is rare and may be difficult to discern from lacrimation, the presence of pneumocephalus and halo sign should suggest fistula repair.</p>","PeriodicalId":23373,"journal":{"name":"Turkish Journal of Ophthalmology","volume":" ","pages":"180-182"},"PeriodicalIF":0.0000,"publicationDate":"2024-06-28","publicationTypes":"Journal Article","fieldsOfStudy":null,"isOpenAccess":false,"openAccessPdf":"https://www.ncbi.nlm.nih.gov/pmc/articles/PMC11589310/pdf/","citationCount":"0","resultStr":"{\"title\":\"Orbital Cerebrospinal Fluid Leak After Dog Bite: A Case Report\",\"authors\":\"Bilal Bahadır Akbulut, Elif Bolat\",\"doi\":\"10.4274/tjo.galenos.2024.45087\",\"DOIUrl\":null,\"url\":null,\"abstract\":\"<p><p>A 4-year-old boy was referred to our tertiary hospital after a penetrating adnexal injury by a large-breed dog to the left orbital area. There was an increase in lacrimation, which was thought to be due to an inflammatory reaction. However, it was discovered that the lacrimation increased in the reverse-Trendelenburg position and with the Valsalva maneuver. Halo sign and beta transferrin test were positive, which led to the diagnosis of cerebrospinal fluid (CSF) fistula, and the patient was operated using a supraorbital craniotomy. A dural tear was visualized and sutured appropriately, then fibrin glue and an autologous galeal graft were applied to the tear. The CSF oculorrhea stopped postoperatively, and the patient was discharged after 10 days of follow-up. The patient had no recurrent CSF leakage at 4-year follow-up. Although CSF oculorrhea is rare and may be difficult to discern from lacrimation, the presence of pneumocephalus and halo sign should suggest fistula repair.</p>\",\"PeriodicalId\":23373,\"journal\":{\"name\":\"Turkish Journal of Ophthalmology\",\"volume\":\" \",\"pages\":\"180-182\"},\"PeriodicalIF\":0.0000,\"publicationDate\":\"2024-06-28\",\"publicationTypes\":\"Journal Article\",\"fieldsOfStudy\":null,\"isOpenAccess\":false,\"openAccessPdf\":\"https://www.ncbi.nlm.nih.gov/pmc/articles/PMC11589310/pdf/\",\"citationCount\":\"0\",\"resultStr\":null,\"platform\":\"Semanticscholar\",\"paperid\":null,\"PeriodicalName\":\"Turkish Journal of Ophthalmology\",\"FirstCategoryId\":\"1085\",\"ListUrlMain\":\"https://doi.org/10.4274/tjo.galenos.2024.45087\",\"RegionNum\":0,\"RegionCategory\":null,\"ArticlePicture\":[],\"TitleCN\":null,\"AbstractTextCN\":null,\"PMCID\":null,\"EPubDate\":\"2024/5/31 0:00:00\",\"PubModel\":\"Epub\",\"JCR\":\"Q3\",\"JCRName\":\"Medicine\",\"Score\":null,\"Total\":0}","platform":"Semanticscholar","paperid":null,"PeriodicalName":"Turkish Journal of Ophthalmology","FirstCategoryId":"1085","ListUrlMain":"https://doi.org/10.4274/tjo.galenos.2024.45087","RegionNum":0,"RegionCategory":null,"ArticlePicture":[],"TitleCN":null,"AbstractTextCN":null,"PMCID":null,"EPubDate":"2024/5/31 0:00:00","PubModel":"Epub","JCR":"Q3","JCRName":"Medicine","Score":null,"Total":0}
引用次数: 0

摘要

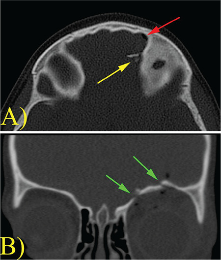
一名 4 岁男孩被一只大型犬刺伤左眼眶,随后被转诊到我们的三级医院。当时流泪增多,原以为是炎症反应所致。然而,研究人员发现,泪液在反滕卧位和做瓦尔萨尔瓦动作时会增多。光环征和β转铁蛋白试验均呈阳性,因此诊断为脑脊液(CSF)瘘,患者接受了眶上开颅手术。手术中发现了硬脑膜撕裂并进行了适当缝合,然后在撕裂处应用了纤维蛋白胶和自体硬脑膜移植。术后脑脊液渗出停止,随访 10 天后患者出院。在 4 年的随访中,患者没有再出现 CSF 渗漏。虽然 CSF 渗漏很少见,而且可能很难从流泪中辨别出来,但如果出现气胸和晕轮征,则应考虑瘘管修补术。
本文章由计算机程序翻译,如有差异,请以英文原文为准。

Orbital Cerebrospinal Fluid Leak After Dog Bite: A Case Report

Orbital Cerebrospinal Fluid Leak After Dog Bite: A Case Report

Orbital Cerebrospinal Fluid Leak After Dog Bite: A Case Report

Orbital Cerebrospinal Fluid Leak After Dog Bite: A Case Report

A 4-year-old boy was referred to our tertiary hospital after a penetrating adnexal injury by a large-breed dog to the left orbital area. There was an increase in lacrimation, which was thought to be due to an inflammatory reaction. However, it was discovered that the lacrimation increased in the reverse-Trendelenburg position and with the Valsalva maneuver. Halo sign and beta transferrin test were positive, which led to the diagnosis of cerebrospinal fluid (CSF) fistula, and the patient was operated using a supraorbital craniotomy. A dural tear was visualized and sutured appropriately, then fibrin glue and an autologous galeal graft were applied to the tear. The CSF oculorrhea stopped postoperatively, and the patient was discharged after 10 days of follow-up. The patient had no recurrent CSF leakage at 4-year follow-up. Although CSF oculorrhea is rare and may be difficult to discern from lacrimation, the presence of pneumocephalus and halo sign should suggest fistula repair.

求助全文
通过发布文献求助,成功后即可免费获取论文全文。 去求助
来源期刊
Turkish Journal of Ophthalmology
Turkish Journal of Ophthalmology Medicine-Ophthalmology
CiteScore
2.20
自引率
0.00%
发文量
0
期刊介绍: The Turkish Journal of Ophthalmology (TJO) is the only scientific periodical publication of the Turkish Ophthalmological Association and has been published since January 1929. In its early years, the journal was published in Turkish and French. Although there were temporary interruptions in the publication of the journal due to various challenges, the Turkish Journal of Ophthalmology has been published continually from 1971 to the present. The target audience includes specialists and physicians in training in ophthalmology in all relevant disciplines.
×
引用
GB/T 7714-2015
复制
MLA
复制
APA
复制
导出至
BibTeX EndNote RefMan NoteFirst NoteExpress
×
提示
您的信息不完整,为了账户安全,请先补充。
现在去补充
×
提示
您因"违规操作"
具体请查看互助需知
我知道了
×
提示
确定
请完成安全验证×
copy
已复制链接
快去分享给好友吧!
我知道了
右上角分享
点击右上角分享
0
联系我们:info@booksci.cn Book学术提供免费学术资源搜索服务,方便国内外学者检索中英文文献。致力于提供最便捷和优质的服务体验。 Copyright © 2023 布克学术 All rights reserved.
京ICP备2023020795号-1
ghs 京公网安备 11010802042870号
Book学术文献互助
Book学术文献互助群
群 号:604180095
Book学术官方微信