开放式楔形和封闭式楔形胫骨高位截骨术中胫骨结节相对于胫骨近端碎片的前方移位差异。

IF 2.3 Q2 ORTHOPEDICS
SICOT-J Pub Date : 2024-01-01 Epub Date: 2024-05-30 DOI:10.1051/sicotj/2024020
Kentaro Kikuchi, Ken Kumagai, Shunsuke Yamada, Shuntaro Nejima, Hyonmin Choe, Hiroyuki Ike, Naomi Kobayashi, Yutaka Inaba
{"title":"开放式楔形和封闭式楔形胫骨高位截骨术中胫骨结节相对于胫骨近端碎片的前方移位差异。","authors":"Kentaro Kikuchi, Ken Kumagai, Shunsuke Yamada, Shuntaro Nejima, Hyonmin Choe, Hiroyuki Ike, Naomi Kobayashi, Yutaka Inaba","doi":"10.1051/sicotj/2024020","DOIUrl":null,"url":null,"abstract":"<p><strong>Introduction: </strong>This study aimed to investigate the anterior-posterior (AP) displacement of the tibial tuberosity (TT) and to assess the difference between closed wedge and opening wedge high tibial osteotomies (OWHTO and CWHTO).</p><p><strong>Methods: </strong>One hundred consecutive knees with osteoarthritis that underwent OWHTO (50 knees) or CWHTO (50 knees) were investigated retrospectively. The femorotibial angle (FTA) was measured on AP radiographs of the knee. AP displacement of the TT, posterior tibial slope (PTS), the modified Blackburne-Peel index (mBPI), and the modified Caton-Deschamps index (mCDI) were measured on lateral radiographs of the knee.</p><p><strong>Results: </strong>Patients had a mean correction angle of 12.58 ± 2.84° and 18.98 ± 5.14° (P < 0.001), with a mean AP displacement of TT of 0.84 ± 2.66 mm and 7.78 ± 3.41 mm (P < 0.001) in OWHTO and CWHTO, respectively. The AP displacement of the TT per correction of 1° was significantly greater in CWHTO than in OWHTO (P < 0.001). A significant correlation was found between the correction angle and AP displacement of the TT in CWHTO (r = -0.523, P < 0.001), but not in OWHTO. The change of PTS per correction of 1° was significantly greater in OWHTO than in CWHTO (P < 0.001). The changes of mBPI and mCDI per correction of 1° were significantly greater in CWHTO than in OWHTO (P < 0.001 and P < 0.001, respectively).</p><p><strong>Conclusions: </strong>There was greater anterior displacement of the TT in CWHTO than in OWHTO, which was correlated with the correction angle. The results suggested that CWHTO would be better than OWHTO when a concomitant anteriorization of TT is required.</p>","PeriodicalId":46378,"journal":{"name":"SICOT-J","volume":"10 ","pages":"21"},"PeriodicalIF":2.3000,"publicationDate":"2024-01-01","publicationTypes":"Journal Article","fieldsOfStudy":null,"isOpenAccess":false,"openAccessPdf":"https://www.ncbi.nlm.nih.gov/pmc/articles/PMC11141518/pdf/","citationCount":"0","resultStr":"{\"title\":\"Difference in the anterior displacement of the tibial tuberosity relative to the proximal tibial fragment between opening wedge and closed wedge high tibial osteotomies.\",\"authors\":\"Kentaro Kikuchi, Ken Kumagai, Shunsuke Yamada, Shuntaro Nejima, Hyonmin Choe, Hiroyuki Ike, Naomi Kobayashi, Yutaka Inaba\",\"doi\":\"10.1051/sicotj/2024020\",\"DOIUrl\":null,\"url\":null,\"abstract\":\"<p><strong>Introduction: </strong>This study aimed to investigate the anterior-posterior (AP) displacement of the tibial tuberosity (TT) and to assess the difference between closed wedge and opening wedge high tibial osteotomies (OWHTO and CWHTO).</p><p><strong>Methods: </strong>One hundred consecutive knees with osteoarthritis that underwent OWHTO (50 knees) or CWHTO (50 knees) were investigated retrospectively. The femorotibial angle (FTA) was measured on AP radiographs of the knee. AP displacement of the TT, posterior tibial slope (PTS), the modified Blackburne-Peel index (mBPI), and the modified Caton-Deschamps index (mCDI) were measured on lateral radiographs of the knee.</p><p><strong>Results: </strong>Patients had a mean correction angle of 12.58 ± 2.84° and 18.98 ± 5.14° (P < 0.001), with a mean AP displacement of TT of 0.84 ± 2.66 mm and 7.78 ± 3.41 mm (P < 0.001) in OWHTO and CWHTO, respectively. The AP displacement of the TT per correction of 1° was significantly greater in CWHTO than in OWHTO (P < 0.001). A significant correlation was found between the correction angle and AP displacement of the TT in CWHTO (r = -0.523, P < 0.001), but not in OWHTO. The change of PTS per correction of 1° was significantly greater in OWHTO than in CWHTO (P < 0.001). The changes of mBPI and mCDI per correction of 1° were significantly greater in CWHTO than in OWHTO (P < 0.001 and P < 0.001, respectively).</p><p><strong>Conclusions: </strong>There was greater anterior displacement of the TT in CWHTO than in OWHTO, which was correlated with the correction angle. The results suggested that CWHTO would be better than OWHTO when a concomitant anteriorization of TT is required.</p>\",\"PeriodicalId\":46378,\"journal\":{\"name\":\"SICOT-J\",\"volume\":\"10 \",\"pages\":\"21\"},\"PeriodicalIF\":2.3000,\"publicationDate\":\"2024-01-01\",\"publicationTypes\":\"Journal Article\",\"fieldsOfStudy\":null,\"isOpenAccess\":false,\"openAccessPdf\":\"https://www.ncbi.nlm.nih.gov/pmc/articles/PMC11141518/pdf/\",\"citationCount\":\"0\",\"resultStr\":null,\"platform\":\"Semanticscholar\",\"paperid\":null,\"PeriodicalName\":\"SICOT-J\",\"FirstCategoryId\":\"1085\",\"ListUrlMain\":\"https://doi.org/10.1051/sicotj/2024020\",\"RegionNum\":0,\"RegionCategory\":null,\"ArticlePicture\":[],\"TitleCN\":null,\"AbstractTextCN\":null,\"PMCID\":null,\"EPubDate\":\"2024/5/30 0:00:00\",\"PubModel\":\"Epub\",\"JCR\":\"Q2\",\"JCRName\":\"ORTHOPEDICS\",\"Score\":null,\"Total\":0}","platform":"Semanticscholar","paperid":null,"PeriodicalName":"SICOT-J","FirstCategoryId":"1085","ListUrlMain":"https://doi.org/10.1051/sicotj/2024020","RegionNum":0,"RegionCategory":null,"ArticlePicture":[],"TitleCN":null,"AbstractTextCN":null,"PMCID":null,"EPubDate":"2024/5/30 0:00:00","PubModel":"Epub","JCR":"Q2","JCRName":"ORTHOPEDICS","Score":null,"Total":0}
引用次数: 0

摘要

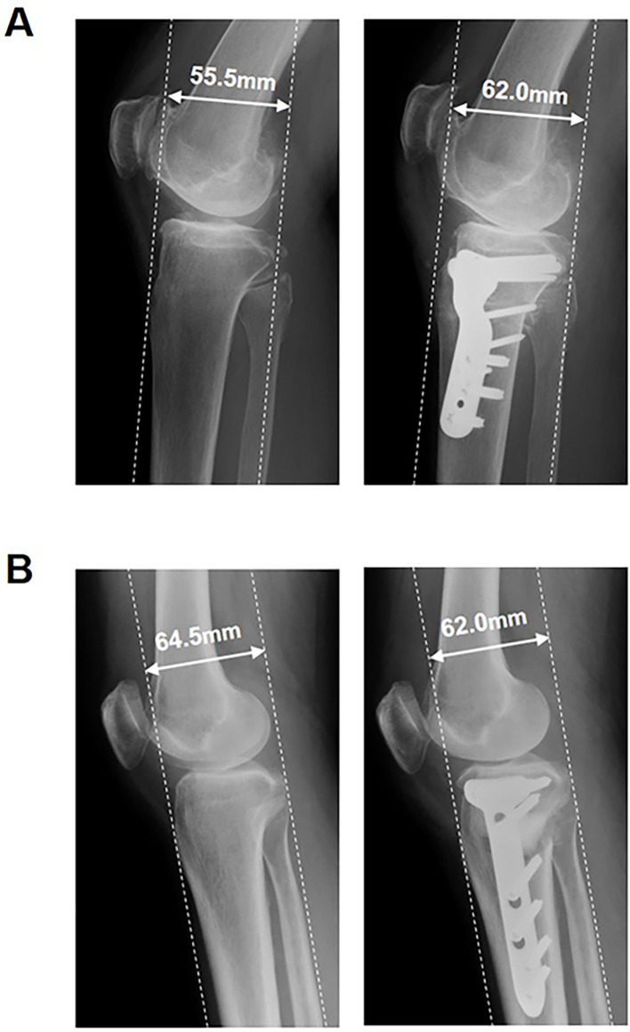
简介本研究旨在调查胫骨结节(TT)的前后(AP)位移,并评估闭合楔形和开放楔形胫骨高位截骨术(OWHTO和CWHTO)之间的差异:对100个连续接受OWHTO(50个膝关节)或CWHTO(50个膝关节)手术的骨关节炎膝关节进行回顾性研究。通过膝关节AP片测量股胫骨角(FTA)。在膝关节侧位片上测量TT的AP位移、胫骨后斜度(PTS)、改良Blackburne-Peel指数(mBPI)和改良Caton-Deschamps指数(mCDI):患者的平均矫正角度分别为(12.58 ± 2.84)°和(18.98 ± 5.14)°(P 结论):CWHTO患者的TT前移量大于OWHTO患者,这与矫正角度有关。结果表明,当需要同时进行 TT 前移时,CWHTO 比 OWHTO 效果更好。
本文章由计算机程序翻译,如有差异,请以英文原文为准。

Difference in the anterior displacement of the tibial tuberosity relative to the proximal tibial fragment between opening wedge and closed wedge high tibial osteotomies.

Difference in the anterior displacement of the tibial tuberosity relative to the proximal tibial fragment between opening wedge and closed wedge high tibial osteotomies.

Difference in the anterior displacement of the tibial tuberosity relative to the proximal tibial fragment between opening wedge and closed wedge high tibial osteotomies.

Difference in the anterior displacement of the tibial tuberosity relative to the proximal tibial fragment between opening wedge and closed wedge high tibial osteotomies.

Introduction: This study aimed to investigate the anterior-posterior (AP) displacement of the tibial tuberosity (TT) and to assess the difference between closed wedge and opening wedge high tibial osteotomies (OWHTO and CWHTO).

Methods: One hundred consecutive knees with osteoarthritis that underwent OWHTO (50 knees) or CWHTO (50 knees) were investigated retrospectively. The femorotibial angle (FTA) was measured on AP radiographs of the knee. AP displacement of the TT, posterior tibial slope (PTS), the modified Blackburne-Peel index (mBPI), and the modified Caton-Deschamps index (mCDI) were measured on lateral radiographs of the knee.

Results: Patients had a mean correction angle of 12.58 ± 2.84° and 18.98 ± 5.14° (P < 0.001), with a mean AP displacement of TT of 0.84 ± 2.66 mm and 7.78 ± 3.41 mm (P < 0.001) in OWHTO and CWHTO, respectively. The AP displacement of the TT per correction of 1° was significantly greater in CWHTO than in OWHTO (P < 0.001). A significant correlation was found between the correction angle and AP displacement of the TT in CWHTO (r = -0.523, P < 0.001), but not in OWHTO. The change of PTS per correction of 1° was significantly greater in OWHTO than in CWHTO (P < 0.001). The changes of mBPI and mCDI per correction of 1° were significantly greater in CWHTO than in OWHTO (P < 0.001 and P < 0.001, respectively).

Conclusions: There was greater anterior displacement of the TT in CWHTO than in OWHTO, which was correlated with the correction angle. The results suggested that CWHTO would be better than OWHTO when a concomitant anteriorization of TT is required.

求助全文
通过发布文献求助,成功后即可免费获取论文全文。 去求助
来源期刊
SICOT-J
SICOT-J ORTHOPEDICS-
CiteScore
3.20
自引率
12.50%
发文量
44
审稿时长
14 weeks
×
引用
GB/T 7714-2015
复制
MLA
复制
APA
复制
导出至
BibTeX EndNote RefMan NoteFirst NoteExpress
×
提示
您的信息不完整,为了账户安全,请先补充。
现在去补充
×
提示
您因"违规操作"
具体请查看互助需知
我知道了
×
提示
确定
请完成安全验证×
copy
已复制链接
快去分享给好友吧!
我知道了
右上角分享
点击右上角分享
0
联系我们:info@booksci.cn Book学术提供免费学术资源搜索服务,方便国内外学者检索中英文文献。致力于提供最便捷和优质的服务体验。 Copyright © 2023 布克学术 All rights reserved.
京ICP备2023020795号-1
ghs 京公网安备 11010802042870号
Book学术文献互助
Book学术文献互助群
群 号:604180095
Book学术官方微信