桥本氏甲状腺炎、伴有桥本氏甲状腺炎的乳头状甲状腺癌和结节性甲状腺肿患者的 BRAF V600E 基因突变与临床病理变化

IF 1.2 4区 医学 Q3 ANATOMY & MORPHOLOGY
Juqing Deng, Lu Yu, Shibi Luo, Zhongcun Yang, Jie Liu, Liqiong Liao
{"title":"桥本氏甲状腺炎、伴有桥本氏甲状腺炎的乳头状甲状腺癌和结节性甲状腺肿患者的 BRAF V600E 基因突变与临床病理变化","authors":"Juqing Deng, Lu Yu, Shibi Luo, Zhongcun Yang, Jie Liu, Liqiong Liao","doi":"10.1097/PAI.0000000000001204","DOIUrl":null,"url":null,"abstract":"<p><p>The study aimed to investigate the BRAF V600E mutation and clinicopathological changes among patients with Hashimoto thyroiditis (HT), papillary thyroid carcinoma (PTC) with Hashimoto thyroiditis (HT), or nodular goiter (NG). A total of 87 patients with the BRAF V600E mutation who were diagnosed with HT (including with hyperplasia dysplasia), PTC with HT, and PTC with NG were enrolled. Clinical data, concentrations of antithyroglobulin antibodies (TGAb) and thyroid microsomal antibodies (TMAb) in the serum thyroid-function levels, and the result presence of the BRAF V600E mutation were retrospectively analyzed. There were significant differences in the BRAF V600E mutation rates between the HT and PTC with HT groups ( P <0.05) and the HT and PTC with NG groups ( P <0.05), whereas no significant difference was found between the PTC with HT and PTC with NG groups. There was no difference in incidences of PTC between HT with elevated TGAb and TMAb group and those with baseline levels. The incidence of multifocal PTC was higher in the PTC with HT group; however, the difference was not significant. Our findings documented that BRAF mutation distinguished between the benign HT and the malignant PTC groups. The serum levels of TGAb and TMAb autoantibodies did not directly correlate with PTC in the background of HT. HT and NG may similarly contribute to the pathogenesis of PTC.</p>","PeriodicalId":48952,"journal":{"name":"Applied Immunohistochemistry & Molecular Morphology","volume":" ","pages":"345-349"},"PeriodicalIF":1.2000,"publicationDate":"2024-08-01","publicationTypes":"Journal Article","fieldsOfStudy":null,"isOpenAccess":false,"openAccessPdf":"https://www.ncbi.nlm.nih.gov/pmc/articles/PMC11296278/pdf/","citationCount":"0","resultStr":"{\"title\":\"The BRAF V600E Mutation and Clinicopathological Changes Among Patients With Hashimoto Thyroiditis, Papillary Thyroid Carcinoma With Hashimoto Thyroiditis, and Nodular Goiter.\",\"authors\":\"Juqing Deng, Lu Yu, Shibi Luo, Zhongcun Yang, Jie Liu, Liqiong Liao\",\"doi\":\"10.1097/PAI.0000000000001204\",\"DOIUrl\":null,\"url\":null,\"abstract\":\"<p><p>The study aimed to investigate the BRAF V600E mutation and clinicopathological changes among patients with Hashimoto thyroiditis (HT), papillary thyroid carcinoma (PTC) with Hashimoto thyroiditis (HT), or nodular goiter (NG). A total of 87 patients with the BRAF V600E mutation who were diagnosed with HT (including with hyperplasia dysplasia), PTC with HT, and PTC with NG were enrolled. Clinical data, concentrations of antithyroglobulin antibodies (TGAb) and thyroid microsomal antibodies (TMAb) in the serum thyroid-function levels, and the result presence of the BRAF V600E mutation were retrospectively analyzed. There were significant differences in the BRAF V600E mutation rates between the HT and PTC with HT groups ( P <0.05) and the HT and PTC with NG groups ( P <0.05), whereas no significant difference was found between the PTC with HT and PTC with NG groups. There was no difference in incidences of PTC between HT with elevated TGAb and TMAb group and those with baseline levels. The incidence of multifocal PTC was higher in the PTC with HT group; however, the difference was not significant. Our findings documented that BRAF mutation distinguished between the benign HT and the malignant PTC groups. The serum levels of TGAb and TMAb autoantibodies did not directly correlate with PTC in the background of HT. HT and NG may similarly contribute to the pathogenesis of PTC.</p>\",\"PeriodicalId\":48952,\"journal\":{\"name\":\"Applied Immunohistochemistry & Molecular Morphology\",\"volume\":\" \",\"pages\":\"345-349\"},\"PeriodicalIF\":1.2000,\"publicationDate\":\"2024-08-01\",\"publicationTypes\":\"Journal Article\",\"fieldsOfStudy\":null,\"isOpenAccess\":false,\"openAccessPdf\":\"https://www.ncbi.nlm.nih.gov/pmc/articles/PMC11296278/pdf/\",\"citationCount\":\"0\",\"resultStr\":null,\"platform\":\"Semanticscholar\",\"paperid\":null,\"PeriodicalName\":\"Applied Immunohistochemistry & Molecular Morphology\",\"FirstCategoryId\":\"3\",\"ListUrlMain\":\"https://doi.org/10.1097/PAI.0000000000001204\",\"RegionNum\":4,\"RegionCategory\":\"医学\",\"ArticlePicture\":[],\"TitleCN\":null,\"AbstractTextCN\":null,\"PMCID\":null,\"EPubDate\":\"2024/5/22 0:00:00\",\"PubModel\":\"Epub\",\"JCR\":\"Q3\",\"JCRName\":\"ANATOMY & MORPHOLOGY\",\"Score\":null,\"Total\":0}","platform":"Semanticscholar","paperid":null,"PeriodicalName":"Applied Immunohistochemistry & Molecular Morphology","FirstCategoryId":"3","ListUrlMain":"https://doi.org/10.1097/PAI.0000000000001204","RegionNum":4,"RegionCategory":"医学","ArticlePicture":[],"TitleCN":null,"AbstractTextCN":null,"PMCID":null,"EPubDate":"2024/5/22 0:00:00","PubModel":"Epub","JCR":"Q3","JCRName":"ANATOMY & MORPHOLOGY","Score":null,"Total":0}
引用次数: 0

摘要

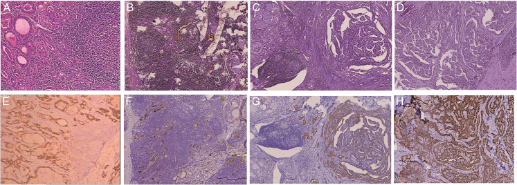
该研究旨在调查桥本甲状腺炎(HT)、桥本甲状腺炎伴甲状腺乳头状癌(PTC)或结节性甲状腺肿(NG)患者的BRAF V600E突变和临床病理变化。研究共纳入了87名BRAF V600E突变患者,他们被诊断为桥本甲状腺炎(包括增生异常)、桥本甲状腺炎伴PTC和桥本甲状腺炎伴结节性甲状腺肿。研究人员回顾性分析了临床数据、血清甲状腺功能水平中抗甲状腺球蛋白抗体(TGAb)和甲状腺微粒体抗体(TMAb)的浓度以及BRAF V600E突变的结果。HT组和PTC伴HT组的BRAF V600E突变率有明显差异(P
本文章由计算机程序翻译,如有差异,请以英文原文为准。

The BRAF V600E Mutation and Clinicopathological Changes Among Patients With Hashimoto Thyroiditis, Papillary Thyroid Carcinoma With Hashimoto Thyroiditis, and Nodular Goiter.

The BRAF V600E Mutation and Clinicopathological Changes Among Patients With Hashimoto Thyroiditis, Papillary Thyroid Carcinoma With Hashimoto Thyroiditis, and Nodular Goiter.

The study aimed to investigate the BRAF V600E mutation and clinicopathological changes among patients with Hashimoto thyroiditis (HT), papillary thyroid carcinoma (PTC) with Hashimoto thyroiditis (HT), or nodular goiter (NG). A total of 87 patients with the BRAF V600E mutation who were diagnosed with HT (including with hyperplasia dysplasia), PTC with HT, and PTC with NG were enrolled. Clinical data, concentrations of antithyroglobulin antibodies (TGAb) and thyroid microsomal antibodies (TMAb) in the serum thyroid-function levels, and the result presence of the BRAF V600E mutation were retrospectively analyzed. There were significant differences in the BRAF V600E mutation rates between the HT and PTC with HT groups ( P <0.05) and the HT and PTC with NG groups ( P <0.05), whereas no significant difference was found between the PTC with HT and PTC with NG groups. There was no difference in incidences of PTC between HT with elevated TGAb and TMAb group and those with baseline levels. The incidence of multifocal PTC was higher in the PTC with HT group; however, the difference was not significant. Our findings documented that BRAF mutation distinguished between the benign HT and the malignant PTC groups. The serum levels of TGAb and TMAb autoantibodies did not directly correlate with PTC in the background of HT. HT and NG may similarly contribute to the pathogenesis of PTC.

求助全文
通过发布文献求助,成功后即可免费获取论文全文。 去求助
来源期刊
Applied Immunohistochemistry & Molecular Morphology
Applied Immunohistochemistry & Molecular Morphology ANATOMY & MORPHOLOGY-MEDICAL LABORATORY TECHNOLOGY
CiteScore
3.20
自引率
0.00%
发文量
153
期刊介绍: ​Applied Immunohistochemistry & Molecular Morphology covers newly developed identification and detection technologies, and their applications in research and diagnosis for the applied immunohistochemist & molecular Morphologist. Official Journal of the International Society for Immunohistochemisty and Molecular Morphology​.
×
引用
GB/T 7714-2015
复制
MLA
复制
APA
复制
导出至
BibTeX EndNote RefMan NoteFirst NoteExpress
×
提示
您的信息不完整,为了账户安全,请先补充。
现在去补充
×
提示
您因"违规操作"
具体请查看互助需知
我知道了
×
提示
确定
请完成安全验证×
copy
已复制链接
快去分享给好友吧!
我知道了
右上角分享
点击右上角分享
0
联系我们:info@booksci.cn Book学术提供免费学术资源搜索服务,方便国内外学者检索中英文文献。致力于提供最便捷和优质的服务体验。 Copyright © 2023 布克学术 All rights reserved.
京ICP备2023020795号-1
ghs 京公网安备 11010802042870号
Book学术文献互助
Book学术文献互助群
群 号:604180095
Book学术官方微信