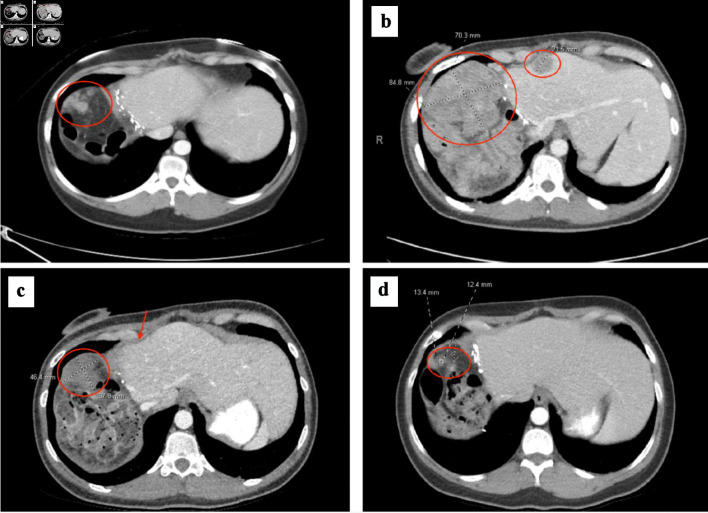
一名肝细胞癌和腹膜转移瘤患者在接受清创手术和腹腔热化疗后,对吉西他滨和奥沙利铂化疗产生完全病理反应

IF 2.2 Q3 ONCOLOGY
World Journal of Oncology Pub Date : 2024-06-01 Epub Date: 2024-05-07 DOI:10.14740/wjon1840
Amry Majeed, Sneha Alaparthi, Dina Halegoua-DeMarzio, Jaime Eberle-Singh, Wei Jiang, Pramila Rani Anne, Ashesh P Shah, Wilbur B Bowne, Daniel Lin
{"title":"一名肝细胞癌和腹膜转移瘤患者在接受清创手术和腹腔热化疗后,对吉西他滨和奥沙利铂化疗产生完全病理反应","authors":"Amry Majeed, Sneha Alaparthi, Dina Halegoua-DeMarzio, Jaime Eberle-Singh, Wei Jiang, Pramila Rani Anne, Ashesh P Shah, Wilbur B Bowne, Daniel Lin","doi":"10.14740/wjon1840","DOIUrl":null,"url":null,"abstract":"<p><p>Hepatocellular carcinoma (HCC) is often diagnosed at a late stage and frequently recurs despite curative intervention, leading to poor survival outcomes. Frontline systemic therapies include combination immunotherapy regimens and tyrosine kinase inhibitors. We report a case of a 38-year-old woman with chronic hepatitis B and C coinfection-associated non-cirrhotic HCC, which recurred in the peritoneum after initial resection of her primary tumor. Disease progression occurred on both atezolizumab/bevacizumab and lenvatinib, and she was subsequently treated with gemcitabine and oxaliplatin (GEMOX) chemotherapy and exhibited a profound clinical response on imaging with normalization of alpha fetoprotein (AFP) after several months. Following extensive multidisciplinary discussion, she underwent cytoreductive surgery (CRS) with hyperthermic intraperitoneal chemotherapy (HIPEC) that removed all visible macroscopic tumor. Her pathology demonstrated a complete pathologic response. She received two additional months of postoperative chemotherapy, and then proceeded with close monitoring off therapy. To our knowledge, this is the first reported case of a complete pathologic response to GEMOX chemotherapy in the context of CRS/HIPEC for peritoneal metastases in HCC, after progression on standard immunotherapy and tyrosine kinase inhibitor treatments. In this report, we review the current systemic treatment landscape in HCC. We highlight potential consideration of cytotoxic chemotherapy, which is less frequently utilized in current practice, in selected patients with HCC, and discuss the role of CRS/HIPEC in the management of peritoneal metastases. Further investigation regarding predictors of response to systemic treatments is strongly needed. Multidisciplinary management may ultimately prolong survival in patients with advanced HCC.</p>","PeriodicalId":46797,"journal":{"name":"World Journal of Oncology","volume":"15 3","pages":"511-520"},"PeriodicalIF":2.2000,"publicationDate":"2024-06-01","publicationTypes":"Journal Article","fieldsOfStudy":null,"isOpenAccess":false,"openAccessPdf":"https://www.ncbi.nlm.nih.gov/pmc/articles/PMC11092419/pdf/","citationCount":"0","resultStr":"{\"title\":\"Complete Pathologic Response to Gemcitabine and Oxaliplatin Chemotherapy After Prior Therapies in a Patient With Hepatocellular Carcinoma and Peritoneal Metastases Undergoing Cytoreductive Surgery and Hyperthermic Intraperitoneal Chemotherapy.\",\"authors\":\"Amry Majeed, Sneha Alaparthi, Dina Halegoua-DeMarzio, Jaime Eberle-Singh, Wei Jiang, Pramila Rani Anne, Ashesh P Shah, Wilbur B Bowne, Daniel Lin\",\"doi\":\"10.14740/wjon1840\",\"DOIUrl\":null,\"url\":null,\"abstract\":\"<p><p>Hepatocellular carcinoma (HCC) is often diagnosed at a late stage and frequently recurs despite curative intervention, leading to poor survival outcomes. Frontline systemic therapies include combination immunotherapy regimens and tyrosine kinase inhibitors. We report a case of a 38-year-old woman with chronic hepatitis B and C coinfection-associated non-cirrhotic HCC, which recurred in the peritoneum after initial resection of her primary tumor. Disease progression occurred on both atezolizumab/bevacizumab and lenvatinib, and she was subsequently treated with gemcitabine and oxaliplatin (GEMOX) chemotherapy and exhibited a profound clinical response on imaging with normalization of alpha fetoprotein (AFP) after several months. Following extensive multidisciplinary discussion, she underwent cytoreductive surgery (CRS) with hyperthermic intraperitoneal chemotherapy (HIPEC) that removed all visible macroscopic tumor. Her pathology demonstrated a complete pathologic response. She received two additional months of postoperative chemotherapy, and then proceeded with close monitoring off therapy. To our knowledge, this is the first reported case of a complete pathologic response to GEMOX chemotherapy in the context of CRS/HIPEC for peritoneal metastases in HCC, after progression on standard immunotherapy and tyrosine kinase inhibitor treatments. In this report, we review the current systemic treatment landscape in HCC. We highlight potential consideration of cytotoxic chemotherapy, which is less frequently utilized in current practice, in selected patients with HCC, and discuss the role of CRS/HIPEC in the management of peritoneal metastases. Further investigation regarding predictors of response to systemic treatments is strongly needed. Multidisciplinary management may ultimately prolong survival in patients with advanced HCC.</p>\",\"PeriodicalId\":46797,\"journal\":{\"name\":\"World Journal of Oncology\",\"volume\":\"15 3\",\"pages\":\"511-520\"},\"PeriodicalIF\":2.2000,\"publicationDate\":\"2024-06-01\",\"publicationTypes\":\"Journal Article\",\"fieldsOfStudy\":null,\"isOpenAccess\":false,\"openAccessPdf\":\"https://www.ncbi.nlm.nih.gov/pmc/articles/PMC11092419/pdf/\",\"citationCount\":\"0\",\"resultStr\":null,\"platform\":\"Semanticscholar\",\"paperid\":null,\"PeriodicalName\":\"World Journal of Oncology\",\"FirstCategoryId\":\"1085\",\"ListUrlMain\":\"https://doi.org/10.14740/wjon1840\",\"RegionNum\":0,\"RegionCategory\":null,\"ArticlePicture\":[],\"TitleCN\":null,\"AbstractTextCN\":null,\"PMCID\":null,\"EPubDate\":\"2024/5/7 0:00:00\",\"PubModel\":\"Epub\",\"JCR\":\"Q3\",\"JCRName\":\"ONCOLOGY\",\"Score\":null,\"Total\":0}","platform":"Semanticscholar","paperid":null,"PeriodicalName":"World Journal of Oncology","FirstCategoryId":"1085","ListUrlMain":"https://doi.org/10.14740/wjon1840","RegionNum":0,"RegionCategory":null,"ArticlePicture":[],"TitleCN":null,"AbstractTextCN":null,"PMCID":null,"EPubDate":"2024/5/7 0:00:00","PubModel":"Epub","JCR":"Q3","JCRName":"ONCOLOGY","Score":null,"Total":0}
引用次数: 0

摘要

肝细胞癌(HCC)通常在晚期才被确诊,尽管采取了治疗性干预措施,但仍经常复发,导致生存率低下。前线系统疗法包括联合免疫疗法和酪氨酸激酶抑制剂。我们报告了一例患有慢性乙型肝炎和丙型肝炎合并感染的非肝硬化 HCC 的 38 岁女性患者的病例。阿特珠单抗/贝伐单抗和来伐替尼均导致病情恶化,随后她接受了吉西他滨和奥沙利铂(GEMOX)化疗,几个月后,影像学检查显示其临床反应良好,甲胎蛋白(AFP)恢复正常。经过广泛的多学科讨论,她接受了囊肿切除手术(CRS)和腹腔热化疗(HIPEC),切除了所有可见的大肿瘤。病理结果显示她的病理反应完全。她在术后又接受了两个月的化疗,并在治疗结束后继续接受密切监测。据我们所知,这是首例在标准免疫疗法和酪氨酸激酶抑制剂治疗进展后,通过CRS/HIPEC治疗腹膜转移的HCC患者对GEMOX化疗产生完全病理反应的病例。在本报告中,我们回顾了目前 HCC 的全身治疗情况。我们强调了在目前的临床实践中较少使用的细胞毒性化疗在选定的 HCC 患者中的潜在考虑,并讨论了 CRS/HIPEC 在腹膜转移治疗中的作用。我们亟需对全身治疗反应的预测因素进行进一步研究。多学科治疗可最终延长晚期 HCC 患者的生存期。
本文章由计算机程序翻译,如有差异,请以英文原文为准。

Complete Pathologic Response to Gemcitabine and Oxaliplatin Chemotherapy After Prior Therapies in a Patient With Hepatocellular Carcinoma and Peritoneal Metastases Undergoing Cytoreductive Surgery and Hyperthermic Intraperitoneal Chemotherapy.

Complete Pathologic Response to Gemcitabine and Oxaliplatin Chemotherapy After Prior Therapies in a Patient With Hepatocellular Carcinoma and Peritoneal Metastases Undergoing Cytoreductive Surgery and Hyperthermic Intraperitoneal Chemotherapy.

Complete Pathologic Response to Gemcitabine and Oxaliplatin Chemotherapy After Prior Therapies in a Patient With Hepatocellular Carcinoma and Peritoneal Metastases Undergoing Cytoreductive Surgery and Hyperthermic Intraperitoneal Chemotherapy.

Complete Pathologic Response to Gemcitabine and Oxaliplatin Chemotherapy After Prior Therapies in a Patient With Hepatocellular Carcinoma and Peritoneal Metastases Undergoing Cytoreductive Surgery and Hyperthermic Intraperitoneal Chemotherapy.

Hepatocellular carcinoma (HCC) is often diagnosed at a late stage and frequently recurs despite curative intervention, leading to poor survival outcomes. Frontline systemic therapies include combination immunotherapy regimens and tyrosine kinase inhibitors. We report a case of a 38-year-old woman with chronic hepatitis B and C coinfection-associated non-cirrhotic HCC, which recurred in the peritoneum after initial resection of her primary tumor. Disease progression occurred on both atezolizumab/bevacizumab and lenvatinib, and she was subsequently treated with gemcitabine and oxaliplatin (GEMOX) chemotherapy and exhibited a profound clinical response on imaging with normalization of alpha fetoprotein (AFP) after several months. Following extensive multidisciplinary discussion, she underwent cytoreductive surgery (CRS) with hyperthermic intraperitoneal chemotherapy (HIPEC) that removed all visible macroscopic tumor. Her pathology demonstrated a complete pathologic response. She received two additional months of postoperative chemotherapy, and then proceeded with close monitoring off therapy. To our knowledge, this is the first reported case of a complete pathologic response to GEMOX chemotherapy in the context of CRS/HIPEC for peritoneal metastases in HCC, after progression on standard immunotherapy and tyrosine kinase inhibitor treatments. In this report, we review the current systemic treatment landscape in HCC. We highlight potential consideration of cytotoxic chemotherapy, which is less frequently utilized in current practice, in selected patients with HCC, and discuss the role of CRS/HIPEC in the management of peritoneal metastases. Further investigation regarding predictors of response to systemic treatments is strongly needed. Multidisciplinary management may ultimately prolong survival in patients with advanced HCC.

求助全文
通过发布文献求助,成功后即可免费获取论文全文。 去求助
来源期刊
CiteScore
6.10
自引率
15.40%
发文量
37
期刊介绍: World Journal of Oncology, bimonthly, publishes original contributions describing basic research and clinical investigation of cancer, on the cellular, molecular, prevention, diagnosis, therapy and prognosis aspects. The submissions can be basic research or clinical investigation oriented. This journal welcomes those submissions focused on the clinical trials of new treatment modalities for cancer, and those submissions focused on molecular or cellular research of the oncology pathogenesis. Case reports submitted for consideration of publication should explore either a novel genomic event/description or a new safety signal from an oncolytic agent. The areas of interested manuscripts are these disciplines: tumor immunology and immunotherapy; cancer molecular pharmacology and chemotherapy; drug sensitivity and resistance; cancer epidemiology; clinical trials; cancer pathology; radiobiology and radiation oncology; solid tumor oncology; hematological malignancies; surgical oncology; pediatric oncology; molecular oncology and cancer genes; gene therapy; cancer endocrinology; cancer metastasis; prevention and diagnosis of cancer; other cancer related subjects. The types of manuscripts accepted are original article, review, editorial, short communication, case report, letter to the editor, book review.
×
引用
GB/T 7714-2015
复制
MLA
复制
APA
复制
导出至
BibTeX EndNote RefMan NoteFirst NoteExpress
×
提示
您的信息不完整,为了账户安全,请先补充。
现在去补充
×
提示
您因"违规操作"
具体请查看互助需知
我知道了
×
提示
确定
请完成安全验证×
copy
已复制链接
快去分享给好友吧!
我知道了
右上角分享
点击右上角分享
0
联系我们:info@booksci.cn Book学术提供免费学术资源搜索服务,方便国内外学者检索中英文文献。致力于提供最便捷和优质的服务体验。 Copyright © 2023 布克学术 All rights reserved.
京ICP备2023020795号-1
ghs 京公网安备 11010802042870号
Book学术文献互助
Book学术文献互助群
群 号:604180095
Book学术官方微信